Abstract
Background
The present study aimed to determine the protective effects of hypaconitine (HA) and glycyrrhetinic acid (GA) against chronic heart failure (CHF) in the rats and to explore the underlying molecular mechanisms.
Methods
The CHF rat model was established by transverse-aortic constriction (TAC) operation. Transthoracic echocardiography and hematoxylin eosin (HE) staining were used to evaluate the pathophysiological and histopathological changes of CHF model. The total cholesterol (TCHO) and triglyceride (TG) levels were determined by ELISA assay. The protein expression of fibroblast growth factor 2 (FGF2), vascular endothelial growth factor A (VEGFA) and endothelial nitric oxide synthase (eNOS) in the rat ventricular tissues was determined by immunohistochemistry. The serum metabolites were determined by LC-MS/MS assay.
Results
After applied the HA + GA, the cardiac tissue and structure were obviously improved, and the HA + GA treatment also significantly reduced the plasma levels of TCHO and TG in the CHF rats. The expression of FGF2 and VEGFA protein was up-regulated and the expression of eNOS protein was down-regulated in the ventricular tissues of CHF rats, which was significantly restored after HA + GA treatment. HA + GA treatment down-regulated serum isonicotinic acid, phosphatidylcholine, cardiolipin, estrogen glucuronide, and glycocholic acid, up-regulated serum sphingosine and deoxycholic acid in the CHF rats.
Conclusions
In conclusion, HA + GA showed protective effects on CHF in the rats, and the HA + GA may exert protective effects by reducing lipid levels, up-regulating the expression of FGF2 and VEGFA proteins, attenuating eNOS protein expression, and modulating metabolic pathways. However, the molecular mechanisms underlying HA + GA-mediated effects still require further examination.
Keywords: Chronic heart failure, Hypaconitine, Glycyrrhetinic acid, Immunohistochemistry, Metabolites
Background
Chronic heart failure (CHF) is a rapidly growing public health problem that occurs secondary to a common chronic phase of cardiac impairment of multiple etiologies [1]. Atherosclerosis is a major risk factor for CHF and its possible mechanisms include imbalance of lipid metabolism and poor adaptive immune response, leading to chronic inflammation of the arterial vessel wall [2]. When the lipid metabolism is abnormal, it may cause cardiac tissue fibrosis, which is also can be induced by myocardial inflammation. As we all know, cardiac remodeling is an important process during the CHF phase, for it could result in cardiac pressure overload. In all pathological molecular mechanisms, the activation of neurohumoral systems, such as the renin-angiotensin-aldosterone-system (RAAS) is similar with pressure overload [3]. In clinical treatments, the angiotensin-converting enzyme inhibitors, β-adrenergic blockers and diuretics are the main methods for CHF, while long-term use of these chemical drugs may cause adverse effects such as hypotension, fluid depletion and electrolyte depletion [4]. Traditional Chinese medicines (TCMs), such as Salvia miltiorrhiza and Ginseng, can promote myocardial contractility, dilate blood vessels, diuresis and inhibit ventricular remodelling [5–7]. Some formulaes have been clinically applied in the treatment of heart failure. The advantage of multi-channel and multi-target of TCM can attenuate adverse effect caused by the genetic defect of western medicine treatment target.
Hypaconitine (HA) is one of the main aconitum alkaloids in TCMs prepared with herbs from the genus Acotinum. In TCM, Acotinum has the function of warming heart yang for CHF, with both cardiac therapeutic and cardiotoxicity. Hence, in clinic, it is applied together with other herbs to reduce the toxicity, such as Glycyrrhiza uralensis Fisch, Zingiberis Rhizoma, et al. It has been found that HA had various biological activities including its effects on cardiovascular system. Yi et al., showed that HA could inhibit calmodulin expression and connexin43 phosphorylation in rat cardiac muscle in vivo [8]. Xie et al., showed that HA could induce QT prolongation via inhibiting KCNH2 potassium channels in conscious dogs [9]. Bai et al., showed that HA could inhibit the apoptosis of endothelial cells via targeting histone deacetylase-high mobility group box-1 pathway [10]. In addition, glycyrrhetinic acid (GA) is one of the main glycyrrhizinic acid in TCMs prepared with herbs from the Glycyrrhiza uralensis Fisch. There is a well-known decoction Zhi-Gan-Cao-Tang in TCM, especially for cardiopathy, with Glycyrrhiza uralensis Fisch as its primary constitute. That’s to say, Glycyrrhiza uralensis Fisch has the functions of ameliorating CHF. In these years, GA has been reported to show cardiac protect actions on reducing myocardial infarction size and improving arrhythmia problems [11]. Besides, GA could exert various biological activities. GA could mitigate prophylaxis induced by mesaconitine in the rats, indicating that pretreatment with GA might reduce the toxicity of mesaconitine in the metabolic level [12]; GA has also been found to be a typical active component of Shaoyao-Gancao Decoction for pain relief [13, 14].
