Full text
PDF





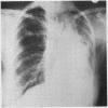
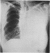
Images in this article
Selected References
These references are in PubMed. This may not be the complete list of references from this article.
- GOLBERG B. Radiological appearances in pulmonary aspergillosis. Clin Radiol. 1962 Apr;13:106–114. doi: 10.1016/s0009-9260(62)80030-0. [DOI] [PubMed] [Google Scholar]
- HARVEY C., BLACKET R. B., READ J. Mucoid impaction of the bronchi. Australas Ann Med. 1957 Feb;6(1):16–28. doi: 10.1111/imj.1957.6.1.16. [DOI] [PubMed] [Google Scholar]
- HINSON K. F. W., MOON A. J., PLUMMER N. S. Broncho-pulmonary aspergillosis; a review and a report of eight new cases. Thorax. 1952 Dec;7(4):317–333. doi: 10.1136/thx.7.4.317. [DOI] [PMC free article] [PubMed] [Google Scholar]
- WAHNER H. W., HEPPER N. G., ANDERSEN H. A., WEED L. A. Pulmonary aspergillosis. Ann Intern Med. 1963 Mar;58:472–485. doi: 10.7326/0003-4819-58-3-472. [DOI] [PubMed] [Google Scholar]







