Abstract
Background
The identification of type-2 inflammation in patients with chronic rhinosinusitis with nasal polyps (CRSwNP) acquires a crucial role in the endotypization needed for selecting patients for biological drugs targeting type-2 inflammation: to date, the parameters used include systemic and histological biomarkers. The aim of this study was to investigate whether nasal cytology could identify type-2 inflammation in patients with CRSwNP.
Methodology
Thirty-three consecutive patients with CRSwNP underwent nasal cytology sampling at the level of the lower nasal turbinate, and of the polypoid tissue, and surgical polyp tissue sample was collected. The cellularity of the 3 collected samples were compared.
Results
Mean nasal polyp tissue, nasal polyps cytology and inferior turbinate cytology eosinophils counts were 43.7 ± 39.6 cells/HPF, 32.8 ± 44.7 cells/HPF and 27.6 ± 58.0 cells/HPF respectively with inferior turbinate cytology eosinophils significantly lower than nasal polyp tissue count (p = 0.007). Both mean nasal polyps cytology eosinophils and mean inferior turbinate cytology eosinophils were significantly higher in patients with type-2 CRSwNP (52.5 ± 67.0 cells/HPF vs 12.2 ± 17.3 cells/HPF, p = 0.012, and 32.0 ± 62.1 cells/HPF vs 2.9 ± 2.9 cells/HPF, p = 0.020 respectively).
Conclusions
Nasal cytology is suitable tool for assessing local biomarkers of type-2 inflammation in CRSwNP.
Keywords: Chronic rhinosinusitis with nasal polyps, Nasal cytology, Type-2 inflammation, Biomarkers, Diagnostic tool
Introduction
Chronic rhinosinusitis with nasal polyps (CRSwNP) is one of the most frequent inflammatory diseases of the upper airways, affecting approximately 2–4% of the general population.1,2 Its impact in terms of patients' impaired quality of life,3 healthcare costs,4 and association with other comorbidities, in particular asthma,5,6 is extremely relevant. CRSwNP therapy is based mainly on the use of intranasal drugs (in particular corticosteroids), associated with courses of oral corticosteroids (OCS) and, in patients not adequately responsive to such therapies, also on surgical approaches.7 Unfortunately, however, about 35% of patients undergoing endonasal surgery tend to relapse within the subsequent 6 months8 with the need to perform several surgical interventions over the course of their life, without obtaining a real resolution or a real improvement in the clinical picture. In addition, up to about half of patients with CRSwNP are also affected by bronchial asthma,9 often late-onset10 and of greater severity: patients with severe asthma and concomitant CRSwNP are among the most frequent users of OCS,11 and therefore potentially exposed to OCS-related side effects that are particularly dangerous for health and burdensome for health systems.12,13
The pathogenesis of CRSwNP is very frequently characterized by the so-called “type 2 inflammation”,14 caused by an epithelial barrier dysfunction15 with consequent activation of cell subsets such as T-helper 2 (Th-2) and Innate Lymphoid Cells 2 (ILC-2), and release of cytokines such as interleukin 4 (IL-4), 5 (IL-5), and 13 (IL-13) resulting in tissue recruitment of eosinophils,16 overproduction of immunoglobulin E (IgE), and typical mucosal structural changes of the nasal polypoid formation.17 Type 2 inflammation is prevalent in European patients with CRSwNP, while in Asian countries other inflammatory mechanisms (type 1 or type 3 inflammation), essentially characterized by tissue neutrophilia, seem to be the most frequent.18
Recently, some biologics already approved for use in severe asthma have been shown to be effective in reducing the extent of CRSwNP, improving patients' quality of life and reducing the need for new revision surgeries, and were therefore approved for use in patients with severe and uncontrolled CRSwNP: dupilumab, an anti-IL4-receptor alpha monoclonal antibody, capable of simultaneously blocking the action of IL-4 and IL-13;19 omalizumab, an anti-IgE monoclonal antibody;20 and mepolizumab: an anti-IL5 monoclonal antibody.21 Other biologics, such as benralizumab (an anti-IL-5-recepor monoclonal antibody) and tezepelumab (an anti-thymic stromal lymphopoietin monoclonal antibody, TSLP) are currently being studied for use in CRSwNP.22, 23, 24
The advent of biological drugs in the management of CRSwNP requires the rhinological world to carry out a careful process of pheno-endotyping of the inflammatory component at the base of the disease, as today the therapeutic approaches are all directed towards molecules involved in the type 2 inflammation; it is for this reason that the international guidelines7,24 and the consensus of experts25,26 suggest the assessment of type-2 inflammatory biomarkers among the criteria to define a patient eligible for treatment with a biological drug. Suggested type 2 inflammatory biomarkers include systemic (blood eosinophilia and serum IgE) and local but invasive methods (surgical tissue eosinophilia). Instead, it would be desirable to be able to use a non-invasive local biomarker, possibly inexpensive, and whose results can be obtained in a short time: a potential method with all these characteristics is nasal cytology27 which can be performed in an outpatient setting, without the need for performing premedications or treatments with anesthetics, it is not painful and is able to collect cellular samples on which to evaluate the differential count.
