Abstract
Background
The immune response to breast implants after COVID-19 disease or COVID-19 vaccine administration includes acute inflammatory manifestations, capsular contracture and seroma. Breast implant-associated anaplastic large cell lymphoma (BIA-ALCL) is a very rare tumor in which numerous up-regulated pro-inflammatory immunological pathways activate a T cell lymphoproliferative disorder.
Methods
The first reported case of a BIA-ALCL hidden mass clinically manifesting with inflammatory signs after SARS-CoV-2 infection and vaccinations is here described.
Results
Complete capsulectomy and adjuvant chemotherapy were performed and immediately after the surgical procedure local inflammatory signs disappeared; no evidence of disease was present 1 year later.
Conclusions
Immunological stimulation by COVID-19 disease and vaccines may highlight some rare clinical manifestations of BIA-ALCL; persistent inflammatory symptomatology over breast implants should be investigated using second-level imaging.
Level of Evidence V
This journal requires that authors assign a level of evidence to each article. For a full description of these Evidence-Based Medicine ratings, please refer to the Table of Contents or the online Instructions to Authors www.springer.com/00266.
Keywords: BIA-ALCL, COVID-19, Inflammatory signs, Erythema, Tenderness
Introduction
Possible acute inflammatory reactions to breast implants have been connected to COVID-19 immunization [1]. Nowadays, data are increasing on both the hyper-inflammatory nature of SARS-CoV-2 disease and the side effects of COVID-19 vaccines. Many diseases have been linked to breast implants over recent decades, from the common local capsular contracture to the rare systemic Breast Implant Illness (BII) and the rarest Breast Implant-associated Anaplastic Large Cell Lymphoma (BIA-ALCL). Perhaps, in each of these circumstances, alterations in the chronic inflammation setting make the physiological pathological.
Identifying and collecting cases of all possible clinical signs of immune stimulation over breast implants in this pandemic era may make plastic surgeons more aware and confident of the early manifestations of rare immune local diseases.
Materials and Methods
We present a special case of a locally invasive insidious mass of BIA-ALCL, appearing clinically after COVID disease and particularly after vaccinations.
Results
In 2003, a 38-year-old woman was treated for T4N1M0 breast cancer of the left breast with neo-adjuvant therapy (5-fluorouracil, epidoxorubicin and cyclophosphamide FEC for 3 cycles), left total mastectomy with axillary dissection, and immediate breast reconstruction with sub-muscular macro-textured Allergan implant. Adjuvant chemotherapy followed (cyclophosphamide, doxorubicin and prednisolone CMF for 6 cycles) and hormone-therapy was administered for 5 years; follow-up proceeded free of disease and without reconstructive complications.
The patient experienced SARS-CoV-2 infection in March 2020 in a very mild form. She referred to the Plastic Surgery Service in July 2020, reporting local tenderness that had developed in recent months, as well as marginal increase in local volume and Baker III capsular contracture. An elective implant change was scheduled and an ultrasound was indicated. BIRADS 2 images with undamaged implant and some mixed fluid, partially hypo-echogenic and an-echogenic, compatible with serum/hematoma, without visible lymph nodes were shown by the US. In January 2021, sudden blisters appeared on the mastectomy skin, treated with cortisone cream. In March 2021 and May 2021, the COVID-19 AstraZeneca vaccine was administered: after both doses, extensive redness of the left breast and some discomfort were present.
In June 2021, the patient presented with local extensive redness, dryness and desquamation with a systemic mild fever, elevated ESR and CRP. A new US showed again no signs of being suspicious. Dermatologic evaluation did not provide any definitive diagnosis, and skin biopsy showed some epithelial hyperplasia with dermal fibrosis and chronic perivascular inflammation.
Finally, in September 2021, the patient was admitted to the hospital to undergo elective implant exchange. By that time, she had lost some weight and was experiencing night sweating, daily light fever, general skin dryness, and she still had left breast tenderness and redness (Fig. 1).
Fig. 1.

BIA-ALCL manifesting with breast erythema, tenderness and occult posterior mass
Very little seroma was found inside the capsule but, after removing the intact implant, a large mass was seen on the posterior wall. With the suspicion of a BIA-ALCL and no way to have an intraoperative diagnosis, en bloc total capsulectomy was performed (Fig. 2) and immediate reconstruction with an anatomical texture Mentor implant was carried out.
Fig. 2.

