Abstract
Kienböck's disease is best understood as a continuous interaction between compromised perfusion and structural deterioration that transitions from an early phase to a late phase. Existing literature has failed to identify any one superior treatment for Kienböck's; many studies even demonstrate no advantage for surgery compared with the natural history. Surgical interventions for early and transitional Kienböck's are designed to preserve or reconstruct the lunate. However, in most studies, the only tool used to assess the lunate itself has been plain radiography that neither reveals critical architectural details (demonstrated by computed tomographic scan) nor the vascular status (demonstrated by magnetic resonance imaging). Most articles, therefore, do not adequately define the preoperative status of the lunate or its alteration through surgical intervention. Critical preoperative features that are best demonstrated by these advanced imaging studies have specific anatomic and physiologic relationships that better correspond with certain surgical interventions, which also pair better with specific patient characteristics. This review explains how to identify, analyze, and strategically match these variables with the treatment interventions available for Kienböck's patients through the early, transitional, and late phases of the disease.
Keywords: Kienböck's treatment, revascularization, flap, osteotomy, prosthesis, fusion
Introduction
This review focuses on the surgical management of Kienböck's disease and critically examines the impact of specific disease and patient features on treatment selection. Intentionally omitted is the discussion of background, history, and etiology that can easily be found in other reviews. A common error induced by classifying Kienböck's into discrete radiographic stages is failing to appreciate that the disease process is a continuous state of flux within the lunate. Early and late Kienböck's are relatively easy to conceptualize; the complexity occurs during the transitional phase of the disease. In early Kienböck's perfusion is compromised but structure is maintained; treatment is directed at restoring perfusion. 1 2 In late Kienböck's the lunate is fragmented beyond potential for reconstruction into multiple necrotic segments involving both the proximal and distal articular surfaces. Treatment involves removal of the necrotic lunate fragments and selecting from a short list of alternative forms of articulation. Most of the errors in evaluation and management occur when the lunate is in transition. Following the initial interruption of vascular perfusion, a complex interplay then ensues between the structural integrity of the bone and its viability.
Transitional Kienböck's must be evaluated not only for its presenting features on the date of the patient encounter, including the three-dimensional renderings of magnetic resonance imaging (MRI) and computed tomography (CT) scan, but understood as a process continuously changing through the fourth dimension of time. The interaction between compromised structural integrity and tissue viability/perfusion pathways continues with each increment in time. 3 4 The surgeon's planned intervention will not immediately halt ongoing changes that have inertia and continue to worsen before the surgical manipulations have an opportunity to take effect. This review will examine how to recognize specific key features of the continuously changing structure to viability relationship that guide the application of various treatment strategies.
There are numerous problems in reviewing the past literature on Kienböck's treatment, not the least of which is that the overwhelming majority of publications are level IV evidence uncontrolled case series. Publications typically promote a favored treatment strategy applied to a range of patients assessed at final outcome with subjective scores, range of motion (ROM), grip strength (GS), and plain radiographic appearance. The studies usually lack more discriminating information about the details of the disease state both prior to intervention and at final assessment, rendering most comparative analyses to conclude no discernible difference between treatments. 5 6 Accordingly, this review does not propose to recommend that any one particular treatment strategy is preferred over others. Instead, the purpose is to examine how specific identifiable features may influence the analysis and explanation by the surgeon as well as the ultimate treatment selected by the patient.
Early Kienböck's
The features of early Kienböck's are diffuse perfusion abnormalities on MRI with normal plain radiographs. The most common error is to interpret the MRI signal changes of ulnocarpal impaction as representing Kienböck's. The natural history of early Kienböck's has not been well defined, but the best evidence supports a greater potential for spontaneous resolution in pediatric patients (especially those 12 years and younger) compared with adults. 7 8 9 Even though a cohort of 9 untreated adult patients followed at 27 years reported a mean Disabilities of the Arm, Shoulder, and Hand (DASH) score of 11.3, the authors still concluded that observation of natural history was not a valid strategy. 10 Adult patients can go from first symptoms to full fragmentation in less than 6 months, and adjacent hyaline cartilage degeneration can occur within 12 months. 11 Consequently, the decision analysis for the early Kienböck's patient lies between observation of natural history versus surgical intervention with the intention of promoting revascularization: pure unloading; direct revascularization without bone replacement; indirect revascularization without unloading; indirect revascularization with unloading. Spontaneous or indirect revascularization requires restoration of perfusion through existing vascular channels running through the architectural framework of the bone and will not occur across coronal plane structural fissures. Plain films are unable to reveal such subtle cleavage planes, but development of these coronal fissures within the bone is the key feature that signals the transition from very early Kienböck's toward a worsening prognosis ( Fig. 1 ). The presence of fissuring places a stronger emphasis on surgical intervention because natural revascularization is less likely once the original vascular channels have been interrupted. The necessary examination is a CT scan, as 33% of Lichtman/Stahl (L/S) stage II patients may have a coronal fissure undetectable on plain radiographs. 12 13 If there is no cavitary bone loss seen on the CT scan (a feature of transitional Kienböck's), then treatment is primarily aimed at revascularizing the lunate. Cavitary bone loss requires vascularized replacement of missing bone stock, whereas a two-dimensional coronal fissure merely creates a watershed separation of vascular pathways with no requirement to replace bone tissue.
Fig. 1.

Coronal plane fractures not visible on plane radiographs are demonstrated on sagittal computed tomographic images.
Pure Unloading
The least invasive surgical option falls between the choices of observation and revascularization. No vascular manipulations are performed. The scaphoid is extended and pinned across the scaphotrapeziotrapezoid (STT) or scaphocapitate (SC) joint; external fixation in distraction can also be used. By reducing the compressive loads on the lunate for some planned period of time, the hope is that spontaneous revascularization will occur through the existing vascular channels. This strategy would best fit a very young patient whose parents desire to take some proactive step but who does not yet have coronal fissures on the CT scan that interrupt the original channels. Unloading alone is unlikely to promote the development of new vascular pathways (a response that has yet to be anatomically confirmed in live patients). Normalization of MRI signal intensity begins by 3 months after pinning and should be complete by 6 months (at which time pins were removed). 14 Six patients with a mean age of 14 all normalized the MRI signal intensity with 3 to 6 months of pinning. 15 Six other patients with a mean age of 15 followed at 7 years all normalized the MRI signal intensity. 16
Direct Revascularization without Bone Replacement
In the absence of three-dimensional bone loss, there is no need to replace bone volume. But with fissures interrupting the original vascular channels, new vascular pathways will be required to achieve revascularization. Implantation of a vascular bundle into the lunate has been shown to induce new vascular channels that can form connections with the original intraosseous vascular pathways. 17 With the location of the fissure(s) demonstrated preoperatively, the bundle can be placed across the fissure to reach the far segment of bone territory and deliver new blood supply to a sector that has been structurally isolated from perfusion. 12 This strategy would best fit a patient with fissuring on CT scan but without imaging features that would suggest greater risk of focal overload. Imaging features concerning for overload include a high degree of ulnar negative variance, high radial inclination, a wedge-shaped lunate narrow radially or dorsally, and more than 40% of the lunate ulnar to the margin of the radius. Of interest, despite repeated historical assertions that negative ulnar variance promotes the development of Kienböck's, critical examination of the data, including multiple meta-analyses, concludes that the evidence fails to support causation. 18 19 20
Indirect Revascularization without Unloading
