Abstract
Background
Patients with advanced gastric cancer (GC) often and can develop simultaneous or sequential duodenal and biliary obstructions resulting in reduced quality of life and significantly a reduction in the survival time. However, palliative management, insertion of biliary and duodenal metallic stents can relief these obstructions and has become a feasible and safe therapeutic strategic option. However, the operation of bimetallic stents placement is much more difficult and challenging, for instance, cannot prevent tumor progression and reemerge obstructions.
Case Description
This report describes and elucidates a patient with GC who has complicated duodenal and biliary obstructions. In this case, the patient was already at an advanced stage when diagnosed, and the patient had a past medical history of cardiac and pulmonary disorders, with the poor general condition and no chance of undergoing any form of laparoscopic surgery. Furthermore, this patient developed severe symptoms of duodenal and biliary obstructions which have resulted in having nutritional disorders and liver dysfunctions post chemotherapeutic treatment regimens. In order to get rid of those obstructions, endoscopic photodynamic therapy (PDT) combined with duodenal metal stent and biliary metal stent was utilized for palliative treatment. In addition, such combined strategies can provide a longer survival time (11 vs. 7.6 months reported before) and improve the quality of life for patients with GC at an advanced stage.
Conclusions
PDT combined with bimetallic stents is a safe and excellent therapeutic strategy for advanced GC which has complicated duodenal and biliary obstructions.
Keywords: Gastric cancer (GC), duodenobiliary obstruction, bimetallic stent, photodynamic therapy (PDT), case report
Introduction
Patients with advanced gastric cancer (GC) ailment complicated into duodenal and biliary obstructions cannot undergo any form of resectability at the time of diagnosis. Furthermore, most of these patients cannot tolerate any form of laparoscopic surgery and chemotherapy due to their nutritional status and liver dysfunctions, which significantly shortens their survival time and reduces their quality of life. The median overall survival (OS) remains 7.6 months (1). Thus, most patients with GC end up requiring palliative care.
Several reports have indicated that palliative care relieves symptoms and improves the quality of life in patients with advanced cancer (2,3). Moreover, the treatment strategic option of stent insertions is feasible, safe, and an effective method of treating malignant duodenobiliary obstructions (4). Nevertheless, the operation of simultaneous or sequential bimetallic stents placement is difficult due to limited interspace, and uncovered stents cannot prevent tumor progression, and tumor oppression reemerges obstructions. On the contrary, photodynamic therapy (PDT) is a noninvasive interventional treatment applied in the management of gastrointestinal tumors (5). A patient with GC and pyloric duodenal and biliary obstruction complications was admitted to our health center. Firstly, the duodenal metal stent was inserted to relieve her from pyloric duodenal obstruction. Secondly, PDT was utilized to suppress and squash the tumor which had grown and enlarged along the lumen. Finally, the patient was successfully treated by insertion of a duodenoscopic medical device and implantation of a biliary metal stent utilizing a procedure known as endoscopic retrograde cholangiopancreatography (ERCP) via the duodenal stent. We present the following article in accordance with the CARE reporting checklist (available at https://tcr.amegroups.com/article/view/10.21037/tcr-21-2651/rc).
Case presentation
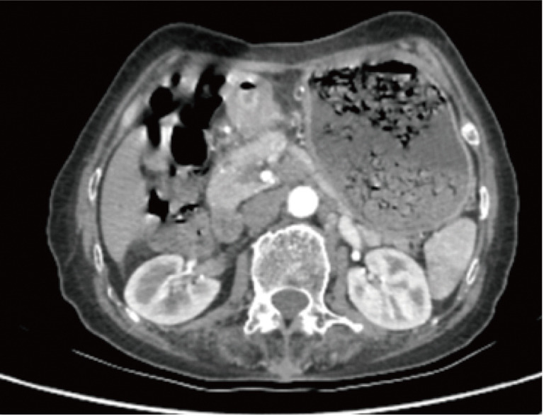
A 67-year-old- female patient was admitted to our health center on November 10th,2019 with an intermittent dull pain in the upper quadrants of the abdomen. Abdominal enhanced computed tomography (CT) scan showed a gastric occupying lesion, accompanied by multiple lymph node enlargement around the stomach, considered to be a gastric malignant tumor (Figure 1). A further examination by an endoscopic procedure revealed an advanced antrum carcinoma, and a biopsy confirmed a moderately to poorly differentiated adenocarcinoma of the antrum. Immunohistochemical staining showed CKpan (+), CK8/18 (+), Ki67 positive cell number 60%, CD56 (−), CD20 (−), Syn (−), HER–2 (−) (Figure 2) and serum tumor markers test were abnormal, CEA: 2.08 ng/mL, CA125: 16.93 U/mL, CA199: 5.75 U/mL. However, this patient’s primary diagnoses were gastric adenocarcinoma, chronic bronchitis, pulmonary emphysema and arteriosclerosis. Furthermore, the patient’s tumor-node-metastasis (TNM) stage, cT4N3M0, Karnofsky score, 80 points, and Eastern Cooperative Oncology Group (ECOG) score, 2 points, nutrition risk screening (NRS), 6 points.