In our previous study, we found that HA and GA, the active components of Fucus and Glycyrrhiza, exerted protective effects against CHF through apoptotic signaling pathways [15]. However, the underlying protective effects of HA and GA in CHF remain unclear.
In this study, we performed ELISA to examine the effects of HA + GA treatment on plasma TCHO and TG levels as well as immunohistochemistry to investigate expression levels of FGF, VEGFA and eNOS protein in CHF rats after HA + GA treatment. In addition, LC-MS/MS analysis used to determine the metabolic differences between the HA + GA group and the Model group and to find potential biomarkers and their possible metabolic pathways associated with CHF.
Materials and methods
Animals
30 male specific-pathogen free rats (weight 160–170 g) were purchased from Shanghai Slack Laboratory Animal Co., Ltd., (Shanghai, China). The rats were allowed free access to food and water and were kept on a 12-h light/dark cycle at room temperature (20 ± 2 °C) with constant humidity (50 ± 2%). All animal experimental procedures were approved by the Animal Care and Use Committee of Zhejiang Chinese Medical University and complied with laboratory animal management and use regulations (SYXK (Zhejiang) 2013–184). The study is reported in accordance with ARRIVE guidelines (https://arriveguidelines.org).
Establishment of CHF model in the rats and treatments
The CHF model was established by transverse-aortic constriction (TAC) method based on previous methods [16]. Briefly, the rats were anesthetized with 2.0% isoflurane (Shenzhen Huabao Medical Supplies Industry & Trade Development Co., Ltd., Shenzhen, China), and then were endotracheally intubated with positive pressure ventilation with a tidal volume of 250 mL at a velocity of 120 breaths per minute by a Small Animal Ventilator (Hallowell, Inc., USA). After opening the chest wall via an upper sternotomy, the aorta was carefully dissected out. A self-regulating “L” needle with the external diameter of approximately 0.9 mm was placed on the aorta, on which a 3–0 prolene ligation was placed between the right and left common carotid arteries. The needle was removed cautiously, and the aortic constriction was then created. After the procedure, the wound was closed, and the animal was allowed to recover from anesthesia. Penicillin (REYOUNG Co. Ltd., Shandong, China) was injected intramuscular once a day for 3 days. The TAC-operated rats were assigned as the model group. The rats in Sham group underwent same procedures with the Model group but without TAC operation [17, 18].
During the first 4 weeks after surgery, rats were allowed free access to food and water. The rats were then randomly divided into three groups: Sham group (n = 10), Model group (n = 10), HA + GA group (n = 10). For our former studies on CHF model were built well, in the transthoracic echocardiography part, we chose randomly 5 rats from each group (n = 5). However, in the ELISA and HE staining and immunohistochemistry experiments, in consideration of it may reduce the sample size of Sham group, so we selected 6 samples randomly from the Sham group (n = 6), and Model group (n = 10), HA + GA group (n = 10). Yet, for a better comparison in the untargeted metabolomics analysis, we chose all samples in each group (n = 10). According to our previous work [15], the dosage of 2.07 mg/kg HA (Baoji Chenguang Biotechnology Co. Ltd., Xi’an, China) + 25 mg/kg GA (Baoji Chenguang Biotechnology Co. Ltd.) were orally administered to rats of HA + GA group once a day for 1 week, and an equal volume of normal saline was given to the rats from the Sham and Model groups. At one week after drug treatments, transthoracic echocardiography was tested on rats, then the animals were sacrificed and the blood and relevant tissues were collected for further assays.
Transthoracic echocardiography on CHF rats
An animal heart ultrasound method, as we have done in the previous study [15]. We chose 5 rats randomly from each group to do the transthoracic echocardiography, for the purpose of estimating the LV cardiac remodeling of CHF and observing the effects of HA + GA. We collected the cardiac photographs and data through Vevo2100 imaging system (Visual Sonics Inc., Toronto, Canada).
Collection of tissue samples
After sacrificing the animals, the blood was collected from the abdominal aortic, and plasma was obtained from supernatant of centrifugation of the blood. The heart tissues were then dissected out and weighed. The left ventricular tissues of the heart were cut into two parts: one part was fixed in 4% paraformaldehyde (PFA) and embedded in paraffin for histological analysis, and the other part was preserved in − 80 °C.
Enzyme-linked immunosorbent assay (ELISA) for detecting TCHO and TG levels
The TCHO and TG levels in the plasma samples were detected by using ELISA kits for TCHO and TG according to the manufacturer’s instructions.
