Abstract
Severe drug-induced lung injury (DLI) has been reported to be associated with sequential administration of osimertinib, a third-generation tyrosine kinase inhibitor, following a programmed cell death ligand 1 (PD-L1) inhibitor. However, the relationship of sequential treatment with an anti-epidermal growth factor receptor (EGFR) antibody and PD-1 inhibitor with the risk of DLI remains to be elucidated. The present study conducted a retrospective review of the medical records of a total of 179 patients with head and neck cancer who had received treatment with cetuximab and/or a PD-1 inhibitor (nivolumab or pembrolizumab) at Chiba University Hospital (Chiba, Japan) between September 2014 and December 2020. The incidence of pneumonia and the clinical background characteristics of the patients were analyzed. The patients were classified into subgroups for analysis of the outcomes in this study: Patients who had received sequential, but not concurrent, cetuximab and PD-1 inhibitor treatment (Group C+P; n=43); patients who had received cetuximab-containing chemotherapy, but not a PD-1 inhibitor (Group C; n=101); and patients who had received PD-1 inhibitor-containing chemotherapy, but not cetuximab (Group P; n=35). The rates of DLI in the three groups were: Group C+P, 18.6%; Group C, 7.9%; and Group P, 11.4%. Prior use of ICI was not associated with any increase in the risk of DLI. DLI is seen frequently in patients receiving sequential PD-1 inhibitor and anti-EGFR antibody therapy.
Keywords: drug-induced lung injury, pneumonitis, PD-1 inhibitor, nivolumab, pembrolizumab, cetuximab, head and neck cancer
Introduction
Drug-induced lung injury (DLI) is a condition characterized by inflammation, and eventual fibrosis, of the interstitium of the lungs caused by administration of drugs (1). Severe DLI has been reported to occur at a particularly high frequency in patients receiving sequential treatment with osimertinib following administration of a programmed cell death ligand 1 (PD-L1) inhibitor (2). However, the relationship of sequential treatment with an anti-epidermal growth factor receptor (EGFR) antibodies and PD-L1 blocker with the incidence of DLI remains to be elucidated. The prognosis and rates of continuation of the anticancer therapy treatment vary greatly among patients developing DLI and the efficacy of steroid therapy to treat the DLI has not yet been established. However, in general clinical practice, discontinuation of the causative agent and/or steroid treatment are widely used in patients diagnosed as having significant DLI (3). The efficacy of treatment response to treatment of DLI is known to vary depending on its clinical pattern. In general, the diffuse alveolar damage (DAD) pattern is poorly responsive to steroids, whereas steroid therapy appears to be more effective in cases showing the organizing pneumonia (OP) pattern and somewhat less effective in cases with the non-specific interstitial pneumonia (NSIP) or hypersensitivity pneumonitis (HP) pattern (4). Therefore, in actual clinical practice, both the treatment response of DLI and the possibility of continuation of anticancer therapy in patients developing DLI differ depending on the clinical pattern of the DLI. If treatment resistance of DLI is expected, prompt and aggressive treatment is warranted; if the DLI is likely to be mild, however, careful continuation of the current anticancer treatment may be possible.
Cetuximab, an anti-EGFR monoclonal antibody, and immune checkpoint inhibitors are often used in the treatment of head and neck cancer (HNC), although not in the same treatment line. Cetuximab is often used in combination with cytotoxic anticancer drugs or radiotherapy, and there are numerous reports of its efficacy in patients with HNC (5,6). On the other hand, immune checkpoint inhibitors are widely used as second- or further-line treatment (7). Immune checkpoint inhibitor therapy has also been shown to be highly effective when used in combination with cytotoxic anticancer agents as first-line therapy (8). Meta-analyses have shown that the incidence of lung injury is ~3% in patients receiving PD-1 inhibitor therapy (9,10), and that the development of DLI could necessitate treatment discontinuation; the DLI associated with ICI therapy frequently assumes a relatively less common, but more severe form of DAD (11). The purpose of the present study was to determine the incidence of DLI in HNC patients treated receiving treatment with cetuximab and PD-1 inhibitors. It also attempt to provide useful information for HNC patients receiving chemotherapy by providing a clinical classification of DLI.
