Abstract
Background
In Brachiaria sexual reproduction, during ovule development, a nucellar cell differentiates into a megaspore mother cell (MMC) that, through meiosis and mitosis, gives rise to a reduced embryo sac. In aposporic apomictic Brachiaria, next to the MMC, other nucellar cells differentiate into aposporic initials that enter mitosis directly forming an unreduced embryo sac. The IPT (isopentenyltransferase) family comprises key genes in the cytokinin (CK) pathway which are expressed in Arabidopsis during ovule development. BbrizIPT9, a B. brizantha (syn. Urochloa brizantha) IPT9 gene, highly similar to genes of other Poaceae plants, also shows similarity with Arabidopsis IPT9, AtIPT9. In this work, we aimed to investigate association of BbrizIPT9 with ovule development in sexual and apomictic plants.
Methods and results
RT-qPCR showed higher BbrizIPT9 expression in the ovaries of sexual than in the apomictic B. brizantha. Results of in-situ hybridization showed strong signal of BbrizIPT9 in the MMC of both plants, at the onset of megasporogenesis. By analyzing AtIPT9 knockdown mutants, we verified enlarged nucellar cell, next to the MMC, in a percentage significantly higher than in the wild type, suggesting that knockout of AtIPT9 gene triggered the differentiation of extra MMC-like cells.
Conclusions
Our results indicate that AtIPT9 might be involved in the proper differentiation of a single MMC during ovule development. The expression of a BbrizIPT9, localized in male and female sporocytes, and lower in apomicts than in sexuals, and effect of IPT9 knockout in Arabidopsis, suggest involvement of IPT9 in early ovule development.
Supplementary Information
The online version contains supplementary material available at 10.1007/s11033-023-08295-7.
Keywords: Apomixis, Apospory, Megagametogenesis, Megasporogenesis, Reproduction
Introduction
Brachiaria, a genus of the Poaceae family, has the most cultivated and economically important species reproducing by apomixis, asexual reproduction through seeds [1]. Female reproductive pathway in Brachiaria sexual plants, as in many other angiosperms, comprises three processes inside the ovule: 1-megasporogenesis with the differentiation of a subepidermal cell in the nucellus, the archespore, followed by differentiation of the megaspore mother cell, MMC, which after meiosis results in four reduced megaspores, only one survives as a functional megaspore; 2-megagametogenesis, in which the functional megaspore enlarges and, after three mitosis and cellularization form a reduced seven celled embryo sac (ES) of the Polygonum-type; and 3-double fertilization in which the egg cell and the central cell are fertilized by the sperm cells to form the embryo and endosperm respectively. In Brachiaria, apomixis is by apospory. In these plants, ovule development differs from the sexual plants in three moments, before anthesis. At megasporogenesis meiosis may or may not be complete, and the formed tetrad of megaspores then degenerates, or the meiocyte degenerates before dyads or tetrads can be formed [2, 3]. Meanwhile, a number of nucellar cells differentiate to form the aposporic initials, cells capable of developing ES without meiosis. At megagametogenesis, the aposporic intials then divide by mitosis and form the unreduced four cellular ES of the Panicum-type, in which the embryo will develop autonomously from the egg cell, but fertilization of the central cell is still required to form the endosperm [2–4]. Occasionally, a meiotic ES can be observed in apomictic plants, a feature that led to the conclusion that apomixis in Brachiaria is facultative [5]. Because apomixis leads to the production of clonal seeds, and there is a possibility of genetic control of the trait, it gained the attention of the international scientific community working with plant reproduction and breeding in different species [6–12]. Identification of genes related to apomixis may, in one hand, allow the transfer of apomixis to important crops, fixing superior genotypes maintaining hybrid vigor, and on the other hand, the turn off of apomixis in natural apomictic plants such as Brachiaria, simplifying breeding. To discover genes associated with the main steps of ES differentiation, we have been analyzing gene expression in ovules of sexual and apomictic Brachiaria brizantha (syn. Urochloa brizantha) plants [13–18]. In a previous comparison of RNA Seq libraries from ovaries of sexual and apomictic B. brizantha, a gene with characteristics of isopentenyltransferases (IPTs) was selected due to the substantial difference in the relative expression profile between sexual and apomictic B. brizantha. IPTs mediate the biosynthesis of cytokinins (CKs) in different organisms [19, 20], and are expressed during all phases of ovule development in Arabidopsis [21, 22].
In higher plants, IPTs catalyze the initial step of de novo biosynthesis of CK [23]. ATP/ADP IPTs are responsible for isopentenyladenine- and trans-zeatin-type CK synthesis, the most of the CK synthesis, while tRNA IPTs are required for cis-zeatin-type CK production [20]. In Arabidopsis seven ATP/ADP IPTs, AtIPT1, AtIPT3, AtIPT4, AtIPT5, AtIPT6, AtIPT7, AtIPT8 [24] and two tRNA IPTs, AtIPT2 and AtIPT9 were reported [25, 26]. The tRNA IPTs show constitutive expression, with stronger intensity in roots, shoot apical meristems and leaf primordia [27]. In Jatropha curcas, the upregulation of IPT and downregulation of CK dehydrogenase, which catalyzes CK degradation, during the stage of MMC occurrence, suggest the enhancement of CK biosynthesis at this stage [28]. During Arabidopsis ovule development, CK biosynthesis was detected by pIPT1::GUS which was expressed at MMC and functional megaspore stages, specifically at the nucellus and at the mature ovule in the ES [21].
