Abstract
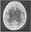
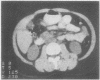
A 35 year old woman presented with headache and fever. Computed brain tomography showed diffuse low attenuation in the cerebral white matter. Several months later, serological tests for systemic lupus erythematosus (SLE) became positive. In spite of immunosuppressive therapy she relapsed after six months of treatment, presenting with abdominal symptoms and signs. On this occasion an abdominal CT scan showed distended and oedematous loops of bowel attributed to an underlying vasculitis. This case illustrates novel CT scan appearances in two systems involved in SLE.
Full text
PDF



Images in this article
Selected References
These references are in PubMed. This may not be the complete list of references from this article.
- Adu D., Williams D. G., Taube D., Vilches A. R., Turner D. R., Cameron J. S., Ogg C. S. Late onset systemic lupus erythematosus and lupus-like disease in patients with apparent idiopathic glomerulonephritis. Q J Med. 1983 Autumn;52(208):471–487. [PubMed] [Google Scholar]
- Clasen R. A., Huckman M. S., Von Roenn K. A., Pandolfi S., Laing I., Lobick J. J. A correlative study of computed tomography and histology in human and experimental vasogenic cerebral edema. J Comput Assist Tomogr. 1981 Jun;5(3):313–327. doi: 10.1097/00004728-198106000-00001. [DOI] [PubMed] [Google Scholar]
- Flodmark O., Fitz C. R., Harwood-Nash D. C. CT diagnosis and short-term prognosis of intracranial hemorrhage and hypoxic/ischemic brain damage in neonates. J Comput Assist Tomogr. 1980 Dec;4(6):775–787. doi: 10.1097/00004728-198012000-00008. [DOI] [PubMed] [Google Scholar]
- Gonzalez-Scarano F., Lisak R. P., Bilaniuk L. T., Zimmerman R. A., Atkins P. C., Zweiman B. Cranial computed tomography in the diagnosis of systemic lupus erythematosus. Ann Neurol. 1979 Feb;5(2):158–165. doi: 10.1002/ana.410050209. [DOI] [PubMed] [Google Scholar]
- Johnson R. T., Richardson E. P. The neurological manifestations of systemic lupus erythematosus. Medicine (Baltimore) 1968 Jul;47(4):337–369. doi: 10.1097/00005792-196807000-00002. [DOI] [PubMed] [Google Scholar]
- Lane B., Carroll B. A., Pedley T. A. Computerized cranial tomography in cerebral diseases of white matter. Neurology. 1978 Jun;28(6):534–544. doi: 10.1212/wnl.28.6.534. [DOI] [PubMed] [Google Scholar]
- Lipsky P. E., Hardin J. A., Schour L., Plotz P. H. Spontaneous peritonitis and systemic lupus erythematosus. Importance of accurate diagnosis of gram-positive bacterial infections. JAMA. 1975 Jun 2;232(9):929–931. [PubMed] [Google Scholar]
- Malas D., Weiss S. Progressive multifocal leukoencephalopathy and cryptococcal meningitis with systemic lupus erythematosus and thymoma. Ann Neurol. 1977 Feb;1(2):188–191. doi: 10.1002/ana.410010216. [DOI] [PubMed] [Google Scholar]
- Midorikawa T., Totsuka S., Hotta T. [Progressive multifocal leukoencephalopathy confirmed at autopsy in a case of systemic lupus erythematosus with marked psychiatric symptoms]. Rinsho Shinkeigaku. 1974 Oct;14(10):799–805. [PubMed] [Google Scholar]
- Musher D. R. Systemic lupus erythematosus. A cause of "medical peritonitis". Am J Surg. 1972 Sep;124(3):368–372. doi: 10.1016/0002-9610(72)90043-8. [DOI] [PubMed] [Google Scholar]
- POLLAK V. E., GROVE W. J., KARK R. M., MUEHRCKE R. C., PIRANI C. L., STECK I. E. Systemic lupus erythematosus simulating acute surgical condition of the abdomen. N Engl J Med. 1958 Aug 7;259(6):258–266. doi: 10.1056/NEJM195808072590602. [DOI] [PubMed] [Google Scholar]
- Reynolds J. C., Inman R. D., Kimberly R. P., Chuong J. H., Kovacs J. E., Walsh M. B. Acute pancreatitis in systemic lupus erythematosus: report of twenty cases and a review of the literature. Medicine (Baltimore) 1982 Jan;61(1):25–32. doi: 10.1097/00005792-198201000-00003. [DOI] [PubMed] [Google Scholar]
- Rieth K. G., Fujiwara K., Di Chiro G., Klatzo I., Brooks R. A., Johnston G. S., O'Connor C. M., Mitchell L. G. Serial measurements of CT attenuation and specific gravity in experimental cerebral edema. Radiology. 1980 May;135(2):343–348. doi: 10.1148/radiology.135.2.6768102. [DOI] [PubMed] [Google Scholar]
- Schrumpf J. D., Sehring S., Killpack S., Brady J. P., Hirata T., Mednick J. P. Correlation of early neurologic outcome and CT findings in neonatal brain hypoxia and injury. J Comput Assist Tomogr. 1980 Aug;4(4):445–450. doi: 10.1097/00004728-198008000-00005. [DOI] [PubMed] [Google Scholar]
- Shapeero L. G., Myers A., Oberkircher P. E., Miller W. T. Acute reversible lupus vasculitis of the gastrointestinal tract. Radiology. 1974 Sep;112(3):569–574. doi: 10.1148/112.3.569. [DOI] [PubMed] [Google Scholar]
- Valentine A. R., Kendall B. E., Harding B. N. Computed tomography in acute haemorrhagic leukoencephalitis. Neuroradiology. 1982;22(4):215–219. doi: 10.1007/BF00341253. [DOI] [PubMed] [Google Scholar]
- Weiser M. M., Andres G. A., Brentjens J. R., Evans J. T., Reichlin M. Systemic lupus erythematosus and intestinal venulitis. Gastroenterology. 1981 Sep;81(3):570–579. [PubMed] [Google Scholar]
- Yagnik P., Gonzalez C. White matter involvement in anoxic encephalopathy in adults. J Comput Assist Tomogr. 1980 Dec;4(6):788–790. doi: 10.1097/00004728-198012000-00009. [DOI] [PubMed] [Google Scholar]
- Zeumer H., Schonsky B., Sturm K. W. Predominant white matter involvement in subcortical arteriosclerotic encephalopathy (Binswanger disease). J Comput Assist Tomogr. 1980 Feb;4(1):14–19. doi: 10.1097/00004728-198002000-00003. [DOI] [PubMed] [Google Scholar]
- Zizic T. M., Shulman L. E., Stevens M. B. Colonic perforations in systemic lupus erythematosus. Medicine (Baltimore) 1975 Sep;54(5):411–426. doi: 10.1097/00005792-197509000-00004. [DOI] [PubMed] [Google Scholar]