Once fissures have developed to interrupt the original vascular channels, revascularization will be more likely through the induction of new vascular ingrowth to the lunate. Operative intervention that violates bone structure adjacent to the lunate may induce vascular ingrowth and has been proposed as the basis for the observed success of core decompression of the radius. 21 22 23 Core decompression has also been reported for the capitate and even the lunate itself. 24 25 The indirect revascularization response may also be the basis for the observed success of full radius osteotomy regardless of shortening, opening wedge, or closing wedge varieties that all seem to produce about the same result as a core decompression. 26 This strategy best fits an early Kienböck's patient without imaging features indicating potential for focal overload. Whether or not indirect stimulation of revascularization can proceed equally well with or without fissures remains unclear as we do not know whether or not revascularization utilizes existing pathways or forms new pathways. Fifteen patients, L/S stage IIIA, followed at 13 years after radius core decompression demonstrated wrist ROM 77% of contralateral and GS 80% of contralateral. 21 Twenty-two patients followed at 10 years after radius and ulna core decompression demonstrated wrist ROM 77% contralateral and GS 75% contralateral. 22
Indirect Revascularization with Unloading
This strategy seeks to influence both sides of the interplay between structural integrity and viability/perfusion. By unloading the lunate from compressive forces, the goal is to buy time for the revascularization process to occur before any further deterioration or structural collapse. Beyond simple pinning of the scaphoid, unloading strategies involve osteotomy of bones adjacent to the lunate that have been studied in the laboratory to decrease relative compression across either a portion of the lunate (typically the radial side) or the whole lunate. Radial shortening osteotomy (RSO) reduces radiolunate load 45% but increases ulnolunate 50% and ulnotriquetral 78%. 27 Capitate shortening osteotomy reduces radiolunate load 66% but increases ulnotriquetral 114%, triquetrohamate 149%, STT 69%, and radioscaphoid 26%. 28 Full capitate osteotomy causes carpal collapse; partial capitate osteotomy increases radioscaphoid load 39% while decreasing radiolunate 53%. 27 28 29
Because these osteotomy procedures may also induce an indirect revascularization response, it has been all but impossible to determine whether the observed clinical benefits are attributable to the mechanical alteration of forces, the stimulation of vascular ingrowth, or a combination. This will likely remain an unanswered question short of a well-controlled study comparing osteotomy with core decompression. This strategy would best fit a patient with imaging features indicating potential focal overload. Since no one unloading strategy has been demonstrated superior to others, it makes sense to tailor the method of unloading to the observed imaging features placing the patient at risk. For a patient with high ulnar negative variance, a RSO balances the compressive forces between the radial and ulnar portions of the lunate. Thirteen patients followed for 21 years after RSO demonstrated that half progressed in stage (initial stages: 6 stage II, 4 stage IIIA, 3 stage IIIB). 30 Eleven patients followed for 14.3 years after RSO were reported to have no progression (2 stage IIIA, 8 stage IIIB, 1 stage IV). 31 Thirty-six patients starting at L/S stage IIIA were followed for 12 years after RSO, 8 progressed to stage IV, and 7 progressed to stage IIIB. 32 In 16 patients followed for 25 years after RSO, 56% demonstrated no change in stage. 33 The most likely reason for these and other disparate results is a difference in the initial status of the lunate as well as the inability of plain radiographs to accurately represent lunate status at both the initial and final assessments. 34 35 36
For a patient with high radial inclination or greater than 40% of the lunate off the ulnar margin of the radius, a closing wedge osteotomy shifts more of the ulnar portion of the lunate onto the radius and reduces radial sided overload. 37 Six patients demonstrated a lunate covering ratio shift from 61 to 90% without evidence of osteoarthritis in the distal radial–ulnar joint (DRUJ) at 32 months. 38 Thirteen patients followed for 14 years demonstrated an inability of the radial wedge osteotomy to prevent carpal collapse, with eight progressing in stage. 39 Comparisons of clinical outcomes between RSO, radial wedge osteotomy, or just cutting the radius without changes in length or angle have found no differences. 26 40 41 A concern with any radius osteotomy that alters position is development of DRUJ osteoarthritis. 42
For a patient with multiple abnormalities or an ulnar positive variance, capitate shortening osteotomy unloads the entire lunate approximately 50%. 43 44 45 46 Seven patients, L/S stage II and IIIA, followed at 38 months after partial capitate osteotomy all demonstrated MRI revascularization. 47 Ten out of 19 patients followed at 16 months after partial capitate osteotomy demonstrated complete revascularization. 48 Twenty-two patients followed at 30 months after capitate osteotomy demonstrated that L/S stage II patients improved to a wrist ROM of 73% contralateral and GS 75% of contralateral, but L/S stage III patients did not improve and further deteriorated. 49
Transitional Kienböck's
The key feature of worsening Kienböck's is three-dimensional bone loss and corruption of structural integrity to a greater extent than just thin fissures that interrupt vascular channels ( Fig. 2 ). This is the most difficult phase to assess because the inertia continues at a variable and unpredictable rate for both the structural collapse and the progression from merely ischemic bone onwards to a state of terminal necrosis. Spontaneous or indirect revascularization is not going to occur for regions architecturally separated from a source of perfusion by planes of cleavage in bone structure. Terminally necrotic regions (that initially demonstrate trabecular architecture on imaging) will not remain structurally intact over time. Absent a formal study, the clinical experience of high-volume specialists is that terminally necrotic bone cannot be revascularized even by an adjacent new vascularized bone flap.
Fig. 2.

In transitional Kienböck's central cavitation precedes subsequent proximal subchondral collapse.
The distinction between ischemic bone and terminally necrotic bone can only be confirmed by direct inspection at the time of surgery, not by preoperative imaging (MRI or CT). Ischemic bone still retains its porous cancellous architecture and retains some degree of marrow. Terminally necrotic bone is absolutely dry and chalky, lacking any marrow whatsoever, and appears visually sclerotic but is weak and friable to contact. The specific bone stock, upon which treatment success or failure hinges, is the subchondral bone. If the surgeon introduces new vascularized bone as a flap into the core of a collapsing lunate, time is required for the flap to incorporate and heal to the ischemic subchondral bone ( Fig. 3 ). Despite trabecular patterns by preoperative imaging, the inertia of progressive necrosis can proceed rapidly enough that the vascularized flap will have arrived too late to salvage subchondral bone. For this reason, when planning for vascularized reconstruction of the lunate, alternate treatments must be arranged in advance.
Fig. 3.

Successful 4,5-extensor compartment pedicled, vascularized bone flap restores normal signal intensity on magnetic resonance imaging.
Preoperative Evaluation and Planning
Substantial confusion exists among surgeons that MRI plays a role in treatment selection. MRI is useful in two contexts: establishing an initial diagnosis of Kienböck's and outcomes assessment of revascularization procedures. Patients must, of course, select preferred treatments, but it is the surgeon's job to understand what treatments are appropriate, along with specific features that eliminate an otherwise desired treatment from consideration. This information is procured from two sources: CT scan and intraoperative tissue assessment. There is no role for MRI. A surgeon relying only on the L/S classification might easily become confused that arthroscopy is somehow a useful step in planning treatment; it is not. Arthroscopy can demonstrate hyaline cartilage wear on the head of the capitate and lunate fossa of the radius, but this only occurs after fragmentation, collapse, and incongruence of the opposing surface of the lunate, a fact easily demonstrated by CT scan (a noninvasive test that does not require anesthesia and a trip to the operating room). Arthroscopy can demonstrate lack of subchondral support for hyaline cartilage by direct probing of the surface, directing the surgeon away from a vascularized flap that depends on integrity of that articulation. However, the converse is not true: stability to arthroscopic probing of the hyaline cartilage surface does not predict success of a vascularized flap joined to that section of subchondral bone. The reason is that the probed bone may be terminally necrotic and unable to heal to the flap. The same exact information can be obtained by CT scan. The key features to observe on CT scan are dark lines running in the subchondral bone parallel and close to the articular surface that indicate structural cleavage planes ( Fig. 4 ). The cleavage planes indicate insufficient bone supporting the hyaline cartilage to participate in a healing process with the adjacent flap. Like arthroscopy, the absence of these lines on preoperative CT does not guarantee the success of a vascularized flap, and the subchondral bone must always be assessed intraoperatively. Because intraoperative fact checks remain, the preoperative planning must always include patient choice of alternate procedure. This necessity of quality preoperative planning obviates any role for advance arthroscopy.