The plant hormone CK was already known to regulate many aspects of plant growth and development, such as cell division, apical dominance, nutrient mobilization, seed germination, leaf expansion, and delay of senescence [29–31]. These hormones act during reproductive development, and in Arabidopsis have been associated with the activity of reproductive meristems, flower organ size, ovule formation, seed yield [22, 32], functional megaspore specification [33], regulation of ovule development and correct determination of ovule number [21, 34, 35]. It has been suggested that CK may regulate the occurrence of MMC [28]. Although the influence of CK levels in ovule pattern has been shown in Arabidopsis [21]and null mutants for the ATP/ADP IPT and tRNA IPT were isolated [26], the role of IPTs in Arabidopsis ovule development is still not described. We present in this manuscript the B. brizantha IPT9, BbrizIPT9, its expression associated with ovule and ES development in sexual and apomictic B. brizantha. In addition, the effect of AtIPT9 knockout during ovule development in Arabidopsis is presented.
Materials and methods
Plant material
A sexual diploid (2n = 2x = 18) accession, BRA 002,747, and a facultative apomictic tetraploid (2n = 4x = 36) accession, BRA 000,591, named B. brizantha cv. Marandu [5], were used in this work. Pistils, ovaries and anthers were dissected from hermaphrodite flowers before anthesis at different stages of development. Stages I and II contain ovules in megasporogenesis, while stages III and IV contain ovules in megagametogenesis. At stage I, pistils have very short stigmas and ovules with nucellar cells and MMC; at stage II, pistils have elongated stigmas and ovules with megaspores and, only in the apomictic, aposporic initials; at stage III, pistils have white hairy stigma, and in sexual ovule, one immature meiotic ES is observed, while in the apomictic ovule multiple immature aposporic ES are present; at stage IV, long pistils have red hairy stigmas and ovule with mature ES of Panicum-type, in apomictic plants and Polygonum-type in sexual plants [2, 17].
The Arabidopsis ipt9 mutants (SALK_027711 and SALK_128927), with insertions at the AtIPT9 5′UTR, developed at the Salk Institute-USA, were ordered from the Arabidopsis Biological Resource Center (ABRC). Mutants and wild-type Arabidopsis (ecotype Columbia) were cultivated at 22 °C under 16/8 h light/dark schedule, and genotyped by PCR, using the primers 5′ GCTACGCCACATAAAGGAAT 3′ and 3′ ACGGTTCGGTTAGGTTTACA 5′, for amplification of a 765 bp fragment from a wild-type plant. To verify if the plant mutants were homozygous, the primer 3′ATTTTGCCGATTTCGGAAC 5′ for the amplification of T-DNA together with the primer 5′ GCTACGCCACATAAAGGAAT 3′ were used to detect amplification of a mutant band of 350 bp. The heterozygotes display two fragments. In the SALK_027711 mutant, the relative expression of AtIPT9 was verified by RT-qPCR.
Sequence analysis
A B. brizantha gene sequence of 866 nucleotides was previously identified as differentially expressed in RNA-Seq libraries of sexual and apomictic ovaries of B. brizantha. This sequence was used to screen genomic libraries generated from short Illumina reads of sexual and apomictic B. brizantha in order to rescue the full-length. Nucleotides and predicted amino acid sequences of sexual and apomictic B. brizantha plants were submitted to The Basic Local Alignment Search Tool (BLAST) [36, 37] performed against the National Center for Biotechnology Information (NCBI; http://www.ncbi.nlm.nih.gov). The NCBI Conserved Domain Search was used to identify a common conserved sequence with the tRNA delta (2)-isopentenyl pyrophosphate transferase (IPP transferase) family. Partial sequences of nucleotide and amino acid sequence were used in multiple sequence alignments with ClustalW2 [38] and homologs were defined with a cutoff e-value of ≥ 2e− 57 and identity above 90%. The sequence was compared to Arabidopsis sequences obtained from The Arabidopsis Information Resource database (TAIR, http://arabidopsis.org). The genomic sequences from sexual and apomictic genotypes were identified in genomic libraries and analyzed with Webcutter 2.0. gene. A phylogenetic tree based on full protein sequences of the isopentenyltransferase (IPT) family in Arabidopsis and a IPT from B. brizantha was constructed using the Maximum Likelihood-based method with PhyML v20160115 [39], based on 100 bootstrapped trees. Abbreviations: AT, Arabidopsis thaliana; B105, B. brizantha sexual.
RNA isolation and RT-qPCR analysis of B. brizantha plants
Total RNA was extracted from sexual and apomictic B. brizantha plants, in three biological replicates, each one consisted of a pool of 250 ovaries collected in different plants, at each of the four stages [2], using TRIZOL® (Invitrogen) as previously described [13, 17]. The reverse transcriptase reaction was performed with SuperScript III (Invitrogen) and 2 µg of RNA, according to the manufacturer’s protocol. RT-qPCR was performed using SYBR Green PCR Master Mix Green (Applied Biosystems). Oligonucleotide pairs for BbrizIPT9, designed with Primer 3.0 program [40], were: 5′ GAGATCATCAGCGCCGACTC and 3′ GGACAGGGACTGGTACTGGAAG 5′. ΔΔCt analysis was done using BbrizUBCE as reference gene, encoding a ubiquitin conjugating enzyme, amplified with 5′ GGTCTTGCTCTCCATCTGCT 3′ and 3′ CGGGCTGTCGTCTCATACTT 5′ [41]. Three technical replicates of each of the three different biological replicates were used.
RNA isolation and RT-qPCR analysis of Arabidopsis plants
Total RNA of Arabidopsis cv. Columbia and SALK_027711 was extracted from 1–2 inflorescences in three biological replicates with NucleoZOL® (Macherey–Nagel) according to the manufacturer’s instructions. After incubation with the Ambion TURBO DNA-free DNase (Invitrogen), RNA was reverse transcribed using the ImProm-II™ reverse transcription system (Promega).