HE staining and immunohistochemistry
Heart ventricular tissues were fixed in 4% PFA and embedded in paraffin. Then, sections (3 μm) were sequentially permeabilized with 1% Triton X-100 in phosphate buffered saline (PBS) for 30 min at room temperature, boiled in 100 mM sodium citrate (pH 6.0) three times (6 min each) with 5 min intervals for antigen retrieval, washed in 3% hydrogen peroxide for 30 min to remove endogenous peroxidase. Some of the sections were stained with HE fluid, and some blocked for 1 hour in 5% bovine serum albumin at room temperature. Sections were then incubated with anti-FGF (1:200, # Sc-365, Santa Cruz Biotechnology, Dallas, USA), anti-VEGFA (1:200), and anti-eNOS antibody (1:200) at 37 °C for 60 min at 37∘C. After being washed PBS, the sections were incubated with horseradish peroxidase-conjugated secondary antibodies for 40 min at 37 °C. The tissues were then washed by PBS and incubated in diaminobenzidine substrate (#1901275A, DAKO Co., Ltd., Denmark, Sweden). The sections were finally counterstained with hematoxylin and xylene before being rewashed in ethanol. Images were collected by DAB light microscope (Leica Microsystems Ltd., Wetzlar, Germany). Integrated optical density (IOD) was obtained to represent the relative amount of positive staining, and 5 fields (magnification 100x) were randomly chosen to analyze.
Untargeted metabolomics analysis
All three groups’ serum samples were collected and tested by the LC-MS system according to the protocol. Chromatographic separations were carried out through an ultra performance liquid chromatography (UPLC) system (SCIEX, UK). In order to check metabolites eluted from the column, the high resolution tandem mass spectrometer TripleTOF5600plus (SCIEX, UK) was applied. And the Q-TOF was detected in both positive and negative ion modes. The online KEGG and HMDB database was chose to explain the metabolites. Then supervised PLS-DA was performed through metaX to differentiate the diverse variables between all groups, and the heat-map analysis of the metabolites was executed by the OmicStudio tools.
Statistical analysis
All experimental data were presented as the mean ± the standard deviation (SD); one-way analysis of variance (ANOVA) followed by Tukey’s multiple comparison test was performed using SPSS 19.0 statistical software. P < 0.05 was considered statistically significant.
Results
Effects of HA + GA on CHF rats through transthoracic echocardiography
The results of LV cardiac remodeling in LV end-diastolic dimension (LVIDd), LV end-systolic dimension (LVIDs), were revealled in Fig. 1 and Table 1.
Fig. 1.

Typical transthoracic echocardiography images from effects of HA + GA on CHF rats. HA: hypaconitine; GA: glycyrrhetinic acid. Sham group (A), Model group (B), and HA + GA group (C)
Table 1.
LV cardiac remodeling levels in Sham, Model and HA + GA group
| Group | LVIDd (mm) | LVIDs (mm) |
|---|---|---|
| Sham | 6.68 ± 0.23 | 3.63 ± 0.36 |
| Model | 8.21 ± 0.19## | 5.08 ± 0.78# |
| HA + GA | 7.33 ± 0.16** | 3.69 ± 0.67* |
HA hypaconitine, GA glycyrrhetinic acid, LVIDd LV end-diastolic dimension, LVIDs LV end-systolic dimension. Data were presented as mean ± SD (n = 5). ##P < 0.01 versus Sham group; ∗P < 0.05 and **P < 0.01 versus Model group
Comparing with the Sham group, the values of LVIDd (P < 0.01) and LVIDs (P < 0.05) were both increased in the Model group. At the same time, when the HA + GA group compared to the Model group, the values of LVIDd (P < 0.01) and LVIDs (P < 0.05) were both descended. This results indicated that the LV cardiac remodeling of CHF were obviously ameliorated by the HA + GA treatment.
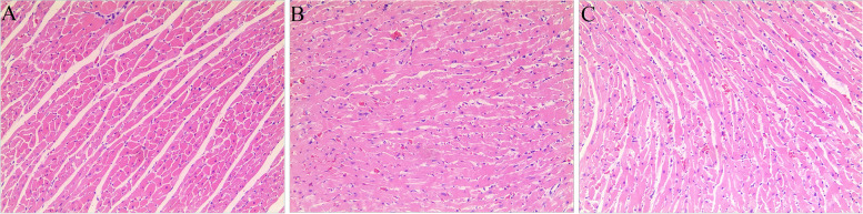
Observed effects of HA + GA on rat CHF model by HE staining
As showed in the Fig. 2, in the Sham group (A), the myocardial tissue structure and cytosolic nucleus were clear. The cardiac muscle fibers were pink and arranged in good order. Meantime, as revealed in the Model group (B), the myocardial tissue structure and cytosolic nucleus were unclear. With the broken and disarranged cardiac muscle fibers, and inflammatory cell infiltration. However, after the treatment of HA + GA (C), compared with Model group, the myocardial tissue structure and cytosolic nucleus were much more clear, and the cardiac muscle fibers were arranged more regularly.
Fig. 2.
HE staining in the heart tissues of the CHF rats. Sham group(A), Model group (B), HA + GA group (C); (magnification = 100x)
Analysis of lipid profile in the rat plasma
The effects of HA + GA on TG and TCHO levels in CHF rats were determined by ELISA assay. As shown in Table 2, the TCHO and TG levels were significantly lower in the HA + GA group than that in the Model group. In addition, TG and TCHO levels were significantly lower in the Sham group than that in the Model group (Table 2). The difference in TCHO and TG levels between the HA + GA group and the Sham group was not statistically significant (Table 2).
Table 2.