Fig. 4.

Proximal subchondral cleavage planes indicate loss of bone support to the hyaline cartilage surface and preclude use of a core bone flap only for treatment.
Direct Revascularization with Core Bone Replacement
With loss of bone volume, treatment focuses on the dual objectives of revascularization and replacing bone stock with pedicled or free vascularized bone flaps ( Fig. 5 ). 50 51 52 53 54 55 For a successful purely osseous flap, both the proximal and distal articular surfaces must be supported by subchondral bone that is merely ischemic but not terminally necrotic. 3 13 56 57 Twenty-six patients followed for 31 months after distal radius 4,5-extensor compartment vascularized bone flaps achieved 71% of contralateral wrist ROM, 89% of contralateral GS, and 77% demonstrated no further collapse. 58 Thirteen patients (11/13 L/S stage IIIA) followed at 32 months after distal radius 4,5-extensor compartment vascularized bone flaps without additional unloading demonstrated no collapse or progression with GS improving from 60 to 88% of contralateral, wrist flexion from 39 to 53 degrees, and wrist extension from 41 to 56 degrees. 59 However, if the inertia of the vascular decline causes critical subchondral bone to progress to terminal ischemia before the bone flap has an opportunity to provide revascularization, the procedure will fail. Also, if the inertia of the structural collapse causes fragmentation in the subchondral region before revascularization occurs, the procedure will fail. 60 Twenty-six patients followed for 62 months after vascularized bone graft with 4 months of pinning to unload the lunate still lost additional height if starting from L/S stage IIIA; already collapsed L/S stage IIIB patients had no additional height to lose. 61 These fundamental truths are what require the surgeon to see the case as occurring through the fourth dimension of time and not just as a snapshot of its original presenting features.
Fig. 5.

Pedicled 4,5-extensor compartment bone flap reconstructs central cavitary loss.
Direct Revascularization with Replacement of Bone and Cartilage
The proximal half of the lunate is supplied retrograde by vessels entering distally ( Fig. 6 ). 62 In addition, the trabecular structure predisposes the proximal lunate to collapse prior to the distal articular surface. 63 The key features to observe on CT scan are cleavage planes parallel to the proximal articular surface indicating insufficient subchondral support to incorporate a core bone flap only, and the notable absence of such cleavage planes near the distal articular surface ( Fig. 7 ). The distal articular surface must either be intact or reconstructible to a sufficient concave area capable of supporting the capitate. A common finding is fragmentation of the dorsal horn of the lunate, but if the size of this fragment is small enough, the remainder of the volar articular concavity is sufficient to receive load transfer from the capitate ( Fig. 8 ). If the distal articulation proves sufficient, then the remainder of the lunate can be replaced by an osteocartilaginous free flap from the medial (or lateral) femoral trochlea that reconstructs the proximal articular surface ( Fig. 9 ). Sixteen patients followed at 19 months after medial trochlear flaps achieved 50 degrees wrist extension, 38 degrees wrist flexion, and GS 85% of contralateral. 64 Two of the 16 progressed and worsened. Another cohort of 18 patients had only 8 available for follow-up at 2 years, yielding 37 degrees wrist extension, 38 degrees wrist flexion, and GS 68% of contralateral. 65 Transferring vascularized autogenous tissue to reconstruct the collapsing lunate is very conceptually appealing, but whether or not the long-term outcome holds any advantage over alternatives remains to be proven.
Fig. 6.

Intraosseous vascular channels enter the lunate from volar and dorsal, anastomose in the distal portion of the bone, and then branch to supply the proximal lunate.
Fig. 7.

Transitional Kienböck's proceeds to proximal subchondral collapse with an intact distal articular surface.
Fig. 8.

Even if the dorsal horn fragment is removed, as long as sufficient distal articular surface remains to support the capitate, medial femoral trochlear reconstruction of the proximal articular surface can still be performed.
Fig. 9.

Healed medial femoral trochlear osteocartilaginous flap reconstruction of the entire proximal lunate (not same patient as Fig. 8).
Late Kienböck's
Late Kienböck's is characterized by the features of extensive fragmentation and terminally necrotic bone such that neither the proximal nor distal articular surfaces are capable of reconstruction or healing to any newly imported vascularized bone flaps ( Fig. 10 ). Patients in transitional Kienböck's may also reject flap reconstruction strategies for personal reasons or be unsuitable candidates based on medical comorbidities. Those patients may then elect to proceed to the treatment options associated with removal of the entire lunate: total wrist fusion, partial wrist fusion, proximal row carpectomy (PRC), PRC with capitate prosthesis, and prosthetic replacement of the lunate with carpal stabilization. These treatment options also serve as alternate strategies to planned vascularized bone flaps following intraoperative assessment for terminally necrotic subchondral bone.
Fig. 10.

Once both articular surfaces have fully collapsed and fragmented, the lunate can no longer be reconstructed.
Total Wrist Fusion
Total wrist fusion (TWF) is typically rejected by most patients who are loathe to sacrifice all motion. Despite that one major drawback, TWF otherwise offers the advantages of a durable solution that will never have to be converted, the best pain relief, and the ability to apply loads without reservation. The key patient feature that best corresponds to TWF is a young patient that desires to continue high force impact loading for many decades.
Partial Wrist Fusion
The key patient features that best correspond to partial wrist fusion are a patient who desires to load the wrist without reservation, has high pain tolerance, and is willing to experience moderate loss of motion and a moderate likelihood of subsequently converting the partial fusion after progression of radioscaphoid arthritis. Either STT or SC fusion permits load to be transmitted through the radioscaphoid articulation. 66 67 However, with the inability for the scaphoid to flex relative to the distal row, the proximal scaphoid is forced to sublux incongruently, leading to accelerated wear with the radius. 68 69 Trapeziometacarpal arthritis, carpal collapse, poor motion, and ulnar translocation after lunate removal have also been reported. 68 70 71 Fifty-nine patients followed 4 years after STT fusion demonstrated a flexion–extension arc 60% of contralateral, radial–ulnar deviation arc 52% of contralateral, and a mean DASH score of 28. 72 Eleven patients with STT fusion were compared with 19 natural history patients over 13 years with worse results for both pain and motion in the fusion group. 73 Direct comparison of STT fusion to PRC found inferior results for the fusion with an arc of motion 39% contralateral versus 57% and GS 62% contralateral versus 68%. 74
Proximal Row Carpectomy
Perhaps the most commonly performed treatment for late Kienböck's is PRC. The key anatomic feature to support this option is preservation of hyaline cartilage on the head of the capitate and the lunate fossa of the radius ( Fig. 11 ). The key patient feature is a low-to-moderate demand middle aged adult. With the three bones of the proximal row removed, the shorter radius of curvature capitate articulates incongruently with the larger radius of curvature lunate fossa. Even if both surfaces begin with pristine hyaline cartilage, the high load concentration leads to accelerated wear and eventual loss of the remaining cartilage. The younger the patient, the higher demand user, and any existing deficiencies on either surface create a higher likelihood of an eventual conversion or worse outcome. 75 76 77 Thirteen patients followed for 15 years after PRC all demonstrated degenerative arthritis but without correlation to subjective good to excellent clinical results in 12/13, a mean arc of motion 73% of the uninvolved side, with 7/13 in manual labor positions. 78 Twenty-four patients followed 116 months after PRC demonstrated a motion arc of 76 degrees, GS 78% contralateral, and a DASH score of 31. 79 Systematic review of six studies capturing 147 patients yielded a GS 68% of contralateral, arc of motion 73 degrees, DASH of 21.5, patient-rated wrist evaluation (PRWE) of 28.7, osteoarthritis in 79%, and 14% converting to TWF. 80 Followed over a period of 12 years, 24% of 62 patients converted to a TWF, but did so at a mean of 22 months following the original PRC. 81
Fig. 11.