The oligonucleotide pairs, designed with Primer 3.0 program, were for AtIPT9 5′TCAATGCTGGTGATCCAAAA3′ and 5′TCATCAGCATCAGGAGCAAC3′, UBIQUITIN10 5′CTGTTCACGGAACCCAATTC3′ and 5′GGAAAAAGGTCTGACCGACA3′, and ACTIN2-8 5′CTCAGGTATTGCAGACCGTATGAG3′ and 5′CTGGACCTGCTTCATCATACTCTG 3′. UBIQUITIN10 and ACTIN2-8 genes were used as references, and gene expression analysis was performed with iQ5 Multicolor real-time PCR detection system (Bio-Rad) with SYBR Green PCR Master Mix (Bio- Rad). Three technical replicates of each of the three different biological replicates were used.
In situ hybridization analysis
Semi-thin Sects. (3.5 μm) of ovaries at megasporogenesis of sexual and apomictic B. brizantha were hybridized with an 866 bp PCR fragment of BbrizIPT9, previously cloned into pGEM-T Easy Vector System I (Invitrogen) and used as template for sense and antisense probes, with SP6 and T7 polymerases respectively. A DIG RNA labeling kit (Roche) was used according to the manufacturer’s protocol. The sample preparation and in situ hybridization procedures were carried out as previously described [13, 17, 18, 42]. The hybridized section slides were observed using a Zeiss Axiophot light microscope.
Morphological analysis of Arabidopsis flowers by DIC microscopy
Flowers were fixed with 9:1 ethanol:acetic acid and cleared overnight using a clearing solution of chloral hydrate:glycerol:water (3:1:2; w/v/v). Ovules were dissected from premature pistils after clearing, mounted with a cover slip, and subsequently observed in a Zeiss Axiophot D1 microscope equipped with DIC optics. Images were captured on an Axiocam MRc5 camera (Zeiss) using the Axiovision program (version 4.1). Three different plants of Arabidopsis ecotype Columbia and of each mutant, SALK_027711 and SALK_128927, were analyzed.
Results
BbrizIPT9 has sequence similarity to IPT9 gene
Previous RNA-Seq analysis pointed to a sequence of 866 nucleotides from sexual and apomictic B. brizantha, which was similar to the isopentenyltransferase 9 family from different plants. Screening of genomic libraries of sexual and apomictic B. brizantha revealed a full-length DNA sequence of 1356 nucleotides, in sexual and apomictic plants (Fig. S1). The sequence, without introns detected, encodes 451 amino acids (Fig. S2) and shares a common conserved sequence with the IPP transferase family, as indicated by The NCBI Conserved Domain Search. B. brizantha amino acid derived sequence shows high similarity with IPT9 sequences from other species of the Poaceae family, in different percentages, as verified using BLAST in the NCBI database (Fig. 1): Setaria italica (90%), Panicum hallii (87%), Sorghum bicolor (80%), Zea mays (77%), Saccharum hybrid cultivar R570 (75%), Brachypodium distachyon (73%), Oryza sativa Japonica Group (73%), Oryza brachyantha (71%) and Aegilops tauschii (70%). Among the members of the Arabidopsis IPT sequences, the B. brizantha sequence showed a higher level of identity with AtIPT9 (55%) [26] (Fig. S3). Contigs of genomic sequences from the sexual BRA 002,747 (B105) and the apomictic BRA 000,591 (B30) genotypes, with the coding region for the B. brizantha IPT9 were deposited in the GenBank as MZ724659 and MZ724660.
Fig. 1.
Multiple alignment of BbrizIPT9 and similar sequences found in the NCBI database: Setaria italica (XP_004963310.1), Panicum hallii (XP_025807403.1), Sorghum bicolor (XP_002463348.1), Zea mays (AQK80671.1), Brachypodium distachyon (XP_003563223.2), Saccharum hybrid cultivar R570 (AGT16524.1), Aegilops tauschii (XP_020163508.1), Oryza sativa japonica group (XP_015644187.1), Oryza brachyantha (XP_006656524.1), and Arabidopsis thaliana (AT5G20040). Gray highlight shows the amino acid residues conserved amongst the sequences. Multiple sequence alignment was performed using the ClustalW program
BbrizIPT9 expression differs in ovaries of sexual and apomictic B. brizantha
RT-qPCR validated previous data of RNA-Seq analysis resulting in higher expression of BbrizIPT9 in ovaries of sexual plant compared to ovaries of the apomictic B. brizantha. BbrizIPT9 transcript levels were different among sexual and apomictic plants, during ovary development, at three different stages before anthesis (Fig. 2). BbrizIPT9 expression is higher in sexual than in apomictic plants in megasporogenesis and early stage of megagametogenesis, as shown by the analysis of deviance (ANODEV), with a 1% significance, that displayed a difference between the reproductive modes (F = 43.0960, GL = 1, p = 2,764e06), but not among the stages of ovule development (F = 2.8013, GL = 3, p = 0.0678) in either apomicts or sexual plants. This difference was observed in ovules with MMC (stage I), ovules with megaspores, and, only in the apomictic, aposporic initials (stage II), and ovules showing immature meiotic ES or the multiple immature aposporic ES in the case of apomixis (stage III). In mature ES of Polygonum-type, in sexuals and Panicum-type in apomicts at stage IV, no significant difference was observed.
Fig. 2.
