Abstract
Colon cancer (CC) is a common form of cancer worldwide. According to growing incidence of cancer and little information about the possible protective role of Ivermectin (IVM) on colon cancer, this study aimed to investigate the chemoprotective role of IVM against colon cancer induced by Dimethylhydrazine (DMH) in Male Wistar Rats. Based on LD50, three doses of IVM (0.25, 0.5, and 1 mg/kg) were applied before assayingthe antioxidant status, apoptotic markers, and microscopic analysis. Our result showed that glutathione (GSH) level was significantly increased in low dose of IVM-treated rats. Hight levels of oxidative stress and tissue damage consumed GSH and catalase (CAT), and dismutase (SOD) as indicated by significant drop in the treated groups. mRNA levels of Bax and caspase-3 were upregulated in rats treated with the high dose. Contrastingly, the expression of Bcl-2 was significantly downregulated with high dose. Changes in genes expression proved that IVM triggered apoptosis in treated groups compared to untreated control group. Microscopic analysis showed that rats treated with DMH exhibited high development of colorectal tumor. After induction of colorectal tumor, medium and high dose of DMH induced reduction in medullary carcinoma with great incidence of lymphoid nodules and desmoplastic reaction. In conclusion, this study demonstrates the potential of IVM as an anticancer drug against colon cancer in male Wistar rats.
Keywords: Colon cancer, Ivermectin, Dimethylhydrazine, Rats, Apoptosis, Oxidative stress
1. Introduction
Globally, cancer remains one of the leading causes of mortality (Ferlay et al., 2020). CC was the third common diagnosed cancer (Zhou et al., 2021, Siegel et al., 2022). DMH has been applied as colon carcinogen in experimental animals due to its high pathological similarity with human diseases (Perse and Cerar, 2011, Rubio, 2017). The global prevalence of CC has been the main driver for researchers to develop effective strategies for the treatment of this disease.
CC mostly linked to environmental factors and lifestyle. True inherited pattern carries a higher risk at younger than 50 years. The most common inherited CRC syndromes are familial adenomatous polyposis (FAP) and Lynch syndrome (hereditary non-polyposis colorectal cancer [HNPCC]). Personal or family history of CRC indicate a high risk for synchronous and metachronous CRC primary cancer up to 3–5% at 5 years or even longer after resection requiring a closer screening interval. Other illnesses that increase the risk higher of CC are diabetes, uncontrolled acromegaly disease, and long-term immunosuppressed renal transplant. Large population studies with variable strength evidence have found CRC protective factors such as physical activity, diet, vitamin supplements, garlic and coffee, and other factors (Allen et al., 2019; Snyder et al., 2019).
IVM was initially found to have anthelmintic activity in 1975 and as such, it was developed as antiparasitic. It was widely applied in animal husbandry and veterinary practice and then produced commercially in 1981 for the control of parasites in animals. IVM was approved by World Health Organization (WHO) for human use in 1987, and its applications in humans were then developed (Laing et al., 2017, Ōmura and Crump, 2017). IVM was the first macrocyclic lactone developed, which was obtained from the actinomycete, Streptomyces avermitilis, and it acts as endectocide in animals and humans. The WHO has developed various preventive strategies involving the use of IVM to eliminate onchocerciasis and lymphatic filariasis and to reduce malaria transmission. In addition, it has been used in humans to treat many other parasitic diseases (Ashour, 2019). IVM antiparasitic mechanism of action includes targeting gated and gamma-aminobutyric acid (GABA) and glutamate-gated chloride channels, enhancing the conductance of chloride ions that causes parasitic motor paralysis (Geary, 2005).
Recently, IVM has been implicated in many other biomedical applications including antiviral (Wang et al., 2019), anti-inflammatory, antiallergic (Schaller et al., 2017, Ventre et al., 2017), and anticancer applications (Dominguez-Gomez et al., 2018, Wang et al., 2018). The antineoplastic activities of IVM against many types of cancer are due to its molecular mechanisms related to apoptosis and oxidative stress pathways (Dominguez-Gomez et al., 2018, Juarez et al., 2018, Wang et al., 2018). IVM enhances the existence of free radicals and intracellular reactive oxygen species (ROS) in cancer cells leading to apoptosis (Dominguez-Gomez et al., 2018). IVM has also been reported to block the pathway involving transcription factor of T-cells, Wnt/TCF, and inhibit multidrug resistance (MDR) proteins, and the AKT/mTOR pathway. In addition, it induced the degradation of p21 – activated kinase (PAK-1), a main oncogenic kinase (Melotti et al., 2014, Juarez et al., 2018). It is effective against melanoma, glioma multiforme, skin and lung cancer as well as colon cancer by Wnt-TCF blocking (Dominguez-Gomez et al., 2018). Variation in the prevalence is not only noticeable in the percentages of infrequent illnesses but also in various domestic tumor diseases. Even though, there is a diminishing rate of Helicobacter pylori infection which is associated with gastric cancer, an inborn non-polyposis form of colorectal cancer (Capelle et al., 2010, Vasen et al., 2015). Novel cures for colorectal metastatic cancer have been developed and comprise of neoadjuvant and comforting chemotherapy, laparoscopic surgery for key diseases, radiotherapy for some forms of metastatic disease resectioning for lungs and liver (Hurwitz et al., 2004, Papamichael et al., 2014, Heemskerk-Gerritsen et al., 2015).
According to the growing incidence of cancer and little information about the possible protective role of IVM on colon cancer, this study is undertaken to investigate the chemoprotective role of IVM against colon cancer in Male Wistar Rats. The outcomes will provide a deep understanding of the preventive effects of IVM against colon cancer in male Wistar rats.