After proximal row carpectomy the shorter radius of curvature head of capitate articulates with the larger radius of curvature lunate fossa.
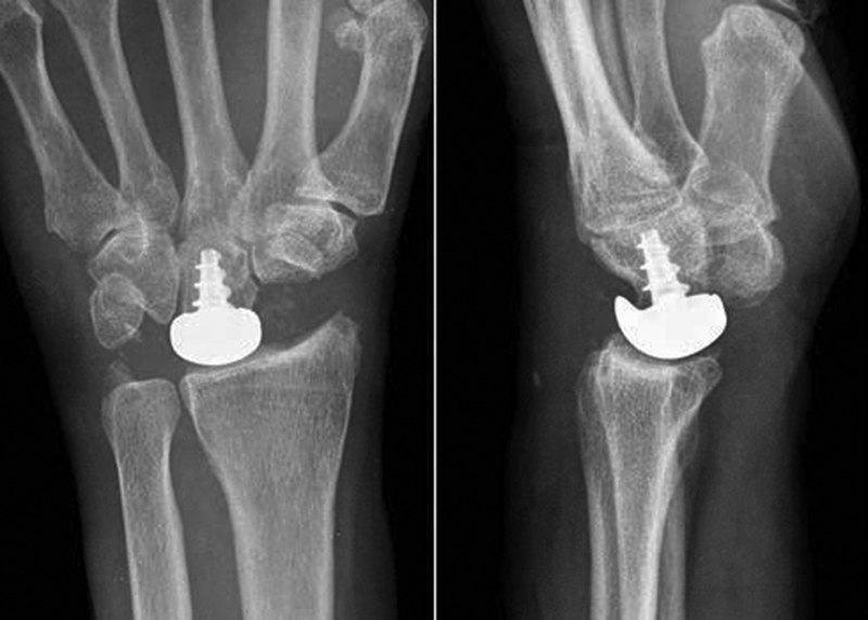
PRC with Capitate Prosthesis
Patients may prefer PRC over other strategies but face cartilage surface deficiencies too great to predict an acceptable outcome from a conventional PRC. In such cases, a pyrocarbon prosthesis can be placed at the radius to capitate articulation with a report of no implant failures or dislocations in six patients followed for 28 months. 82 Twenty-five patients were followed for over 2 years demonstrating 27 degrees of wrist flexion, 33 degrees of wrist extension, GS 54% of contralateral, DASH of 20, and PRWE of 28. 83 An alternative design offers an osseointegrated titanium threaded post fit with a modular cobalt-chrome articular surface replacing the head of the capitate in multiple sizes that can be optimized for congruence with the lunate fossa ( Fig. 12 ). Published data are lacking so it remains unknown whether the higher modulus of cobalt-chrome will ultimately lead to erosion into the radius and the level of discomfort patients may experience from this articulation. Currently, without evidence of performance over time, this model may be better suited for older patients with a shorter exposure to future loading.
Fig. 12.

The head of the capitate is resurfaced with a modular cobalt–chrome prosthesis fixed with a titanium threaded post.
Prosthetic Replacement of the Lunate with Carpal Stabilization
The key features are a patient who personally rejects the other more traditional options for late Kienböck's. A prosthesis made of pyrocarbon and shaped similar to the native lunate has the positive features of an extremely low friction surface that can articulate successfully, even with eburnated bone, as well as a modulus of elasticity similar to cortical bone for load transfer. These two attributes are titrated against its primary detriment of the absolute inability to heal to any tissue. The prime attraction for patients is not removing or fusing any of the other intact carpal bones. But this same attraction is exactly what poses the greatest problem, the remaining carpals are left intrinsically unstable following the loss of scapholunate and lunotriquetral ligament integrity. An earlier model made of titanium (performed without carpal stabilization) demonstrated a 20% rate of complete dislocation and the authors discontinued the procedure. 84 Since nothing will adhere to pyrocarbon, establishing sufficient intercarpal stability requires forming new soft tissue connections between the scaphoid and triquetrum that bypass the prosthesis ( Fig. 13 ). Additional reconstruction, connecting to the radius, may also be needed to resist ulnar translocation. Thirteen patients, implanted and stabilized by double bundle scaphoid-trapezium flexor carpi radialis tenodesis, and followed for 30 months demonstrated improvements by all measures to 43 degrees wrist flexion, 53 degrees wrist extension, GS 85% contralateral, and a DASH score of 7.7. 85 Maintenance of stability over time showed no loss of surgical improvement achieved in the scapholunate angle (46.4 degrees), radioscaphoid angle (45 degrees), and modified carpal height ratio (1.59). One patient was unable to be rendered stable and intraoperatively converted to the alternate choice of PRC. One patient developed avascular necrosis of the proximal scaphoid and chose conversion to PRC. The authors reported that the first-generation stabilization technique used in these13 patients has since been modified. 85
Fig. 13.

Carpal stability has been restored through tenodesis reconstruction, bypassing the pyrocarbon lunate prosthesis.
Evaluating Outcomes
Without more discriminating assessment of lunate status either before or after treatment, it is not surprising that systematic reviews have failed to identify any superior treatment for Kienböck's. 5 Uncertainty even remains as to whether surgical treatment confers advantages over natural history. 73 Multiple individual studies and a systemic review of 17 studies with greater than 10 years follow-up have demonstrated that RSO does not reverse or prevent collapse. 86 87 88 89 Twenty-five patients with RSO demonstrated osteoarthritis in 54% by 5 years and 73% by 14.5 years. 90 Forty-four nonsurgically tracked patients reported a late DASH score of 20 compared with 18 surgically treated patients with a score of 23.4. 6 Although more recent studies are starting to incorporate patient-rated outcome measures (PROMs), the lunate itself has been assessed using the imprecise tool of plain radiography that fails to adequately demonstrate lunate architecture (CT scan) or vascular status (MRI). 3 35 As the lunate collapses, venous congestion is alleviated, forces are offloaded to adjacent articulations, and the residual fragments have an opportunity to revascularize and heal in some patients or continue to further displace in others. 91 92 The objective physical measures of GS and ROM are compromised to a similar moderate extent in the course of Kienböck's reconstruction and thus do not prove very useful to separate one procedure from another. The subjective but quantifiable results of PROMs also tend to cluster within a range relatively equal to the minimal clinically important difference. One potential reason for PROM clustering may be the adaptability of human beings. After counseling by their surgeons that the reconstruction should be preserved by avoiding excessive loading, most patients make lifestyle changes and adapt activity patterns to accommodate their new wrists. They also learn to accept certain symptoms and limitations because they know that few alternatives exist. The detracting features of those alternatives are likely the reason that more patients do not convert their initial procedures even in the face of moderate results. Although we are unlikely to alter these fundamentals despite our efforts to advance our field, we may be able to offer patients more individualized guidance in selecting Kienböck's procedures.