In this regard, we aimed to evaluate whether nasal cytology, carried out in two different locations (on the inferior nasal turbinate and directly on the polypoid tissue), was able to satisfactorily mirror tissue inflammation on surgical samples of target organ.
Materials and methods
Patients
All patients with a confirmed diagnosis of CRSwNP and who were scheduled for Functional Endoscopic Sinus Surgery (FESS) at our Center between June 2020 and January 2021 were invited to be enrolled in the study. Patients were instructed not to use any intranasal or systemic corticosteroids for 10 days prior to surgery. On the day of surgery, patients underwent nasal cytology on the inferior nasal turbinate and the nasal polypoid tissue.
On the same day as the cytology samples, patients underwent the planned surgery and a tissue sample was stored and subsequently analyzed to compare the cellularity with that of the nasal cytology samples.
Demographic and clinical data, including atopy, smoking status, the concomitant presence of asthma or Nonsteroidal Anti-Inflammatory Drugs Exacerbated Respiratory Disease (N-ERD),28 Nasal Polyp Score (NPS),29 and most recent blood cell count were recorded.
The study protocol was approved by the "IRCCS Istituto Clinico Humanitas" ethics committee (Protocol number: 320/21) and all enrolled patients signed an informed consent for the participation in the study.
Nasal cytology and nasal polyp histology
Nasal polyp surgical samples were removed from nasal middle meatus during FESS, macroscopically inspected and fixed in 10% buffered formalin at pH 7.2. Subsequently, the tissues were embedded in paraffin embedded, the tissue blocks were cut and stained with hematoxylin-eosin. Selected paraffin blocks were cut into 5 μm thick sections using a microtome, placed on slides and 50 microscopic fields were evaluated for cell count by means of an optical microscope at 400× magnification (high power field, HPF); cell counts were reported as mean of 50 evaluated microscopic fields. Tissue samples were also categorized into “type-2 high” (≥10 eosinophils/HPF) and “type-2 low” (<10 eosinophils/HPF) as indicated in the European Position Paper on Rhinosinusitis and Nasal Polyps 2020 (EPOS 2020).7
Nasal cytology was collected by scraping with a pencil-shaped disposable nasal curette with a small distal cup (Rhinoprobe®, Arlington Scientific Inc, US) on the inferior nasal turbinate bilaterally and directly on nasal polyps, placed in 2 distinct slides (one for inferior turbinates scraping and the other for nasal polyps scaping) and stained with a pre-mixed rapid May-Grünwald-Giemsa staining (MGG QUICK STAIN®, Bio-Optica, Milan, Italy) as previously described.27 Cell count on nasal cytology samples was assessed at HPF and expressed as mean of 50 evaluated microscopic fields.
Statistics
Statistical analysis was performed using SPSS 20.0 software (SPSS, Chicago, IL, USA). The Kolmogorov–Smirnov test was used to evaluate the normality of distribution of each continuous variable and depending on the result of this test, the Student t-test or Mann-Whitney test were used to compare continuous variables. The Wilcoxon signed-rank test was used to compare eosinophils and neutrophils counts obtained by the three collected samples (tissue, nasal polyps cytology and inferior turbinate cytology). Categorical variables were compared with the Fisher's exact test. Continuous variables were presented as mean ± Standard Deviation (SD). P value of <0.05 were considered statistically significant.
The Bland-Altman analysis was used to assess the agreement between eosinophils counts obtained by the three different samples.
Results
Thirty-three patients (mean age: 49.9 ± 13.3 years; 42.4% females; 15.2% smokers) were consecutively enrolled in the study. Thirteen (39.4%) patients were atopic, 17 (51.5%) asthmatic, and 7 (21.2%) affected by N-ERD. Mean NPS was 6.1 ± 1.8 and mean blood eosinophil and neutrophil counts were 410.0 ± 352.7 cells/mcl and 4086.2 ± 1598.6 cells/mcl respectively.
Mean nasal polyp tissue, nasal polyps cytology and inferior turbinate cytology eosinophils counts were 43.7 ± 39.6 cells/HPF, 32.8 ± 44.7 cells/HPF and 27.6 ± 58.0 cells/HPF respectively, while neutrophils counts were 24.4 ± 45.5 cells/HPF, 30.0 ± 58.0 cells/HPF and 26.1 ± 54.8 cells/HPF, respectively. Inferior turbinate cytology eosinophil count was significantly lower than nasal polyp tissue count (p = 0.007), while no difference was found comparing tissue eosinophils cells count with nasal polyp cytology count (p = 0.386).
