Abstract
Introduction and importance
Gallstone ileus (GI) is defined as the occlusion of the intestinal lumen due to the impaction of one or more gallstones. The optimal management of GI is not consensual.
We report a rare case of GI with a successful surgical treatment for a 65 year-old-female.
Case presentation
A 65 year-old-woman, presented with biliary colic pain and vomiting for three days.
On examination, she had a distended tympanic abdomen.
A computed tomography scan revealed signs of small bowel obstruction due to a jejunal gallstone. She had pneumobilia due to a cholecysto-duodenal fistula.
We performed a midline laparotomy. We found a dilated and ischemic jejunum with false membranes regarding the migrated gallstone. We performed a jejunal resection with primary anastomosis. We performed cholecystectomy and closed the cholecysto-duodenal fistula at the same operative time. The postoperative course was uneventful.
Clinical discussion
We reported successful surgical treatment for GI. It was a one-step procedure.
GI is a rare situation. Due to their restricted lumen, the terminal ileum and the ileocaecal valve are where GI occurs most commonly. GI appears usually in elderly patients with comorbidities. The clinical presentation is not specific.
CT scan evokes the diagnosis with high specificity. The surgical management of GI is not consensual. In our case, we performed bowel resection due to the presence of an ischemic intestine.
Conclusion
GI is a rare situation. It appears usually in elderly patients with comorbidities. The clinical presentation is not specific. The surgical management of GI is not consensual.
Keywords: Gallstone ileus, Cholecysto-duodenal fistula, Small bowel obstruction, Case report
Highlights
-
•
Gallstone ileus is an uncommon cause of mechanical bowel obstruction.
-
•
Diagnosing gallstone ileus can be challenging.
-
•
There is no consensus on the optimal surgical management of gallstone ileus.
-
•
The one-stage procedure is feasible in hemodynamically stable patients.
-
•
Performing a one-stage procedure can prevent the recurrence of gallstone ileus.
1. Introduction
Gallstone ileus (GI) is defined as the occlusion of the intestinal lumen due to the impaction of one or more gallstones [1]. It's a rare complication that causes 1 to 4 % of small bowel obstructions (SBO) [2]. It's a result of a cholecysto-enteric fistula responsible for the migration of gallstones in the gastrointestinal tract [3]. This entity develops in 0.3 to 0.5 % of patients having cholelithiasis [4]. It's characterized by high mortality rates which range between 12 and 27 % [5]. The optimal management of GI is not consensual [6].
We report a rare case of GI with a successful surgical treatment for a 65 year-old-female. We performed a review of the literature.
This work has been reported in line with the SCARE 2020 criteria [7].
2. Presentation of a case
A 65 year-old-woman, with a history of diabetes mellitus, presented to our emergency department with biliary colic pain, vomiting, and acute abdominal pain for three days. She reported paroxysmal biliary colic pain during the last ten months.
On examination, she was afebrile. Her vital signs were normal. She had a distended tympanic abdomen. Rectal examination showed diarrheal stools.
Laboratory data showed a white blood cell count of 11,500/μl and a C-reactive protein of 36 mg/dl. She had normal hepatic and renal functions.
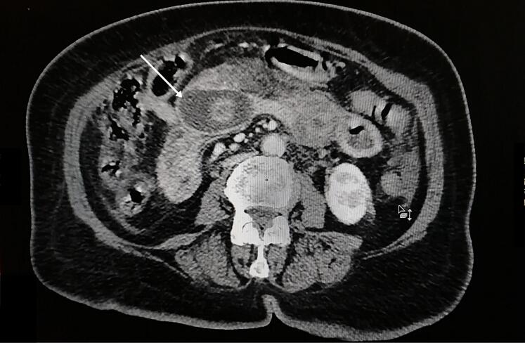
A computed tomography (CT) scan revealed signs of small bowel obstruction due to a jejunal gallstone (Fig. 1). She had pneumobilia due to a cholecysto-duodenal fistula (Fig. 2).