Summary
We can best help our patients with a clear explanation of the nature of the disease as a continuous state of flux between perfusion and architectural compromise occurring in three phases: early, transitional, and late. This is much easier for patients to understand than static radiographic stages that fail to elucidate key features that correlate with specific treatment choices. Skeletally immature patients, especially those 12 years and younger, have demonstrated a superior capacity for revascularization; best evidence supports treatment by observation of natural history with or without pinning. Evidence for spontaneous revascularization and resolution to a normal lunate is lacking in adults. Unless we employ more discriminating research methods to objectively define the status of the lunate both before and after intervention, we will remain unlikely to discover optimal treatments for Kienböck's patients. While it is indeed important to include plain radiographs, PROMs, ROM, and GS measures in our research, the objective of our surgical interventions (for early and transitional Kienböck's) is the lunate itself, specifically its vascularity and architecture. Only CT scan adequately defines the architecture, and only MRI provides noninvasive information regarding vascular status. Given the abundance of literature confirming that osteotomy is no better than natural history, treatment selection should at least minimize invasiveness and morbidity such that direct revascularization with or without core decompression of the lunate seems appropriate for early Kienböck's. Transitional Kienböck's creates logical pairings for treatment: replace missing core bone or replace missing bone and cartilage with vascularized tissue. Late Kienböck's requires perhaps the most complex decision making on the part of the patient, guided by which detracting features the patient is willing to accept and manage over time. Limited wrist fusion has been demonstrated no better than natural history and worse than PRC, an unlikely choice for most patients. The historically most common operation, PRC, remains the reference standard, but progressive loss of cartilage is assured in young patients who increasingly seek alternatives. Unfortunately, only limited and early data exists for the prosthetic alternatives, with only TWF remaining.
Footnotes
Conflict of Interest None.
References
- 1.Freedman D M, Botte M J, Gelberman R H. Vascularity of the carpus. Clin Orthop Relat Res. 2001;383:47–59. doi: 10.1097/00003086-200102000-00008. [DOI] [PubMed] [Google Scholar]
- 2.Gelberman R H, Bauman T D, Menon J, Akeson W H. The vascularity of the lunate bone and Kienböck's disease. J Hand Surg Am. 1980;5(03):272–278. doi: 10.1016/s0363-5023(80)80013-x. [DOI] [PubMed] [Google Scholar]
- 3.Ogawa T, Nishiura Y, Hara Y, Okamoto Y, Ochiai N. Correlation of histopathology with magnetic resonance imaging in Kienböck disease. J Hand Surg Am. 2012;37(01):83–89. doi: 10.1016/j.jhsa.2011.09.027. [DOI] [PubMed] [Google Scholar]
- 4.Rhee P C, Jones D B, Moran S L, Shin A Y. The effect of lunate morphology in Kienböck disease. J Hand Surg Am. 2015;40(04):738–744. doi: 10.1016/j.jhsa.2014.12.024. [DOI] [PubMed] [Google Scholar]
- 5.Innes L, Strauch R J. Systematic review of the treatment of Kienböck's disease in its early and late stages. J Hand Surg Am. 2010;35(05):713–717. doi: 10.1016/j.jhsa.2010.02.002. [DOI] [PubMed] [Google Scholar]
- 6.Martin G R, Squire D. Long-term outcomes for Kienböck's disease. Hand (N Y) 2013;8(01):23–26. doi: 10.1007/s11552-012-9470-9. [DOI] [PMC free article] [PubMed] [Google Scholar]
- 7.Afshar A. Kienbock disease in the skeletally immature patient. J Hand Surg Am. 2018;43(05):465–469. doi: 10.1016/j.jhsa.2018.02.029. [DOI] [PubMed] [Google Scholar]
- 8.Irisarri C, Kalb K, Ribak S. Infantile and juvenile lunatomalacia. J Hand Surg Eur Vol. 2010;35(07):544–548. doi: 10.1177/1753193410364913. [DOI] [PubMed] [Google Scholar]
- 9.Keith P P, Nuttall D, Trail I. Long-term outcome of nonsurgically managed Kienböck's disease. J Hand Surg Am. 2004;29(01):63–67. doi: 10.1016/j.jhsa.2003.10.016. [DOI] [PubMed] [Google Scholar]
- 10.Viljakka T, Tallroth K, Vastamäki M. Long-term natural outcome (7–26 years) of Lichtman stage III Kienbock's lunatomalacia. Scand J Surg. 2016;105(02):125–132. doi: 10.1177/1457496915577023. [DOI] [PubMed] [Google Scholar]
- 11.Stahl S. Characteristic features and natural evolution of Kienbock disease: Five years results of a prospective case series and retrospective case series of 106 patients. J Hand Surg Am. 2014;39(09):Se5–e6. doi: 10.1016/j.bjps.2014.05.037. [DOI] [PubMed] [Google Scholar]
- 12.Chou J, Bacle G, Ek E TH, Tham S KY. Fixation of the fractured lunate in Kienbock disease. J Hand Surg Am. 2019;44(01):670–6.7E9. doi: 10.1016/j.jhsa.2018.05.008. [DOI] [PubMed] [Google Scholar]
- 13.Havulinna J, Jokihaara J, Paavilainen P, Leppänen O V. Keyhole revascularization for treatment of coronal plane fracture of the lunate in Kienbock disease. J Hand Surg Am. 2016;41(11):e441–e445. doi: 10.1016/j.jhsa.2016.08.010. [DOI] [PubMed] [Google Scholar]
- 14.Kazuki K, Uemura T, Okada M, Egi T. Time course of magnetic resonance images in an adolescent patient with Kienböck's disease treated by temporary scaphotrapezoidal joint fixation: a case report. J Hand Surg Am. 2006;31(01):63–67. doi: 10.1016/j.jhsa.2005.08.015. [DOI] [PubMed] [Google Scholar]
- 15.Ando Y, Yasuda M, Kazuki K, Hidaka N, Yoshinaka Y. Temporary scaphotrapezoidal joint fixation for adolescent Kienböck's disease. J Hand Surg Am. 2009;34(01):14–19. doi: 10.1016/j.jhsa.2008.09.019. [DOI] [PubMed] [Google Scholar]
- 16.Cha S M, Shin H D, Ahn J S, Noh C K. Temporary scaphocapitate fixation with or without radial shortening for adolescent Kienböck's disease. J Pediatr Orthop B. 2015;24(03):207–214. doi: 10.1097/BPB.0000000000000165. [DOI] [PubMed] [Google Scholar]
- 17.Hori Y, Tamai S, Okuda H, Sakamoto H, Takita T, Masuhara K. Blood vessel transplantation to bone. J Hand Surg Am. 1979;4(01):23–33. doi: 10.1016/s0363-5023(79)80101-x. [DOI] [PubMed] [Google Scholar]
- 18.Chung K C, Spilson M S, Kim M H. Is negative ulnar variance a risk factor for Kienböck's disease? A meta-analysis. Ann Plast Surg. 2001;47(05):494–499. doi: 10.1097/00000637-200111000-00004. [DOI] [PubMed] [Google Scholar]