TCHO and TG levels in Sham, Model and HA + GA group
| Group | TCHO (mg/dl) | TG (mmol/L) |
|---|---|---|
| Sham | 1.44 ± 0.13 | 0.31 ± 0.11 |
| Model | 2.06 ± 0.29## | 0.69 ± 0.26## |
| HA + GA | 1.68 ± 0.16** | 0.39 ± 0.07* |
HA hypaconitine, GA glycyrrhetinic acid. Data were presented as mean ± SD, Sham group (n = 6), Model group (n = 10), and HA + GA group (n = 10). ##P < 0.01 versus Sham group; ∗P < 0.05 and **P < 0.01 versus Model group
Immunostaining analysis of FGF2, VEGFA and eNOS in the heart tissues of the rats
Immunohistochemistry was used to detect the effect of HA + GA on the expression of FGF2, VEGFA and eNOS proteins in heart tissues of rats with CHF. As shown in Figs. 3 and 4, the protein expression levels of FGF2 and VEGFA were significantly higher and the protein expression level of eNOS was significantly lower in the HA + GA group than that in the Model group. In addition, the protein expression levels of FGF2 and VEGFA were significantly higher and the protein expression level of eNOS was significantly lower in sham group than that in the model group. There was no statistically significant difference in FGF2, VEGFA and eNOS between the Sham and HA + GA group. The above results indicated that the protective effect of HA + GA in rats with CHF was related to the regulation of FGF2, VEGFA and eNOS protein expression.
Fig. 3.
Immunostaining analysis of FGF2, VEGFA and eNOS in the heart tissues of the rats. A-C Immunohistochemical staining micrographs of FGF2 (A), VEGFA (B) and eNOS (C) in the rat heart tissues from Sham group (magnification = 100x). D-F Immunohistochemical staining micrographs of FGF2 (D), VEGFA (E) and eNOS (F) in the rat heart tissues from Model group (magnification = 100x). G-I D-F Immunohistochemical staining micrographs of FGF2 (D), VEGFA (E) and eNOS (F) in the rat heart tissues from HA + GA group (magnification = 100x)
Fig. 4.

Quantitative analysis of FGF2, VEGFA and eNOS protein expression levels in the rat heart tissues. A Quantitative image analyses of FGF2 protein were performed based on the IOD of positive immunostaining (brown) in the heart tissues from Sham, Model and HA + GA group. B Quantitative image analyses of VEGFA protein were performed based on the IOD of positive immunostaining (brown) in the heart tissues from Sham, Model and HA + GA group. C Quantitative image analyses of eNOS protein were performed based on the IOD of positive immunostaining (brown) in the heart tissues from Sham, Model and HA + GA group. Data are presented as mean ± SD, Sham group (n = 6), Model group (n = 10), and HA + GA group (n = 10). Significant differences between treatment groups were shown as *P < 0.05 and **P < 0.01
Untargeted metabolomics analysis results
The serum metabolites of the rats with different treatments were analyzed by using LC-MS/MS technique. Based on the LC-MS/MS analysis, we detected 9237 metabolite signatures of 9920 metabolites in positive and negative mode (Fig. 5). Figure 5A and B illustrated total ion flow chromatogram (TIC) in positive and negative mode, respectively, and the response intensity and retention time of peaks of each sample largely overlapped. Using unsupervised principal component analysis, QC samples were used to assess the quality of the experiment. as shown in the Fig. 5C and D, the distribution points of QC samples were clustered, indicating good reproducibility of the instrument.
Fig. 5.
LC/MS-MS analysis of serum metabolites of rats. (A and B) Total Ion Chromatography) plots in positive (A) and negative (B) ion modes. (C-D) PCA plots in positive (C) and negative (D) ion modes
To better distinguish the differences between groups, we performed the supervised PLS-DA, which enables the prediction of sample categories while reduces the dimensionality. Figure 6A and B demonstrated the PLS-DA results for the comparison between the Model group and HA + GA group. In the results, each point represents a sample, and the clustered sample points of the HA + GA group are remarkably distinct from that of the model group, indicating that there is a significant difference between the Model and HA + GA group. The replacement test of the PLS-DA also showed that the PLS-DA was not overfitted in our datasets (Fig. 6C and D).
Fig. 6.
PLS-DA analysis of serum metabolites from Model and HA + GA group. A and B (PLS-DA) plots of HA + GA group and Model group in positive (A) and negative (B) ion modes. C and D The corresponding substitution test plots in the positive (C) and negative (D) ion models
Furthermore, hierarchical cluster analysis of the differential metabolites was performed to examine the metabolite subgroups, and the results were presented as a heatmap. Figure 7 demonstrated the heatmap of the hierarchical cluster analysis in positive ion mode and negative ion mode between the HA + GA group and the model group, and highly expressed metabolites were found in both the Model group and HA + GA group. Based on the PLS-DA analysis, a total of 303 differential metabolites in the positive ion mode and a total of 170 differential metabolites in the negative ion mode between Model and HA + GA group were identified.
Fig. 7.