2. Materials and methods
2.1. Experimental animals
After obtaining the ethical approval by the King Saud University Ethics of Scientific Research Committee, no: (KSU‐SE‐20‐20), forty Wistar male rats weighing 120−150 g were supplied by the animal house (College of Sciences, King Saud University) and were housed in polyethylene cages under standard laboratory conditions and normal dark/light cycle. Animals were acclimatized for one week before starting the experiment.
2.2. Induction of colonic cancer
DMH was purchased from Sigma-Aldrich (St. Louis, Missouri, USA). DMH was prepared by dissolving it in 1 mM EDTA and the pH was adjusted up to 6.5 with 1 M sodium hydroxide (Chari et al., 2018). The induction phase is 10 weeks where the carcinogen administers once weekly by subcutaneous injection in a dose of 40 mg/kg (Lee et al., 2020). The three doses of IVM were determined based on LD50 (50 mg/Kg) (Botham, 2002).
2.3. Experimental design
A total of 40 male rats were randomly divided into 8 groups (5 rats/group) as follows: Group-1; animals received normal saline (negative control) for five weeks by subcutaneous injection. Group-2, 3, and 4; animals received IVM for 10 weeks at doses (0.25, 0.5 and 1 mg/kg respectively. Group-5; animals received 40 mg/kg b.wt of DMH (positive control) by subcutaneous injection, twice a week for five weeks. Group-6; animals received a daily dose of IVM (0.25 mg/kg) for 10 weeks plus a dose of DMH (40 mg/kg b.wt), twice a week for five weeks. Group-7: animals received a daily dose of IVM (0.5 mg/kg) for 10 weeks plus a dose of DMH (40 mg/kg b.wt), twice a week for five weeks. Group-8: animals received a daily dose of IVM (1 mg/kg)) for 10 weeks plus DMH (40 mg/kg b.wt /twice a week for five weeks). IVM was given for 1 week before the subcutaneous injection of DMH and continued for 14 weeks after the last DMH dose (Dadarkar et al., 2007).
2.4. Blood collection
Blood samples (5 rats per group) were collected via retro-orbital bleeding under ketamine/xylazine anesthesia. Blood samples were left to clot at room temperature and then centrifuged at 3000 rpm for 15 min. The serum was then, separated and stored at −20 °C as aliquots for further biochemical analysis.
2.5. Assessment of oxidative stress
At the end of the experimental period, blood samples were collected and were left to clot at room temperature, and then centrifuged at 3000 rpm for 15 min. The serum was then, separated and stored at −20 °C as aliquots for further analysis. Assessment of GSH was carried out using ready-made kits (Jollow et al., 1974). The estimation of CAT activity was conducted following the protocol of (Engel and Furthmayr, 1987). SOD was estimated using the colorimetric protocol of the Bio-diagnostic kit (Habig et al., 1974). The assessment of MDA which is an indication of lipid peroxidation; and a supporting marker of oxidative damage was experimented following Ohkawa et al. (1979).
2.6. Gene expression
Total RNA was isolated from the colon tissue using an RNA extraction kit (Khan et al., 2017). The expression of apoptotic genes; caspase-3, Bcl-2, and Bax, were investigated by RT-PCR. RNA was treated with RNase-free DNase according to the manufacturer’s protocol. The cDNA was synthesized using a cDNA synthesis kit by quantitative RT-PCR using TaqMan (Applied Biosystems) gene expression assay. Table.1 shows the sequences of primers used in RT-PCR. The relative amount of RNA was calculated with the cycle threshold (Ct) method. Gene expression was normalized with the reference gene. Briefly, the data are presented as the fold change in gene expression normalized to the endogenous reference gene GAPDH. The fold change in the level of target genes between treated and untreated cells, corrected by the level of GAPDH, was determined using the following equation: fold change = 2−(ΔΔCt), where ΔCt = Ct(target) – Ct (GAPDH) and ΔΔCt = ΔCt(treated) – Ct(untreated).
Table 1.
Sequences of primers used in RT-PCR.
| Gene | Forward | Reverse |
|---|---|---|
| GAPDH | 5′-CAACTCCCTCAAGATTGTCAGCAA- 3′ | 5′-GGCATGGACTGTGGTCATGA-3′ |
|
5′-CGGCGAATTGGAGATGAACTGG-3′ | CTAGCAAAGTAGAAGAGGGCAACC-3′ |
|
5-GTGGAACTGACGATGATATGGC-3 | 5-CGCAAAGTGACTGGATGAACC-3 |
|
5′-TGTGGATGACTGACTACCTGAACC-3′ | 5′-CAGCCAGGAGAAATCAAACAGAGG-3′ |
2.7. Tissue preparation and examination
Rats were sacrificed by cervical disarticulation post-blood gathering. Quickly, the colon was removed from each animal and was rinsed with 0.9 % NaCl solution followed by rinsing in distilled water. In brief; tissue was saturated using sodium phosphate buffer saline [pH 7.4] in a medium containing ice, and 0.1 mM EDTA to eliminate any clots and red blood cells. At that time, tissue was blended in 5 ml ice-cold 50 mM sodium phosphate buffer saline and precipitated at 5000 rpm for 30 min. The supernatant was collected in 1 ml tubes and stored at −20 °C. Colon tissue was fixed in 10 % neutral buffered formalin (NBF), dehydrated using 50–100% gradient ethanol, rinsed with xylene, and set in paraffin. Preparation of 5 µm thick sections was made and later stained with eosin and hematoxylin. Microscopic examination was performed to find out any pathological observations in colonic tissue and for aberrant cryptic foci count in colon sections.