- 19.D'Hoore K, De Smet L, Verellen K, Vral J, Fabry G. Negative ulnar variance is not a risk factor for Kienböck's disease. J Hand Surg Am. 1994;19(02):229–231. doi: 10.1016/0363-5023(94)90010-8. [DOI] [PubMed] [Google Scholar]
- 20.Stahl S, Stahl A S, Meisner C et al. Critical analysis of causality between negative ulnar variance and Kienböck disease. Plast Reconstr Surg. 2013;132(04):899–909. doi: 10.1097/PRS.0b013e31829f4a2c. [DOI] [PubMed] [Google Scholar]
- 21.De Carli P, Zaidenberg E E, Alfie V, Donndorff A, Boretto J G, Gallucci G L. Radius core decompression for Kienbock disease stage IIIA: outcomes at 13 years follow-up. J Hand Surg Am. 2017;42(09):7520–7.52E8. doi: 10.1016/j.jhsa.2017.05.017. [DOI] [PubMed] [Google Scholar]
- 22.Illarramendi A A, Schulz C, De Carli P. The surgical treatment of Kienböck's disease by radius and ulna metaphyseal core decompression. J Hand Surg Am. 2001;26(02):252–260. doi: 10.1053/jhsu.2001.22928. [DOI] [PubMed] [Google Scholar]
- 23.Schulz C U. Metaphyseal core decompression of the distal radius for early lunate necrosis. J Hand Surg Asian Pac Vol. 2019;24(03):276–282. doi: 10.1142/S2424835519500346. [DOI] [PubMed] [Google Scholar]
- 24.Bekler H I, Erdag Y, Gumustas S A, Pehlivanoglu G. The proposal and early results of capitate forage as a new treatment method for Kienbock's disease. J Hand Microsurg. 2013;5(02):58–62. doi: 10.1007/s12593-013-0098-y. [DOI] [PMC free article] [PubMed] [Google Scholar]
- 25.Mehrpour S R, Kamrani R S, Aghamirsalim M R, Sorbi R, Kaya A. Treatment of Kienböck disease by lunate core decompression. J Hand Surg Am. 2011;36(10):1675–1677. doi: 10.1016/j.jhsa.2011.06.024. [DOI] [PubMed] [Google Scholar]
- 26.Blanco R H, Blanco F R. Osteotomy of the radius without shortening for Kienböck disease: a 10-year follow-up. J Hand Surg Am. 2012;37(11):2221–2225. doi: 10.1016/j.jhsa.2012.07.023. [DOI] [PubMed] [Google Scholar]
- 27.Horii E, Garcia-Elias M, Bishop A T, Cooney W P, Linscheid R L, Chao E Y. Effect on force transmission across the carpus in procedures used to treat Kienböck's disease. J Hand Surg Am. 1990;15(03):393–400. doi: 10.1016/0363-5023(90)90049-w. [DOI] [PubMed] [Google Scholar]
- 28.Kataoka T, Moritomo H, Omokawa S, Iida A, Wada T, Aoki M. Decompression effect of partial capitate shortening for Kienbock's disease: a biomechanical study. Hand Surg. 2012;17(03):299–305. doi: 10.1142/S0218810412500219. [DOI] [PubMed] [Google Scholar]
- 29.Moritomo H, Murase T, Yoshikawa H. Operative technique of a new decompression procedure for Kienböck disease: partial capitate shortening. Tech Hand Up Extrem Surg. 2004;8(02):110–115. doi: 10.1097/01.bth.0000126571.20944.47. [DOI] [PubMed] [Google Scholar]
- 30.Watanabe T, Takahara M, Tsuchida H, Yamahara S, Kikuchi N, Ogino T. Long-term follow-up of radial shortening osteotomy for Kienbock disease. J Bone Joint Surg Am. 2008;90(08):1705–1711. doi: 10.2106/JBJS.G.00421. [DOI] [PubMed] [Google Scholar]
- 31.Matsui Y, Funakoshi T, Motomiya M, Urita A, Minami M, Iwasaki N. Radial shortening osteotomy for Kienböck disease: minimum 10-year follow-up. J Hand Surg Am. 2014;39(04):679–685. doi: 10.1016/j.jhsa.2014.01.020. [DOI] [PubMed] [Google Scholar]
- 32.Luegmair M, Goehtz F, Kalb K, Cip J, van Schoonhoven J. Radial shortening osteotomy for treatment of Lichtman Stage IIIA Kienböck disease. J Hand Surg Eur Vol. 2017;42(03):253–259. doi: 10.1177/1753193416676723. [DOI] [PubMed] [Google Scholar]
- 33.Viljakka T, Tallroth K, Vastamäki M. Long-term outcome (20 to 33 years) of radial shortening osteotomy for Kienböck's lunatomalacia. J Hand Surg Eur Vol. 2014;39(07):761–769. doi: 10.1177/1753193413512222. [DOI] [PubMed] [Google Scholar]
- 34.Raven E E, Haverkamp D, Marti R K. Outcome of Kienböck's disease 22 years after distal radius shortening osteotomy. Clin Orthop Relat Res. 2007;460(460):137–141. doi: 10.1097/BLO.0b013e318041d309. [DOI] [PubMed] [Google Scholar]
- 35.Shin M, Tatebe M, Hirata H, Koh S, Shinohara T. Reliability of Lichtman's classification for Kienböck's disease in 99 subjects. Hand Surg. 2011;16(01):15–18. doi: 10.1142/S0218810411005035. [DOI] [PubMed] [Google Scholar]
- 36.Tatebe M, Koh S, Hirata H. Long-term outcomes of radial osteotomy for the treatment of Kienbock disease. J Wrist Surg. 2016;5(02):92–97. doi: 10.1055/s-0036-1581099. [DOI] [PMC free article] [PubMed] [Google Scholar]
- 37.Soejima O, Iida H, Komine S, Kikuta T, Naito M. Lateral closing wedge osteotomy of the distal radius for advanced stages of Kienböck's disease. J Hand Surg Am. 2002;27(01):31–36. doi: 10.1053/jhsu.2002.30906. [DOI] [PubMed] [Google Scholar]
- 38.Okubo H, Futenma C, Sunagawa H, Kinjo M, Kanaya F. Very distal radius wedge osteotomy for Kienbock's disease: case series. J Hand Surg Asian Pac Vol. 2017;22(04):490–496. doi: 10.1142/S0218810417500551. [DOI] [PubMed] [Google Scholar]
- 39.Wada A, Miura H, Kubota H, Iwamoto Y, Uchida Y, Kojima T. Radial closing wedge osteotomy for Kienböck's disease: an over 10 year clinical and radiographic follow-up. J Hand Surg [Br] 2002;27(02):175–179. doi: 10.1054/jhsb.2001.0621. [DOI] [PubMed] [Google Scholar]
- 40.Iwasaki N, Minami A, Oizumi N, Suenaga N, Kato H, Minami M. Radial osteotomy for late-stage Kienböck's disease. Wedge osteotomy versus radial shortening. J Bone Joint Surg Br. 2002;84(05):673–677. doi: 10.1302/0301-620x.84b5.12589. [DOI] [PubMed] [Google Scholar]
- 41.Iwasaki N, Minami A, Oizumi N, Yamane S, Suenaga N, Kato H. Predictors of clinical results of radial osteotomies for Kienböck's disease. Clin Orthop Relat Res. 2003;415:157–162. doi: 10.1097/01.blo.0000093907.26658.3b. [DOI] [PubMed] [Google Scholar]
- 42.Zenzai K, Shibata M, Endo N. Long-term outcome of radial shortening with or without ulnar shortening for treatment of Kienbock's disease: a 13-25 year follow-up. J Hand Surg [Br] 2005;30(02):226–228. doi: 10.1016/j.jhsb.2004.12.008. [DOI] [PubMed] [Google Scholar]
- 43.Afshar A. Lunate revascularization after capitate shortening osteotomy in Kienböck's disease. J Hand Surg Am. 2010;35(12):1943–1946. doi: 10.1016/j.jhsa.2010.09.014. [DOI] [PubMed] [Google Scholar]