Fig. 1.
CT scan in the axial plane showing pneumobilia (arrow).
Fig. 2.
CT scan revealing the jejunal gallstone responsible for small bowel obstruction (arrow).
The diagnosis of gallstone ileus was retained. We decided to perform an emergency midline laparotomy after 3 h from admission. It was performed by a 5-year-experience surgeon. We found a dilated and ischemic jejunum with false membranes regarding the migrated gallstone (Fig. 3). We performed a jejunal resection with primary end-to-end anastomosis. The patient was hemodynamically stable. We decided therefore to perform cholecystectomy and to close the cholecysto-duodenal fistula at the same operative time. The fistula was 1 cm large. The duodenum was sutured with three separated Vicryl 3/0 sutures. The postoperative course was uneventful. Oral fluids were allowed on the third postoperative day. The patient was discharged after six days. With a follow-up of one month, the patient had no complaints.
Fig. 3.
Intraoperative view (white star: the jejunal location of the gallstone).
3. Discussion
We reported successful surgical treatment for GI. It was a one-step procedure. We performed enteral resection, cholecystectomy, and fistula closure.
GI is a rare situation, usually preceded by an initial episode of acute cholecystitis. The inflammation of the gallbladder and surrounding structures, the pressure effect of the gallstone, can erode the gallbladder wall and consequently lead to fistula formation [2]. Fistulas between the gallbladder and the gastrointestinal tract often occur in the duodenum, because of their proximity [8], [9].
Other parts of the gastrointestinal tract can be involved, such as the stomach, the small bowel, and the transverse portion of the colon [10]. Unusually, the gallstone may also migrate to the duodenum through a dilated papilla of Vater or the common bile duct. Once the gallstone has migrated, the gallbladder becomes fibrous and atrophic [2].
Exceptionally, the pathophysiology of GI is explained by lost intra-peritoneal gallstones during a previous biliary surgery, which can cause an intra-abdominal abscess and, therefore, ulcerate the enteral wall, and be responsible for the SBO [11], [12].
Due to their restricted lumen, the terminal ileum and the ileocaecal valve are the most common sites of GI occurrence [13]. Gallstones responsible for SBO are usually larger than 2.5 cm [14]. In our case, GI occurred in the jejunum due to the large size of the gallstone (5 cm).
GI typically occurs in elderly patients with comorbidities. The clinical presentation is not specific [15]. Patients present with symptoms of SBO and may have a history of recent episodes of biliary colic. CT scan is highly sensitive and specific for diagnosing GI, with sensitivity and specificity of 93 % and 100 %, respectively [16]. The classical findings are pneumobilia and signs of SBO due to an aberrantly located gallstone [17].
The surgical management of GI is not consensual. Laparotomy is usually the method of choice. The surgical possibilities include a one-stage procedure with enterolithotomy, cholecystectomy, and fistula closure, or a two-stage procedure with enterolithotomy, cholecystectomy, and fistula closure to be performed later.
In our case, we performed bowel resection due to the presence of an ischemic intestine.
The one-stage procedure allows preventing the recurrence of GI, which ranges from 8 to 33 %. However, the one-stage procedure is technically demanding and associated with higher morbidity and mortality in patients who are generally old with comorbidities [2].
The two-stage procedure, on the other hand, is simpler and has a shorter operative time. Consequently, it represents the safest choice for patients with poor general conditions, dehydration, sepsis, and shock [18].
In recent years, some cases of laparoscopic management have been reported [19], [20]. It has been found to be an effective and safe procedure, especially for the two-stage approach.
In summary, we described a new case of GI successfully treated with the one-stage procedure. The surgical approach should be adapted to the general status of the patient, the hemodynamic status, the local conditions, and the surgeon's skills.