3. Results
3.1. Oxidative stress and antioxidant status
As shown in Fig. 1, the GSH level was significantly increased in rats treated with low dose of IVM compared to control. In contrast, there was a significant reduction in GSH levels with a high dose of IVM. Furthermore, the GSH level was significantly decreased in rats treated with DMH compared to the combination of DMH and a high concentration of IVM. CAT results showed after treatment with low and high doses of IVM and with DMH alone were significantly reduced in rats treated compared to untreated rats. A higher reduction was observed in the rats treated with medium dose of IVM and also in rats treated with a combination of DMH and high dose of IVM compared to control (Fig. 2). The activity of SOD after treatment with medium doses of IVM and with a combination of DMH and high doses of IVM was significantly reduced. Furthermore, there was a significant reduction after treatment with high dose of IVM alone compared to control. Moreover, obtained results showed that the activity of SOD in response to treatment with the combination of DMH and both low and medium doses of IVM was significantly decreased compared to control (Fig. 3). Also, present results showed that the activity of MDA after treatment with a low dose was significantly reduced compared to control. Furthermore, rats treated with a combination of DMH and medium-dose IVM showed significantly reduced MDA compared to DMH alone (Fig. 4).
Fig. 1.
Shows the levels of GSH (U/L) in treated rats. Data represents the mean ± SE (n = 5). (* p < 0.05, ** p < 0.01, *** p < 0.001) compared with untreated cells.
Fig. 2.
Shows the level of CAT activity (U/L) in treated rats. Data represents the mean ± SE (n = 5). (* p < 0.05, ** p < 0.01, *** p < 0.001) compared with untreated cells.
Fig. 3.
Shows the levels of SOD activity (u/ml) in treated rats. Data represents the mean ± SE (n = 5). (* p < 0.05, ** p < 0.01, *** p < 0.001) compared with untreated cells.
Fig. 4.
Shows the levels of MDA Activity (nmo/ml) in treated rats. Data represents the mean ± SE (n = 5). (* p < 0.05, ** p < 0.01, *** p < 0.001) compared with untreated cells.
3.2. Gene expressions
The effects of DMH and IVM on the expression of apoptotic markers were shown in Fig. 5. The levels of mRNA expression of Bax and Caspase-3 genes were upregulated in rats treated with a high dose of IVM. In contrast, the level of Bcl-2 gene was significantly downregulated in rats with high concentration compared to the control. The levels of mRNA expression of Bax and caspase-3 genes were upregulated in rats treated with medium and low doses of IVM and after treatment with DMH alone. In contrast, the levels of Bcl-2 gene were downregulated at the same doses compared to the control. The levels of mRNA expression of Bax and Bcl-2 genes were downregulated in rats treated with a combination of DMH and a high dose of IVM. In contrast, the level of Caspase-3 gene was upregulated compared to the control. The levels of mRNA expression of Bax and Caspase-3 genes were upregulated in rats treated with DMH and in a combination of medium and high doses of IVM. In contrast, the level of Bcl-2 gene was downregulated at the same doses compared to the control (Fig. 5).
Fig. 5.
Shows the mRNA levels of apoptotic genes (Bax, Caspase-3, and Bcl-2) in the treated rats with IVM. Each value represents the mean ± SE. (n = 5). D: 40 mg/kg of DMH. T1: 1.0 mg/kg IVM. T2: 0.5 mg/kg IVM. T3: 0.25 mg/kg IVM. TD1: 40 mg/kg of DMH + 1.0 mg/kg) of IVM. TD2: 40 mg/kg of DMH + 0.5 mg/kg) of IVM. TD3: 40 mg/kg of DMH + 0.25 mg/kg) of IVM.
3.3. Histopathological examination
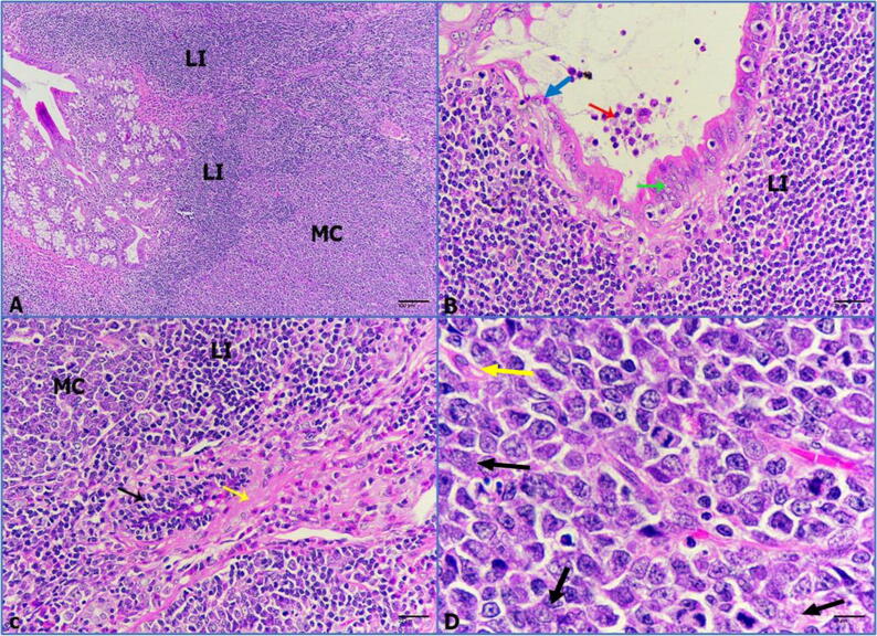
Histological sections of colorectal tissue were stained with Hematoxylin and Eosin (H&E). Tumor formation was detected in the colon tissue of treated rats. As shown in Fig. 6A microscopic analysis showed that rats treated with DMH exhibited heavy development of colorectal tumors. The tumors were classified according to the changes in the colon region such as; medullary carcinoma, which is surrounded by a huge presence of lymphocytic infiltration (LI). Additionally, intestinal glands showed mucosal hyperplasia and dysplasia, which is filled with necrotic debris (Fig. 6B). Moreover, medullary carcinoma originated in the submucosa layer as sheet-like cellular growth infiltrated with lymph nodal depositions and desmoplastic reaction represented by proliferation of spindle cells (Fig. 6C). Furthermore, tumor cells displayed amphiphilic cytoplasm, pleomorphic nuclei, and dispersed chromatin (Fig. 6D). As shown in Fig. 7 A-B, the intestine of untreated rats revealed a normal histological feature of the mucosal, submucosal, and muscularis layers with no abnormal lesions or changes. Also, intestinal glands were abundant in the mucosa-associated with