En bloc capsulectomy for surgical treatment
The specimen, weighing 218g, was subsequently diagnosed as BIA-ALCL pT4, with clear margins; serum cytology, skin biopsy, and microbiologic culture were all negative. Histologic examination of the surgical specimen showed extension of the tumor to the pericapsular tissues, neoplastic cells being provided with typical hallmark morphology and phenotype (Fig. 3). With this diagnosis, the implant was removed and new skin biopsy, serum cytology, and staging with whole body PET-CT scan and breast MRI scan were performed. All these tests came back negative for disease. A bone marrow biopsy was also performed, with no evidence of lymphoproliferative disease but evidence of irregular polyclonal rearrangement of the TCR gamma gene.
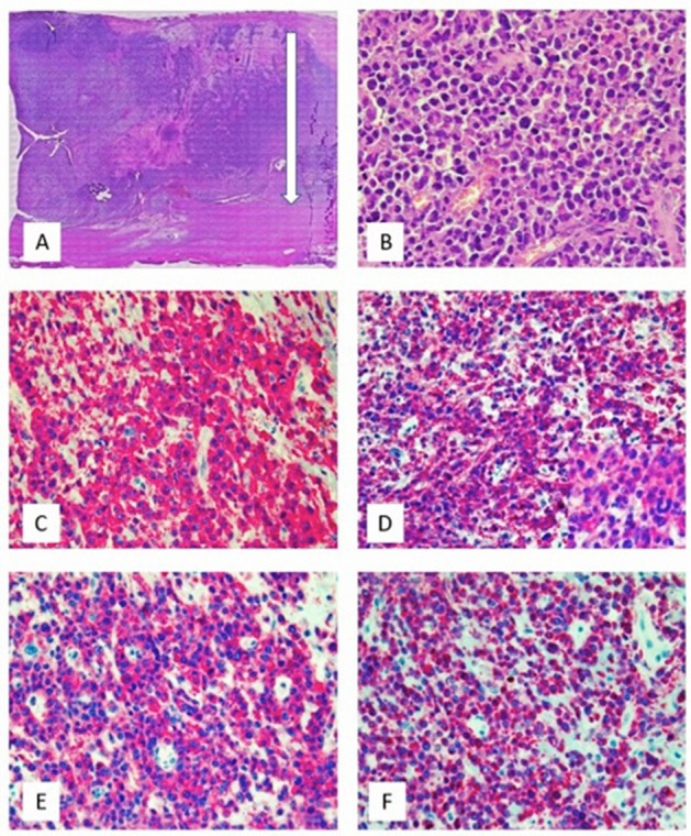
Fig. 3.

Histologic features of Breast Implant-associated Anaplastic Large Cell Lymphoma (BIA-ALCL). Low magnification shows a necrotic tumoral mass, extending from the luminal surface of the peri-prosthetic capsule, to the surrounding tissue (arrow), pT4 according to Clemens (a). The lesion is composed of highly atypical large lymphoid cells, with several kidney-shaped (‘’hallmark’’) nuclei (b). Neoplastic cells are diffusely positive for CD30 (c), CD2 (d), CD4 (inset in D), EMA (e) and perforin (f), and negative for CD3, CD5, CD7, CD8, ALKc, PAX5, CD20, EBV/EBER, with high ki-67 proliferation index (not shown)
Following surgery, no more redness was observed, but a certain lack of pigmentation remained in this region; the patient experienced a subjective improvement and no more fever.
Because of the high risk due to a big mass with symptoms, in October 2021 the patient started chemotherapy: CHP (Cyclophosphamide, Doxorubicin, Prednisone) + Brentuximab for 4 cycles, followed by 4 more Brentuximab cycles. To date, the patient has completed the medical treatment and no evidence of disease exists.
Discussion
BIA-ALCL is a very rare tumor, commonly presenting a long time after textured implant placement with unilateral peri-prosthetic seroma [2]. The presence of a mass is limited, according to the literature, to 15% of the cases, and erythema is a rare sign too [3]. Ultrasound usually detects seroma and cytology of the serum with CD30 positive results confirms diagnosis, but there are limits in cases of solid tumors localized to the chest wall that only magnetic resonance identifies. Surgical treatment is crucial since the risk of non-radical procedure, local spread and possible recurrence have a great impact on patients’ life expectancy. Intraoperative frozen section analysis of the specimen is contraindicated. Prognosis is generally good with an indolent course in the early stages. Etiopathology of BIA-ALCL is still under discussion: bacteria/biofilm, mechanical friction, silicone particulates, and leaching may trigger a combination of innate and adaptive misregulated immunological pathways that set up a pro-inflammatory microenvironment with chronic T cell stimulation and final aberration to lymphoma [4].
