Abstract
Samples of paraquat dichloride and paraquat dimethosulphate are equitoxic when the LD50 is expressed as mg. paraquat ion/kg. body-weight. There are wide species variations in the LD50 and, of course, variations according to the route of administration in a single species.
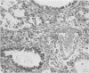
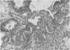
The pathological lesions attributable to paraquat are described in some detail. Among the most unusual is a peculiar proliferative condition in the lungs, which in an extreme case and in many parts can hardly be recognized as consisting of pulmonary tissue. With slight variations, the same microscopical picture may be seen in the rat, mouse, dog, and man, and less often in the rabbit. The experimental evidence suggests that once the condition is initiated it often proceeds in the absence of further exposure to paraquat until it becomes lethal.
There is evidence that much of the mortality resulting from dermal application of paraquat in the rabbit is caused not by percutaneous absorption but by oral contamination from the stratum corneum. This leads to glossitis and oesophagitis and an inability or unwillingness to eat.
Full text
PDF