Materials and methods
Patients
The present study performed a retrospective review of the medical records of all patients with HNC who received treatment with cetuximab and/or PD-1 inhibitors (nivolumab or pembrolizumab) at Chiba University Hospital between September 2014 and December 2020. The incidence and clinical background characteristics of the patients who developed DLI were analyzed (age, sex, smoking history, primary site, number of doses administered of the PD-1 inhibitor and cetuximab, rate of combined use of cetuximab with paclitaxel, rate of use of radiation therapy for the head and neck region or the lungs).
Examination of drug-induced lung injury (DLI)
DLI was defined as any new lung lesion developing during or within 60 days after the last dose of treatment with a PD-1 inhibitor and/or cetuximab; patients with other pulmonary diseases (e.g., infection, pulmonary congestion) diagnosed based on the medical records (clinical course, radiological findings, laboratory findings, microbiological findings, etc.) were excluded from this analysis (1). All the chest computed tomographic (CT) images of the patients who were treated for HNC with cetuximab and/or a PD-1 inhibitor were reviewed independently by three pulmonologists (MA, SK and NS), and interpreted by consensus among the three pulmonologists. In the case of discrepancies, the three examiners reviewed the images together to finalize the diagnosis by consensus. Based on the 2013 ATS guideline, DLI was classified into the following patterns according to the CT findings: DAD, NSIP, OP, or HP (12).
Study design
The present study was a retrospective study conducted to analyze the incidence of DLI and laboratory findings in HNC patients who had received cetuximab and/or PD-1 inhibitor therapy. Differences in the clinical characteristics of the patients with and without DLI were also analyzed. The present study was reviewed and approved by the institutional review board of graduate school of medicine, Chiba University (approval number 3839). The study is registered in the University Hospital Medical Information Network (UMIN000046895).
Statistical analysis
Age of patients and number of administration of drugs were presented as mean ± SD (Table I, Table II, Table III). All analyses were performed using the statistical software SPSS 26.0 (SPSS Inc.; IBM Corp.). One-way ANOVA and Dunnett's test were used to compare the means of the three groups. When equal variances were statistically confirmed, unpaired Student's t-test was used to analyze the comparison of the means of the two groups. When equal variances were not statistically confirmed, Mann-Whitney U test was used. In the analysis for contingency table, χ2 was used. When a contingency table has an expected count ≤5 in ≥20% of the cells, Fisher's exact test was used. For comparisons of proportions of three or more groups, the Bonferroni correction was performed after the Z-test. Univariate and multivariate analyses were performed to identify factors associated with the risk of DLI. Factors identified as being significant by univariate analysis with P-values of less than 0.05 were entered into the model for multivariate logistic regression analysis. P<0.05 was considered to indicate a statistically significant difference.
Table I.
Clinical background characteristics of the patients.