numerous goblet cells and solitary lymphoid nodes. On the other hand, it is noteworthy that the histological examination of intestinal tissue of IVM-treated groups (0.25, 0.5, 1 mg/kg) illustrated no abnormalities or signs of pathological alterations (Fig. 7 C-D). After induction of colorectal tumor, treated rats with a low dose of IVM displayed no significant effects on the histological level. Medullary carcinoma looked large and infiltrated with lymphoid nodules and desmoplastic reaction (Fig. 8 A-B). Medium dose revealed a reduction in the medullary carcinoma that encroached the lymphoid nodules and desmoplastic reaction with great incidence (Fig. 9 A-B). Finally, a high dose showed a marked reduction in medullary carcinoma incidence manifested by dispersed carcinoma cells besieged with the lymphocytic infiltration (Fig. 10 A-B).
Fig. 6.
(A-D): Photomicrographs of medullary carcinoma of colon, medullary carcinoma (MC), lymphoid infiltration (LI), hyperplasia (green arrow), dysplasia (blue arrow), necrotic debris (red arrow), desmoplastic reaction (yellow arrow), spindle cells (black arrow). A: heavy incidence of medullary carcinoma infiltrated by lymphoid nodules (H&E-100×). B: epithelial hyperplasia of intestinal glands filled with necrotic debris in its lumen (H&E-400×). C: medullary carcinoma surrounded by lymphoid infiltration and desmoplastic reaction with spindle cells (H&E-400×). D: carcinoma cells with amphophilic cytoplasm (pink arrows) and pleomorphic nuclei (H&E-1000×).
Fig. 7.
(A-D): Photomicrographs of colon tissue of control group (A-B) and of IVM-treated intestinal tissue (C-D) showing normal architecture; Mucosa (Mu), Submucosa (Su), muscularis (M), lymphoid node (black arrow), intestinal glands of mucosa (red arrows). A, C: (H&E-100×), B, D: (H&E-400x).
Fig. 8.
(A-B): Photomicrographs of colon tumor treated with IVM (0.25 mg/kg) showing A: no significant effect medullary carcinoma (MC), lymphoid infiltration (LI) (H&E-100×). B: Enlargement of the image in the square in the previous figure showing mild desmoplastic reaction (yellow arrow). (H&E-400×).
Fig. 9.
(A-B): Photomicrographs of colon tumor treated with IVM (0.5 mg/kg) showing A: minimizing of medullary carcinoma (MC) that besiged with great lymphoid cells (LI) (H&E-100×), and B: Enlargement of the image in the square in the previous figure showing moderate desmoplastic reaction (yellow arrow). (H&E-400×).
Fig. 10.
(A-B): Photomicrographs of colon tumor treated with IVM (1 mg/kg) displaying marked minimized incidence of tumor besieged with lymphocytic infiltration. A: minimized medullary carcinoma (blue arrow) (H&E-100×). B: few numbers of dispersed carcinoma cells with pleomorphic nuclei (blue arrows) besieged with lymphoid cells (H&E-400×).
4. Discussion
Malignant tumors are the main factors in cancer-related mortality. Thus, chemotherapy is one of the most important strategies to treat tumors. Colorectal cancer still needs new effective drugs. There are several chemotherapeutic drugs in use, all of which are characterized by serious side effects. Therefore, the development of new drugs that have fewer side effects is highly required to improve the life of patients (Tang et al., 2021). Among different strategies of treatments, IVM is a candidate drug that has been reconsidered as an anticancer drug (Zhou et al., 2021). Due to few available studies about the possible protective role of IVM on colon cancer, this study investigated the chemoprotective role of IVM against colon cancer in rats, focusing on the antioxidant, apoptotic markers, and histopathological alterations. This study showed that IVM could effectively inhibit catalase and SOD activities in a dose-dependence manner. In addition. A significant reduction in these parameters was observed in rats treated with a combination of DMH and high dose of IVM. The decreased levels of catalase, GSH, and SOD at a high dose of IVM may be due to NADPH reduction or GSH utilization in the metabolism of peroxides (Gumieniczek, 2005, Tawfeek et al., 2021). This is supported by previous studies where the high levels of propionic acid (PA) were reported to induce oxidative stress with decreased levels of total GSH in brain tissue (El-Ansary et al., 2012). Furthermore, Tawfeek et al. (2021) suggested that IVM induces oxidative stress and causes kidney damage. A similar study applied IVM with vitamin C to rats. This study showed that rats had more decline in oxidants activity in the treated group (Atakisi et al., 2009). Growing number of studies illustrating the correlation between oxidative stress and carcinogenesis have been proposed various consequences of ROS that may be linked to carcinogenesis. In addition, recent reports have found the link between a genetic variant in some genes of antioxidative protective mechanisms and CRC risk (Perše, 2013).