Boxplot diagram showing the BrizIPT9 relative expression detected by RT-qPCR in developing ovaries of sexual and apomictic Brachiaria brizantha. Analysis was performed in ovaries at early and late megasporogenesis (stages I and II respectively) and megagametogenesis (stages III and IV respectively) before anthesis, of apomictic plants (APO) and sexual plants (SEX). Bars represent standard deviations based on the average of three biological samples. The mean quartiles, median and ANODEV were calculated using the R Core Team (2016) program
BbrizIPT9 in situ expression is similar in ovules and anthers of apomictic and sexual B. brizantha at sporogenesis
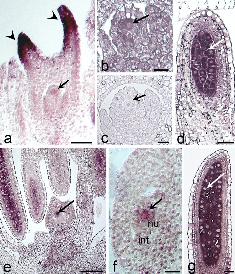
In situ hybridization showed the presence of BbrizIPT9 transcripts in early stages of ovary development, at megasporogenesis, of sexual and apomictic plants of B. brizantha (Fig. 3). In apomictic plants (Fig. 3a-d), a weak hybridization signal was detected in the archespore and a strong signal in the superior portion of the style, the stylodium (Fig. 3a). In B. brizantha, the archespore differentiates into the MMC directly without previous division. Expression observed in the ovules was slightly stronger in the MMC than in nucellar cells (Fig. 3b). The sense control probe did not show any signal in the ovaries of apomictic (Fig. 3c) or sexual plants. In anthers, in the pollen mother cells (PMC), a strong hybridization signal was observed (Fig. 3d). In sexual plants (Fig. 3e-g), during megasporogenesis, strong hybridization signal was observed in the MMC and PMC (Fig. 3e and f). Anthers showed strong hybridization signal in the PMC (Fig. 3g).
Fig. 3.
BbrizIPT9 expression observed by in situ hybridization in apomictic (a-d) and sexual (e–g) plants of Brachiaria brizantha. a Pistil with weak signal in the archesporic cell (thin arrow) and strong signal in the upper portion of the style (broad arrow). b Detail of an ovule showing hybridization signal in the megaspore mother cell, MMC (arrow). c Ovary hybridized with sense probe with no signal. d Anther with hybridization signal in the pollen mother cells, PMC (arrow). e Inflorescence of sexual plant with strong hybridization in MMC (arrow). f Ovule detail showing stronger signal of hybridization in the MMC (arrow) than in the surrounding nucellar cells (nu) and weak signal in the integuments (int). g Anther of sexual plant with hybridization in the PMC (arrow). Scale bars = a (10 μm), b–d (20 μm), e (100 μm), f (20 μm), g (25 μm)
Morphological analyses of Arabidopsis Atipt9 mutant in ovules
In order to check a putative IPT9 gene function during ovary development and make comparative studies with B. brizantha, Arabidopis IPT9 knockout mutants were analyzed. The two mutant lines, SALK_027711 and SALK_128927, have T-DNA insertions in a non-coding region of the IPT9 gene (Fig. 4a). The relative expression of the IPT9 gene was analyzed in the SALK_027711 line, and the results showed that the expression of AtIPT9 was close to zero in inflorescences of the mutant plants (Fig. 4b).
Fig. 4.

Effect of T- DNA insertions at the Arabidopsis thaliana AtIPT9 (AT5G20040.3) on MMC-like cells proliferation. a Schematic representation of AtIPT9 genomic structure indicating with arrowheads T-DNA insertion for SALK_128927 (1) and SALK_027711(2) located at different sites of the 5´UTR region. The black blocks represent the exons and the thin lines, the introns. b Relative expression levels of the AtIPT9 in inflorescences of wild-type and ipt9 mutant (SALK_027711) plants of Arabidopsis by RT-qPCR. The bars represent the standard deviation based on the average of three biological replicates. Actin8 and Ubiquitin10 were used as the reference gene. c Percentage of the number of ovules with additional MMC-like cells found in 436 ovules of Arabidopsis wild-type cv. Columbia, 255 ovules of SALK_027711 and 398 ovules of SALK_128927. Different letters indicate statistically significant differences between the percent number of ovules with additional MMC-like cells (p = 0.039). WT: wild-type (Columbia ecotype); MMC = megaspore mother cell
Morphological analysis of the ovaries of Arabidopsis ipt9 knockout mutants SALK_027711 and SALK_128927 containing the T-DNA inserted into the 5′UTR of the gene showed differences from the wild-type plants (Fig. 4c). We have observed at the finger-like stage (2-I), by light microscopy, that the number of ovules with enlarged nucellar cells in proximity and resembling the MMC, herein called MMC-like cells following other authors [13, 43, 44], doubled in both mutants, SALK_027711 and SALK_128927, when compared with the wild-type plants (Fig. 4c).
Ovules of wild-type plants followed an expected pattern of development resulting in the formation of only one ES (Fig. 5 a,c,e,g,i). In the ipt9 mutants (Fig. 5 b,d,f,h,j), in very young ovules, about the 2I-2II stage [45], in addition, MMC-like cells were observed (Fig. 5 b,d). On the FG1 stage (Fig. 5 e, f), like the wild type (Fig. 5e) the mutant had only one functional megaspore (Fig. 5f). After mitosis (Fig. 5 g-j), two-nucleated ES, four-nucleated ES, eight-nucleated ES, and finally a seven-celled ES were observed in both wild type and mutants. In these analyses we have not detected any twin ES. The ipt9 mutant SALK_027711 and wild-type plants showed similar numbers of seeds per silique. The ipt9 mutant plants showed an average of 42 seeds per silique, in the 30 siliques counted, with 1.8% aborted seeds. Wild-type plants, under the same environmental conditions, showed an average of 46 seeds per silique in the 32 siliques counted, with a 2.5% abortion rate. Statistical analysis (t-test) showed that there was no significant difference between the number of seeds per silique observed in the ipt9 mutant and wild-type plants (p = 0.20).
Fig. 5.