| Characteristic | Group C+P (N=43) | Group C (N=101) | Group P (N=35) | P-value, among Group C+P, Group C, and Group P | P-value, Group C vs. Group C+P | P-value, Group P vs. Group C+P |
|---|---|---|---|---|---|---|
| Mean ± SD age, | 60.9±9.6 | 68.2±9.1 | 68.0±9.2 | <0.01a | <0.01b | <0.01b |
| years (range) | (40–78) | (42–84) | (40–80) | |||
| Sex, male/female | 38/5 | 82/19 | 31/4 | n.s.c | ||
| Smoking, smoker/ever smoked/never smoked | 33/5/5 | 47/33/21 | 14/13/8 | <0.05c | <0.05c | <0.05c |
| Primary cancer | 2/10/5/2/ | 0/41/27/ | 1/6/4/0/ | |||
| site, nasopharynx/ | 6/2/2/1/3/ | 10/3/4/2/ | 7/1/2/2/ | |||
| oropharynx/ | 1/1/8 | 2/2/0/2/8 | 4/1/0/7 | |||
| hypopharynx/ | ||||||
| larynx/tongue/ | ||||||
| buccal mucosa/ | ||||||
| maxillary sinus/ | ||||||
| mandible/parotid | ||||||
| gland/tonsils/ear | ||||||
| canal/other | ||||||
| Primary cancer site, | 17 | 68 | 11 | <0.05c | <0.05c | n.s.c |
| pharynx | (39.5%) | (67.3%) | (31.4%) | |||
| Number of | 11.8 | n/a | 7.1 | 0.04d | ||
| administrations of | (1–54) | (1–23) | ||||
| the PD-1 inhibitor, mean (range) | ||||||
| Number of | 16.6 | 7.9 | n/a | <0.01d | ||
| administrations | (1–78) | (1–50) | ||||
| of cetuximab, | ||||||
| mean (range) | ||||||
| Combined use of | 24 | 3 | n/a | <0.01e | ||
| paclitaxel with | (55.8%) | (3.0%) | ||||
| cetuximab | ||||||
| Head and neck | 28 | 91 | (88.6%) | <0.05c | <0.05c | <0.05c |
| lesion radiation | (65.1%) | (90.0%) | ||||
| Lung radiation | 3 (7.0%) | 0 (0%) | 1 (2.9%) | n.s.c | ||
| Incidence of | 8 | 8 | 4 | n.s.c | ||
| pneumonitis | (18.6%) | (7.9%) | (11.4%) |
Group C+P consisted of patients who received both cetuximab and a PD-1 inhibitor. Group C consisted of patients who received cetuximab, but not a PD-1 inhibitor. Group P consisted of patients who received a PD-1 inhibitor, but not cetuximab.
One-way ANOVA.
Dunnett's test.
Z-test with Bonferroni correction.
Unpaired Student's t-test.
Fisher's exact test.
Table II.
Clinical background characteristics of the patients who received in whom both cetuximab and a PD-1 inhibitor.
| Incidence of drug-induced lung injury | |||
|---|---|---|---|
|
|
|||
| Clinical characteristic | (+) n=8 | (−) n=35 | Statistical significance |
| Mean ± SD age, years | 63.7±7.9 | 59.0±10.8 | n.s.a |
| Sex, male/female | 6/2 | 32/3 | n.s.b |
| Primary cancer site, pharynx | 1 (12.5%) | 16 (45.7%) | n.s.b |
| Mean ± SD number of administrations of the PD-1 inhibitor | 19.1±15.5 | 10.1±10.1 | P=0.047a |
| Median number of administrations of cetuximab (range) | 22.5 (9–78) | 13.3±10.611 (1–52) | P=0.015c |
| Combined use of paclitaxel with cetuximab | 5 (62.5%) | 19 (54.3%) | n.s.b |
| PD-1 inhibitor administration prior to cetuximab administration | 3 (37.5%) | 12 (34.3%) | n.s.b |
Unpaired Student's t-test,
Fisher's exact test,
Mann-Whitney U test.
Table III.
Differences in the clinical background characteristics between patients who received cetuximab and a PD-1 inhibitor in different orders.
| Clinical characteristic | PD-1 inhibitor administration prior to cetuximab administration n=15 | Cetuximab administration prior to PD-1 inhibitor administration n=28 | P-value |
|---|---|---|---|
| Mean ± SD age, years | 61.0±11.6 | 60.9±8.6 | n.s.a |
| Sex, male/female | 13/2 | 25/3 | n.s.b |
| Smoking, smoker/ever smoked/never smoked | 10/2/3 | 23/3/2 | n.s.b |
| Primary cancer site, pharynx | 7 (46.7%) | 10 (35.7%) | n.s.c |
| Mean ± SD number of administrations of the PD-1 inhibitor | 10.8±10.2 | 12.3±12.5 | n.s.a |
| Mean ± SD number of administrations of cetuximab | 14.6±18.3 | 17.7±14.9 | n.s.a |
| Combined use of paclitaxel with cetuximab | 13 (86.7%) | 11 (39.3%) | 0.004b |
| Head and neck lesion radiation | 9 (60.0%) | 19 (67.9%) | n.s.c |
| Lung radiation | 1 (6.7%) | 2 (7.1%) | n.s.b |
| Incidence of pneumonitis | 3 (20.0%) | 5 (17.9%) | n.s.b |
| Distribution of the clinical patterns of drug-induced lung injury, diffuse alveolar damage/non-specific interstitial pneumonia/organizing pneumonia/hypersensitivity pneumonitis | 1/0/2/0 | 1/2/2/0 | n.s.b |
Unpaired Student's t-test,
Fisher's exact test,
χ2 test.