Figure 1.

Abdominal computed tomography showed gastric horn occupying lesion accompanied by multiple lymph node enlargement around the stomach before chemotherapy.
Figure 2.
Pathological examination of the patient. (A) Histological examination showed moderately to poorly differentiated adenocarcinoma of the antrum. (B-H) Immunohistochemistry showed CKpan positive, CK8/18 positive, Ki67 positive cell number 60%, CD56 negative, CD20 negative, Syn negative, HER-2 negative, original magnification ×100. CK, cytokeratin.
Members of our multidisciplinary team convened to discuss the treatment and workup plan for this patient. Strikingly, the patient had advanced late-stage GC, cardiac and pulmonary disease complications, and received 4 cycles of neoadjuvant chemotherapy, Oxaliplatin: 130 mg/m2, S-1 (Teysuno): 40 mg/m2; repeated CT scan examination after 4 cycles showed the gastric antrum wall was slightly thinner, and the volume of perigastric lymph node was reduced, compared to the last CT result (Figure 3). We continued with the chemotherapy regimen. However, the patient suffered from repeated nausea, vomiting and severe weight loss and was basically unable to receive enteral nutrition, but could only rely on intravenous parenteral nutrition. On the contrary, the upper gastrointestinal contrast radiography showed a pyloric duodenal obstruction and an endoscopic examination procedure showed gastric retention and pyloric atresia (Figure 4A). In order to relieve her from the obstruction, a pyloric duodenal stent was inserted on the 27th of April, 2020, (Figure 4B,4C). After solving the obstruction problem in the gastric antrum, the patient resumed oral diet, gradually from liquid to solid diet and her nutritional status improved remarkably.
Figure 3.

Abdominal computed tomography showed gastric antrum wall was slightly thinner, and the volume of perigastric lymph node was reduced, compared to the last CT scan results post chemotherapy.
Figure 4.
Duodenal metal stent placement. (A) endoscopy showed gastric retention and pyloric atresia. (B) duodenal metal stent (red arrow) was placed by using an endoscopic equipment. (C) X-ray showed duodenal metal stent position (red arrow).
On the 27th of May, 2020, the patient developed yellow jaundice of the sclera(eyes) and skin. Laboratory tests showed an elevated total bilirubin;75.0 µmol/L and direct bilirubin; 45.2 µmol/L. In addition, an abdominal CT scan revealed a reflux esophagitis, distal gastric malignant tumor and a stent implantation, accompanied by multiple lymph node enlargement around the stomach, intrahepatic bile duct dilatation and the common bile duct was not clearly displayed due to tumor compression (Figure 5A). Furthermore, magnetic resonance imaging (MRI) showed a stenosis in the middle portion of the common bile duct and the dilatation of the intra- and extra-hepatic biliary tree (Figure 5B). Because of pyloric obstruction, duodenoscopy alleviated the biliary obstruction combined with an ERCP procedure through the pylorus. Furthermore, the authors and team members utilized the photodynamic laser fiber therapy for the further irradiation and suppression of the tumor, and permitted the duodenal stent to dilate further, creating enough space for the duodenoscope to pass through. Moreover, 48 hours prior to laser irradiation, a photosensitizer (hematoporphyrin injection, Hiporfin) was administered by intravenous infusion at a dose of 3 mg/kg, and the patient was subsequently protected from exposure to sunlight. An oral local anesthetic was administered preoperatively to relieve pain during the PDT session. In addition, the laser fiber was placed at the tumor site for irradiation and the target dose of irradiation was set to 630 nm, 800 mW, 720 J for 15 min, and continuous subsequent PDT irradiation sessions for 3 consecutive days for 15 min (Figure 6A-6D). The endoscopic procedure showed a huge necrotic tissue along the laser irradiated region. There was no discomfort during the irradiation session, and the patient was required to avoid exposure to light sources for 1 month after PDT. On the contrary, one-month post PDT, an endoscopic procedure was reperformed for the evaluation of its treatment efficacy. Upon performing an endoscopic evaluation procedure, necrotic tissues and new and fresh mucosal formation were observed around the laser irradiation region of the lesion, and the lumen was no longer obstructed (Figure 6E). The endoscopic device could safely pass through the obstructed region. The patient was successfully treated by biliary metal stent implantation and the utilization of the ERCP procedure through the pyloric stent (Figure 7A-7C). Nonetheless, laboratory tests postoperatively showed total bilirubin; 19.1 µmol/L, direct bilirubin; 8.1 µmol/L. Furthermore, an X-ray revealed that the duodenal stent and biliary metal stent were stationary and in situ with good dilation (Figure 7D). A detailed timeline of this patient information episode of care is well illustrated in Figure 8.