Heatmap plots of the differential serum metabolites between Model and HA + GA group (A and B) Heatmap plots of differential serum metabolites between HA + GA group and Model group in positive (A) ion mode and negative (B) ion mode, respectively
Furthermore, the associated metabolic pathways of the differential metabolites between Model and HA + GA group were also explored. As shown in the Table 3, isonicotinic acid, phosphatidylcholine, cardiolipin, estrogen glucuronide, and glycocholic acid were significantly up-regulated, while sphingosine and deoxycholic acid were significantly down-regulated in the HA + GA group compared with the Model group. The associated metabolic pathways included sphingolipid metabolism, sphingolipid signaling pathway, and glycerophospholipid metabolism (Table 3).
Table 3.
Differential metabolites and their metabolic pathways between the Model and HA + GA group
| MS2kegg | RT | M/Z | Formula | Regulated | Identification | Pathway |
|---|---|---|---|---|---|---|
| C07446 | 1.07 | 124.0387 | C6H5NO2 | up | Isonicotinic acid | Drug metabolism - other enzymes |
| C00319 | 3.20 | 300.2893 | C18H37NO2 | down | sphingosine | Sphingolipid metabolism |
| C00319 | 3.20 | 300.2893 | C18H37NO2 | down | sphingosine | Metabolic pathways |
| C00319 | 3.20 | 300.2893 | C18H37NO2 | down | sphingosine | Sphingolipid signaling pathway |
| C00319 | 3.20 | 300.2893 | C18H37NO2 | down | sphingosine | Apoptosis |
| C00157 | 4.96 | 580.3945 | C10H18N08PR2 | up | Phosphatidylcholine | Glycerophospholipid metabolism |
| C00157 | 4.96 | 580.3945 | C10H18N08PR2 | up | Phosphatidylcholine | Arachidonic acid metabolism |
| C00157 | 4.96 | 580.3945 | C10H18N08PR2 | up | Phosphatidylcholine | Linoleic acid metabolism |
| C00157 | 4.96 | 580.3945 | C10H18N08PR2 | up | Phosphatidylcholine | alpha-Linolenic acid metabolism |
| C00157 | 4.96 | 580.3945 | C10H18N08PR2 | up | Phosphatidylcholine | Metabolic pathways |
| C00157 | 4.96 | 580.3945 | C10H18N08PR2 | up | Phosphatidylcholine | Retrograde endocannabinoid signaling |
| C00157 | 4.96 | 580.3945 | C10H18N08PR2 | up | Phosphatidylcholine | Choline metabolism in cancer |
| C04483 | 3.33 | 391.2854 | C24H40O4 | down | Deoxycholic acid | Bile secretion |
| C11133 | 2.35 | 445.1907 | C24H30O8 | up | Estrone glucuronide | Steroid hormone biosynthesis |
| C01921 | 2.83 | 464.3029 | C26H43NO6 | up | Glycocholic acid | Primary bile acid biosynthesis |
| C01921 | 2.83 | 464.3029 | C26H43NO6 | up | Glycocholic acid | Metabolic pathways |
| C01921 | 2.83 | 464.3029 | C26H43NO6 | up | Glycocholic acid | Bile secretion |
| C05980 | 5.13 | 483.2734 | C13H18O17P2R2 | up | Cardiolipin | Glycerophospholipid metabolism |
Discussion
We aimed to investigate the protective effects of the active ingredients of Aconite and Glycyrrhiza glabra on rats with CHF. Firstly, we chose transthoracic echocardiography and HE staining to estimate effects of HA + GA on CHF rats. Then, we performed ELISA to examine the effects of HA + GA treatment on plasma TCHO and TG levels as well as immunohistochemistry to investigate expression levels of FGF, VEGFA and eNOS protein in CHF rats after HA + GA treatment. In addition, LC-MS/MS analysis used to determine the metabolic differences between the HA + GA group and the Model group and to find potential biomarkers and their possible metabolic pathways associated with CHF.
The biochemical tests revealed that TCHO and TG levels in Model were higher than in the HA + GA group, while the difference between the HA + GA and Sham groups was not statistically significant, suggesting that the protective effect of HA + GA on chronic heart failure was associated with a reduction in lipid levels. In hypercholesterolemic patients, plasma FGF2 levels were significantly lower, which was associated with the inhibitory effect of plasma low-density lipoprotein (LDL) [19]. In atherosclerotic lesions, VEGFA expression expressed in smooth muscle cells was significantly increased [20]. It is well known that eNOS has atherosclerotic effects through the synthesis of NO, which has been shown to promote atherosclerosis by oxidizing LDL. The immunohistochemistry results showed that the HA + GA group achieved a protective effect against CHF by up-regulating the expression of FGF2 and VEGFA proteins and attenuating eNOS protein expression.