4. Conclusion
GI is a rare situation. It appears usually in elderly patients with comorbidities. The clinical presentation is not specific. CT scan evokes the diagnosis with high sensitivity and specificity. The surgical management of GI is not consensual. Usually, laparotomy is the method of choice. The one-stage procedure allows preventing recurrence. The two-stage procedure is simpler with a shorter operative time.
Patient consent
Written informed consent was obtained from the patient for the publication of this case report and accompanying images. A copy of the written consent is available for review by the Editor-in-Chief of this journal on request.
Provenance and peer review
Not commissioned, externally peer-reviewed.
Ethical approval
Ethical approval is exempt/waived at our institution.
Funding
This research did not receive any specific grant from funding agencies in the public, commercial, or not-for-profit sectors.
Guarantor
Dr Hazem Beji.
Research registration number
N/A.
CRediT authorship contribution statement
Beji H and Chtourou MF contributed to manuscript writing and editing, and data collection; Zribi S and Laamiri G contributed to data analysis;
Bouassida M and Touinsi H contributed to conceptualization and supervision; all authors have read and approved the final manuscript.
Conflicts of interest
No conflicts of interest.
References
- 1.Jakubauskas M., Luksaite R., Sileikis A., Strupas K., Poskus T. Gallstone ileus: management and clinical outcomes. Medicina (Kaunas) 17 sept 2019;55(9):598. doi: 10.3390/medicina55090598. [DOI] [PMC free article] [PubMed] [Google Scholar]
- 2.Nuño-Guzmán C.M., Marín-Contreras M.E., Figueroa-Sánchez M., Corona J.L. Gallstone ileus, clinical presentation, diagnostic and treatment approach. World J. Gastrointest. Surg. 27 janv 2016;8(1):65–76. doi: 10.4240/wjgs.v8.i1.65. [DOI] [PMC free article] [PubMed] [Google Scholar]
- 3.Ploneda-Valencia C.F., Gallo-Morales M., Rinchon C., Navarro-Muñiz E., Bautista-López C.A., de la Cerda-Trujillo L.F., et al. Gallstone ileus: an overview of the literature. Rev. Gastroenterol. Mex. 2017;82(3):248–254. doi: 10.1016/j.rgmx.2016.07.006. [DOI] [PubMed] [Google Scholar]
- 4.Clavien P.A., Richon J., Burgan S., Rohner A. Gallstone ileus. Br. J. Surg. juill 1990;77(7):737–742. doi: 10.1002/bjs.1800770707. [DOI] [PubMed] [Google Scholar]
- 5.Dai X.Z., Li G.Q., Zhang F., Wang X.H., Zhang C.Y. Gallstone ileus: case report and literature review. World J. Gastroenterol. 7 sept 2013;19(33):5586–5589. doi: 10.3748/wjg.v19.i33.5586. [DOI] [PMC free article] [PubMed] [Google Scholar]
- 6.Halabi W.J., Kang C.Y., Ketana N., Lafaro K.J., Nguyen V.Q., Stamos M.J. Surgery for gallstone ileus: a nationwide comparison of trends and outcomes. Ann. Surg. févr 2014;259(2):329–335. doi: 10.1097/SLA.0b013e31827eefed. [DOI] [PubMed] [Google Scholar]
- 7.Agha R.A., Franchi T., Sohrabi C., Mathew G., Kerwan A., SCARE Group The SCARE 2020 guideline: updating consensus Surgical CAse REport (SCARE) guidelines. Int. J. Surg. Lond. Engl. déc 2020;84:226–230. doi: 10.1016/j.ijsu.2020.10.034. [DOI] [PubMed] [Google Scholar]