Several studies have shown that the depletion of GSH causes a cascade of events, which ultimately may result in cell death. The generation of superoxide radicals during the metabolism of arachidonic acid is likely to play an important role in the toxic events that follow GSH depletion (Mytilineou et al., 2002, Angel, 2011). Other research findings suggest that IVM may have an effect on the oxidant/antioxidant balance (Atakisi et al., 2009). Furthermore, effects of exposure to various sub-lethal levels of ivermectin illustrated the levels of CAT, GSH, and SOD activities of liver, and gill was highest in the control when compared to other groups. However, there were increases as the time progresses in GSH and SOD (Ezenwaji et al., 2017). In contrast, IVM itself has side effect and when combined with DMH, both may have synergistic effect that may explain the induced GSH. Although, it is difficult to explain the exact mechanism of action, the influence of IVM on the GSH suggest a role of free radicals in causing adverse changes in GSH levels. Apoptosis is a natural phenomenon to eliminate cells as a part of tissue transformation through controlled pathways (D’Arcy, 2019). Apoptosis-related genes include pro-apoptotic genes such as; caspase-3, caspase-9, Bax, p53, and anti-apoptotic genes such as; Bcl-2 (Sun et al., 2018). Apoptotic genes are an essential marker to monitor cytotoxicity that may exist as a result of oxidative stress. Therefore, we evaluated whether IVM is involved in the apoptosis of colon cancer cells by testing apoptotic markers (Carneiro and El-Deiry, 2020). The present result showed upregulation of Bax, Caspase-3, and Bcl-2 expression was reduced. Bcl-2 is known as an inhibitor of apoptosis; however, Bcl-2 is also suggested to play a critical regulatory role in cytoskeleton reorganization through enhancing actin polymerization (Shamas-Din et al., 2013). Stimulated Bcl-2 proteins regulate MMP by releasing cyt c into the cytoplasm, triggering apoptotic pathways (Elmore, 2007). Down-regulation of Bcl-2 after treatment can also contribute to the induction of apoptosis. That means the inhibition of the cell growth may be because of cell cycle inhibition or apoptosis. However, the analyses of apoptotic gene expression strongly support that colon tissue undergoes apoptotic pathways. As mentioned above the process of apoptosis, plays a major regulatory role in homeostasis by maintaining a balance between cell proliferation and cell death (Lopez et al., 2009). Concrete evidence indicates that both pro and antiapoptotic Bcl-2 family proteins were involved in apoptotic pathways induced by IVM. Our study supported other studies that found the same result in rats experiencing other pathological conditions such as hemorrhagic shock (Al-Drees et al., 2017). In addition, other studies have reported the role of Bax/Bak in cell death by releasing cyt c and triggering caspases (Whelan et al., 2012). Therefore, the upregulation of Bax as a result of IVM cytotoxicity in rats' colon cancer may increase gene expression of apoptotic genes. Song et al. (2019), reported that IVM increased the apoptosis rate in glioma cells by promoting the expressions of p53 and Bax, decreasing the expression of Bcl-2, and triggering activation of caspase-3, and 9. Another study illustrated that the ratio of Bax/Bcl-2 elevated in Hela cells treated with IVM (Zhang et al., 2019). Taken together, present data showed that IVM promoted gene expression of Bax and Caspase-3, and inhibited Bcl-2. At low doses (2.5 and 5 µM), IVM induced CRC cell arrest and inhibited cell division by promoting mitochondrial apoptotic pathway that block cell cycle at S-phase in CRC cells, suggesting that IVN might be a new potential anticancer drug therapy CRC or other cancers (Zhou et al., 2021).
In histopathological assessment, this study may explain the damage to colon tissue after treatment with DMH. However, there was an improvement in the colon histopathological status upon treatment with medium and high doses of IVM. The observed damage was improved after treatment with medium and high doses of IVM. González Canga et al. (2008) reported that combination of IVM and natural supplement ameliorated the toxic effects of IVM on multiple rat organs (González Canga et al., 2008). However, another study found that treated rats with IVM result in hemorrhagic shock (Al-Drees et al., 2017).
5. Conclusion
Present data indicates the potential effect of IVM as an anticancer drug. It found that, IVM induced apoptosis in the colon tumor tissue as indicated by upregulation of Bax and Caspase-3 gene expression, and down-regulation of Bcl-2 gene expression. However, the protective effect of IVM was very clear at medium and high concentrations as indicated by minimizing the damage to colon tissue. Therefore, IVM might be a new potential drug for treating human colorectal cancer.
6. Availability of data
Data will be available on request to corresponding.
7. Authors' contributions
Hamzah A. Alghamdi was measured the oxidative stress markers. Nada H. Aljarba and Abdullah A. Alghamdi were performed the induction of colonic cancer. Mohammed AL-Zharani, Saad Alkahtani were measured the gene expression. Abdulrahman A. Alghamdi, Badr A. Aldahmash and Doaa M. Elnagar were performed the histopathological study. Hamzah A. Alghamdi was performed the statistical analysis. Mohammed AL-Zharani and Saad Alkahtani were involved in the conception and design of the study, data interpretation, and critically revised the manuscript. All authors read and approved the final manuscript.
Declaration of Competing Interest
The authors declare that they have no known competing financial interests or personal relationships that could have appeared to influence the work reported in this paper.
Acknowledgement
This work was funded by Princess Nourah bint Abdulrahman University Researchers Supporting Project number (PNURSP2022R62), Princess Nourah bint Abdulrahman University, Riyadh, Saudi Arabia. Researchers Supporting Project number (RSP-2021/214), King Saud University, Riyadh, Saudi Arabia.
Footnotes
Peer review under responsibility of King Saud University.