Twenty-eight (84.8%) patients met the criteria for being classified as with type-2 high CRSwNP (≥10 tissue eosinophils/HPF); these patients were significantly younger (47.8 ± 13.2 vs 61.6 ± 5.0, p = 0.001) and with lower NPS (5.9 ± 1.8 vs 7.2 ± 0.8, p = 0.025) than those classified as type-2 low CRSwNP.
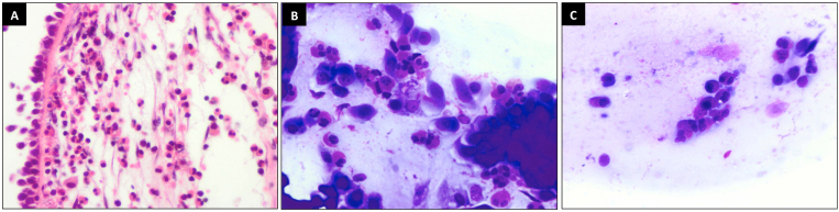
Both mean nasal polyps cytology eosinophils and mean inferior turbinate cytology eosinophils were significantly higher in patients with type-2 CRSwNP (nasal polyps cytology eosinophils: 52.5 ± 67.0 cells/HPF vs 12.2 ± 17.3 cells/HPF, p = 0.012; inferior turbinate cytology eosinophils: 32.0 ± 62.1 cells/HPF vs 2.9 ± 2.9 cells/HPF, p = 0.020) (Fig. 1). No difference was found for any neutrophil count. Fig. 2 shows an example of tissue and cytological samples in a patients with type-2 high CRSwNP.
Fig. 1.
Comparison between eosinophils and neutrophils counts on nasal polyp tissue, nasal polyp cytology and inferior turbinate cytology.
Fig. 2.
Example of histological (Panel A), nasal polyp cytology (Panel B) and inferior turbinate cytology (Panel C) in a patient with type-2 high CRSwNP (Optical microscope at 400× magnification).
Table 1 summarizes the distribution of all assessed variables according to the classification of patients in type-2 high versus type-2 low CRSwNP.
Table 1.
Demographic, clinical, histological and cytological characteristics of patients with type-2 high versus type-2 low Chronic Rhinosinusitis with Nasal Polyps (CRSwNP).
| All patients (n = 33) | High Type-2 CRSwNP (n = 28) | Low Type-2 CRSwNP (n = 5) | p-value | |
|---|---|---|---|---|
| Age, mean ± SD | 49.9 ± 13.3 | 47.8 ± 13.2 | 61.6 ± 5.0 | 0.001 |
| Sex, n (% females) | 14 (42.4%) | 13 (46.4%) | 1 (20.0%) | 0.366 |
| Atopy, n (%) | 13 (39.4%) | 12 (42.9%) | 1 (20.0%) | 0.625 |
| Smokers, n (%) | 5 (15.2%) | 5 (17.9%) | 0 (0.0%) | 0.473 |
| Asthma, n (%) | 17 (51.5%) | 16 (57.1%) | 1 (20.0%) | 0.157 |
| N-ERD, n (%) | 7 (21.2%) | 6 (21.4%) | 1 (20.0%) | 1.000 |
| NPS, mean ± SD | 6.1 ± 1.8 | 5.9 ± 1.8 | 7.2 ± 0.8 | 0.025 |
| Blood eosinophils, mean ± SD | 410.0 ± 352.7 cells/mcl | 542.0 ± 363.0 cells/mcl | 200.0 ± 212.1 cells/mcl | 0.062 |
| Blood neutrophils, mean ± SD | 4086.2 ± 1598.6 cells/mcl | 4116.7 ± 1693.6 cells/mcl | 3940.0 ± 1167.5 cells/mcl | 0.785 |
| Tissue eosinophils, mean ± SD | 43.7 ± 39.6 cells/HPF | 49.9 ± 36.6 cells/HPF | 4.8 ± 2.9 cells/HPF | <0.001 |
| Tissue neutrophils, mean ± SD | 24.4 ± 45.5 cells/HPF | 24.6 ± 46.3 cells/HPF | 10.6 ± 12.0 cells/HPF | 0.184 |
| Nasal polyps cytology eosinophils, mean ± SD | 32.8 ± 44.7 cells/HPF | 52.5 ± 67.0 cells/HPF | 12.2 ± 17.3 cells/HPF | 0.012 |
| Nasal polyps cytology neutrophils, mean ± SD | 30.0 ± 58.0 cells/HPF | 29.4 ± 55.5 cells/HPF | 32.4 ± 56.1 cells/HPF | 0.914 |
| Inferior turbinate cytology eosinophils, mean ± SD | 27.6 ± 58.0 cells/HPF | 32.0 ± 62.1 cells/HPF | 2.9 ± 2.9 cells/HPF | 0.020 |
| Inferior turbinate cytology neutrophils, mean ± SD | 26.1 ± 54.8 cells/HPF | 24.7 ± 51.1 cells/HPF | 29.0 ± 59.1 cells/HPF | 0.844 |
N-ERD: Nonsteroidal Anti-Inflammatory Drugs Exacerbated Respiratory Disease. NPS: Nasal Polyp Score. HPF: High Power Field (400× optical microscope magnification)
Bland-Altman plots for comparison of eosinophil counts assessed on tissue and cytological samples (Fig. 3) shows a good agreement between the results obtained by the 3 different samples; however, there was a tendency of greater.