The immune response to SARS-CoV-2 infection is variable and complicated, and involves pro-inflammatory signalling. In a similar way to infection, vaccines produce serum antibodies and induce long-lasting memory B cell and T cell responses [5]. Post-vaccination adverse events are being collected and are mostly limited to acute inflammatory syndromes.
Late seromas over breast implants have been reported during SARS-CoV-2 disease [6]. Immune reactions after administration of the COVID-19 vaccine have recently been described as redness, discomfort, pain, swelling, tenderness, capsular contracture, and seroma [1, 7, 8].
Núñez et al. reported two cases of breast implant late seromas that occurred during SARS-CoV-2 symptomatic disease [6] and Chan et al. presented a case of late seroma and surrounding skin erythema over a tissue expander in a mastectomy reconstruction undergoing adjuvant chemotherapy during an asymptomatic COVID-19 infection [9]. SARS-CoV-2 infection might, in those cases, be responsible for the seromas, since late seromas that are not BIA-ALCL related nor mechanical friction related are thought to be generated by some immune-mediated reaction (i.e., allergic, subclinical infection, etc.), involving cytokines, histamine, serotonin, and prostaglandins modifying with inflammatory cells the interstitial fluid and the osmotic gradient in the pocket, eventually ending in major serum production [6, 9].
Restifo first reported a severe capsular contracture occurring on the same side of the vaccine site and with a tight temporal sequence of events including axillary enlarged lymph node and delayed spontaneous hematoma in the pocket [7]. The author argued that a post-vaccine reaction to the implant could represent a non-specific inflammatory condition possibly inducing, through angiogenesis and increased vascular permeability by TGFβ1 and interleukin 8, the activation of the cells populating the capsule (macrophages, lymphocytes, fibroblasts and contractile myofibroblasts), which are generally prone to respond to an immunological stimulus producing capsular contracture.
Later, authors from the Department of Plastic and Reconstructive Surgery of Marienhospital Stuttgart observed five potential inflammatory reactions to breast implants a few days after receiving different vaccines from 3 different companies, some symptoms resolving spontaneously with an NSAID/conservative therapy and one case with the need for seroma evacuation and flap reconstruction [1, 8]. The authors concluded that the described case series had to be judged within the millions of uneventful immunizations of patients with breast implants, that there should not be any major concern toward reactions to implanted materials, and that handling these situations was highly manageable and less concerning than being affected by SARS-CoV-2 infection.
Kayser et al. and Mak et al. finally reported cases of post-vaccine late seromas in breast augmentations and hypothesized pathogenic associations with post-vaccine local reaction to cosmetic fillers [10, 11].
COVID-19 delayed-type hypersensitivity reactions have in fact also been observed with dermal fillers as facial edema and erythema after COVID-19 immunization [12]. In the presence of secondary allergens such as hyaluronic acid and silicone, increased COVID-19 immune recruitment can result in those type IV allergic reactions.
In this case report, a posterior wall BIA-ALCL mass that was undetectable by clinical and ultrasound exams showed some inflammatory clinical manifestations during immune stimulation both with SARS-CoV-2 disease and with COVID-19 vaccinations. These signs started after the infection by the virus with local tenderness due to edema/serum and worsening of the capsular contracture and became particularly evident after COVID-19 vaccine doses with local erythema. The mastectomy skin over the neoplastic capsule was involved in a chronic inflammatory process, as biopsy stated dermal fibrosis and chronic perivascular inflammation. The symptoms disappeared after the surgical removal of BIA-ALCL was performed, and the mastectomy flap healed with hypo-pigmentation.
BIA-ALCL is a rare tumor that can only rise in people who can perform breast surgery with implants, a population that has likely been subject to general COVID-19 exposition and mass vaccination programs in the last 2 years.
This report is focused on the observation of a very unlikely event and it represents a unique and isolated case in this contest, so it is hard to establish for sure whether it was a pure coincidence or if there was a real association between the COVID-19 immunization and the BIA-ALCL development. Nevertheless, potential benign symptomatology over breast implants after COVID-19 immunization has previously been described both with infection and vaccine stimulation, and in this case, the patient presented with local signs three specific times: every time she had a SARS-CoV-2 antigenic trigger. So, for inductive reasoning, it is possible to hypothesize that some association could exist and specifically that the immune COVID-19 stimulus could evoke clinical signs in an already immunologically impaired implant pocket like the one affected by BIA-ALCL. The BIA-ALCL neoplasm, which is by definition associated with the actual or past presence of an implant (trigger), could be induced to sustain a high inflammatory environment with the repeated virus or vaccine stimulation.