References:
- A. Khan J., Wahab A.-T., Javaid S., AL-Ghamdi M., Huwait E., Shaikh M., Shafqat A., Choudhary M.I. Studies on new urease inhibitors by using biochemical, STD-NMR spectroscopy, and molecular docking methods. Med. Chem. Res. 2017;26(10):2452–2467. [Google Scholar]
- Al-Drees A., Salah Khalil M., Soliman M. Histological and immunohistochemical basis of the effect of aminoguanidine on renal changes associated with hemorrhagic shock in a rat model. Acta Histochem. Cytochem. 2017;50:11–19. doi: 10.1267/ahc.16025. [DOI] [PMC free article] [PubMed] [Google Scholar]
- Ashour D.S. Ivermectin: from theory to clinical application. Int. J. Antimicrob. Agents. 2019;54(2):134–142. doi: 10.1016/j.ijantimicag.2019.05.003. [DOI] [PubMed] [Google Scholar]
- Atakisi E., Atakisi O., Topcu B., Uzun M. Effects of therapeutic dose of ivermectin on plasma nitric oxide and total antioxidant capacity in rabbits. Eur. Rev. Med. Pharmacol. Sci. 2009;13:425–429. [PubMed] [Google Scholar]
- Capelle L., Grieken N., Lingsma H., Steyerberg E., Klokman W., Bruno M., Vasen H., Kuipers E. Risk and epidemiological time trends of gastric cancer in lynch syndrome carriers in The Netherlands. Gastroenterology. 2010;138(2):487–492. doi: 10.1053/j.gastro.2009.10.051. [DOI] [PubMed] [Google Scholar]
- Carneiro B.A., El-Deiry W.S. Targeting apoptosis in cancer therapy. Nat. Rev. Clin. Oncol. 2020;17:395–417. doi: 10.1038/s41571-020-0341-y. [DOI] [PMC free article] [PubMed] [Google Scholar]
- Chari K.Y., Polu P.R., Shenoy R.R. An appraisal of pumpkin seed extract in 1, 2-dimethylhydrazine induced colon cancer in wistar rats. J. Toxicol. 2018;2018:1–12. doi: 10.1155/2018/6086490. [DOI] [PMC free article] [PubMed] [Google Scholar]
- D’Arcy M.S. Cell death: a review of the major forms of apoptosis, necrosis and autophagy. Cel. Biol. Int. 2019;43(6):582–592. doi: 10.1002/cbin.11137. [DOI] [PubMed] [Google Scholar]
- Dadarkar S.S., Deore M.D., Gatne M.M. Comparative evaluation of acute toxicity of ivermectin by two methods after single subcutaneous administration in rats. Regul. Toxicol. Pharm. 2007;47(3):257–260. doi: 10.1016/j.yrtph.2006.10.009. [DOI] [PubMed] [Google Scholar]
- Dominguez-Gomez G., Chavez-Blanco A., Medina-Franco J.L., Saldivar-Gonzalez F., Flores-Torrontegui Y., Juarez M., Diaz-Chavez J., Gonzalez-Fierro A., Duenas-Gonzalez A. Ivermectin as an inhibitor of cancer stemlike cells. Mol. Med. Rep. 2018;17:3397–3403. doi: 10.3892/mmr.2017.8231. [DOI] [PubMed] [Google Scholar]
- El-Ansary A.K., Ben Bacha A., Kotb M. Etiology of autistic features: the persisting neurotoxic effects of propionic acid. J Neuroinflammat. 2012;9:74. doi: 10.1186/1742-2094-9-74. [DOI] [PMC free article] [PubMed] [Google Scholar]
- Elmore S. Apoptosis: a review of programmed cell death. Toxicol. Pathol. 2007;35(4):495–516. doi: 10.1080/01926230701320337. [DOI] [PMC free article] [PubMed] [Google Scholar]
- Engel J., Furthmayr H. Electron microscopy and other physical methods for the characterization of extracellular matrix components: laminin, fibronectin, collagen IV, collagen VI, and proteoglycans. Methods Enzymol. 1987;145:3–78. doi: 10.1016/0076-6879(87)45003-9. [DOI] [PubMed] [Google Scholar]
- Ezenwaji N.E., ConstanceUkwuoma C., Nwani C.D., Ivoke N., Okpasuo J.O. The effect of short-term treatment with ivermectin on the oxidative stress parameters in the tissues of Clarias gariepinus (Burchell, 1822), juvenile. Int. J. Aquatic Sci. 2017;8(1):41–50. [Google Scholar]
- Ferlay, J., Ervik, M., Lam, F., Colombet, M., Mery, L., Piñeros, M., et al., 2020. Global Cancer Observatory: Cancer Today. Lyon: International Agency for Research on Cancer. https://gco.iarc.fr/today.