Fig. 3.
Bland-Altman plots for comparison of eosinophil counts assessed on tissue and cytological samples.
Discussion
In this study we investigated whether the cell count on nasal cytology samples was comparable to that performed on histological samples collected during ENT surgery in patients with CRSwNP. This in light of proposing a simple and reliable non invasive procedure to phenotype patients for instance eligible to new biologic treatments. The main result is that the eosinophil count on the cytological samples derived from scraping on the nasal polyp was comparable to that performed on the surgical samples, while the cytology on the inferior nasal turbinate showed significantly lower values than the tissue ones. Nasal cytology eosinophilia on the inferior turbinate, however, was higher in patients classified as Type-2 high CRSwNP according to the criteria suggested by the EPOS 2020 guidelines,7 representing the large majority of patients included in the study; this also occurred for the eosinophil count assessed on cytological scrapings of nasal polyp.
The Bland-Altman plots demonstrated a good agreement between the eosinophil count from cytology on the nasal polyp and that obtained from a histological sample. However, there seems to be a tendency towards a greater difference between the two measures for particularly high values of tissue eosinophils; this could be explained by the fact that cytology is able to evaluate the presence of cells detached from the polypoid tissue through the scraping maneuver which, in cases of extremely relevant eosinophilic tissue infiltrates, could partially underestimate the level of inflammation, while clearly highlighting the type 2 inflammatory nature of the nasal polyp.
These results put together demonstrate that nasal cytology, especially if performed directly on the nasal polyp, is able to identify patients with tissue eosinophilic infiltration and therefore endotyped as “type-2 high".
Nasal cytology is a simple, rapid, inexpensive, non-invasive, and potentially point-of-care diagnostic method, as having an optical microscope available and using fast fixatives and dyes for slides, the time between collection of the sample and the reading does not go beyond 20–30 min.27 In the context of CRSwNP, eosinophilia on nasal cytology has so far been studied and used by analyzing samples collected at the level of the lower turbinates or the middle meatus; it is able to predict the onset of CRSwNP in patients diagnosed with non-allergic rhinitis with eosinophilia syndrome (NARES)30 and, to correlate with the disease severity and the risk of post-surgical relapse.31,32 In addition, in patients with concomitant severe bronchial asthma, the eosinophilic count on nasal cytology of the inferior turbinate was shown to be higher in patients indicated for omalizumab and/or mepolizumab33 therapy, and to be significantly reduced in patients treated with the latter.34
Few and now dated studies had shown a correlation between eosinophilia assessed on inferior turbinate nasal cytology and that on tissue samples,35,36 while more recently Gallo et al showed that the diagnostic accuracy of this method was greater in patients with CRSwNP if the cytological sample was taken from the middle meatus rather than from the inferior turbinate.37
In our study, the eosinophilic count on inferior turbinate cytological samples was less accurate than that obtained directly by scraping the nasal polyp, although still higher in patients with type-2 high inflammation. Therefore, our results add a further modality of use of nasal cytology (the evaluation of samples taken directly on the nasal polyp) demonstrating that it provides results comparable to those obtained from the much more invasive collection of surgical biopsy samples. Nasal polyp cytology was also able to distinguish patients classified as type-2 high CRSwNP versus those with type-2 low inflammation.
Potential limitations of our study include: the low number of patients with type-2 low phenotype in our series, which was certainly expected in European patients18 but weakens the comparison between patients based on the level of type 2 inflammation (Table 1), even if the comparison between eosinophilic counts of the 3 collected samples gave highly significant results; the use of 2 different staining techniques for histology and cytology; however we believe that sticking as much as possible to the usual clinical practice (in which the staining of the histological preparations takes place with H&E and the nasal cytological ones with a pre-mixed rapid May-Grünwald-Giemsa staining) increases the clinical applicability of our results, also in consideration that from the scientific literature no significant differences emerge between the two methods regarding the eosinophilic count.