Ovules of wild type (a, c, e, g, i) and ipt9 mutant (b, d, f, h, j) of Arabidopsis thaliana, observed with differential phase contrast optical microscopy. a—b Finger-like stage (2-I and 2-II) showing one MMC (arrow in a) and two MMC-like cells (arrows in b). c – d At stage 2-III with the outer and inner integuments differentiating, the MMC-like cells are still visible in the mutant (arrows in d). e—f FG1 with functional megaspore (arrow). g FG4 the 4-nucleated developing female gametophyte (arrow). h FG3 stage showing the binuclear embryo sac (arrow). i, j FG6 stage, the arrow indicates the embryo sac. Nuclei were artificially colored in green in the pictures to make them more evident. Asterisks: degenerated megaspores; ii = inner integument; oi = outer integument. Scale bars = a, h (10 μm), b (15 μm), c (25 μm), d-g, i-j = 20 μm
Discussion
The investigation of the sequence previously detected in the transcriptome as differentially expressed in ovaries of sexual and apomictic B. brizantha, herein named BbrizIPT9, brought up points to be discussed about reproduction. A remarkable BbrizIPT9 expression in the MMC of apomictic B. brizantha, and especially in the MMC of the sexual B. brizantha, suggests a possible relation of BbrizIPT9 to the differentiation of this cell or to its fate. In apomicts, either the meiocyte or the four megaspores of the tetrad degenerate, while in sexuals, one of the megaspores is functional and enters megagametogenesis. A peak of relative expression at the beginning of megagametogenesis provides evidence of regulation in the course of the reproduction process. In anthers, the PMC from both apomictic and sexual plants also shows high expression. These cells, like the MMC, will enter and complete meiosis to form the spores. In the apomictic plants, the microsporogenesis occurs likewise in sexual plants, resulting in reduced microspores, while in megasporogenesis, the MMC may or may not complete meiosis [2, 3]. Our results indicate a role of BbrizIPT9 in B. brizantha reproductive development, suggesting that BbrizIPT9 expression is associated with the development of the MMC and PMC, cells that after meiosis, will give rise to megaspores and microspores respectively.
In the Arabidopsis mutants argonaute 9 (ago9) and RNA-dependent RNA polymerase 6 (rdr6-11), additional enlarged cells in nucellus, with a conspicuous nucleus and nucleolus were reported [46]. These and other mutants, defective in the RNA-direct DNA methylation (RdDM) pathway, seemed to display more than one MMC per ovule. RdDM is the major small RNA-mediated epigenetic pathway in plants and it is involved both in transcriptional and post-transcriptional gene silencing. Recent studies [44] demonstrated that RdDM and also epigenetic modifications through methylation by DOMAINS REARRANGED METHYLASEs (DRM1 and DRM2) are important for the formation of a single MMC, 65% of drm1drm2 ovules displayed multiple MMC-like cells. It was verified that only one MMC-like cell acquires MMC identity and undergoes meiosis. In the Arabidopsis ipt9 knockout mutant described here, only one MMC-like cell undergoes further development to form an ES. AtIPT9 expression in Arabidopsis inflorescences and the significant increase in the number of MMC-like cells in ipt9 knockout mutant, suggest that this gene could be part of a mechanism that avoids differentiation of nucellar cells other than the MMC. A phenotype similar to ipt9 knockout mutants was verified in Arabidopsis overexpressing AtGID1a. [13]. This gibberellin receptor gene, acts on the signal transduction pathway of gibberellin in Arabidopsis [47]. In Arabidopsis, functional megaspore specification is dependent on CK signaling in the surrounding cells, with a CK-dependent pathway involved in the sporophytic-gametophytic tissue communication [22, 33]. An imbalance in the expression of AtIPT9 and AtGID1a, might lead to the differentiation of additional MMC-like cells in the nucellus. In both cases, in ovules with extra MMC-like cells, only one MMC accomplished the meiotic division, only one functional megaspore and only one ES were observed, leading to infer that additional MMC-like cells do not enter gametogenesis. These developmental alterations did not interfere in the formation of viable and fertile seeds. The AtGID1a overexpression and AtIPT9 knockout involved, respectively, in the pathway of gibberellin and CK synthesis bring a first impression on the possible effect of these hormones on differentiation of nucellar cells.
This work shows identification of a gene from the IPT family in sexual and apomictic B. brizantha, BbrizIPT9. BbrizIPT9 expression suggests a role of this gene on the reproductive development of B. brizantha, been associated with onset of megasporogenesis in apomictic and sexual plants. The expression of a BbrizIPT9, localized in male and female sporocytes, and lower in apomicts than in sexuals, and effect of IPT9 knockout in Arabidopsis, suggest involvement of IPT9 in early ovule development.
Supplementary Information
Below is the link to the electronic supplementary material.
Acknowledgements
The authors acknowledge Simona Masiero, Mara Cucinotta and Júlio Rodrigues for assistance in the laboratory; Roberto Togawa and Priscila Grynberg in Bioinformatics analysis and Joseane Padilha in the statistical analyses. This work was supported by the National Council for Scientific and Technological Development-CNPq (449636/2014-3-VTCC) and the Brazilian Agricultural Research Corporation-Embrapa (02140101400.00-VTCC). This work is part of Luciana Gomes Ferreira’s PhD thesis from Pós-Graduação em Biologia Molecular, University of Brasilia-UnB, Brazil, with a fellowship from Coordination for the Improvement of Higher-Level Personnel—University of Brasilia, CAPES-UnB, which also provided a 1-year fellowship at Università degli Studi di Milano, Italy. Foundation for Research Support of the Federal District-FAPDF provided financial assistance for LGF’s participation in congresses
Author contributions
LGF, DMAD, ASTI, LC and VTCC designed the project; LGF, DMAD, ASTI, LHF, ACMMG and VTCC performed experimental procedures; LGF, DMAD, ASTI, MAM, LC and VTCC, participated in the research, analyzed the data and wrote the paper. All authors read and approved the final manuscript.
Funding
Open access funding provided by Università degli Studi di Milano within the CRUI-CARE Agreement. National Council for Scientific and Technological Development-CNPq (449636/2014-3-VTCC) and the Brazilian Agricultural Research Corporation-Embrapa (02140101400.00-VTCC), Coordination for the Improvement of Higher Level Personnel—University of Brasília, CAPES-UnB, Foundation for Research Support of the Federal District-FAPDF. Università degli Studi di Milano (Milano, Lombardia, IT) GRANT_NUMBER: PSR2021_DIP_002.