On the other hand, it would be hard to justify that a long-onset neoplastic disease could eventually be provoked by the acute COVID-19 stimulus, as the mechanism of lymphomagenesis involves chronic antigenic stimulation and clonal proliferation.
In this case, the patient accused a severe form of BIA-ALCL, as it grew in a solid feature up to the pericapsular tissues, with pT4N0M0 staging; with the first COVID-19 antigenic imprinting, the one that happened with infection, she experienced tenderness, capsular contracture, and very little serum accumulation. This clinic could be interpreted in the first place as a mechanical lymphatic drain impairment during a viral systemic response, as she had previously undergone an axillary lymphadenectomy and she had a hard mass on the posterior wall; another explanation would be an immune hyper-activation of neoplastic cells and tumor microenvironment by viral systemic mediators with a desmoplasia-like reaction of the capsule.
Even if BIA-ALCL commonly manifests with seroma and less likely with a mass, this lymphoma can also present with cutaneous lesions, particularly erythematous skin eruptions, either prior to other signs or at the same time as the other primary manifestations [3]. In this case, the cutaneous signs were emphasized during COVID-19 acute immunization with redness exacerbations and had a latent manifestation with blisters and dryness. Delayed-type hypersensitivity could effectively be an explanation for the clinic that occurred during the vaccines. Type IV reaction is a T cell-mediated response appearing after sensitization and re-exposure to an insulting antigen, as for contact dermatitis, manifesting with delayed redness, itching, blistering, eczema, and that responds to removal of the stimulus and treatment with corticosteroids [13]. In fact, the T cell type of neoplasm, the time-relation, the local exam, and the prompt resolution after the immunization period could all match this hypothesis.
Anyway, repeated and persistent inflammatory signs over an implant, whether it is clearly from the capsule or on the breast skin, should be deeply investigated. MRI in this case might have discovered the disease earlier, while first-level exams such as echography could not detect suspect items since there was no seroma and the mass was hidden on the posterior wall.
After removal of the BIA-ALCL and of the capsule, our patient experienced a local mild loss of the pigmentation, which is consistent with a post-inflammatory hypomelanosis, a condition where “individual chromatic tendency” determines the aberration of melanogenesis by multiple immunological mediators [14] that could have remained in the skin, which was anyway free of neoplastic diseases as biopsy stated.
This research is a case report, which means there are limitations as intrinsic properties of the design itself, and low level of evidence and low reliability since there is a high risk of selection bias for the specific population of study. Moreover, BIA-ALCL is a rare disease and SARS-CoV-2 effects are still in the process of discovery and study for many medical specialties; no exact confirmatory exam has been widely approved in other medical fields or could represent a tool for investigation of this single case to identify the precise role of COVID-19 in the evolution of BIA-ALCL.
Conclusion
This is an isolated clinical case, but it might raise the suspicion that immunological stimulation by COVID-19 could enhance infrequent clinical signs of BIA-ALCL disease like erythema and local tenderness through some local inflammatory booster. We hope that the medical community may benefit from this report. It should encourage discussion and research, and maybe help clinicians to recognize early this rare condition and perform appropriate diagnostics to identify BIA-ALCL in its various manifestations.
Funding
None.
Declarations
Conflict of interest
The authors declare that they have no conflict of interest nor funding to disclose.
Human and Animal Participants
This article does not include studies with human participants or animals conducted by either author.
Informed Consent
The patient signed written informed consent regarding publishing her data and photographs.
Footnotes
Publisher's Note
Springer Nature remains neutral with regard to jurisdictional claims in published maps and institutional affiliations.