All these features make nasal cytology a suitable tool to be used for the local assessment of inflammatory biomarkers (in particular eosinophils) in CRSwNP. This is clinically particularly relevant in a new context of precision medicine where the assessment of so-called “treatable traits"38 and the identification of patients with inflammatory endotypes are useful in defining eligibility for the use of biologics19, 20, 21, 22, 23, 24, 25, 26 as, so far, the only biologics available for the treatment of CRSwNP are directed towards type 2 inflammatory targets and international recommendations7,25,26 stress that they should only be used in patients with CRSwNP characterized by type 2 inflammation measured through the use of biomarkers; in this context, nasal cytology, especially if performed at the level of the nasal polyp, becomes a new and reliable local biomarker of type 2 inflammatory involvement in patients with CRSwNP and therefore could be considered in diagnostic algorithms for patient phenotyping. Patients with extremely high levels of tissue eosinophils, for the reasons reported above, may have underestimated levels of nasal polyp cytology, while still demonstrating cell counts well above the cut-offs for defining the presence of type 2 inflammation, making anyway the cytological examination useful in the process of therapeutic choice with a biological drug also in these cases. Furthermore, nasal cytology, allowing to evaluate also the level of neutrophilic inflammation, can be useful for identifying patients with type 1 and/or type 3 inflammation, possibly associated with type 2, and who could therefore benefit from alternative or combined approaches. to biological drugs (eg, surgery, including the so-called “reboot approach"39,40). Finally, this non invasive procedure for phenotyping will be more acceptable than the polyp biopsy and it would also contain the cost.
Abbreviations
CRSwNP, Chronic rhinosinusitis with nasal polyps; OCS, Oral corticosteroids; Th-2, T-helper 2; ILC-2, Innate Lymphoid Cells 2; IL-4, Interleukin 4; IL-5, Interleukin 5; IL-13, Interleukin 13; IgE, Immunoglobulin E; FESS, Functional Endoscopic Sinus Surgery; NPS, Nasal Polyp Score; N-ERD, Nonsteroidal Anti-Inflammatory Drugs Exacerbated Respiratory Disease; HPF, High power field; EPOS 2020, European Position Paper on Rhinosinusitis and Nasal Polyps 2020; MGG, May-Grünwald-Giemsa staining; SD, Standard Deviation; NARES, Rhinitis with eosinophilia syndrome.
Funding
No external funds for this research project.
Authorship contribution
Giovanni Paoletti, Luca Malvezzi, Giorgio Walter Canonica and Enrico Heffler contributed in concepting the study, drafting the protocol, performing statistical analysis, critically revising the results, and writing the article.
Anna Maria Riccio, Desideria Descalzi, Fabio Grizzi and Laura De Ferrari contributed in processing histological and cytological samples, performing the cell counts, performing statistical analysis, critically revising the results, and writing the article.
Francesca Pirola, Elena Russo, Francesca Racca, Sebastian Ferri, Maria Rita Messina, Francesca Puggioni, Diego Bagnasco, Frank Rikki Canevari, Emanuele Nappi, Giuseppe Mercante and Giuseppe Spriano contributed in collecting data, critically revising the results, and writing the article.
Ethics approval
The study protocol was approved by the "IRCCS Istituto Clinico Humanitas" ethics committee (Protocol number: 320/21) and all enrolled patients signed an informed consent for the participation in the study.
Authors’ consent for publication
All the Authors approved the final version of the manuscript and consent to the publication.
Availability of data and materials
Data are available if there will a request.
Declaration of competing interest
Luca Malvezzi received personal fees for speaker activities and advisory boards participation from Sanofi-Genzyme, outside of the submitted work.
Francesca Puggioni received personal fees for speaker activities and advisory boards participation from AstraZeneca, Chiesi, Glaxo-Smith&Kline, Guidotti, Menarini, Mundipharma, Novartis, Sanofi, Valeas, Allergy therapeutics, Almirall, outside the submitted work.
Diego Bagnasco received personal fees for speaker activities and advisory boards participation from Sanofi-Genzyme, AstraZeneca, Glaxo-Smith&Kline, Novartis, outside of the submitted work.
