Abstract
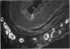
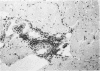
A 68 year old man presented with a clinical and biological picture that suggested polymyalgia rheumatica. Temporal artery biopsy disclosed no inflammatory change but massive light chain amyloid deposits in the media. Further exploration showed a malignant lymphoplasmacytic haemopathy with a triclonal gammopathy and a muscular, rectal, and probable cardiac amyloidosis. Cryoglobulinaemia and high concentrations of soluble interleukin 2 receptor (sIL-2R) were also found. This is the fifth case with confirmed involvement of the temporal artery. The especially high sIL-2R concentration was thought to reflect the tumour mass rather than lymphocyte activation.
Full text
PDF


Images in this article
Selected References
These references are in PubMed. This may not be the complete list of references from this article.
- Breathnach S. M., Wells G. C. Amyloid vascular disease: cord-like thickening of mucocutaneous arteries, intermittent claudication and angina in a case with underlying myelomatosis. Br J Dermatol. 1980 May;102(5):591–595. doi: 10.1111/j.1365-2133.1980.tb07661.x. [DOI] [PubMed] [Google Scholar]
- Chilosi M., Semenzato G., Vinante F., Menestrina F., Piazzola E., Focchiatti V., Sabbioni R., Zanotti R., Pizzolo G. Increased levels of soluble interleukin-2 receptor in non-Hodgkin's lymphomas. Relationship with clinical, histologic, and phenotypic features. Am J Clin Pathol. 1989 Aug;92(2):186–191. doi: 10.1093/ajcp/92.2.186. [DOI] [PubMed] [Google Scholar]
- Gertz M. A., Kyle R. A., Griffing W. L., Hunder G. G. Jaw claudication in primary systemic amyloidosis. Medicine (Baltimore) 1986 May;65(3):173–179. doi: 10.1097/00005792-198605000-00005. [DOI] [PubMed] [Google Scholar]
- Glenner G. G. Amyloid deposits and amyloidosis: the beta-fibrilloses (second of two parts). N Engl J Med. 1980 Jun 12;302(24):1333–1343. doi: 10.1056/NEJM198006123022403. [DOI] [PubMed] [Google Scholar]
- Hamidou M., Buzelin F., Rojouan J., Barrier J. H., Briseau J. M., Grolleau J. Y. Syndrome de l'artère temporale au cours d'une amylose AL associée à un myélome. Rev Med Interne. 1991 Jul-Aug;12(4):306–308. doi: 10.1016/s0248-8663(05)82870-x. [DOI] [PubMed] [Google Scholar]
- Jennette J. C., Sheps D. S., McNeill D. D. Exclusively vascular systemic amyloidosis with visceral ischemia. Arch Pathol Lab Med. 1982 Jul;106(7):323–327. [PubMed] [Google Scholar]
- Kalra L., Delamere J. P. Lymphoreticular malignancy and monoclonal gammopathy presenting as polymyalgia rheumatica. Br J Rheumatol. 1987 Dec;26(6):458–459. doi: 10.1093/rheumatology/26.6.458. [DOI] [PubMed] [Google Scholar]
- Kyle R. A., Greipp P. R. Amyloidosis (AL). Clinical and laboratory features in 229 cases. Mayo Clin Proc. 1983 Oct;58(10):665–683. [PubMed] [Google Scholar]
- Muckle T. J. Giant cell inflammation compared with amyloidosis of the internal elastic lamina in temporal arteries. Arthritis Rheum. 1988 Sep;31(9):1186–1189. doi: 10.1002/art.1780310916. [DOI] [PubMed] [Google Scholar]
- Rubin L. A. The soluble interleukin-2 receptor in rheumatic disease. Arthritis Rheum. 1990 Aug;33(8):1145–1148. doi: 10.1002/art.1780330814. [DOI] [PubMed] [Google Scholar]
- Samanta A., Hilton D., Roy S. Peripheral neuropathy, polymyalgia and arthralgia: a paraneoplastic syndrome associated with myeloma. Clin Rheumatol. 1990 Jun;9(2):246–248. doi: 10.1007/BF02031978. [DOI] [PubMed] [Google Scholar]
- Taillan B., Fuzibet J. G., Vinti H., Pesce A., Dujardin P. AL amyloid deposits in temporal artery mimicking giant cell arteritis. Clin Rheumatol. 1990 Jun;9(2):256–256. doi: 10.1007/BF02031981. [DOI] [PubMed] [Google Scholar]
- Vacca A., Di Stefano R., Frassanito A., Iodice G., Dammacco F. A disturbance of the IL-2/IL-2 receptor system parallels the activity of multiple myeloma. Clin Exp Immunol. 1991 Jun;84(3):429–434. [PMC free article] [PubMed] [Google Scholar]
- Zelis R., Mason D. T., Barth W. Abnormal peripheral vascular dynamics in systemic amyloidosis. Ann Intern Med. 1969 Jun;70(6):1167–1172. doi: 10.7326/0003-4819-70-6-1167. [DOI] [PubMed] [Google Scholar]