Sphingolipids are a complex class of lipids consisting of a backbone sphinx base that can be phosphorylated, acylated, glycosylated, bridged to various head groups via phosphodiester bonds, or otherwise modified, resulting in hundreds of sphingolipid subspecies [12]. Sphingolipids have been found to be closely associated with cardiovascular disease; and sphingomyelin levels are significantly increased in atherosclerotic lesions [13], and Poss AM et al., showed that its serum levels have been suggested as a biomarker for cardiovascular disease [14]. Sphingosine is a biologically active signaling molecule among sphingolipid metabolites, and we observed that sphingosine levels were significantly downregulated in the HA + GA group compared to that in the Model group, and we speculated that HA + GA may achieve protective effects in rats with CHF by modulating sphingolipid metabolic pathways and sphingolipid signaling pathways.
Phosphatidylcholine is a common glycerophospholipid that is widely found in animal and plant tissues and egg yolk. The choline component of dietary phosphatidylcholine is metabolized by human intestinal microorganisms to produce trimethylamine-N-oxide (TMAO), which increased the risk of cardiovascular disease [21]. Paapstel K et al. found a negative correlation between serum phosphatidylcholine levels and vascular injury in patients with atherosclerosis [22]. We found that phosphatidylcholine levels were significantly upregulated in the HA + GA group compared to that in the Model group, suggesting that HA + GA achieves vascular protection in CHF rats by promoting the synthesis of phosphatidylcholine. Cardiolipin is a phospholipid specific to mitochondrial membranes and plays an important role in the composition and function of mitochondrial membranes. Impaired energy metabolism is a feature of heart failure, which is associated with iron deficiency and impaired mitochondrial function in patients with heart failure [16]. The important function of cardiolipin for mitochondria lies in its combined action on protein complexes and super complexes [23]. Even for green plants, cardiolipin plays an important role in the mitochondrial development and function [24]. We found that cardiolipin levels were significantly up-regulated in the HA + GA group, indicating that HA + GA achieved a protective effect against CHF in rats by modulating the glycerophospholipid pathway. In addition to regulating sphingolipid metabolic pathway and glycerophospholipid metabolic pathway, it is also related to regulate sphingolipid signaling pathway, apoptosis, arachidonic acid metabolism, linoleic acid metabolism, α-linolenic acid metabolism, and bile secretion pathway.
Conclusions
In conclusion, HA + GA showed protective effects on CHF in the rats, and the HA + GA may exert protective effects by reducing lipid levels, up-regulating the expression of FGF2 and VEGFA proteins, attenuating eNOS protein expression, and modulating metabolic pathways. However, the molecular mechanisms underlying HA + GA-mediated effects still require further examination. This paper also can give abundant theoretical basis for the clinical application of Acotinum combined Glycyrrhiza uralensis Fisch. Moreover, our results could supply new viewpoints for treatment targets on CHF.
Acknowledgements
We would like to show our gratitude to professor Wan Haitong, a respectable and responsible scholar of Zhejiang Chinese Medical University, who has provided us with valuable guidance and experimental facilities in the test process of this paper. We shall also extend our thanks to associate professor Zhou huifen, a resourceful teacher of Zhejiang Chinese Medical University, for all her kindness help and support in the prepare course of this paper.
Abbreviations
- ANOVA
One-way analysis of variance
- CHF
Chronic heart failure
- ELISA
Enzyme-linked immunosorbent assay
- eNOS
Endothelial nitric oxide synthase
- HA
Hypaconitine
- FGF2
Fibroblast growth factor 2
- IOD
Integrated optical density
- LDL
Low-density lipoprotein
- LVIDd
LV end-diastolic dimension
- LVIDs
LV end-systolic dimension
- GA
Glycyrrhetinic acid
- PFA
Paraformaldehyde
- RAAS
Renin-angiotensin-aldosterone-system
- SD
Standard deviation
- TAC
Transverse-aortic constriction
- TCHO
Total cholesterol
- TCMs
Traditional Chinese medicines
- TG
Triglyceride
- TIC
Total ion flow chromatogram
- UPLC
Ultra performance liquid chromatography
- VEGFA
Vascular endothelial growth factor A
Authors’ contributions
Liqin Wang and Haiming Deng wrote the main manuscript text, Tengyu Wang, Yun Qiao and Jianbin Zhu prepared the figures and tables, Mingfeng Xiong amended the manuscript, all authors reviewed the manuscript. The author(s) read and approved the final manuscript.
Funding
This work was supported by National Science Foundation of China (No. 81904087; 81800324 and 81960061); National Science Foundation of Jiangxi Province (No. 20181BAB215036 and 20192ACBL21040); Key project of Jiangxi Science and Technology Department (No.20203BBE52W010); 2019 National Training Program for Innovative Talents of Traditional Chinese Medicine; 2020 Training Program for Youth Talents of Traditional Chinese Medicine of Jiangxi Province; Xiong Monian Famous Chinese Medicine Teacher Inheritance Construction Project [Jiangxi Traditional Chinese Medicine Comprehensive (2021) No.12]. The first author sincerely thanks other authors of all experimental work for preparations of this manuscript.
Availability of data and materials
All the data generated and analyzed in this study are mentioned in this manuscript.
