Abstract
Background
Osteomas are benign, slow-growing bone tumors that can be classified as central, peripheral, or extraskeletal. Central osteomas arise from the endosteum, peripheral osteomas from the periosteum, and extraskeletal osteomas within the muscle. Frontal peripheral osteomas are mainly encountered in plastic surgery. In this study, we retrospectively analyzed the clinical data of patients with frontal peripheral osteomas.
Methods
We retrospectively reviewed the medical records of patients who visited our hospital with frontal peripheral osteomas between January 2014 and June 2022. We analyzed the following variables: age, sex, tumor type (sessile or pedunculated), single or multiple, size, history of head trauma, operation, and recurrence.
Results
A total of 39 patients and 41 osteomas were analyzed, of which 29 osteomas (71%) were sessile and 12 osteomas (29%) were pedunculated. The size of the osteomas ranged from 4 to 30 mm, with an average size of 10 mm. The age of patients ranged from 4 to 78 years with a mean age of 52 years. There were seven men (18%) and 32 women (82%), and the man-to-woman ratio was 1:4.6. Two patients (5%) had multiple masses, with two osteomas in each, while only two patients (5%) had a history of head trauma. Twenty-nine patients (74%) underwent ostectomy by a direct approach, and none of the patients experienced recurrence.
Conclusion
The epidemiologic data of our study will help plastic surgeons encounter frontal peripheral osteomas in the field to provide proper management for their patients.
Keywords: Frontal bone, Osteoma, Surgery
INTRODUCTION
Osteomas are slow-growing, benign, and osteogenic tumors. Its incidence rate has been reported to range from 0.014% to 0.43% [1,2]. Osteoma can be classified as central, peripheral, and extraskeletal. Central osteomas occur in the endosteum, peripheral osteomas in the periosteum, and extraskeletal osteomas in the muscle [3]. Cranial osteomas can be classified into intracranial intraparenchymal osteomas (the rarest form), skull base osteomas (the most common form), and cranial vault osteomas, according to their anatomical location [4]. Peripheral osteomas most commonly occur in the frontal, ethmoid, and maxillary sinuses [5]. In plastic surgery, peripheral osteomas arising from the frontal bone are mainly encountered clinically. Frontal peripheral osteoma presents as a single, solid, and immobile mass. In general, there are no other symptoms other than aesthetic problems, and if the size is large, symptoms such as headache and facial pain may appear [2,6]. This study aimed to analyze the clinical data of frontal peripheral osteomas through a retrospective study.
METHODS
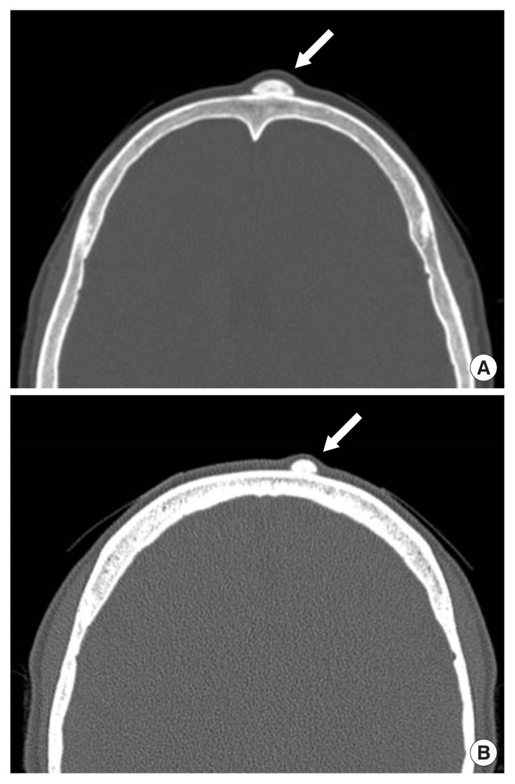
We retrospectively reviewed the medical records of patients who visited our hospital with frontal peripheral osteomas between January 2014 and June 2022. We analyzed the following variables: age, sex, type, single or multiple, size, history of head trauma, operation, and recurrence. It was classified into sessile and pedunculated types according to the shape detected on facial bone computed tomography (Fig. 1).
Fig. 1.
Computed tomographic scans of the head revealing: a sessile frontal osteoma (arrow) (A) and a pedunculated frontal osteoma (arrow) (B).
RESULTS
A total of 39 patients and 41 osteomas were analyzed. Their ages ranged from 4 to 78 years with a mean age of 52 years. A 4-year-old patient presented to our hospital after being diagnosed with osteoma at another hospital; however, her parents refused surgery. Among the patients, seven (18%) were men and 32 (82%) were women, with a man-to-woman ratio of 1:4.6. Two patients (5%) had multiple masses, with two osteomas in each, whereas only two patients (5%) had a history of head trauma. The first patient had a history of contusion at the same location 1 year prior to the onset of the osteoma. The second patient had a history of parietal bone fracture due to a fall 7 years before the onset of osteoma, and osteoma occurred in the frontal bone. A total of 29 patients (74%) underwent surgery, i.e., ostectomy, through a direct approach. None of the patients experienced recurrence. Follow-up was conducted for 6 months to 3 years. Twenty-nine osteomas (71%) were sessile, whereas 12 (29%) were pedunculated, and their size ranged from 4 to 30 mm, with an average of 10 mm (Table 1, Fig. 2).