Giorgio Walter Canonica received personal fees for speaker activities and advisory boards participation from Menarini, Alk-Abello, Allergy Therapeutics, AstraZeneca, Boehringer-Ingelheim, Chiesi Farmaceutici, Genentech, Guidotti-Malesci, Glaxo Smith Kline, Hal Allergy, Mylan, Merck, Mundipharma, Novartis, Regeneron, Sanofi-Aventis, Sanofi-Genzyme, StallergenesGreer, UCB pharma, Uriach Pharma, Valeas, ViborPharma
Enrico Heffler received personal fees for speaker activities and advisory boards participation from Sanofi-Genzyme, Regeneron, AstraZeneca, Novartis, Glaxo-Smith&Kline, Circassia, Stallergenes-Greer, Nestlè Purina, outside of the submitted work.
All the other Authors do not have any conflict of interest to declare.
Acknowledgements
The Authors thank Ms. Laura Nasca and Ms. Lina Spinello for their invaluable help as nurses. No external funds supported this study.
Footnotes
Full list of author information is available at the end of the article
References
- 1.Johansson L., Akerlund A., Holmberg K., Melén I., Bende M. Prevalence of nasal polyps in adults: the Skövde population-based study. Ann Otol Rhinol Laryngol. 2003;112(7):625–629. doi: 10.1177/000348940311200709. [DOI] [PubMed] [Google Scholar]
- 2.Settipane G.A., Chafee F.H. Nasal polyps in asthma and rhinitis. A review of 6,037 patients. J Allergy Clin Immunol. 1977;59(1):17–21. doi: 10.1016/0091-6749(77)90171-3. [DOI] [PubMed] [Google Scholar]
- 3.Okano M., Kondo K., Takeuchi M., Taguchi Y., Fujita H. Health-related quality of life and drug treatment satisfaction were low and correlated negatively with symptoms in patients having severe refractory chronic rhinosinusitis with nasal polyps. Allergol Int. 2021;70(3):370–372. doi: 10.1016/j.alit.2020.11.010. [DOI] [PubMed] [Google Scholar]
- 4.Bhattacharyya N. Incremental health care utilization and expenditures for chronic rhinosinusitis in the United States. Ann Otol Rhinol Laryngol. 2011;120(7):423–427. doi: 10.1177/000348941112000701. [DOI] [PubMed] [Google Scholar]
- 5.Larsen K. The clinical relationship of nasal polyps to asthma. Allergy Asthma Proc. 1996;17(5):243–249. doi: 10.2500/108854196778662255. [DOI] [PubMed] [Google Scholar]
- 6.ten Brinke A., Grootendorst D.C., Schmidt J.T., et al. Chronic sinusitis in severe asthma is related to sputum eosinophilia. J Allergy Clin Immunol. 2002;109:621–626. doi: 10.1067/mai.2002.122458. [DOI] [PubMed] [Google Scholar]
- 7.Fokkens W.J., Lund V.J., Hopkins C., et al. European position paper on rhinosinusitis and nasal polyps 2020. Rhinology. 2020;58(Suppl S29):1–464. doi: 10.4193/Rhin20.600. [DOI] [PubMed] [Google Scholar]
- 8.DeConde A.S., Mace J.C., Levy J.M., Rudmik L., Alt J.A., Smith T.L. Prevalence of polyp recurrence after endoscopic sinus surgery for chronic rhinosinusitis with nasal polyposis. Laryngoscope. 2017;127(3):550–555. doi: 10.1002/lary.26391. [DOI] [PMC free article] [PubMed] [Google Scholar]
- 9.Philpott C.M., Erskine S., Hopkins C., et al. Prevalence of asthma, aspirin sensitivity and allergy in chronic rhinosinusitis: data from the UK National Chronic Rhinosinusitis Epidemiology Study. Respir Res. 2018;19(1):129. doi: 10.1186/s12931-018-0823-y. [DOI] [PMC free article] [PubMed] [Google Scholar]
- 10.Quirce S., Heffler E., Nenasheva N., et al. Revisiting late-onset asthma: clinical characteristics and association with allergy. J Asthma Allergy. 2020;13:743–752. doi: 10.2147/JAA.S282205. [DOI] [PMC free article] [PubMed] [Google Scholar]
- 11.Canonica G.W., Malvezzi L., Blasi F., et al. Chronic rhinosinusitis with nasal polyps impact in severe asthma patients: evidences from the Severe Asthma Network Italy (SANI) registry. Respir Med. 2020;166 doi: 10.1016/j.rmed.2020.105947. [DOI] [PubMed] [Google Scholar]
- 12.Bhattacharyya N., Villeneuve S., Joish V.N., et al. Cost burden and resource utilization in patients with chronic rhinosinusitis and nasal polyps. Laryngoscope. 2019;129(9):1969–1975. doi: 10.1002/lary.27852. [DOI] [PMC free article] [PubMed] [Google Scholar]
