Abstract
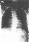
Seven members of a large inbred kindred with autosomal recessive spondylocostal dysostosis were examined clinically, radiographically, and sonographically. The subjects were three adults, one adolescent, and three children under 3 years of age. One child was the offspring of a first cousin marriage which showed quasi-dominant inheritance. Six subjects had short stature owing to widespread vertebral dyssegmentation with variable reduction in rib number and rib fusion. One subject was of normal stature, had limited vertebral dyssegmentation, an extra rib, and no rib fusion. Five subjects showed the plagiocephaly-torticollis sequence. Four of the five male subjects had inguinal herniation on one or both sides. All subjects had normal renal ultrasonography. The youngest subject died of cardiopulmonary complications and is thought to represent one extreme in the expressivity of the gene in this kindred.
Full text
PDF






Images in this article
Selected References
These references are in PubMed. This may not be the complete list of references from this article.
- Aymé S., Preus M. Spondylocostal/spondylothoracic dysostosis: the clinical basis for prognosticating and genetic counseling. Am J Med Genet. 1986 Aug;24(4):599–606. doi: 10.1002/ajmg.1320240403. [DOI] [PubMed] [Google Scholar]
- Bartsocas C. S., Kiossoglou K. A., Papas C. V., Xanthou-Tsingoglou M., Anagnostakis D. E., Daskalopoulou H. D. Costovertebral dysplasia. Birth Defects Orig Artic Ser. 1974;10(9):221–226. [PubMed] [Google Scholar]
- Beighton P., Horan F. T. Spondylocostal dysostosis in South African sisters. Clin Genet. 1981 Jan;19(1):23–25. doi: 10.1111/j.1399-0004.1981.tb00662.x. [DOI] [PubMed] [Google Scholar]
- Cantú J. M., Urrusti J., Rosales G., Rojas A. Evidence for autosomal recessive inheritance of costovertebral dysplasia. Clin Genet. 1971;2(3):149–154. doi: 10.1111/j.1399-0004.1971.tb00270.x. [DOI] [PubMed] [Google Scholar]
- Casamassima A. C., Morton C. C., Nance W. E., Kodroff M., Caldwell R., Kelly T., Wolf B. Spondylocostal dysostosis associated with anal and urogenital anomalies in a Mennonite sibship. Am J Med Genet. 1981;8(1):117–127. doi: 10.1002/ajmg.1320080114. [DOI] [PubMed] [Google Scholar]
- Castroviejo I. P., Rodriguez-Costa T., Castillo F. Spondylo-thoracic dysplasia in three sisters. Dev Med Child Neurol. 1973 Jun;15(3):348–354. doi: 10.1111/j.1469-8749.1973.tb04891.x. [DOI] [PubMed] [Google Scholar]
- Clarren S. K. Plagiocephaly and torticollis: etiology, natural history, and helmet treatment. J Pediatr. 1981 Jan;98(1):92–95. doi: 10.1016/s0022-3476(81)80549-5. [DOI] [PubMed] [Google Scholar]
- Devos E. A., Leroy J. G., Braeckman J. J., Vanden Bulcke L. J., Langer L. O. Spondylocostal dysostosis and urinary tract anomaly: definition and review of an entity. Eur J Pediatr. 1978 May 22;128(1):7–15. doi: 10.1007/BF00496921. [DOI] [PubMed] [Google Scholar]
- Eller J. L., Morton J. M. Bizarre deformities in offspring of user of lysergic acid diethylamide. N Engl J Med. 1970 Aug 20;283(8):395–397. doi: 10.1056/NEJM197008202830803. [DOI] [PubMed] [Google Scholar]
- Floor E., De Jong R. O., Fryns J. P., Smulders C., Vles J. S. Spondylocostal dysostosis: an example of autosomal dominant transmission in a large family. Clin Genet. 1989 Oct;36(4):236–241. doi: 10.1111/j.1399-0004.1989.tb03196.x. [DOI] [PubMed] [Google Scholar]
- Franceschini P., Grassi E., Fabris C., Bogetti G., Randaccio M. The autosomal recessive form of spondylocostal dysostosis. Radiology. 1974 Sep;112(3):673–675. doi: 10.1148/112.3.673. [DOI] [PubMed] [Google Scholar]
- INGALLS T. H., CURLEY F. J. Principles governing the genesis of congenital malformations induced in mice by hypoxia. N Engl J Med. 1957 Dec 5;257(23):1121–1127. doi: 10.1056/NEJM195712052572306. [DOI] [PubMed] [Google Scholar]
