Full text
PDF






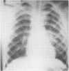
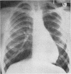
Images in this article
Selected References
These references are in PubMed. This may not be the complete list of references from this article.
- BOREN H. G., CREECH O., Jr, DEBAKEY M. E., MAHAFFEY D. E. Traumatic rupture of the left-main bronchus successfully repaired eleven years after injury. J Thorac Surg. 1956 Sep;32(3):312–331. [PubMed] [Google Scholar]
- BURKE J. F. Early diagnosis of traumatic rupture of the bronchus. JAMA. 1962 Aug 25;181:682–686. doi: 10.1001/jama.1962.03050340020005. [DOI] [PubMed] [Google Scholar]
- CAMPBELL D. C., Jr, SWINDELL H. V., DOMINY D. E. Delayed repair of rupture of the bronchus. J Thorac Cardiovasc Surg. 1962 Mar;43:320–326. [PubMed] [Google Scholar]
- CARTER R., WAREHAM E. E., BREWER L. A., 3rd Rupture of the bronchus following closed chest trauma. Am J Surg. 1962 Aug;104:177–195. doi: 10.1016/0002-9610(62)90318-5. [DOI] [PubMed] [Google Scholar]
- HOOD R. M., SLOAN H. E. Injuries of the trachea and major bronchi. J Thorac Cardiovasc Surg. 1959 Oct;38:458–480. [PubMed] [Google Scholar]
- LLOYD J. R., HEYDINGER D. K., KLASSEN K. P., ROETTIG L. C. Rupture of the main bronchi in closed chest injury; a reproduction of the injury in the experimental animal; discussion of the possible mechanisms involved. AMA Arch Surg. 1958 Oct;77(4):597–605. doi: 10.1001/archsurg.1958.04370010129012. [DOI] [PubMed] [Google Scholar]
- RAZEMON P., GERNEZ-RIEUX C. Rupture de la bronche souche gauche datant de quinze mois; résection-anastomose suivie de récupération fonctionnelle du poumon. 1956 Jun 27-Jul 11Mem Acad Chir (Paris) 82(22-24):724–732. [PubMed] [Google Scholar]
- WEISEL W., JAKE R. J. Anastomosis of right bronchus to trachea forty-six days following complete bronchial rupture from external injury. Ann Surg. 1953 Feb;137(2):220–227. doi: 10.1097/00000658-195302000-00012. [DOI] [PMC free article] [PubMed] [Google Scholar]