- Geary T. Ivermectin 20 years on: maturation of a wonder drug. Trends Parasitol. 2005;21(11):530–532. doi: 10.1016/j.pt.2005.08.014. [DOI] [PubMed] [Google Scholar]
- González Canga A., Sahagún Prieto A.M., Diez Liébana M.J., Fernández Martínez N., Sierra Vega M., García Vieitez J.J. The pharmacokinetics and interactions of ivermectin in humans–a mini-review. AAPS J. 2008;10:42–46. doi: 10.1208/s12248-007-9000-9. [DOI] [PMC free article] [PubMed] [Google Scholar]
- Gumieniczek A. Effects of repaglinide on oxidative stress in tissues of diabetic rabbits. Diabetes Res. Clin. Pract. 2005;68:89–95. doi: 10.1016/j.diabres.2004.09.018. [DOI] [PubMed] [Google Scholar]
- Habig W.H., Pabst M.J., Jakoby W.B. Glutathione S-transferases. The first enzymatic step in mercapturic acid formation. J. Biol. Chem. 1974;249(22):7130–7139. [PubMed] [Google Scholar]
- Heemskerk-Gerritsen Bernadette, Rookus Matti, Aalfs Cora, Ausems Margreet, Collee Johanna, Kets Liesbeth Jansen, Keymeulen Kristien, Koppert Linetta, Meijers-Heijboer Hanne, Mooij Thea, Tollenaar Rob, Hans Vasen H.E.B.O.N., Hooning Maartje, Seynaeve Caroline. Improved overall survival after contralateral risk-reducing mastectomy in brca1/2 mutation carriers with a history of unilateral breast cancer: A prospective analysis. Int. J. Cancer. 2015;136(3):668–677. doi: 10.1002/ijc.29032. [DOI] [PubMed] [Google Scholar]
- Hurwitz H., Fehrenbacher L., Novotny W., Cartwright T., Hainsworth J., Heim W., Berlin J., Baron A., Griffing S., Holmgren E., Ferrara N., Fyfe G., Rogers B., Ross R., Kabbinavar F. Bevacizumab plus Irinotecan, Fluorouracil, and Leucovorin for Metastatic Colorectal Cancer. N. Engl. J. Med. 2004;350(23):2335–2342. doi: 10.1056/NEJMoa032691. [DOI] [PubMed] [Google Scholar]
- Jollow D., Mitchell J., Zampaglione N., Gillette J. Bromobenzene-induced liver necrosis. Protective role of glutathione and evidence for 3, 4-bromobenzene oxide as the hepatotoxic metabolite. Pharmacology. 1974;11(3):151–169. doi: 10.1159/000136485. [DOI] [PubMed] [Google Scholar]
- Juarez M., Schcolnik-Cabrera A., Dueñas-Gonzalez A. The multitargeted drug ivermectin: from an antiparasitic agent to a repositioned cancer drug. Am. J. Cancer Res. 2018;8:317. [PMC free article] [PubMed] [Google Scholar]
- Laing R., Gillan V., Devaney E. Ivermectin–old drug, new tricks? Trends Parasitol. 2017;33(6):463–472. doi: 10.1016/j.pt.2017.02.004. [DOI] [PMC free article] [PubMed] [Google Scholar]
- Lee C.W., Chen H.J., Chien Y.H., Hsia S.M., Chen J.H., Shih C.K. Synbiotic combination of Djulis (Chenopodium formosanum) and Lactobacillus acidophilus inhibits colon carcinogenesis in rats. Nutrients. 2020;12(1):103. doi: 10.3390/nu12010103. [DOI] [PMC free article] [PubMed] [Google Scholar]
- Lopez A. Avasarala, Grewal S., Murali S., London L. Differential role of the fas/fas ligand apoptotic pathway in inflammation and lung fibrosis associated with reovirus 1/LInduced bronchiolitis obliterans organizing pneumonia and acute respiratory distress syndrome. J. Immunol. 2009;183(12):8244. doi: 10.4049/jimmunol.0901958. [DOI] [PMC free article] [PubMed] [Google Scholar]
- Melotti A., Mas C., Kuciak M., Lorente-Trigos A., Borges I., i Altaba A.R. The river blindness drug Ivermectin and related macrocyclic lactones inhibit WNT-TCF pathway responses in human cancer. EMBO Mole. Med. 2014;6:1263–1278. doi: 10.15252/emmm.201404084. [DOI] [PMC free article] [PubMed] [Google Scholar]
- Mytilineou C., Kramer B.C., Yabut J.A. Glutathione depletion and oxidative stress. Parkinsonism Relat. Disord. 2002;8(6):385–387. doi: 10.1016/s1353-8020(02)00018-4. [DOI] [PubMed] [Google Scholar]
- Ohkawa H., Ohishi N., Yagi K. Assay for lipid peroxides in animal tissue by thiobarbituric acid reaction. Anal. Biochem. 1979;95:351–358. doi: 10.1016/0003-2697(79)90738-3. [DOI] [PubMed] [Google Scholar]
- Ōmura S., Crump A. Ivermectin and malaria control. Malaria J. 2017;16(1) doi: 10.1186/s12936-017-1825-9. [DOI] [PMC free article] [PubMed] [Google Scholar]
- Ortega Angel L., Mena Salvador, Estrela Jose M. Glutathione in cancer cell death. Cancers (Basel) 2011;3(1):1285–1310. doi: 10.3390/cancers3011285. [DOI] [PMC free article] [PubMed] [Google Scholar]
- Papamichael D., Gramont Audisio R.A., Glimelius A. de B., Glynne-Jones R., Haller D., Köhne C.-H., Rostoft S., Lemmens V., Mitry E., Rutten H., Sargent Sastre D.J., Seymour M., Starling N., Van Cutsem E., Aapro M. Treatment of colorectal cancer in older patients. International Society of Geriatric Oncology (SIOG) consensus recommendations. Ann. Oncol. Adv. 2014;26(3):463–476. doi: 10.1093/annonc/mdu253. [DOI] [PubMed] [Google Scholar]