Figure 5.
Biliary obstruction imaging of the patient. (A) Abdominal computed tomography showed intrahepatic bile duct dilatation and the common bile duct was not clearly displayed due to tumor compression of the common bile duct. (B) Magnetic resonance imaging showed stenosis of the middle portion of the common bile duct and the dilatation of intra- and extra-hepatic biliary tree.
Figure 6.
PDT process of the patient. (A) Gastroscopy images showed gastric cancer. (B) First PDT. (C) Second PDT. (D) Gastroscopy images showed necrosis and shedding off of cancer tissues after third the PDT session. (E) Gastroscopy images showed a huge amount of necrotic tissue and new mucosa in the laser irradiation region of the lesion, and the lumen was unobstructed. PDT, photodynamic therapy.
Figure 7.

Biliary metal stent placement process of the patient. (A) X-ray showed duodenal metal stent position (red arrow). (B) Endoscope inserted through the duodenal stent (red arrow) to perform ERCP. (C) Biliary metal stent (white arrow) placement. (D) X-ray showed expansion of duodenal metal stent (red arrow) and biliary metal stent (white arrow) after 1 week. ERCP, endoscopic retrograde cholangiopancreatography
Figure 8.
Schematic diagram for the patient timeline information.
All procedures performed in this study were in accordance with the ethical standards of the institutional and/or national research committee(s) and with the Helsinki Declaration (as revised in 2013). Written informed consent was obtained from the patient for publication of this case report and accompanying images. A copy of the written consent is available for review by the editorial office of this journal.
Postoperative course
After a series of treatments, nausea, vomiting, abdominal pain, abdominal distention, jaundice and other symptoms had been resolved and alleviated. This patient commenced a regular liquid diet, on the second day after treatment. The patient`s quality of life improved remarkably and significantly. The patient was discharged 3 days post treatment and regular follow-up was required. After the failure of first-line chemotherapy, we recommend second-line chemotherapy with paclitaxel, but the patient’s family refused further treatment. After 97 days of follow-up, unfortunately the patient’s life was terminated due to tumor progression, which had enlarged and metastasized into the peritoneum. The OS time of the patient from first time treatment up until her departure was 11 months.
Discussion and conclusions
Cancer is the leading cause of death worldwide. Among all new cancer types as from the year 2020, GC has accounted for 1,089,103 new cases and 768,793 deaths within a period of one year or annually. It ranks fifth in incidence and fourth in mortality cases among all cancers globally (6). GC is the most common malignant gastrointestinal tumor in China, and its prognosis is extremely poor, the 5-year OS rate is only 35.1% (7). However, some patients with GC develop some obstructions of the duodenum and biliary with the progression of the disease. When these patients are diagnosed, most of them are already found to be at an advanced stage. Furthermore, only 15% of them have the opportunity to undergo surgery and the prognosis is usually very poor, and an average survival time of only 6 months (8). Regarding patients with advanced GC, chemotherapy, targeted therapy, radiotherapy and immunotherapy are effective therapeutic modalities. However, patients with poor disease conditions cannot tolerate the adverse effects of these treatments. On the contrary, the selection of more effective and safe treatment is a key element. Patients with duodenal obstruction will have nausea, vomiting, ingestion difficulties, weight loss and other manifestations. Nevertheless, 70–90% of patients with biliary obstruction normally develop jaundice, pruritus, anorexia, coagulation dysfunction, cholangitis and other related clinical symptoms (9). These symptoms could lead to a serious decrease in the quality of life of patients, the survival time of these patients is short and the general condition is relatively poor, so it is necessary for these patients to accept the minimum invasive operation and effective measures to alleviate and relieve them from life threatening symptoms.
