Full text
PDF




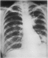
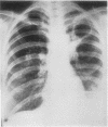
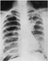
Images in this article
Selected References
These references are in PubMed. This may not be the complete list of references from this article.
- Jones R. Massive Surgical Emphysema, Pneumothorax, Pneumoperitoneum. Br Med J. 1945 Oct 20;2(4424):530–531. doi: 10.1136/bmj.2.4424.530-a. [DOI] [PMC free article] [PubMed] [Google Scholar]
- Macklin C. C. Pneumothorax with Massive Collapse from Experimental Local Over-inflation of the Lung Substance. Can Med Assoc J. 1937 Apr;36(4):414–420. [PMC free article] [PubMed] [Google Scholar]