Data availability
The Brachiaria brizantha IPT9 sequences analysed in this study were deposited in the NCBI GenBank database under the accession number MZ724659 and MZ724660. All data generated or analysed during this study are included in this published article (and its supplementary information files).
Declarations
Conflict of interest
The authors declare that they have no financial interest nor conflict of interest.
Ethical approval
Not required.
Footnotes
Publisher's Note
Springer Nature remains neutral with regard to jurisdictional claims in published maps and institutional affiliations.
Contributor Information
Marta A. Mendes, Email: Marta.Mendes@unimi.it
Vera T. C. Carneiro, Email: vera.carneiro@embrapa.br
References
- 1.Jank L, Barrios SC, Valle CB, Simeão RM, Alves GF. The value of improved pastures to Brazilian beef production. Crop Pasture Sci. 2014;65(11):1132–1137. doi: 10.1071/CP13319. [DOI] [Google Scholar]
- 2.Araujo ACG, Mukhambetzhanov S, Pozzobon MT, Santana EF, Carneiro VTC. Female gametophyte development in apomictic and sexual Brachiaria brizantha (Poaceae) Rev Cytol Biol Vég Bot Bot Tome XXIII. 2000;1–2:13–28. [Google Scholar]
- 3.Dusi DMA, Willemse MTM. Apomixis in Brachiaria decumbens Stapf.: gametophytic development and reproductive calendar. Acta Biol Cracov Bot. 1999;41:151–162. [Google Scholar]
- 4.Alves ER, Carneiro VTC, Araujo ACG. Direct evidence of pseudogamy in an apomictic Brachiaria brizantha (Poaceae) Sex Plant Reprod. 2001;14(4):207–212. doi: 10.1007/s00497-001-0120-6. [DOI] [PubMed] [Google Scholar]
- 5.Valle CBd, Savidan Y (1996) Genetics, cytogenetics and reproductive biology of Brachiaria. In: Miles JW, Maass BL, Valle CBd (eds) Brachiaria: Biology, agronomy and improvement. CIAT-EMBRAPA, Cali- Colombia, p 288
- 6.Albertini E, Barcaccia G, Carman JG, Pupilli F. Did apomixis evolve from sex or was it the other way around? J Exp Bot. 2019;70(11):2951–2964. doi: 10.1093/jxb/erz109. [DOI] [PubMed] [Google Scholar]
- 7.Cabral GB, Carneiro VTC, Gomes ACMM, Lacerda AL, Martinelli AP, Dusi DMA. Genetic transformation of Brachiaria brizantha cv. Marandu by biolistics. An Acad Bras Ciênc. 2018 doi: 10.1590/0001-3765201820170842. [DOI] [PubMed] [Google Scholar]
- 8.Conner JA, Mookkan M, Huo H, Chae K, Ozias-Akins P. A parthenogenesis gene of apomict origin elicits embryo formation from unfertilized eggs in a sexual plant. Proc Natl Acad Sci USA. 2015;112(36):11205–11210. doi: 10.1073/pnas.1505856112. [DOI] [PMC free article] [PubMed] [Google Scholar]
- 9.Fiaz S, Wang X, Younas A, Alharthi B, Riaz A, Ali H. Apomixis and strategies to induce apomixis to preserve hybrid vigor for multiple generations. GM Crops Food. 2021;12(1):57–70. doi: 10.1080/21645698.2020.1808423. [DOI] [PMC free article] [PubMed] [Google Scholar]
- 10.Hand ML, Koltunow AMG. The genetic control of apomixis: asexual seed formation. Genetics. 2014;197(2):441–450. doi: 10.1534/genetics.114.163105. [DOI] [PMC free article] [PubMed] [Google Scholar]
- 11.Hojsgaard D. Apomixis technology: separating the wheat from the chaff. Genes. 2020 doi: 10.3390/genes11040411. [DOI] [PMC free article] [PubMed] [Google Scholar]
- 12.Mancini M, Permingeat H, Colono C, Siena L, Pupilli F, Azzaro C, Dusi DMA, Carneiro VTC, Podio M, Seijo JG, González AM, Felitti SA, Ortiz JP, Leblanc O, Pessino SC. The MAP3K-Coding QUI-GON JINN (QGJ) gene is essential to the formation of unreduced embryo sacs in Paspalum. Front Plant Sci. 2018 doi: 10.3389/fpls.2018.01547. [DOI] [PMC free article] [PubMed] [Google Scholar]
- 13.Ferreira LG, Dusi DMA, Irsigler AST, Gomes ACMM, Mendes MA, Colombo L, Carneiro VTC. GID1 expression is associated with ovule development of sexual and apomictic plants. Plant Cell Rep. 2018;37(2):293–306. doi: 10.1007/s00299-017-2230-0. [DOI] [PubMed] [Google Scholar]
- 14.Guimarães LA, Dusi DMA, Masiero S, Resentini F, Gomes ACMM, Silveira ED, Florentino LH, Rodrigues JCM, Colombo L, Carneiro VTC. BbrizAGL6 is differentially expressed during embryo sac formation of apomictic and sexual Brachiaria brizantha plants. Plant Mol Biol Rep. 2013;31(6):1397–1406. doi: 10.1007/s11105-013-0618-8. [DOI] [Google Scholar]
- 15.Koehler AD, Irsigler AST, Carneiro VTC, Cabral GB, Rodrigues JCM, Gomes ACMM, Togawa RC, Costa MMC, Martinelli AP, Dusi DMA. SERK genes identification and expression analysis during somatic embryogenesis and sporogenesis of sexual and apomictic Brachiaria brizantha (Syn. Urochloa brizantha) Planta. 2020;252(3):39. doi: 10.1007/s00425-020-03443-w. [DOI] [PubMed] [Google Scholar]