Those patients with an adequate performance status despite advanced disease have been treated by palliative surgical bypass techniques. In addition, the intervention treatment, oral or percutaneous duodenal stent combined with biliary stent, can also be used to relieve them from obstructions. Maetani et al. found out that surgical treatment and intervention treatment in two groups of patients in, surgical success rate, whether they require parenteral nutrition, had no significant statistical differences between complications and mortality rates. However, patients undergoing intervention treatment resumed oral feeding, second day postoperatively, and surgery only required nine days (10). Interventional treatment of metal stent has been proved by many scholars to be an effective, safe and feasible treatment modality for biliary and duodenal obstructions (11). Kwon et al. showed the position of the duodenal and biliary stent was an important factor affecting their function. The location of the distal end of biliary stent was the only independent predictor of its patency. The rate of stent occlusion was higher in patients whose biliary stents were inside the distal duodenal stents than in patients whose biliary stents were located beyond the duodenum (4).
Although bimetallic stents can solve and alleviate obstruction problems of the duodenum and biliary, due to the progression of the tumor, it may invade the interior of the metal stent or squeeze the stent, resulting in stent dysfunction and recurrence of obstruction (12). Nonetheless, with the development of laser therapy, PDT has been used for tumor management. Furthermore, PDT is a noninvasive interventional treatment based on light with low toxicity, precisely targeting the treatment of gastrointestinal tumors through endoscopic equipment. In addition, photosensitizers are applied and then activated by light at an appropriate wavelength and intensity. Moreover, this creates a photodynamic reaction that ablates the tumor and the vasculature (13). During this procedure, the production of singlet oxygen and other reactive chemical free radicals lead to local nonthermal cell damage, vascular thrombosis, and necrosis (14). PDT has been used to treat patients with inoperable GC since 1990 (15). Mimura et al. showed complete responses (CR) of patients with early GC were obtained in 88% and the response rate was 100% of all patients evaluated (16). Nakamura et al. found out that PDT was a safe and effective treatment for early GC and the CR obtained was 71.4% (17). On the contrary, Oinuma et al. established and published a national questionnaire survey of clinical usage and results of PDT for early GC in Japan. In this study, PDT revealed a CR rate of 73.7% in patients with tumors 2 cm or smaller concomitant with an ulcerative scar rendering patients eligible for CR (18). Nakamura et al. reported an elderly patient with an advanced GC, to be successfully treated with repeated PDT using talaporfin sodium (19). Compared with PDT alone, some combination therapies can significantly reduce the postoperative recurrence rate of PDT (5). With regard to esophageal cancer, the efficacy and one-year survival rate of PDT combined with chemotherapy were significantly higher than those of chemotherapy as a single treatment regimen (20). Although there is no direct clinical evidence of PDT in GC combined with chemotherapy, the study revealed PDT could serve as a desirable strategy to reverse Paclitaxel’s resistance of GC cells combined with chemotherapy via generating excessive reactive oxygen species and effectively inhibiting P-gap’s efflux pump function (21).
In this case, the patient emerged local progression, pyloric obstruction after chemotherapy, and ultimately resulted in nutritional disorders and dysfunction. Furthermore, the duodenal stent was employed to relieve the obstruction. Although we also recommended PDT treatment after the duodenal stent insertion for the patient, due to economic and family factors, the patient’s family required PDT treatment for the next cycle of treatment. The best time for PDT treatment has been missed, the patient developed biliary obstruction very quickly because of the compression of the tumor. Nevertheless, if the patient developed further cachexia and liver dysfunction, she could not receive subsequent second-line or third-line treatments. The current general state of the patient was poor and could not receive any radiotherapy or chemotherapy, and the side effects would have further increased. For purposes of improving nutrition and liver dysfunction, PDT was applied to inhibit tumor progression, reduce tumor load, and increase lumen space and patency. Subsequently, the biliary metal stent was used to solve biliary obstruction problem. The patient was initially commenced on a liquid diet, then gradually to a solid diet two weeks later, and eventually returned to a normal dietary habit thereafter treatment. After strictly being protected and prevented from light exposure, the patient did not develop any photoallergic reaction.
