Abstract
We describe the case of a 35-year-old woman who comes to our institute with a palpable lump on her left breast. Clinically the mass was mobile, nontender and with no nipple discharge. Sonography revealed a circumscribed, oval-shaped, and hypoechoic mass, suggestive of a benign lesion. We performed an ultrasound-guided core needle biopsy that demonstrated multiple foci of high-grade (G3) ductal carcinoma in situ arising on fibroadenoma (FA). Subsequently, the patient had surgical excision of the mass with a final diagnosis of triple-negative breast cancer arising on FA. After diagnosis, the patient performs a genetic test that detects the BRCA 1 gene mutation. A review of the literature demonstrated only two cases of triple-negative breast cancer on FA. In this report, we describe another such case.
Keywords: BRCA, breast cancer on fibroadenoma, triple-negative breast cancer
INTRODUCTION
Fibroadenoma (FA) is the most common type of breast lesion in young females, with a peak incidence in the second or third decades of life. FA s are composed of stromal and epithelial components and are not considered premalignant.
The incidence of breast invasive ductal carcinoma (IDC) arising on FA ranges from 0.02% to 0.125%, according to different reports,[1,2] but detecting these neoplasms is very important for a complete treatment and follow-up. Most carcinomas within FA are lobular carcinoma in situ and ductal carcinoma in situ, instead, the case of IDC is rarer.
CASE REPORT
A 35-year-old female with family history of breast cancer (50-years-old mother) presented at our institute with a palpable lump on the left breast. The lump was mobile and nontender. She performed a bilateral ultrasound (US) examination that demonstrated, as reported by the patient on the clinical mass, a 15 mm well-defined hypoechoic and encapsulated nodule with a small cystic areas inside, to the lower internal quadrant of the breast [Figure 1]. There was no evidence of axillary lymphadenopathy.
Figure 1.

Breast ultrasound. Hypoechoic, well defined, and encapsulated lesion. BIRADS category E4a
This lesion presented oval shape, parallel orientation and a modest signal at Color Doppler examination. The lump fell under the category of Breast Imaging Reporting and Data System 4a: hence the patient subsequently had a US-guided core needle biopsy that demonstrated multiple foci of high-grade (G3) ductal carcinoma in situ arising on FA [Figure 2]. We performed three specimens with a 14G needle, no complications or bleeding were observed [Figure 3].
Figure 2.

P63 (×10) - stained sections of specimen obtained with core-needle biopsy show multiple foci of high grade (G3) ductal carcinoma in situ
Figure 3.

Ultrasound-guided 14G core needle biopsy of the mass
After the histological result, the patient performed negative mammography and subsequently had a surgical excision with breast conservative surgery and sentinel lymph node examination. After the surgical treatment, the patient performed adjuvant chemotherapy.
In the end, the tumor was pathologically diagnosed with a focus (3 mm) of IDC [Figure 4]. Infiltrating tumor cells showed high-grade nuclear atypia and a solid growth pattern with a necrotic area. No expression of estrogen receptor, progesterone receptor, or human epidermal growth factor receptor-2 was observed, indicating a triple-negative phenotype, with a ki-67 expression of 60%–70%, a very aggressive tumor.
Figure 4.

Hematoxylin and eosin (×20) - stained sections of specimen show an invasive breast cancer
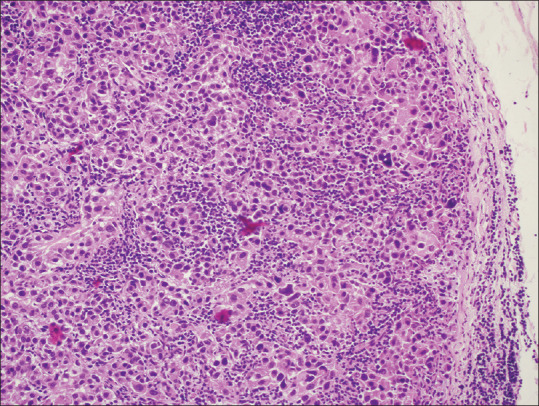
Metastases were found in the sentinel lymph node analysis with a subsequently axillary dissection [Figure 5].
Figure 5.