- 16.Lacerda ALM, Dusi DMA, Alves ER, Rodrigues JCM, Gomes ACMM, Carneiro VTC. Expression analyses of Brachiaria brizantha genes encoding ribosomal proteins BbrizRPS8, BbrizRPS15a and BbrizRPL41 during development of ovaries and anthers. Protoplasma. 2012;250(12):505–514. doi: 10.1007/s00709-012-0433-3. [DOI] [PubMed] [Google Scholar]
- 17.Rodrigues JCM, Cabral GB, Dusi DMA, Mello LV, Rigden D, Carneiro VTC. Identification of differentially expressed cDNA sequences in ovaries of sexual and apomictic plants of Brachiaria brizantha. Plant Mol Biol. 2003;53:745–757. doi: 10.1023/B:PLAN.0000023664.21910.bd. [DOI] [PubMed] [Google Scholar]
- 18.Silveira ED, Guimarães LA, Dusi DMA, Silva FR, Martins NF, Costa MMC, Alves-Ferreira M, Carneiro VTC. Expressed sequence-tag analysis of ovaries of Brachiaria brizantha reveals genes associated with the early steps of embryo sac differentiation of apomictic plants. Plant Cell Rep. 2012;31(2):403–416. doi: 10.1007/s00299-011-1175-y. [DOI] [PubMed] [Google Scholar]
- 19.Frébort I, Kowalska M, Hluska T, Frébortová J, Galuszka P. Evolution of cytokinin biosynthesis and degradation. J Exp Bot. 2011;62(8):2431–2452. doi: 10.1093/jxb/err004. [DOI] [PubMed] [Google Scholar]
- 20.Wang X, Lin S, Liu D, Gan L, McAvoy R, Ding J, Li Y. Evolution and roles of cytokinin genes in angiosperms 1: do ancient IPTs play housekeeping while non-ancient IPTs play regulatory roles? Hortic Res. 2020;7(1):28. doi: 10.1038/s41438-019-0211-x. [DOI] [PMC free article] [PubMed] [Google Scholar]
- 21.Bencivenga S, Simonini S, Benková E, Colombo L. The transcription factors BEL1 and SPL are required for cytokinin and auxin signaling during ovule development in Arabidopsis. Plant Cell. 2012;24(7):2886–2897. doi: 10.1105/tpc.112.100164. [DOI] [PMC free article] [PubMed] [Google Scholar]
- 22.Terceros GC, Resentini F, Cucinotta M, Manrique S, Colombo L, Mendes MA. The importance of cytokinins during reproductive development in Arabidopsis and beyond. Int J Mol Sci. 2020;21(21):8161. doi: 10.3390/ijms21218161. [DOI] [PMC free article] [PubMed] [Google Scholar]
- 23.Sakakibara H. Cytokinin biosynthesis and regulation. Vitam Horm. 2005;72:71–287. doi: 10.1016/S0083-6729(05)72008-2. [DOI] [PubMed] [Google Scholar]
- 24.Takei K, Sakakibara H, Sugiyama T. Identification of genes encoding adenylate isopentenyltransferase, a cytokinin biosynthesis enzyme Arabidopsis thaliana. J Biol Chem. 2001;276(28):26405–26410. doi: 10.1074/jbc.M102130200. [DOI] [PubMed] [Google Scholar]
- 25.Golovko A, Sitbon F, Tillberg E, Nicander B. Identification of a tRNA isopentenyltransferase gene from Arabidopsis thaliana. Plant Mol Biol. 2002;49:161–169. doi: 10.1023/A:1014958816241. [DOI] [PubMed] [Google Scholar]
- 26.Miyawaki K, Tarkowski P, Matsumoto-Kitano M, Kato T, Sato S, Tarkowska D, Si T, Sandberg G, Kakimoto T. Roles of Arabidopsis ATP/ADP isopentenyltransferases and tRNA isopentenyltransferases in cytokinin biosynthesis. Proc Natl Acad Sci USA. 2006;103(44):16598–16603. doi: 10.1073/pnas.0603522103. [DOI] [PMC free article] [PubMed] [Google Scholar]
- 27.Miyawaki K, Matsumoto-Kitano M, Kakimoto T. Expression of cytokinin biosynthetic isopentenyltransferase genes in Arabidopsis: tissue specificity and regulation by auxin, cytokinin, and nitrate. Plant J. 2004;37(37):128–138. doi: 10.1046/j.1365-313X.2003.01945.x. [DOI] [PubMed] [Google Scholar]
- 28.Xu G, Huang J, Lei S, Sun X, Li X. Comparative gene expression profile analysis of ovules provides insights into Jatropha curcas L. ovule development. Sci Rep. 2019;9(1):15973. doi: 10.1038/s41598-019-52421-0. [DOI] [PMC free article] [PubMed] [Google Scholar]
- 29.Hwang I, Sheen J, Müller B. Cytokinin signaling networks. Annu Rev Plant Biol. 2012;63(1):353–380. doi: 10.1146/annurev-arplant-042811-105503. [DOI] [PubMed] [Google Scholar]
- 30.Jameson PE, Song J. Cytokinin: a key driver of seed yield. J Exp Bot. 2015;67(3):593–606. doi: 10.1093/jxb/erv461. [DOI] [PubMed] [Google Scholar]
- 31.Li S-M, et al. Cytokinins as central regulators during plant growth and stress response. Plant Cell Rep. 2021;40:271–282. doi: 10.1007/s00299-020-02612-1. [DOI] [PubMed] [Google Scholar]
- 32.Bartrina I, Otto E, Strnad M, Werner T, Schmülling T. Cytokinin Regulates the activity of reproductive meristems, flower organ size, ovule formation, and thus seed yield in Arabidopsis thaliana. Plant Cell. 2011;23(1):69–80. doi: 10.1105/tpc.110.079079. [DOI] [PMC free article] [PubMed] [Google Scholar]