This case report demonstrates that PDT combined with bimetallic stents is a safe and excellent therapeutic strategy for advanced GC which has complicated duodenal and biliary obstructions. However, there are still some limitations to the clinical application of PDT, such as the risk of perforation for ulcerative types, complete irradiation of for deep rooted solid tumors, and the risk of relapse. Moreover, patients avoided sunlight for a long time after PDT treatment, and some patients develop photoallergic reactions due to irregularities in gaining access to light. Hence, a new generation of photosensitizers, more specifically targeting solid tumors with fewer side effects, are required. Ultimately, more clinical trials and high-quality mechanistic studies on PDT combined with other therapies are very necessary.
Supplementary
The article’s supplementary files as
Acknowledgments
Funding: This study was supported by Key Project of Science and Technology in Gansu province (19ZD2WA001) and Key Talents Program of Gansu Province (2019RCXM020) and Cuiying Scientific and Technological Innovation Program of Lanzhou University Second Hospital (No. CY2017-ZD01) and Science and technology project of Chengguan District of Lanzhou City (2019RCCX0034) and Science and technology project of Chengguan District of Lanzhou City (2020SHFZ0039) and Science and technology project of Chengguan District of Lanzhou City (2020JSCX0073).
Ethical Statement: The authors are accountable for all aspects of the work in ensuring that questions related to the accuracy or integrity of any part of the work are appropriately investigated and resolved. All procedures performed in this study were in accordance with the ethical standards of the institutional and/or national research committee(s) and with the Helsinki Declaration (as revised in 2013). Written informed consent was obtained from the patient for publication of this case report and accompanying images. A copy of the written consent is available for review by the editorial office of this journal.
Footnotes
Reporting Checklist: The authors have completed the CARE reporting checklist. Available at https://tcr.amegroups.com/article/view/10.21037/tcr-21-2651/rc
Conflicts of Interest: All authors have completed the ICMJE uniform disclosure form (available at https://tcr.amegroups.com/article/view/10.21037/tcr-21-2651/coif). The authors have no conflicts of interest to declare.
References
- 1.Takeno A, Takiguchi S, Fujita J, et al. Clinical outcome and indications for palliative gastrojejunostomy in unresectable advanced gastric cancer: multi-institutional retrospective analysis. Ann Surg Oncol 2013;20:3527-33. 10.1245/s10434-013-3033-3 [DOI] [PubMed] [Google Scholar]
- 2.Bakitas M, Lyons KD, Hegel MT, et al. Effects of a palliative care intervention on clinical outcomes in patients with advanced cancer: the Project ENABLE II randomized controlled trial. JAMA 2009;302:741-9. 10.1001/jama.2009.1198 [DOI] [PMC free article] [PubMed] [Google Scholar]
- 3.Zimmermann C, Swami N, Krzyzanowska M, et al. Early palliative care for patients with advanced cancer: a cluster-randomised controlled trial. Lancet 2014;383:1721-30. 10.1016/S0140-6736(13)62416-2 [DOI] [PubMed] [Google Scholar]
- 4.Kwon JH, Gwon DI, Kim JW, et al. Percutaneous Biliary Metallic Stent Insertion in Patients with Malignant Duodenobiliary Obstruction: Outcomes and Factors Influencing Biliary Stent Patency. Korean J Radiol 2020;21:695-706. 10.3348/kjr.2019.0753 [DOI] [PMC free article] [PubMed] [Google Scholar]
- 5.Zhao W, Zhao J, Kang L, et al. Fluoroscopy-Guided Salvage Photodynamic Therapy Combined with Nanoparticle Albumin-Bound Paclitaxel for Locally Advanced Esophageal Cancer after Chemoradiotherapy: A Case Report and Literature Review. Cancer Biother Radiopharm 2022;37:410-6. 10.1089/cbr.2020.4595 [DOI] [PubMed] [Google Scholar]