Declarations
Ethics approval and consent to participate
All animal experimental procedures were approved by the Animal Care and Use Committee of Zhejiang Chinese Medical University and complied with laboratory animal management and use regulations (SYXK (Zhejiang)2013–184). All methods were performed in accordance with the relevant guidelines and regulations. The study is reported in accordance with ARRIVE guidelines (https://arriveguidelines.org).
Consent for publication
Not applicable.
Competing interests
The authors declare that there is no conflict of interests regarding the publication of this paper.
Footnotes
Publisher’s Note
Springer Nature remains neutral with regard to jurisdictional claims in published maps and institutional affiliations.
Liqin Wang and Haiming Deng are the first co-authors of the manuscript.
Contributor Information
Jianbing Zhu, Email: zhujianbing543@163.com.
Mingfeng Xiong, Email: ncxmf1213@126.com.
References
- 1.Ziaeian B, Fonarow GC. Epidemiology and aetiology of heart failure. Nat Rev Cardiol. 2016;13(6):368–378. doi: 10.1038/nrcardio.2016.25. [DOI] [PMC free article] [PubMed] [Google Scholar]
- 2.Weber C, Noels H. Atherosclerosis: current pathogenesis and therapeutic options. Nat Med. 2011;17(11):1410–1422. doi: 10.1038/nm.2538. [DOI] [PubMed] [Google Scholar]
- 3.Bacmeister L, Schwarzl M, Warnke S, Stoffers B, Blankenberg S, Westermann D, Lindner D. Inflammation and fibrosis in murine models of heart failure. Basic Res Cardiol. 2019;114(3):19. doi: 10.1007/s00395-019-0722-5. [DOI] [PubMed] [Google Scholar]
- 4.Sztramko R, Chau V, Wong R. Adverse drug events and associated factors in heart failure therapy among the very elderly. CGJ. 2011;14(4):79–92. doi: 10.5770/cgj.v14i4.19. [DOI] [PMC free article] [PubMed] [Google Scholar]
- 5.Ren J, Fu L, Nile SH, Zhang J, Kai G. Salvia miltiorrhiza in treating cardiovascular diseases: a review on its pharmacological and clinical applications. Front Pharmacol. 2019;10:753. doi: 10.3389/fphar.2019.00753. [DOI] [PMC free article] [PubMed] [Google Scholar]
- 6.Karmazyn M, Gan XT. Treatment of the cardiac hypertrophic response and heart failure with ginseng, ginsenosides, and ginseng-related products. Can J Physiol Pharmacol. 2017;95(10):1170–1176. doi: 10.1139/cjpp-2017-0092. [DOI] [PubMed] [Google Scholar]
- 7.Ong Lai Teik D, Lee XS, Lim CJ, Low CM, Muslima M, Aquili L. Ginseng and ginkgo Biloba effects on cognition as modulated by cardiovascular reactivity: a randomised trial. PLoS One. 2016;11(3):e0150447. doi: 10.1371/journal.pone.0150447. [DOI] [PMC free article] [PubMed] [Google Scholar]
- 8.Yi M, Peng W, Chen X, Wang J, Chen Y. Effect of hypaconitine combined with liquiritin on the expression of calmodulin and connexin43 in rat cardiac muscle in vivo. J Pharm Pharmacol. 2012;64(11):1654–1658. doi: 10.1111/j.2042-7158.2012.01532.x. [DOI] [PubMed] [Google Scholar]
- 9.Xie S, Jia Y, Liu A, Dai R, Huang L. Hypaconitine-induced QT prolongation mediated through inhibition of KCNH2 (hERG) potassium channels in conscious dogs. J Ethnopharmacol. 2015;166:375–379. doi: 10.1016/j.jep.2015.03.023. [DOI] [PubMed] [Google Scholar]
- 10.Bai Y, Du S, Li F, Huang F, Deng R, Zhou J, Chen D. Histone deacetylase-high mobility group box-1 pathway targeted by hypaconitine suppresses the apoptosis of endothelial cells. Exper Biol Med (Maywood, NJ) 2017;242(5):527–535. doi: 10.1177/1535370216685433. [DOI] [PMC free article] [PubMed] [Google Scholar]
- 11.Wu HJ, Yang JY, Jin M, Wang SQ, Wu DL, Liu YN, Yan X, Yang C, Zhang G, He J. Glycyrrhetinic acid protects the heart from ischemia/reperfusion injury by attenuating the susceptibility and incidence of fatal ventricular arrhythmia during the reperfusion period in the rat hearts. Cell Physiol Biochem. 2015;36(2):741–752. doi: 10.1159/000430134. [DOI] [PubMed] [Google Scholar]
- 12.Zheng W, Kollmeyer J, Symolon H, Momin A, Munter E, Wang E, Kelly S, Allegood JC, Liu Y, Peng Q, et al. Ceramides and other bioactive sphingolipid backbones in health and disease: lipidomic analysis, metabolism and roles in membrane structure, dynamics, signaling and autophagy. Biochim Biophys Acta. 2006;1758(12):1864–1884. doi: 10.1016/j.bbamem.2006.08.009. [DOI] [PubMed] [Google Scholar]