- 13.Canonica G.W., Colombo G.L., Bruno G.M., et al. Shadow cost of oral corticosteroids-related adverse events: a pharmacoeconomic evaluation applied to real-life data from the Severe Asthma Network in Italy (SANI) registry. World Allergy Organ J. 2019;12(1) doi: 10.1016/j.waojou.2018.12.001. [DOI] [PMC free article] [PubMed] [Google Scholar]
- 14.Takabayashi T., Schleimer R.P. Formation of nasal polyps: the roles of innate type 2 inflammation and deposition of fibrin. J Allergy Clin Immunol. 2020;145(3):740–750. doi: 10.1016/j.jaci.2020.01.027. [DOI] [PMC free article] [PubMed] [Google Scholar]
- 15.Akdis C.A. Does the epithelial barrier hypothesis explain the increase in allergy, autoimmunity and other chronic conditions? Nat Rev Immunol. 2021 doi: 10.1038/s41577-021-00538-7. [DOI] [PubMed] [Google Scholar]
- 16.Jacobsen E.A., Jackson D.J., Heffler E., et al. Eosinophil knockout humans: uncovering the role of eosinophils through eosinophil-directed biological therapies. Annu Rev Immunol. 2021;39:719–757. doi: 10.1146/annurev-immunol-093019-125918. [DOI] [PMC free article] [PubMed] [Google Scholar]
- 17.Heffler E., Malvezzi L., Boita M., et al. Immunological mechanisms underlying chronic rhinosinusitis with nasal polyps. Expet Rev Clin Immunol. 2018;14(9):731–737. doi: 10.1080/1744666X.2018.1512407. [DOI] [PubMed] [Google Scholar]
- 18.Wang X., Zhang N., Bo M., et al. Diversity of TH cytokine profiles in patients with chronic rhinosinusitis: a multicenter study in Europe, Asia, and Oceania. J Allergy Clin Immunol. 2016;138(5):1344–1353. doi: 10.1016/j.jaci.2016.05.041. [DOI] [PubMed] [Google Scholar]
- 19.Bachert C., Han J.K., Desrosiers M., et al. Efficacy and safety of dupilumab in patients with severe chronic rhinosinusitis with nasal polyps (LIBERTY NP SINUS-24 and LIBERTY NP SINUS-52): results from two multicentre, randomised, double-blind, placebo-controlled, parallel-group phase 3 trials. Lancet. 2019;394(10209):1638–1650. doi: 10.1016/S0140-6736(19)31881-1. [DOI] [PubMed] [Google Scholar]
- 20.Gevaert P., Omachi T.A., Corren J., et al. Efficacy and safety of omalizumab in nasal polyposis: 2 randomized phase 3 trials. J Allergy Clin Immunol. 2020;146(3):595–605. doi: 10.1016/j.jaci.2020.05.032. [DOI] [PubMed] [Google Scholar]
- 21.Han J.K., Bachert C., Fokkens W., et al. Mepolizumab for chronic rhinosinusitis with nasal polyps (SYNAPSE): a randomised, double-blind, placebo-controlled, phase 3 trial. Lancet Respir Med. 2021;S2213–2600(21):00097-7. doi: 10.1016/S2213-2600(21)00097-7. [DOI] [PubMed] [Google Scholar]
- 22.Bachert C., Han J.K., Desrosiers M.Y., et al. Efficacy and safety of benralizumab in chronic rhinosinusitis with nasal polyps: a randomized, placebo-controlled trial. J Allergy Clin Immunol. 2022;149(4):1309–1317. doi: 10.1016/j.jaci.2021.08.030. [DOI] [PubMed] [Google Scholar]
- 23.Canonica G.W., Harrison T.W., Chanez P., et al. Benralizumab improves symptoms of patients with severe, eosinophilic asthma with a diagnosis of nasal polyposis. Allergy. 2021 doi: 10.1111/all.14902. [DOI] [PubMed] [Google Scholar]
- 24.Agache I., Song Y., Alonso-Coello P., et al. Efficacy and safety of treatment with biologicals for severe chronic rhinosinusitis with nasal polyps: a systematic review for the EAACI guidelines. Allergy. 2021;76(8):2337–2353. doi: 10.1111/all.14809. [DOI] [PubMed] [Google Scholar]
- 25.Fokkens W.J., Lund V., Bachert C., et al. EUFOREA consensus on biologics for CRSwNP with or without asthma. Allergy. 2019;74(12):2312–2319. doi: 10.1111/all.13875. [DOI] [PMC free article] [PubMed] [Google Scholar]
- 26.Bachert C., Han J.K., Wagenmann M., et al. EUFOREA expert board meeting on uncontrolled severe chronic rhinosinusitis with nasal polyps (CRSwNP) and biologics: definitions and management. J Allergy Clin Immunol. 2021;147(1):29–36. doi: 10.1016/j.jaci.2020.11.013. [DOI] [PubMed] [Google Scholar]