- Lavy N. W., Palmer C. G., Merritt A. D. A syndrome of bizarre vertebral anomalies. J Pediatr. 1966 Dec;69(6):1121–1125. doi: 10.1016/s0022-3476(66)80304-9. [DOI] [PubMed] [Google Scholar]
- Moerman P., Vandenberghe K., Fryns J. P., Haspeslagh M., Lauweryns J. M. A new lethal chondrodysplasia with spondylocostal dysostosis, multiple internal anomalies and Dandy-Walker cyst. Clin Genet. 1985 Feb;27(2):160–164. doi: 10.1111/j.1399-0004.1985.tb00204.x. [DOI] [PubMed] [Google Scholar]
- Pascual-Castroviejo I., Santolaya J. M., Martin V. L., Rodriguez-Costa T., Tendero A., Mulas F. Cerebro-facio-thoracic dysplasia: report of three cases. Dev Med Child Neurol. 1975 Jun;17(3):343–351. doi: 10.1111/j.1469-8749.1975.tb04673.x. [DOI] [PubMed] [Google Scholar]
- Pochaczevsky R., Ratner H., Perles D., Kassner G., Naysan P. Spondylothoracic dysplasia. Radiology. 1971 Jan;98(1):53–58. doi: 10.1148/98.1.53. [DOI] [PubMed] [Google Scholar]
- Pérez-Comas A., García-Castro J. M. Occipito-facial-cervico-thoracic-abdomino-digital dysplasia; Jarcho-Levin syndrome of vertebral anomalies. Report of six cases and review of the literature. J Pediatr. 1974 Sep;85(3):388–391. doi: 10.1016/s0022-3476(74)80126-5. [DOI] [PubMed] [Google Scholar]
- Rimoin D. L., Fletcher B. D., McKusick V. A. Spondylocostal dysplasia. A dominantly inherited form of short-trunked dwarfism. Am J Med. 1968 Dec;45(6):948–953. doi: 10.1016/0002-9343(68)90193-9. [DOI] [PubMed] [Google Scholar]
- Roberts A. P., Conner A. N., Tolmie J. L., Connor J. M. Spondylothoracic and spondylocostal dysostosis. Hereditary forms of spinal deformity. J Bone Joint Surg Br. 1988 Jan;70(1):123–126. doi: 10.1302/0301-620X.70B1.3339042. [DOI] [PubMed] [Google Scholar]
- Romero R., Ghidini A., Eswara M. S., Seashore M. R., Hobbins J. C. Prenatal findings in a case of spondylocostal dysplasia type I (Jarcho-Levin syndrome). Obstet Gynecol. 1988 Jun;71(6 Pt 2):988–991. [PubMed] [Google Scholar]
- Silengo M. C., Cavallaro S., Franceschini P. Recessive spondylocostal dysostosis: two new cases. Clin Genet. 1978 Mar;13(3):289–294. doi: 10.1111/j.1399-0004.1978.tb01183.x. [DOI] [PubMed] [Google Scholar]
- TURPIN R., LEJEUNE J., LAFOURCADE J., GAUTIER M. Aberrations chromosomiques et maladies humaines; la polydysspondylle à 45 chromosomes. C R Hebd Seances Acad Sci. 1959 Jun 22;248(25):3636–3638. [PubMed] [Google Scholar]
- Temple I. K., Thomas T. G., Baraitser M. Congenital spinal deformity in a three generation family. J Med Genet. 1988 Dec;25(12):831–834. doi: 10.1136/jmg.25.12.831. [DOI] [PMC free article] [PubMed] [Google Scholar]
- Tolmie J. L., Whittle M. J., McNay M. B., Gibson A. A., Connor J. M. Second trimester prenatal diagnosis of the Jarcho-Levin syndrome. Prenat Diagn. 1987 Feb;7(2):129–134. doi: 10.1002/pd.1970070209. [DOI] [PubMed] [Google Scholar]
- Trindade C. E., de Nóbrega F. J. Spondylothoracic dysplasia in two siblings. A short neck and trunk due to vertebral body abnormalities along with abnormal ribs should suggest this rare syndrome. Clin Pediatr (Phila) 1977 Dec;16(12):1097–1099. doi: 10.1177/000992287701601204. [DOI] [PubMed] [Google Scholar]
- Wadia R. S., Shirole D. B., Dikshit M. S. Recessively inherited costovertebral segmentation defect with mesomelia and peculiar facies (Covesdem syndrome): A new genetic entity? J Med Genet. 1978 Apr;15(2):123–127. doi: 10.1136/jmg.15.2.123. [DOI] [PMC free article] [PubMed] [Google Scholar]
- Young I. D., Moore J. R. Spondylocostal dysostosis. J Med Genet. 1984 Feb;21(1):68–69. doi: 10.1136/jmg.21.1.68. [DOI] [PMC free article] [PubMed] [Google Scholar]
- de GROUCHY, MLYNARSKI J. C., MAROTEAUX P., LAMYM, DESHAIES G., BENICHOU C., SALMON C. [Polydysspondylic syndrome due to 14-15 translocation and dyschondrosteosis in the same subject. Familial segregation]. C R Hebd Seances Acad Sci. 1963 Feb 11;256:1614–1616. [PubMed] [Google Scholar]