- 13.Smith EB. Intimal and medial lipids in human aortas. Lancet (London, England) 1960;1(7128):799–803. doi: 10.1016/S0140-6736(60)90680-2. [DOI] [PubMed] [Google Scholar]
- 14.Poss AM, Maschek JA, Cox JE, Hauner BJ, Hopkins PN, Hunt SC, Holland WL, Summers SA, Playdon MC. Machine learning reveals serum sphingolipids as cholesterol-independent biomarkers of coronary artery disease. J Clin Invest. 2020;130(3):1363–1376. doi: 10.1172/JCI131838. [DOI] [PMC free article] [PubMed] [Google Scholar]
- 15.Wang L, He Y, Zhang Y, Zhou H, Yu L, Yang J, Wan H. Effects of active components of Fuzi and Gancao compatibility on Bax, Bcl-2, and Caspase-3 in chronic heart failure rats. eCAM. 2016;2016:7686045. doi: 10.1155/2016/7686045. [DOI] [PMC free article] [PubMed] [Google Scholar]
- 16.Melenovsky V, Petrak J, Mracek T, Benes J, Borlaug BA, Nuskova H, Pluhacek T, Spatenka J, Kovalcikova J, Drahota Z, et al. Myocardial iron content and mitochondrial function in human heart failure: a direct tissue analysis. Eur J Heart Fail. 2017;19(4):522–530. doi: 10.1002/ejhf.640. [DOI] [PubMed] [Google Scholar]
- 17.Hudson B, Hidalgo C, Saripalli C, Granzier H. Hyperphosphorylation of mouse cardiac titin contributes to transverse aortic constriction-induced diastolic dysfunction. Circ Res. 2011;109(8):858–866. doi: 10.1161/CIRCRESAHA.111.246819. [DOI] [PMC free article] [PubMed] [Google Scholar]
- 18.Lu Z, Xu X, Hu X, Lee S, Traverse JH, Zhu G, Fassett J, Tao Y, Zhang P, dos Remedios C, et al. Oxidative stress regulates left ventricular PDE5 expression in the failing heart. Circulation. 2010;121(13):1474–1483. doi: 10.1161/CIRCULATIONAHA.109.906818. [DOI] [PMC free article] [PubMed] [Google Scholar]
- 19.Chen CH, Jiang T, Yang JH, Jiang W, Lu J, Marathe GK, Pownall HJ, Ballantyne CM, McIntyre TM, Henry PD, et al. Low-density lipoprotein in hypercholesterolemic human plasma induces vascular endothelial cell apoptosis by inhibiting fibroblast growth factor 2 transcription. Circulation. 2003;107(16):2102–2108. doi: 10.1161/01.CIR.0000065220.70220.F7. [DOI] [PubMed] [Google Scholar]
- 20.Ho-Tin-Noé B, Le Dall J, Gomez D, Louedec L, Vranckx R, El-Bouchtaoui M, Legrès L, Meilhac O, Michel JB. Early atheroma-derived agonists of peroxisome proliferator-activated receptor-γ trigger intramedial angiogenesis in a smooth muscle cell-dependent manner. Circ Res. 2011;109(9):1003–1014. doi: 10.1161/CIRCRESAHA.110.235390. [DOI] [PubMed] [Google Scholar]
- 21.Tang WH, Wang Z, Levison BS, Koeth RA, Britt EB, Fu X, Wu Y, Hazen SL. Intestinal microbial metabolism of phosphatidylcholine and cardiovascular risk. N Engl J Med. 2013;368(17):1575–1584. doi: 10.1056/NEJMoa1109400. [DOI] [PMC free article] [PubMed] [Google Scholar]
- 22.Paapstel K, Kals J, Eha J, Tootsi K, Ottas A, Piir A, Jakobson M, Lieberg J, Zilmer M. Inverse relations of serum phosphatidylcholines and lysophosphatidylcholines with vascular damage and heart rate in patients with atherosclerosis. NMCD. 2018;28(1):44–52. doi: 10.1016/j.numecd.2017.07.011. [DOI] [PubMed] [Google Scholar]
- 23.Schlame M, Greenberg ML. Biosynthesis, remodeling and turnover of mitochondrial cardiolipin. Biochim Biophys Acta Mol Cell Biol Lipids. 2017;1862(1):3–7. doi: 10.1016/j.bbalip.2016.08.010. [DOI] [PMC free article] [PubMed] [Google Scholar]
- 24.Pineau B, Bourge M, Marion J, Mauve C, Gilard F, Maneta-Peyret L, Moreau P, Satiat-Jeunemaître B, Brown SC, De Paepe R, et al. The importance of cardiolipin synthase for mitochondrial ultrastructure, respiratory function, plant development, and stress responses in Arabidopsis. Plant Cell. 2013;25(10):4195–4208. doi: 10.1105/tpc.113.118018. [DOI] [PMC free article] [PubMed] [Google Scholar]
Associated Data
This section collects any data citations, data availability statements, or supplementary materials included in this article.
Data Availability Statement
All the data generated and analyzed in this study are mentioned in this manuscript.