- 8.Ayantunde A.A., Agrawal A. Gallstone ileus: diagnosis and management. World J. Surg. 2007;31(6):1292–1297. doi: 10.1007/s00268-007-9011-9. juin. [DOI] [PubMed] [Google Scholar]
- 9.Nakao A., Okamoto Y., Sunami M., Fujita T., Tsuji T. The oldest patient with gallstone ileus: report of a case and review of 176 cases in Japan. Kurume Med. J. 2008;55(1–2):29–33. doi: 10.2739/kurumemedj.55.29. [DOI] [PubMed] [Google Scholar]
- 10.Abou-Saif A., Al-Kawas F.H. Complications of gallstone disease: Mirizzi syndrome, cholecystocholedochal fistula, and gallstone ileus. Am. J. Gastroenterol. févr 2002;97(2):249–254. doi: 10.1111/j.1572-0241.2002.05451.x. [DOI] [PubMed] [Google Scholar]
- 11.Habib E., Elhadad A. Digestive complications of gallstones lost during laparoscopic cholecystectomy. HPB. 2003;5(2):118–122. doi: 10.1080/13651820310016463. [DOI] [PMC free article] [PubMed] [Google Scholar]
- 12.Luu M.B., Deziel D.J. Unusual complications of gallstones. Surg. Clin. North Am. avr 2014;94(2):377–394. doi: 10.1016/j.suc.2014.01.002. [DOI] [PubMed] [Google Scholar]
- 13.Gupta M., Goyal S., Singal R., Goyal R., Goyal S.L., Mittal A. Gallstone ileus and jejunal perforation along with gangrenous bowel in a young patient: a case report. N. Am. J. Med. Sci. sept 2010;2(9):442–443. doi: 10.4297/najms.2010.2442. [DOI] [PMC free article] [PubMed] [Google Scholar]
- 14.Al-Obaid O. Gallstone ileus: a forgotten rare cause of intestinal obstruction. Saudi J. Gastroenterol. 2007;13(1):39–42. doi: 10.4103/1319-3767.30465. [DOI] [PubMed] [Google Scholar]
- 15.Shrestha N., Mishra A., Ghimire R. An unusual case of subacute small bowel obstruction - Gallstone ileus. Int. J. Surg. Case Rep. mars 2022;92 doi: 10.1016/j.ijscr.2022.106820. [DOI] [PMC free article] [PubMed] [Google Scholar]
- 16.Yu C.Y., Lin C.C., Shyu R.Y., Hsieh C.B., Wu H.S., Tyan Y.S. Value of CT in the diagnosis and management of gallstone ileus. World J. Gastroenterol. 14 avr 2005;11(14):2142–2147. doi: 10.3748/wjg.v11.i14.2142. [DOI] [PMC free article] [PubMed] [Google Scholar]
- 17.García-Quijada García J., Valle Rubio A., Pastor Riquelme P., Serantes Gómez A. Case report: closed-loop bowel obstruction secondary to a double gallstone ileus. Int. J. Surg. Case Rep. déc 2021;89 doi: 10.1016/j.ijscr.2021.106612. [DOI] [PMC free article] [PubMed] [Google Scholar]
- 18.Rodríguez Hermosa J.I., Codina Cazador A., Gironès Vilà J., Roig García J., Figa Francesch M., Acero Fernández D. Gallstone Ileus: results of analysis of a series of 40 patients. Gastroenterol. Hepatol. déc 2001;24(10):489–494. [PubMed] [Google Scholar]
- 19.Mirza Gari M.K., Eldamati A., Foula M.S., Al-Mulhim A., Abdulmomen A.A. Laparoscopic management for gallstone ileus, case report. Int. J. Surg. Case Rep. 2018;51:268–271. doi: 10.1016/j.ijscr.2018.09.004. [DOI] [PMC free article] [PubMed] [Google Scholar]
- 20.Orellana M., Vegas L., Cáceres A., Villarroel M., Soto P. Laparoscopic management of gallstone ileus: a case report and literature review. Int. J. Surg. Case Rep. août 2021;85 doi: 10.1016/j.ijscr.2021.106171. [DOI] [PMC free article] [PubMed] [Google Scholar]