- 33.Cheng C-Y, Mathews DE, Schaller EG, Kieber JJ. Cytokinin-dependent specification of the functional megaspore in the Arabidopsis female gametophyte. Plant J. 2013;73(6):929–940. doi: 10.1111/tpj.12084. [DOI] [PubMed] [Google Scholar]
- 34.Cucinotta M, Colombo L, Roig-Villanova I. Ovule development, a new model for lateral organ formation. Front Plant Sci. 2014 doi: 10.3389/fpls.2014.00117. [DOI] [PMC free article] [PubMed] [Google Scholar]
- 35.Cucinotta M, Manrique S, Cuesta C, Benkova E, Novak O, Colombo L. CUP-SHAPED COTYLEDON1 (CUC1) and CUC2 regulate cytokinin homeostasis to determine ovule number in Arabidopsis. J Exp Bot. 2018;69(21):5169–5176. doi: 10.1093/jxb/ery281. [DOI] [PMC free article] [PubMed] [Google Scholar]
- 36.Altschul SF, Gish W, Miller W, Myers EW, Lipman DJ. Basic local alignment search tool. J Mol Biol. 1990;215:403–410. doi: 10.1016/S0022-2836(05)80360-2. [DOI] [PubMed] [Google Scholar]
- 37.Altschul SF, Madden TL, Schaffer AA, Zhang J, Zhang J, Zhang Z, Miller W, Lipman DJ. Gapped BLAST and PSI-BLAST: a new generation of protein database search programs. Nucleic Acids Res. 1997;25:3389–3402. doi: 10.1093/nar/25.17.3389. [DOI] [PMC free article] [PubMed] [Google Scholar]
- 38.Chenna R, Sugawara H, Koike T, Lopez R, Gibson TJ, Higgins DG, Thompson JD. Multiple sequence alignment with the Clustal series of programs. Nucleic Acids Res. 2003;31(13):3497–3500. doi: 10.1093/nar/gkg500. [DOI] [PMC free article] [PubMed] [Google Scholar]
- 39.Guindon S, Dufayard J-F, Lefort V, Anisimova M, Hordijk W, Gascuel O. New algorithms and methods to estimate maximum-likelihood phylogenies: assessing the performance of PhyML 3.0. Syst Biol. 2010;59(3):307–321. doi: 10.1093/sysbio/syq010. [DOI] [PubMed] [Google Scholar]
- 40.Rozen S. Skaletsky, H (2000) Primer3 on the WWW for general users and for biologist programmers. Methods Mol Biol. 2000;132:365–385. doi: 10.1385/1-59259-192-2:365. [DOI] [PubMed] [Google Scholar]
- 41.Silveira E, Alves-Ferreira M, Guimaraes L, Silva FR, Carneiro VTC. Selection of reference genes for quantitative real-time PCR expression studies in the apomictic and sexual grass Brachiaria brizantha. BMC Plant Biol. 2009;9(1):84. doi: 10.1186/1471-2229-9-84. [DOI] [PMC free article] [PubMed] [Google Scholar]
- 42.Dusi, DMA Hibridização in situ para detecção da expressão de genes em tecidos vegetais (2015) in Manual de Transformação Genética de Plantas, Brasileiro, ACM, Carneiro, VTC. Eds. 2015, Embrapa: Brasilia
- 43.Cai H, Liu L, Huang Y, Zhu W, Qi J, Xi X, Aslam M, Dresselhaus T, Qin Y. Brassinosteroid signaling regulates female germline specification in Arabidopsis. Curr Biol. 2022;32(5):1102–1114. doi: 10.1016/j.cuB.2022.01.022. [DOI] [PubMed] [Google Scholar]
- 44.Mendes MA, Petrella R, Cucinotta M, Vignati E, Gatti S, Pinto SC, Bird DC, Gregis V, Dickinson H, Tucker MR, Colombo L. The RNA-dependent DNA methylation pathway is required to restrict SPOROCYTELESS/NOZZLE expression to specify a single female germ cell precursor in Arabidopsis. Development. 2020 doi: 10.1242/dev.194274. [DOI] [PMC free article] [PubMed] [Google Scholar]
- 45.Hernandez-Lagana E, Mosca G, Mendocilla-Sato E, Pires N, Frey A, Giraldo-Fonseca A, Michaud C, Grossniklaus U, Hamant O, Godin C, Boudaoud A, Grimanelli D, Autran D, Baroux C (2021) Organ geometry channels reproductive cell fate in the Arabidopsis ovule primordium. Elife May 7 (10): e66031. 10.7554/eLife.6603 [DOI] [PMC free article] [PubMed]
- 46.Olmedo-Monfil V, Duran-Figueroa N, Arteaga-Vazquez M, Demesa-Arevalo E, Autran D, Grimanelli D, Slotkin RK, Martienssen RA, Vielle-Calzada J-P. Control of female gamete formation by a small RNA pathway in Arabidopsis. Nature. 2010;464(7288):628–632. doi: 10.1038/nature08828. [DOI] [PMC free article] [PubMed] [Google Scholar]
- 47.Griffiths J, Murase K, Rieu I, Zentella R, Zhang Z, Powers SJ, Gong F, Phillips AL, Hedden P, Sun T, Thomas SG. Genetic characterization and functional analysis of the GID1 gibberellin receptors in Arabidopsis. Plant Cell. 2006;18(12):3399. doi: 10.1105/tpc.106.047415. [DOI] [PMC free article] [PubMed] [Google Scholar]
Associated Data
This section collects any data citations, data availability statements, or supplementary materials included in this article.
Supplementary Materials
Data Availability Statement
The Brachiaria brizantha IPT9 sequences analysed in this study were deposited in the NCBI GenBank database under the accession number MZ724659 and MZ724660. All data generated or analysed during this study are included in this published article (and its supplementary information files).