Hematoxylin and eosin (×20) - stained sections of specimen show lymph node metastases
The staging process requires a total body computed tomography and no distant metastases were found.
After diagnosis, the patient performs a genetic test that detects the BRCA 1 gene mutation. The patient then underwent a prophylactic bilateral mastectomy.
No additional malignancy or high-risk lesions were found after prophylactic mastectomy.
DISCUSSION
FAs are typically benign, but other lesions can arise within it, as reported in the literature.[3]
The actual number of these cases is even rarer, with only about 100 cases of breast cancer reported in the worldwide literature thus far.[4]
Our case had a triple-negative phenotype, and this is considered extremely rare. In addition, IDC in FA with axillary lymph node metastases is unusual; only two cases are previously described.[4,5] A previous study reported two cases of IDC in FA with lymph node metastases,[6] but in these cases were HR-positive phenotype, which are the most common types.
A preoperative diagnosis of carcinoma arising from these lesions is difficult because of the resemblance of the presenting features with benign FA.[7]
In fact, as reported in this case, the presentation and imaging characteristics of the tumor are not different from a simple FA, but other studies suggested that the imaging features can change, especially in later stages and the nodule presents a larger size, irregular in shape, indistinct margins, and have abnormal calcifications.[8] In addition, the sonographic appearance of triple-negative breast cancers can mimic that of a benign mass because they often show circumscribed or microlobulated margins and no posterior acoustic features or posterior enhancement-positive.[9]
Hence, it is important to remember that if imaging of FA showed some changes during follow-up examinations, a core-needle biopsy should be performed. Radiologists should be aware of the potential for progression of breast FA, particularly in women with a known BRCA mutation, even if there is no evidence in the literature that demonstrated that FA s in BRCA mutation patients are more prone to progress to malignancy. In addition, as our case show, core needle biopsy is also recommended in all palpable mass of the breast.[10]
TEACHING POINTS
This case highlights the rare association of FA and breast cancer, especially a triple-negative breast cancer.
It is fundamental to the radiologist to remember the important role of core needle biopsy in palpable lumps also in young women and even if the imaging features suggest you an unsuspected nodule.
Declaration of patient consent
The authors certify that they have obtained all appropriate patient consent forms. In the form, the patient has given her consent for her images and other clinical information to be reported in the journal. The patient understands that her name and initials will not be published and due efforts will be made to conceal identity, but anonymity cannot be guaranteed.
Financial support and sponsorship
Nil.
Conflicts of interest
There are no conflicts of interest.
REFERENCES
- 1.Deschênes L, Jacob S, Fabia J, Christen A. Beware of breast fibroadenomas in middle-aged women. Can J Surg. 1985;28:372–4. [PubMed] [Google Scholar]
- 2.Fukuda M, Nagao K, Nishimura R, Matsuda M, Baba K, Ueno Y, et al. Carcinoma arising in fibroadenoma of the breast – A case report and review of the literature. Jpn J Surg. 1989;19:593–6. doi: 10.1007/BF02471669. [DOI] [PubMed] [Google Scholar]
- 3.Diaz NM, Palmer JO, McDivitt RW. Carcinoma arising within fibroadenomas of the breast. A clinicopathologic study of 105 patients. Am J Clin Pathol. 1991;95:614–22. doi: 10.1093/ajcp/95.5.614. [DOI] [PubMed] [Google Scholar]
- 4.Wu YT, Chen ST, Chen CJ, Kuo YL, Tseng LM. Breast cancer arising within fibroadenoma: Collective analysis of case reports in the literature and hints on treatment policy. World J Surg Oncol. 2014;12:335. doi: 10.1186/1477-7819-12-335. [DOI] [PMC free article] [PubMed] [Google Scholar]
- 5.Shiino S, Yoshida M, Kinoshita T, Tokura M, Watase C, Murata T, et al. Locally advanced triple negative breast cancer arising from fibroadenoma with complete response to neoadjuvant chemotherapy: A case report. Int J Surg Case Rep. 2020;68:234–8. doi: 10.1016/j.ijscr.2020.02.059. [DOI] [PMC free article] [PubMed] [Google Scholar]
- 6.Buteau AH, Waters RE, Boroumand N. Metastatic carcinoma arising from fibroadenoma of the breast. Int J Cancer Oncol. 2014;1:1–3. [Google Scholar]
- 7.Sarela AI, Madvanur AA, Soonawala ZF, Shah HK, Pandit AA, Samsi AB. Carcinoma in a fibroadenoma. J Postgrad Med. 1995;41:19–20. [PubMed] [Google Scholar]
- 8.Baker KS, Monsees BS, Diaz NM, Destouet JM, McDivitt RW. Carcinoma within fibroadenomas: Mammographic features. Radiology. 1990;176:371–4. doi: 10.1148/radiology.176.2.2164233. [DOI] [PubMed] [Google Scholar]
- 9.Boisserie-Lacroix M, Macgrogan G, Debled M, Ferron S, Asad-Syed M, McKelvie-Sebileau P, et al. Triple-negative breast cancers: Associations between imaging and pathological findings for triple-negative tumors compared with hormone receptor-positive/human epidermal growth factor receptor-2-negative breast cancers. Oncologist. 2013;18:802–11. doi: 10.1634/theoncologist.2013-0380. [DOI] [PMC free article] [PubMed] [Google Scholar]
- 10.Salzman B, Collins E, Hersh L. Common breast problems. Am Fam Physician. 2019;99:505–14. [PubMed] [Google Scholar]
