Full text
PDF


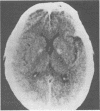
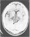
Images in this article
Selected References
These references are in PubMed. This may not be the complete list of references from this article.
- Anderson J. M., Macmillan J. J. Intracranial tuberculoma--an increasing problem in Britain. J Neurol Neurosurg Psychiatry. 1975 Feb;38(2):194–201. doi: 10.1136/jnnp.38.2.194. [DOI] [PMC free article] [PubMed] [Google Scholar]
- Bhargava S., Gupta A. K., Tandon P. N. Tuberculous meningitis--a CT study. Br J Radiol. 1982 Mar;55(651):189–196. doi: 10.1259/0007-1285-55-651-189. [DOI] [PubMed] [Google Scholar]
- Bhatia R., Tandon P., Misra N. K. Inflammatory lesions of the basal ganglia and thalamus: review of twenty-one cases. Neurosurgery. 1986 Dec;19(6):983–988. doi: 10.1227/00006123-198612000-00013. [DOI] [PubMed] [Google Scholar]
- Bishburg E., Sunderam G., Reichman L. B., Kapila R. Central nervous system tuberculosis with the acquired immunodeficiency syndrome and its related complex. Ann Intern Med. 1986 Aug;105(2):210–213. doi: 10.7326/0003-4819-105-2-210. [DOI] [PubMed] [Google Scholar]
- Borah N. C., Maheshwari M. C., Mishra N. K., Goulatia R. K. Appearance of tuberculoma during the course of TB meningitis. J Neurol. 1984;231(5):269–270. doi: 10.1007/BF00313665. [DOI] [PubMed] [Google Scholar]
- Chambers S. T., Hendrickse W. A., Record C., Rudge P., Smith H. Paradoxical expansion of intracranial tuberculomas during chemotherapy. Lancet. 1984 Jul 28;2(8396):181–184. doi: 10.1016/s0140-6736(84)90478-1. [DOI] [PubMed] [Google Scholar]
- Crosbie W. A. Fitness of North Sea divers. Lancet. 1984 Aug 25;2(8400):471–472. doi: 10.1016/s0140-6736(84)92951-9. [DOI] [PubMed] [Google Scholar]
- Ellner J. J., Wallis R. S. Immunologic aspects of mycobacterial infections. Rev Infect Dis. 1989 Mar-Apr;11 (Suppl 2):S455–S459. doi: 10.1093/clinids/11.supplement_2.s455. [DOI] [PubMed] [Google Scholar]
- Harder E., Al-Kawi M. Z., Carney P. Intracranial tuberculoma: conservative management. Am J Med. 1983 Apr;74(4):570–576. doi: 10.1016/0002-9343(83)91011-2. [DOI] [PubMed] [Google Scholar]
- Just M., Higer H. P., Betting O., Bockenheimer S., Pfannenstiel P. MRI in cranial tuberculosis. Eur J Radiol. 1987 Nov;7(4):276–278. [PubMed] [Google Scholar]
- Kingsley D. P., Hendrickse W. A., Kendall B. E., Swash M., Singh V. Tuberculous meningitis: role of CT in management and prognosis. J Neurol Neurosurg Psychiatry. 1987 Jan;50(1):30–36. doi: 10.1136/jnnp.50.1.30. [DOI] [PMC free article] [PubMed] [Google Scholar]
- Lees A. J., MacLeod A. F., Marshall J. Cerebral tuberculomas developing during treatment of tuberculous meningitis. Lancet. 1980 Jun 7;1(8180):1208–1211. doi: 10.1016/s0140-6736(80)91676-1. [DOI] [PubMed] [Google Scholar]
- Loizou L. A., Anderson M. Intracranial tuberculomas: correlation of computerized tomography with clinico-pathological findings. Q J Med. 1982;51(201):104–114. [PubMed] [Google Scholar]
- Lyden P. D. Tuberculoma of the brain stem. West J Med. 1987 Aug;147(2):198–200. [PMC free article] [PubMed] [Google Scholar]
- Mayers M. M., Kaufman D. M., Miller M. H. Recent cases of intracranial tuberculomas. Neurology. 1978 Mar;28(3):256–260. doi: 10.1212/wnl.28.3.256. [DOI] [PubMed] [Google Scholar]
- Ogawa S. K., Smith M. A., Brennessel D. J., Lowy F. D. Tuberculous meningitis in an urban medical center. Medicine (Baltimore) 1987 Jul;66(4):317–326. doi: 10.1097/00005792-198707000-00004. [DOI] [PubMed] [Google Scholar]
- Sheller J. R., Des Prez R. M. CNS tuberculosis. Neurol Clin. 1986 Feb;4(1):143–158. doi: 10.1016/S0733-8619(18)30992-7. [DOI] [PMC free article] [PubMed] [Google Scholar]
- Shepard W. E., Field M. L., James D. H., Jr, Tonkin I. L. Transient appearance of intracranial tuberculoma during treatment of tuberculous meningitis. Pediatr Infect Dis. 1986 Sep-Oct;5(5):599–601. doi: 10.1097/00006454-198609000-00028. [DOI] [PubMed] [Google Scholar]
- Smith H. Paradoxical responses during the chemotherapy of tuberculosis. J Infect. 1987 Jul;15(1):1–3. doi: 10.1016/s0163-4453(87)91276-x. [DOI] [PubMed] [Google Scholar]
- Tandon P. N., Bhargava S. Effect of medical treatment on intracranial tuberculoma--a CT study. Tubercle. 1985 Jun;66(2):85–97. doi: 10.1016/0041-3879(85)90073-x. [DOI] [PubMed] [Google Scholar]
- Tang L. M., Swash M. Tuberculosis of the nervous system: a modern problem. J R Soc Med. 1985 Jun;78(6):429–432. doi: 10.1177/014107688507800601. [DOI] [PMC free article] [PubMed] [Google Scholar]
- Teoh R., Humphries M. J., O'Mahony G. Symptomatic intracranial tuberculoma developing during treatment of tuberculosis: a report of 10 patients and review of the literature. Q J Med. 1987 May;63(241):449–460. [PubMed] [Google Scholar]
- Vengsarkar U. S., Pisipaty R. P., Parekh B., Panchal V. G., Shetty M. N. Intracranial tuberculoma and the CT scan. J Neurosurg. 1986 Apr;64(4):568–574. doi: 10.3171/jns.1986.64.4.0568. [DOI] [PubMed] [Google Scholar]