- 27.Heffler E., Landi M., Caruso C., et al. Nasal cytology: methodology with application to clinical practice and research. Clin Exp Allergy. 2018;48(9):1092–1106. doi: 10.1111/cea.13207. [DOI] [PubMed] [Google Scholar]
- 28.Kowalski M.L., Agache I., Bavbek S., et al. Diagnosis and management of NSAID-Exacerbated Respiratory Disease (N-ERD)-a EAACI position paper. Allergy. 2019;74(1):28–39. doi: 10.1111/all.13599. [DOI] [PubMed] [Google Scholar]
- 29.Meltzer E.O., Hamilos D.L., Hadley J.A., et al. Rhinosinusitis: developing guidance for clinical trials. Otolaryngol Head Neck Surg. 2006;135(5 Suppl):S31–S80. doi: 10.1016/j.otohns.2006.09.014. [DOI] [PubMed] [Google Scholar]
- 30.De Corso E., Lucidi D., Battista M., et al. Prognostic value of nasal cytology and clinical factors in nasal polyps development in patients at risk: can the beginning predict the end? Int Forum Allergy Rhinol. 2017;7(9):861–867. doi: 10.1002/alr.21979. [DOI] [PubMed] [Google Scholar]
- 31.Gelardi M., Fiorella R., Fiorella M.L., Russo C., Soleti P., Ciprandi G. Nasal-sinus polyposis: clinical-cytological grading and prognostic index of relapse. J Biol Regul Homeost Agents. 2009;23(3):181–188. [PubMed] [Google Scholar]
- 32.De Corso E., Settimi S., Tricarico L., et al. Predictors of disease control after endoscopic sinus surgery plus long-term local corticosteroids in CRSwNP. Am J Rhinol Allergy. 2021;35(1):77–85. doi: 10.1177/1945892420936196. [DOI] [PubMed] [Google Scholar]
- 33.Latorre M., Bacci E., Seccia V., et al. Upper and lower airway inflammation in severe asthmatics: a guide for a precision biologic treatment. Ther Adv Respir Dis. 2020;14 doi: 10.1177/1753466620965151. [DOI] [PMC free article] [PubMed] [Google Scholar]
- 34.Detoraki A., Tremante E., D'Amato M., et al. Mepolizumab improves sino-nasal symptoms and asthma control in severe eosinophilic asthma patients with chronic rhinosinusitis and nasal polyps: a 12-month real-life study. Ther Adv Respir Dis. 2021;15 doi: 10.1177/17534666211009398. [DOI] [PMC free article] [PubMed] [Google Scholar]
- 35.Armengot M., Garín L., de Lamo M., Krause F., Carda C. Cytological and tissue eosinophilia correlations in nasal polyposis. Am J Rhinol Allergy. 2010;24(6):413–415. doi: 10.2500/ajra.2010.24.3549. [DOI] [PubMed] [Google Scholar]
- 36.Maru Y.K., Munjal S., Gupta Y. Brush cytology and its comparison with histopathological examination in cases of diseases of the nose. J Laryngol Otol. 1999;113(11):983–987. doi: 10.1017/s0022215100145773. [DOI] [PubMed] [Google Scholar]
- 37.Gallo S., Bandi F., Preti A., et al. Exploring the role of nasal cytology in chronic rhinosinusitis. Acta Otorhinolaryngol Ital. 2020;40(5):368–376. doi: 10.14639/0392-100X-N0711. [DOI] [PMC free article] [PubMed] [Google Scholar]
- 38.Heffler E., Malvezzi L., Pirola F., et al. Treatable traits in chronic rhinosinusitis with nasal polyps. Curr Opin Allergy Clin Immunol. 2019;19(4):373–378. doi: 10.1097/ACI.0000000000000544. [DOI] [PubMed] [Google Scholar]
- 39.Gomes S.C., Cavaliere C., Masieri S., et al. Reboot surgery for chronic rhinosinusitis with nasal polyposis: recurrence and smell kinetics. Eur Arch Oto-Rhino-Laryngol. 2022 doi: 10.1007/s00405-022-07470-z. [DOI] [PubMed] [Google Scholar]
- 40.Malvezzi L., Pirola F., De Virgilio A., Heffler E. Long-lasting clinical, radiological and immunological remission of severe nasal polyposis by means of 'reboot' surgery. BMJ Case Rep. 2020;13(4) doi: 10.1136/bcr-2019-233726. [DOI] [PMC free article] [PubMed] [Google Scholar]
Associated Data
This section collects any data citations, data availability statements, or supplementary materials included in this article.
Data Availability Statement
Data are available if there will a request.