Table 1.
Characteristics of osteoma patients
| Variable | Value (n=39) |
|---|---|
| Total number of patients | 39 |
|
| |
| Age (yr) | 52 (4–78) |
|
| |
| Sex | |
| Male | 7 (17.9) |
| Female | 32 (82.1) |
|
| |
| Number of osteomas | |
| Single | 37 (94.9) |
| Multiple | 2 (5.1) |
|
| |
| Past head trauma history | |
| Yes | 2 (5.1) |
| No | 37 (94.9) |
|
| |
| Operation | |
| Yes | 29 (74.4) |
| No | 10 (25.6) |
|
| |
| Recurrence (n=29) | |
| Yes | 0 |
| No | 29 (100) |
|
| |
| Total number of osteomas | 41 |
| Type | |
| Sessile | 29 (70.7) |
| Pedunculated | 12 (29.3) |
|
| |
| Size (mm) | 10 (4–30) |
Values are presented as mean (range) or number (%).
Fig. 2.
(A) A 54-year-old woman with pedunculated frontal osteoma (arrow). (B) Microscopic findings show fused thick lamellated bone trabeculae (hematoxylin and eosin stain, ×200).
DISCUSSION
The pathogenesis of peripheral osteomas remains controversial. Several theories have been proposed, including traumatic, infectious, and embryological causes [2,7–9]. The traumatic theory relates to the fact that the sequestered nests may have been separated by a previous head trauma [2]. The embryologic theory states that osteomas arise from embryologic cartilaginous rests or embryologic periosteum [8]. Richards et al. [9] have suggested that osteomas can be stimulated by trauma, infection, or overgrowth of normal bony tubercles. Peripheral osteomas must be distinguished from exostoses of the jaws, which are bony excrescences that occur on the buccal side of the alveolar bone. These exostoses are believed to be of either reactive or developmental origin. Moreover, osteomas require differential diagnosis from osteoblastomas, osteoid osteomas, odontomas, and focal sclerosing osteomyelitis [10].
Patients with osteomas should be suspected of having Gardner syndrome. Colorectal polyposis, skeletal abnormalities, and multiple impacted or supernumerary teeth are triads of Gardner syndrome. Onset occurs in the second decade of life, with malignant transformation of colorectal polyps reaching 100% by the age of 40. Skeletal involvement includes both peripheral and endosteal osteomas, which can occur in any bone, but are found more frequently in the skull, ethmoid sinuses, mandible, and maxilla [11].
Osteomas appear as well-circumscribed, with well-defined radiopacity, on radiographic findings; computed tomography is the best modality for diagnosing osteomas [12,13]. Peripheral osteomas can be divided into two types based on their shape and pathological findings. Compact or “ivory” osteoma usually has a sessile base, normal-appearing dense bone with minimal marrow spaces, and occasional haversian canals. The size of different types of osteomas range from several millimeters to several centimeters; however, part of the lesion may be in the bone, masking the true size. Cancellous osteoma is usually pedunculated and resembles the bone of origin. It contains the trabeculae of the bone and fibrofatty marrow with osteoblasts. The surface can be irregular or smooth, with cortical bone at the margins [2].
The treatment of frontal peripheral osteomas involves surgical excision. There are direct open and endoscopic approaches to surgical excision [2,6,14,15]. Endoscopic removal of frontal osteomas was first reported in 1995. The endoscopic approach has the advantage of minimizing scarring and providing better aesthetic results. However, its disadvantages are a wider dissection than the direct approach, more swelling, longer postoperative recovery time, possibility of normal tissue damage during burring for removal, and time taken for the surgeon to learn the surgical technique [6,14].
We performed excision of frontal peripheral osteomas through direct approach in all patients, and burring was performed when irregularity was observed in the base margin after ostectomy. There were no particular complications or recurrences.
Our study analyzed a larger number of patients than other studies on frontal peripheral osteomas. We expect that the epidemiologic data of our study can help surgeons who encounter frontal peripheral osteomas in the field provide proper management for their patients.
Footnotes
Conflict of interest
No potential conflict of interest relevant to this article was reported.
Funding
None.
Ethical approval
The study was approved by the Institutional Review Board of Nowon Eulji Medical Center (IRB No. 2022-10-009) and performed in accordance with the principles of the Declaration of Helsinki. The informed consent was waived because this study design is a retrospective review.
Patient consent
The patient provided written informed consent for the publication and use of her images.
