Full text
PDF








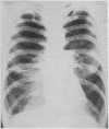
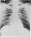
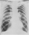
Images in this article
Selected References
These references are in PubMed. This may not be the complete list of references from this article.
- ALMEYDA J. Solitary cystic disease of the lung. Br J Tuberc Dis Chest. 1949 Jul;43(3):74-84, 3 pl. doi: 10.1016/s0366-0869(49)80007-4. [DOI] [PubMed] [Google Scholar]
- AUSTRIAN R., McCLEMENT J. H., RENZETTI A. D., Jr, DONALD K. W., RILEY R. L., COURNAND A. Clinical and physiologic features of some types of pulmonary diseases with impairment of alveolar-capillary diffusion; the syndrome of "alveolar-capillary block". Am J Med. 1951 Dec;11(6):667–685. doi: 10.1016/0002-9343(51)90019-8. [DOI] [PubMed] [Google Scholar]
- BALDWIN E. de F., HARDEN A., GREENE D. G., COURNAND A., RICHARDS D. W., Jr Pulmonary insufficiency. IV. A study of 16 cases of large pulmonary air cysts or bullae. Medicine (Baltimore) 1950 Sep;29(3):169–194. [PubMed] [Google Scholar]
- BELCHER J. R., CAPEL L. H. Surgical treatment of large air cysts of the lung. Lancet. 1957 Apr 13;272(6972):759–762. doi: 10.1016/s0140-6736(57)91025-5. [DOI] [PubMed] [Google Scholar]
- BELCHER J. R., SIDDONS A. H. Air-containing cysts of the lung. Thorax. 1954 Mar;9(1):38–45. doi: 10.1136/thx.9.1.38. [DOI] [PMC free article] [PubMed] [Google Scholar]
- HEPPLESTON A. G. The pathology of honeycomb lung. Thorax. 1956 Jun;11(2):77–93. doi: 10.1136/thx.11.2.77. [DOI] [PMC free article] [PubMed] [Google Scholar]
- OGILVIE C. Patterns of distrubed lung function in patients with chronic obstructive vesicular emphysema. Thorax. 1959 Jun;14:113–121. doi: 10.1136/thx.14.2.113. [DOI] [PMC free article] [PubMed] [Google Scholar]