- 44.Atiyya A N, Nabil A, El Lattif A I, El Saied M N, Soliman R A. Partial capitate with/without hamate osteotomy in the treatment of Kienbock's disease: influence of the stage of the disease on the midterm outcome. J Wrist Surg. 2020;9(03):249–255. doi: 10.1055/s-0040-1701509. [DOI] [PMC free article] [PubMed] [Google Scholar]
- 45.Gay A M, Parratte S, Glard Y, Mutaftschiev N, Legre R. Isolated capitate shortening osteotomy for the early stage of Kienböck disease with neutral ulnar variance. Plast Reconstr Surg. 2009;124(02):560–566. doi: 10.1097/PRS.0b013e3181addc50. [DOI] [PubMed] [Google Scholar]
- 46.Werber K D, Schmelz R, Peimer C A, Wagenpfeil S, Machens H G, Lohmeyer J A. Biomechanical effect of isolated capitate shortening in Kienbock's disease: an anatomical study. J Hand Surg Eur Vol. 2013;38(05):500–507. doi: 10.1177/1753193412458996. [DOI] [PubMed] [Google Scholar]
- 47.Citlak A, Akgun U, Bulut T, Tahta M, Dirim Mete B, Sener M. Partial capitate shortening for Kienböck's disease. J Hand Surg Eur Vol. 2015;40(09):957–960. doi: 10.1177/1753193414562355. [DOI] [PubMed] [Google Scholar]
- 48.Yıldırım A M, Piskin A, Karaismailoglu B, Sener M. Functional and radiological results of partial capitate shortening osteotomy in the treatment of Kienböck's disease. J Hand Surg Eur Vol. 2020;45(04):403–407. doi: 10.1177/1753193420905991. [DOI] [PubMed] [Google Scholar]
- 49.Hegazy G, Akar A, Abd-Elghany T, Zayed E, Shaheen E, Mansour T. Treatment of Kienbock's disease with neutral ulnar variance by distal capitate shortening and arthrodesis to the base of the third metacarpal bone. J Hand Surg Am. 2019;44(06):5180–5.18E11. doi: 10.1016/j.jhsa.2018.08.010. [DOI] [PubMed] [Google Scholar]
- 50.Afshar A, Eivaziatashbeik K. Long-term clinical and radiological outcomes of radial shortening osteotomy and vascularized bone graft in Kienböck disease. J Hand Surg Am. 2013;38(02):289–296. doi: 10.1016/j.jhsa.2012.11.016. [DOI] [PubMed] [Google Scholar]
- 51.Arora R, Lutz M, Deml C, Krappinger D, Zimmermann R, Gabl M. Long-term subjective and radiological outcome after reconstruction of Kienböck's disease stage 3 treated by a free vascularized iliac bone graft. J Hand Surg Am. 2008;33(02):175–181. doi: 10.1016/j.jhsa.2007.11.005. [DOI] [PubMed] [Google Scholar]
- 52.Daecke W, Lorenz S, Wieloch P, Jung M, Martini A K. Vascularized os pisiform for reinforcement of the lunate in Kienböck's Disease: an average of 12 years of follow-up study. J Hand Surg Am. 2005;30(05):915–922. doi: 10.1016/j.jhsa.2005.03.019. [DOI] [PubMed] [Google Scholar]
- 53.Elhassan B T, Shin A Y. Vascularized bone grafting for treatment of Kienböck's disease. J Hand Surg Am. 2009;34(01):146–154. doi: 10.1016/j.jhsa.2008.10.014. [DOI] [PubMed] [Google Scholar]
- 54.Nakagawa M, Omokawa S, Kira T, Kawamura K, Tanaka Y. Vascularized bone grafts from the dorsal wrist for the treatment of Kienbock disease. J Wrist Surg. 2016;5(02):98–104. doi: 10.1055/s-0036-1582427. [DOI] [PMC free article] [PubMed] [Google Scholar]
- 55.Waitayawinyu T, Chin S H, Luria S, Trumble T E. Capitate shortening osteotomy with vascularized bone grafting for the treatment of Kienböck's disease in the ulnar positive wrist. J Hand Surg Am. 2008;33(08):1267–1273. doi: 10.1016/j.jhsa.2008.04.006. [DOI] [PubMed] [Google Scholar]
- 56.Fujiwara H, Oda R, Morisaki S, Ikoma K, Kubo T. Long-term results of vascularized bone graft for stage III Kienböck disease. J Hand Surg Am. 2013;38(05):904–908. doi: 10.1016/j.jhsa.2013.02.010. [DOI] [PubMed] [Google Scholar]
- 57.Ho Shin Y, Yoon J O, Ryu J J, Lee T K, Choi S W, Kwang Kim J. Pronator quadratus pedicled bone graft in the treatment of Kienböck disease: follow-up 2 to 12 years. J Hand Surg Eur Vol. 2020;45(04):396–402. doi: 10.1177/1753193419836628. [DOI] [PubMed] [Google Scholar]
- 58.Moran S L, Cooney W P, Berger R A, Bishop A T, Shin A Y. The use of the 4 + 5 extensor compartmental vascularized bone graft for the treatment of Kienböck's disease. J Hand Surg Am. 2005;30(01):50–58. doi: 10.1016/j.jhsa.2004.10.002. [DOI] [PubMed] [Google Scholar]
- 59.Park I-J, Kim H-M, Lee J-Y et al. Treatment of Kienböck's disease using a fourth extensor compartmental artery as a vascularized pedicle bone graft. J Plast Reconstr Aesthet Surg. 2016;69(10):1403–1410. doi: 10.1016/j.bjps.2016.07.013. [DOI] [PubMed] [Google Scholar]
- 60.Jung H S, Lee H W, Park M J. Is joint levelling procedure better than temporary scaphocapitate pinning in patients undergoing vascularized bone graft for Kienbock disease? J Hand Surg Asian Pac Vol. 2019;24(04):428–434. doi: 10.1142/S2424835519500541. [DOI] [PubMed] [Google Scholar]
- 61.Matsumoto T, Kakinoki R, Ikeguchi R, Ohta S, Akagi M, Matsuda S. Vascularized bone graft to the lunate combined with temporary scaphocapitate fixation for treatment of stage III Kienbock disease: a report of the results, a minimum of 2 years after surgery. J Hand Surg Am. 2018;43(08):7730–7.73E9. doi: 10.1016/j.jhsa.2018.01.008. [DOI] [PubMed] [Google Scholar]
- 62.Kadar A, Morsy M, Sur Y-J, Laungani A T, Akdag O, Moran S L. The vascular anatomy of the capitate: new discoveries using micro-computed tomography imaging. J Hand Surg Am. 2017;42(02):78–86. doi: 10.1016/j.jhsa.2016.12.002. [DOI] [PubMed] [Google Scholar]
- 63.Ledoux P, Lamblin D, Wuilbaut A, Schuind F. A finite-element analysis of Kienbock's disease. J Hand Surg Eur Vol. 2008;33(03):286–291. doi: 10.1177/1753193408090757. [DOI] [PubMed] [Google Scholar]
- 64.Bürger H K, Windhofer C, Gaggl A J, Higgins J P. Vascularized medial femoral trochlea osteochondral flap reconstruction of advanced Kienböck disease. J Hand Surg Am. 2014;39(07):1313–1322. doi: 10.1016/j.jhsa.2014.03.040. [DOI] [PubMed] [Google Scholar]
- 65.Pet M A, Assi P E, Giladi A M, Higgins J P. Preliminary clinical, radiographic, and patient-reported outcomes of the medial femoral trochlea osteochondral free flap for lunate reconstruction in advanced Kienbock disease. J Hand Surg Am. 2020;45(08):7740–7.74E10. doi: 10.1016/j.jhsa.2019.12.008. [DOI] [PubMed] [Google Scholar]
- 66.Charre A, Delclaux S, Apredoai C, Ayel J-E, Rongieres M, Mansat P. Results of scaphocapitate arthrodesis with lunate excision in advanced Kienböck disease at 10.7-year mean follow-up. J Hand Surg Eur Vol. 2018;43(04):362–368. doi: 10.1177/1753193417739247. [DOI] [PubMed] [Google Scholar]