- 6.Bray F, Ferlay J, Soerjomataram I, et al. Global cancer statistics 2018: GLOBOCAN estimates of incidence and mortality worldwide for 36 cancers in 185 countries. CA Cancer J Clin 2018;68:394-424. 10.3322/caac.21492 [DOI] [PubMed] [Google Scholar]
- 7.Zeng H, Chen W, Zheng R, et al. Changing cancer survival in China during 2003-15: a pooled analysis of 17 population-based cancer registries. Lancet Glob Health 2018;6:e555-67. 10.1016/S2214-109X(18)30127-X [DOI] [PubMed] [Google Scholar]
- 8.Baron TH. Expandable metal stents for the treatment of cancerous obstruction of the gastrointestinal tract. N Engl J Med 2001;344:1681-7. 10.1056/NEJM200105313442206 [DOI] [PubMed] [Google Scholar]
- 9.Lopera JE, Brazzini A, Gonzales A, et al. Gastroduodenal stent placement: current status. Radiographics 2004;24:1561-73. 10.1148/rg.246045033 [DOI] [PubMed] [Google Scholar]
- 10.Maetani I, Tada T, Ukita T, et al. Comparison of duodenal stent placement with surgical gastrojejunostomy for palliation in patients with duodenal obstructions caused by pancreaticobiliary malignancies. Endoscopy 2004;36:73-8. 10.1055/s-2004-814123 [DOI] [PubMed] [Google Scholar]
- 11.Inal M, Akgül E, Aksungur E, et al. Percutaneous placement of biliary metallic stents in patients with malignant hilar obstruction: unilobar versus bilobar drainage. J Vasc Interv Radiol 2003;14:1409-16. 10.1097/01.RVI.0000096762.74047.A6 [DOI] [PubMed] [Google Scholar]
- 12.Lee E, Gwon DI, Ko GY, et al. Percutaneous biliary covered stent insertion in patients with malignant duodenobiliary obstruction. Acta Radiol 2015;56:166-73. 10.1177/0284185114523267 [DOI] [PubMed] [Google Scholar]
- 13.Rkein AM, Ozog DM. Photodynamic therapy. Dermatol Clin 2014;32:415-25, x. 10.1016/j.det.2014.03.009 [DOI] [PubMed] [Google Scholar]
- 14.Petersen BT, Chuttani R, Croffie J, et al. Photodynamic therapy for gastrointestinal disease. Gastrointest Endosc 2006;63:927-32. 10.1016/j.gie.2006.02.044 [DOI] [PubMed] [Google Scholar]
- 15.Nakamura T, Ejiri M, Fujisawa T, et al. Photodynamic therapy for early gastric cancer using a pulsed gold vapor laser. J Clin Laser Med Surg 1990;8:63-7. 10.1089/clm.1990.8.63 [DOI] [PubMed] [Google Scholar]
- 16.Mimura S, Ito Y, Nagayo T, et al. Cooperative clinical trial of photodynamic therapy with photofrin II and excimer dye laser for early gastric cancer. Lasers Surg Med 1996;19:168-72. [DOI] [PubMed] [Google Scholar]
- 17.Nakamura T, Oinuma T, Yamagishi H, et al. Evaluation of a novel high-resolution magnifying videoendoscope that is capable of photodynamic diagnosis and therapy for gastric cancer. Photodiagnosis Photodyn Ther 2015;12:115-22. 10.1016/j.pdpdt.2014.10.010 [DOI] [PubMed] [Google Scholar]
- 18.Oinuma T, Nakamura T, Nishiwaki Y. Report on the National Survey of Photodynamic Therapy (PDT) for Gastric Cancer in Japan (a secondary publication). Laser Ther 2016;25:87-98. 10.5978/islsm.16-OR-06 [DOI] [PMC free article] [PubMed] [Google Scholar]
- 19.Nakamura T, Oinuma T. Usefulness of Photodynamic Diagnosis and Therapy using Talaporfin Sodium for an Advanced-aged Patient with Inoperable Gastric Cancer (a secondary publication). Laser Ther 2014;23:201-10. 10.5978/islsm.14-OR-16 [DOI] [PMC free article] [PubMed] [Google Scholar]
- 20.Chen B, Xiong L, Chen WD, et al. Photodynamic therapy for middle-advanced stage upper gastrointestinal carcinomas: A systematic review and meta-analysis. World J Clin Cases 2018;6:650-8. 10.12998/wjcc.v6.i13.650 [DOI] [PMC free article] [PubMed] [Google Scholar]
- 21.Guo W, Chen Z, Feng X, et al. Graphene oxide (GO)-based nanosheets with combined chemo/photothermal/photodynamic therapy to overcome gastric cancer (GC) paclitaxel resistance by reducing mitochondria-derived adenosine-triphosphate (ATP). J Nanobiotechnology 2021;19:146. 10.1186/s12951-021-00874-9 [DOI] [PMC free article] [PubMed] [Google Scholar] [Retracted]
Associated Data
This section collects any data citations, data availability statements, or supplementary materials included in this article.
Supplementary Materials
The article’s supplementary files as