References
- 1.Mahrhofer M, Weitgasser L, Schoeller T. Observations of a potential immune response to breast implants after immunization with COVID 19 vaccines. Aesthet Surg J Open Forum. 2021 doi: 10.1093/asjof/ojab035,September2021. [DOI] [PMC free article] [PubMed] [Google Scholar]
- 2.Turton P, El-Sharkawi D, Lyburn I, Sharma B, Mahalingam P, Turner SD, MacNeill F, Johnson L, Hamilton S, Burton C, Mercer N (2021) UK Guidelines on the Diagnosis and Treatment of Breast Implant-Associated Anaplastic Large Cell Lymphoma (BIA-ALCL) on behalf of the Medicines and Healthcare products Regulatory Agency (MHRA) Plastic, Reconstructive and Aesthetic Surgery Expert Advisory Group (PRASEAG). J Plast Reconstr Aesthet Surg. 10.1016/j.bjps.2020.10.064, January 2021 [DOI] [PubMed]
- 3.Shahriari N, Ferenczi K, Heald PW. Breast implant-associated anaplastic large cell lymphoma: a review and assessment of cutaneous manifestations. Int J Womens Dermatol. 2017 doi: 10.1016/j.ijwd.2017.05.005,July2017. [DOI] [PMC free article] [PubMed] [Google Scholar]
- 4.Deva AK, Turner SD, Kadin ME, Magnusson MR, Prince HM, Miranda RN, Inghirami GG, Adams WP., Jr Etiology of Breast Implant-Associated Anaplastic Large Cell Lymphoma (BIA-ALCL): current directions in research. Cancers (Basel) 2020 doi: 10.3390/cancers12123861,December2020. [DOI] [PMC free article] [PubMed] [Google Scholar]
- 5.Goel RR, Apostolidis SA, Painter MM, Mathew D, Pattekar A, Kuthuru O, Gouma S, Hicks P, Meng W, Rosenfeld AM, Dysinger S, Lundgreen KA, Kuri-Cervantes L, Adamski S, Hicks A, Korte S, Oldridge DA, Baxter AE, Giles JR, Weirick ME, McAllister CM, Dougherty J, Long S, D'Andrea K, Hamilton JT, Betts MR, Luning Prak ET, Bates P, Hensley SE, Greenplate AR, Wherry EJ. Distinct antibody and memory B cell responses in SARS-CoV-2 naïve and recovered individuals following mRNA vaccination. Sci Immunol. 2021 doi: 10.1126/sciimmunol.abi6950,April2021. [DOI] [PMC free article] [PubMed] [Google Scholar]
- 6.Martínez Núñez P, Pérez González M, Juárez Cordero Á. Late seroma of the breast in association with COVID-19 infection: two case reports. Eur J Plast Surg. 2021 doi: 10.1007/s00238-021-01898-y,November2021. [DOI] [PMC free article] [PubMed] [Google Scholar]
- 7.Restifo RJ. A case report of capsular contracture immediately following COVID-19 vaccination. Aesthet Surg J Open Forum. 2021 doi: 10.1093/asjof/ojab021,May2021. [DOI] [PMC free article] [PubMed] [Google Scholar]
- 8.Weitgasser L, Mahrhofer M, Schoeller T. Potential immune response to breast implants after immunization with COVID-19 vaccines. Breast. 2021 doi: 10.1016/j.breast.2021.06.002,October2021. [DOI] [PMC free article] [PubMed] [Google Scholar]
- 9.Chan SLS, Mok JWL. Late seroma in breast implants: a coronavirus disease 2019 phenomenon? Arch Plast Surg. 2022 doi: 10.1055/s-0042-1756295,September2022. [DOI] [PMC free article] [PubMed] [Google Scholar]
- 10.Kayser F, Fourneau H, Mazy OC, Mazy S. Breast implant seroma: a SARS-CoV-2 mRNA vaccine side effect. J Clin Ultrasound. 2021 doi: 10.1002/jcu.23056,November2021. [DOI] [PMC free article] [PubMed] [Google Scholar]
- 11.Mak C, Graham S, Deva A. Development of acute seroma around breast implants following administration of COVID-19 vaccination. Aesthet Surg J. 2022 doi: 10.1093/asj/sjab412,May2022. [DOI] [PMC free article] [PubMed] [Google Scholar]
- 12.Gambichler T, Boms S, Susok L, Dickel H, Finis C, Abu Rached N, Barras M, Stücker M, Kasakovski D. Cutaneous findings following COVID-19 vaccination: review of world literature and own experience. J Eur Acad Dermatol Venereol. 2022 doi: 10.1111/jdv.17744,February2022. [DOI] [PMC free article] [PubMed] [Google Scholar]
- 13.Robbins S, Kumar V, Abbas AK, Fausto N, Aster JC (2010) Robbins e Cotran – Le basi patologiche delle malattie. 8° edizione, Elsevier, Milano
- 14.Madu PN, Syder N, Elbuluk N. Postinflammatory hypopigmentation: a comprehensive review of treatments. J Dermatolog Treat. 2022 doi: 10.1080/09546634.2020.1793892,March2022. [DOI] [PubMed] [Google Scholar]