Author contributions
Conceptualization: Kyung Hee Min. Data curation: Geon Hwi Kim, Young Soo Yoon. Formal analysis: Geon Hwi Kim. Methodology: Eun Kyung Kim. Project administration: Kyung Hee Min. Visualization: Geon Hwi Kim. Writing - original draft: Young Soo Yoon. Writing - review & editing: Kyung Hee Min. Investigation: Geon Hwi Kim, Young Soo Yoon, Eun Kyung Kim. Supervision: Kyung Hee Min.
REFERENCES
- 1.Kim JH, Choi J, Kim BK. Peripheral osteoma of the zygoma. J Craniofac Surg. 2022;33:e387–8. doi: 10.1097/SCS.0000000000008223. [DOI] [PubMed] [Google Scholar]
- 2.Patel TR, Borah GL. Frontal bone periosteal osteomas. Plast Reconstr Surg. 2004;114:648–51. doi: 10.1097/01.prs.0000130935.83413.6b. [DOI] [PubMed] [Google Scholar]
- 3.Roh SG, Kim YS, Kim JL, Shin JY, Lee NH. Soft-tissue osteoma of the temple. Arch Craniofac Surg. 2021;22:276–9. doi: 10.7181/acfs.2021.00388. [DOI] [PMC free article] [PubMed] [Google Scholar]
- 4.Haddad FS, Haddad GF, Zaatari G. Cranial osteomas: their classification and management. Report on a giant osteoma and review of the literature. Surg Neurol. 1997;48:143–7. doi: 10.1016/s0090-3019(96)00485-5. [DOI] [PubMed] [Google Scholar]
- 5.Ziccardi VB, Smith JA, Braun TW. Osteoma of the maxillary antrum. Oral Surg Oral Med Oral Pathol Oral Radiol Endod. 1995;80:378–9. doi: 10.1016/s1079-2104(05)80323-3. [DOI] [PubMed] [Google Scholar]
- 6.Raponi I, Giovannetti F, Cacciatore F, Di Carlo D, Valentini V. Endoscopic forehead approach for minimally invasive frontal osteoma excision. J Craniofac Surg. 2020;31:e767–9. doi: 10.1097/SCS.0000000000006715. [DOI] [PubMed] [Google Scholar]
- 7.Rodriguez Y, Baena R, Rizzo S, Fiandrino G, Lupi S, Galioto S. Mandibular traumatic peripheral osteoma: a case report. Oral Surg Oral Med Oral Pathol Oral Radiol Endod. 2011;112:e44–8. doi: 10.1016/j.tripleo.2011.05.006. [DOI] [PubMed] [Google Scholar]
- 8.Green AE, Bowerman JE. An osteoma of the mandible. Br J Oral Surg. 1974;12:225–8. doi: 10.1016/0007-117x(74)90129-2. [DOI] [PubMed] [Google Scholar]
- 9.Richards HE, Strider JW, Jr, Short SG, Theisen FC, Larson WJ. Large peripheral osteoma arising from the genial tubercle area. Oral Surg Oral Med Oral Pathol. 1986;61:268–71. doi: 10.1016/0030-4220(86)90373-7. [DOI] [PubMed] [Google Scholar]
- 10.Regezi JA, Sciubba J. Oral pathology. 2nd ed. Saunders; 1993. [Google Scholar]
- 11.Yuasa K, Yonetsu K, Kanda S, Takeuchi T, Abe K, Takenoshita Y. Computed tomography of the jaws in familial adenomatosis coli. Oral Surg Oral Med Oral Pathol. 1993;76:251–5. doi: 10.1016/0030-4220(93)90213-n. [DOI] [PubMed] [Google Scholar]
- 12.DelBalso AM, Werning JT. The role of computed tomography in the evaluation of cemento-osseous lesions. Oral Surg Oral Med Oral Pathol. 1986;62:354–7. doi: 10.1016/0030-4220(86)90021-6. [DOI] [PubMed] [Google Scholar]
- 13.Kim HS, Kim WS, Kim HK, Bae TH. Removal of intraosseous hemangioma in frontal bone under direct vision through a small incision. Arch Craniofac Surg. 2021;22:52–5. doi: 10.7181/acfs.2020.00661. [DOI] [PMC free article] [PubMed] [Google Scholar]
- 14.Mun GH, Jung ES, Lim SY, Hyon WS, Bang SI, Oh KS. Excision of forehead osteomas: experience with 12 patients with use of an endoscopic technique. J Craniofac Surg. 2006;17:426–30. doi: 10.1097/00001665-200605000-00007. [DOI] [PubMed] [Google Scholar]
- 15.Yoo H, Doh G, Kim BK. Treatment of multiple craniofacial osteomas by endoscopic approach. Arch Craniofac Surg. 2020;21:261–3. doi: 10.7181/acfs.2020.00402. [DOI] [PMC free article] [PubMed] [Google Scholar]