- 67.Iorio M L, Kennedy C D, Huang J I. Limited intercarpal fusion as a salvage procedure for advanced Kienbock disease. Hand (N Y) 2015;10(03):472–476. doi: 10.1007/s11552-014-9705-z. [DOI] [PMC free article] [PubMed] [Google Scholar]
- 68.Lee J S, Park M J, Kang H J. Scaphotrapeziotrapezoid arthrodesis and lunate excision for advanced Kienböck disease. J Hand Surg Am. 2012;37(11):2226–2232. doi: 10.1016/j.jhsa.2012.08.031. [DOI] [PubMed] [Google Scholar]
- 69.Luegmair M, Saffar P. Scaphocapitate arthrodesis for treatment of late stage Kienbock disease. J Hand Surg Eur Vol. 2014;39(04):416–422. doi: 10.1177/1753193413496177. [DOI] [PubMed] [Google Scholar]
- 70.Rhee P C, Lin I C, Moran S L, Bishop A T, Shin A Y. Scaphocapitate arthrodesis for Kienböck disease. J Hand Surg Am. 2015;40(04):745–751. doi: 10.1016/j.jhsa.2014.12.013. [DOI] [PubMed] [Google Scholar]
- 71.Sauerbier M, Tränkle M, Erdmann D, Menke H, Germann G. Functional outcome with scaphotrapeziotrapezoid arthrodesis in the treatment of Kienböck's disease stage III. Ann Plast Surg. 2000;44(06):618–625. doi: 10.1097/00000637-200044060-00007. [DOI] [PubMed] [Google Scholar]
- 72.Meier R, van Griensven M, Krimmer H. Scaphotrapeziotrapezoid (STT)-arthrodesis in Kienbock's disease. J Hand Surg [Br] 2004;29(06):580–584. doi: 10.1016/j.jhsb.2004.03.005. [DOI] [PubMed] [Google Scholar]
- 73.Van den Dungen S, Dury M, Foucher G, Marin Braun F, Loréa P.Conservative treatment versus scaphotrapeziotrapezoid arthrodesis for Kienbock's disease. A retrospective study Chir Main 200625(3-4)141–145. [DOI] [PubMed] [Google Scholar]
- 74.Hohendorff B, Mühldorfer-Fodor M, Kalb K, van Schoonhoven J, Prommersberger K J. STT arthrodesis versus proximal row carpectomy for Lichtman stage IIIB Kienböck's disease: first results of an ongoing observational study. Arch Orthop Trauma Surg. 2012;132(09):1327–1334. doi: 10.1007/s00402-012-1531-6. [DOI] [PubMed] [Google Scholar]
- 75.Croog A S, Stern P J. Proximal row carpectomy for advanced Kienböck's disease: average 10-year follow-up. J Hand Surg Am. 2008;33(07):1122–1130. doi: 10.1016/j.jhsa.2008.02.031. [DOI] [PubMed] [Google Scholar]
- 76.De Smet L, Robijns P, Degreef I. Proximal row carpectomy in advanced Kienbock's disease. J Hand Surg [Br] 2005;30(06):585–587. doi: 10.1016/j.jhsb.2005.06.024. [DOI] [PubMed] [Google Scholar]
- 77.Stern P J, Agabegi S S, Kiefhaber T R, Didonna M L. Proximal row carpectomy. J Bone Joint Surg Am. 2005;87(02/01):166–174. doi: 10.2106/JBJS.E.00261. [DOI] [PubMed] [Google Scholar]
- 78.Lumsden B C, Stone A, Engber W D. Treatment of advanced-stage Kienböck's disease with proximal row carpectomy: an average 15-year follow-up. J Hand Surg Am. 2008;33(04):493–502. doi: 10.1016/j.jhsa.2007.12.010. [DOI] [PubMed] [Google Scholar]
- 79.Richou J, Chuinard C, Moineau G. Hanouz N, Hu W, Le Nen D. Proximal row carpectomy: long-term results. Chir Main. 2010;29(01):10–15. doi: 10.1016/j.main.2009.10.003. [DOI] [PubMed] [Google Scholar]
- 80.Chim H, Moran S L. Long-term outcomes of proximal row carpectomy: a systematic review of the literature. J Wrist Surg. 2012;1(02):141–148. doi: 10.1055/s-0032-1329547. [DOI] [PMC free article] [PubMed] [Google Scholar]
- 81.Chedal-Bornu B, Corcella D, Forli A, Moutet F, Bouyer M. Long-term outcomes of proximal row carpectomy: a series of 62 cases. Hand Surg Rehabil. 2017;36(05):355–362. doi: 10.1016/j.hansur.2017.06.006. [DOI] [PubMed] [Google Scholar]
- 82.Marcuzzi A, Colantonio F, Petrella G, Ozben H, Russomando A, Stage I V. Stage IV Kienböck's disease: proximal row carpectomy and application of RCPI implant. Hand Surg Rehabil. 2017;36(02):102–108. doi: 10.1016/j.hansur.2016.12.005. [DOI] [PubMed] [Google Scholar]
- 83.Giacalone F, di Summa P G, Fenoglio A et al. Resurfacing capitate pyrocarbon implant versus proximal row carpectomy alone: a comparative study to evaluate the role of capitate prosthetic resurfacing in advanced carpal collapse. Plast Reconstr Surg. 2017;140(05):962–970. doi: 10.1097/PRS.0000000000003759. [DOI] [PubMed] [Google Scholar]
- 84.Viljakka T, Tallroth K, Vastamäki M. Long-term clinical outcome after titanium lunate arthroplasty for Kienbock disease. J Hand Surg Am. 2018;43(10):9450–9.45E12. doi: 10.1016/j.jhsa.2018.02.009. [DOI] [PubMed] [Google Scholar]
- 85.Henry M. Outcomes assessment of lunate replacement arthroplasty with intrinsic carpal ligament reconstruction in Kienböck's disease. Hand (N Y) 2014;9(03):364–369. doi: 10.1007/s11552-014-9624-z. [DOI] [PMC free article] [PubMed] [Google Scholar]
- 86.Condit D P, Idler R S, Fischer T J, Hastings H., II Preoperative factors and outcome after lunate decompression for Kienböck's disease. J Hand Surg Am. 1993;18(04):691–696. doi: 10.1016/0363-5023(93)90320-3. [DOI] [PubMed] [Google Scholar]
- 87.Salmon J, Stanley J K, Trail I A. Kienböck's disease: conservative management versus radial shortening. J Bone Joint Surg Br. 2000;82(06):820–823. doi: 10.1302/0301-620x.82b6.10570. [DOI] [PubMed] [Google Scholar]
- 88.Shin Y H, Kim J K, Han M, Lee T K, Yoon J O. Comparison of long-term outcomes of radial osteotomy and nonoperative treatment for Kienbock disease: a systematic review. J Bone Joint Surg Am. 2018;100(14):1231–1240. doi: 10.2106/JBJS.17.00764. [DOI] [PubMed] [Google Scholar]
- 89.van L eeuwen, WF, Janssen S J, Ring D. Radiographic progression of Kienbock disease: radial shortening versus no surgery. J Hand Surg Am. 2016;41(06):681–688. doi: 10.1016/j.jhsa.2016.02.016. [DOI] [PubMed] [Google Scholar]
- 90.Koh S, Nakamura R, Horii E, Nakao E, Inagaki H, Yajima H. Surgical outcome of radial osteotomy for Kienböck's disease-minimum 10 years of follow-up. J Hand Surg Am. 2003;28(06):910–916. doi: 10.1016/s0363-5023(03)00490-8. [DOI] [PubMed] [Google Scholar]
- 91.Iwasaki N, Minami A, Miyazawa T, Kaneda K. Force distribution through the wrist joint in patients with different stages of Kienböck's disease: using computed tomography osteoabsorptiometry. J Hand Surg Am. 2000;25(05):870–876. doi: 10.1053/jhsu.2000.16353. [DOI] [PubMed] [Google Scholar]
- 92.Jensen C H. Intraosseous pressure in Kienböck's disease. J Hand Surg Am. 1993;18(02):355–359. doi: 10.1016/0363-5023(93)90375-D. [DOI] [PubMed] [Google Scholar]