- Perše M. Oxidative stress in the pathogenesis of colorectal cancer: cause or consequence? Biomed. Res. Int. 2013;2013(2013):725710. doi: 10.1155/2013/725710. [DOI] [PMC free article] [PubMed] [Google Scholar]
- Perse M., Cerar A. Morphological and molecular alterations in 1,2 dimethylhydrazine and azoxymethane induced colon carcinogenesis in rats. J. Biomed. Biotechnol. 2011;2011 doi: 10.1155/2011/473964. [DOI] [PMC free article] [PubMed] [Google Scholar]
- Rubio C.A. Three pathways of colonic carcinogenesis in rats. Anticancer Res. 2017;37(1):15–20. doi: 10.21873/anticanres.11284. [DOI] [PubMed] [Google Scholar]
- Schaller M., Gonser L., Belge K., Braunsdorf C., Nordin R., Scheu A., Borelli C. Dual anti-inflammatory and anti-parasitic action of topical ivermectin 1% in papulopustular rosacea. J. Eur. Acad. Dermatol. Venereol.: JEADV. 2017;31(11):1907–1911. doi: 10.1111/jdv.14437. [DOI] [PubMed] [Google Scholar]
- Shamas-Din Aisha, Kale Justin, Leber Brian, Andrews David W. Cold Spring Harbor Laboratory Press; 2013. Mechanisms of Action of Bcl-2 Family Proteins. [DOI] [PMC free article] [PubMed] [Google Scholar]
- Siegel R.L., Miller K.D., Fuchs H.E., Jemal A. Cancer statistics. CA Cancer J. Clin. 2022;72(1):7–33. doi: 10.3322/caac.21708. [DOI] [PubMed] [Google Scholar]
- Song D., Liang H., Qu B.o., Li Y., Liu J., Zhang Y., Li L.u., Hu L.i., Zhang X., Gao A. Ivermectin inhibits the growth of glioma cells by inducing cell cycle arrest and apoptosis in vitro and in vivo. J. Cell. Biochem. 2019;120(1):622–633. doi: 10.1002/jcb.27420. [DOI] [PubMed] [Google Scholar]
- Sun H., Jia J., Jiang C., Zhai S. Gold nanoparticle-induced cell death and potential applications in nanomedicine. Int. J. Mole. Sci. 2018;19(3):754. doi: 10.3390/ijms19030754. [DOI] [PMC free article] [PubMed] [Google Scholar]
- Tang M., Hu X., Wang Y.i., Yao X., Zhang W., Yu C., Cheng F., Li J., Fang Q. Ivermectin, a potential anticancer drug derived from an antiparasitic drug. Pharmacol. Res. 2021;163:105207. doi: 10.1016/j.phrs.2020.105207. [DOI] [PMC free article] [PubMed] [Google Scholar]
- Tawfeek S.E., Domouky A.M., Abdel-Kareem R.H. Protective effect of vitamin C against ivermectin induced nephrotoxicity in different age groups of male wistar rats: bio-histopathological study. Anat. Cell Biol. 2021;54:501–517. doi: 10.5115/acb.21.124. [DOI] [PMC free article] [PubMed] [Google Scholar]
- Vasen Hans F.A., Tomlinson Ian, Castells Antoni. Clinical management of hereditary colorectal cancer syndromes. Gastroenterol. Hepatol. 2015 doi: 10.1038/nrgastro.2014.229. [DOI] [PubMed] [Google Scholar]
- Ventre E., Rozières A., Lenief V., Albert F., Rossio P., Laoubi L., Dombrowicz D., Staels B., Ulmann L., Julia V., Vial E., Jomard A., Hacini-Rachinel F., Nicolas J.-F., Vocanson M. Topical ivermectin improves allergic skin inflammation. Allergy. 2017;72(8):1212–1221. doi: 10.1111/all.13118. [DOI] [PubMed] [Google Scholar]
- Wang X., Lv C., Ji X., Wang B., Qiu L.i., Yang Z. Ivermectin treatment inhibits the replication of Porcine circovirus 2 (PCV2) in vitro and mitigates the impact of viral infection in piglets. Virus Res. 2019;263:80–86. doi: 10.1016/j.virusres.2019.01.010. [DOI] [PubMed] [Google Scholar]
- Wang J., Xu Y., Wan H., Hu J. Antibiotic ivermectin selectively induces apoptosis in chronic myeloid leukemia through inducing mitochondrial dysfunction and oxidative stress. Biochem. Biophys. Res. Commun. 2018;497(1):241–247. doi: 10.1016/j.bbrc.2018.02.063. [DOI] [PubMed] [Google Scholar]
- Whelan R.S., Konstantinidis K., Wei A.C., Chen Y., Reyna D.E., Jha S., Yang Y., Calvert J.W., Lindsten T., Thompson C.B., Crow M.T., Gavathiotis E., Dorn G.W., 2nd, O’Rourke B., Kitsis R.N. Bax regulates primary necrosis through mitochondrial dynamics. Proc. Natl. Acad. Sci. U. S. A. 2012;109:6566–6571. doi: 10.1073/pnas.1201608109. [DOI] [PMC free article] [PubMed] [Google Scholar]
- Zhang P., Zhang Y., Liu K., Liu B., Xu W., Gao J., Ding L., Tao L. Ivermectin induces cell cycle arrest and apoptosis of HeLa cells via mitochondrial pathway. Cel Prolif. 2019;52(2):e12543. doi: 10.1111/cpr.12543. https://doi.org/10.1111/cpr.2019.52.issue-210.1111/cpr.12543. [DOI] [PMC free article] [PubMed] [Google Scholar]
- Zhou S., Hang W.u., Ning W., Xiao W.u., Xiaoxiao X.u., Ma Y., Li X., Junhong H.u., Wang C., Wang J. Ivermectin has new application in inhibiting colorectal cancer cell growth. Front. Pharmacol. 2021;12:717529. doi: 10.3389/fphar.2021.717529. [DOI] [PMC free article] [PubMed] [Google Scholar]
Associated Data
This section collects any data citations, data availability statements, or supplementary materials included in this article.
Data Availability Statement
Data will be available on request to corresponding.