Results
Frequency of occurrence of DLI
A total of 179 patients with head and neck cancer received treatment with cetuximab and/or a PD-1 inhibitor at Chiba University Hospital during the study period. The patients were divided into three subgroups, as follows, and their outcomes compared: Patients who had received sequential, not concurrent, treatment with cetuximab and a PD-1 inhibitor (Group C+P; n=45); patients who had received cetuximab, but not a PD-1 inhibitor (Group C; n=101); and patients who had received a PD-1 inhibitor, but not cetuximab (Group P; n=35; Table I). The medical condition was accurately assessed and standard medical treatment was provided. Of the 20 patients with DLI, three were able to continue treatment without withdrawal, seven required steroid treatment and the remaining 10 showed improvement only with withdrawal.
Of the 43 patients in Group C+P, one patient received pembrolizumab and the remaining 42 received nivolumab. All 35 patients of Group P received nivolumab. The median age of Group C+P was significantly lower compared with that of the other two groups. Combined use of paclitaxel with cetuximab was more frequent in Group C+P than in Group C. The rates of occurrence of DLI in Group C+P, Group C, and Group P were 18.6, 7.9 and 11.4%, respectively.
The present study analyzed the background characteristics of the patients in Group C+P (Table II). The frequency of the pharynx as primary cancer site was lower and the number of doses of cetuximab and PD-1 inhibitor administered were higher in the patients who developed DLI than in those who did not. There was no correlation between the frequency of DLI and the sequence of administration of cetuximab and PD-1 inhibitor (Table III).
Patient factors associated with DLI
Univariate analysis identified sequential cetuximab and PD-1 inhibitor therapy as a predictor of the development of DLI, while use of radiotherapy was associated with a reduced risk of DLI in the patients with HNC. Multivariate analysis failed to identify any factors as being significantly associated with the risk of DLI (Table IV).
Table IV.
Factors associated with the risk of drug-induced lung injury.
| Univariate analysis | Multivariate analysis | |||
|---|---|---|---|---|
|
|
|
|||
| Risk factor | OR (95%CI) | P-value | OR (95%CI) | P-value |
| Aged >66.4 yearsa | 2.42 (0.62-9.45) | 0.20 | ||
| Male sex | 0.82 (0.17-4.03) | 0.81 | ||
| Smoking | ||||
| Smoker | 0.74 (0.22-2.52) | 0.63 | ||
| Never-smoked | 1.66 (0.42-6.61) | 0.47 | ||
| Primary cancer site, pharynx | 0.17 (0.02-1.53) | 0.11 | ||
| Head and neck lesion radiationb | 0.20 (0.06-0.71) | 0.01 | 0.29 (0.08-1.10) | 0.07 |
| Sequential chemotherapy with cetuximab and PD-1 inhibitorb | 4.25 (1.23-14.7) | 0.02 | 2.99 (0.79-11.2) | 0.11 |
| Cetuximab-containing chemotherapy without PD-1 inhibitor | 2.53 (0.31-20.5) | 0.38 | ||
| PD-1 inhibitor-containing therapy without cetuximab | 2.39 (0.67-8.48) | 0.18 | ||
| Number of administrations of cetuximab >7c | 3.64 (0.93-14.2) | 0.06 | ||
| Number of administrations of the PD-1 inhibitor >5c | 3.06 (0.88-10.6) | 0.08 | ||
Mean age.
Possible confounding factors.
Median number of administration. OR, odds ratio; CI, confidence interval.
Clinical types of DLI and prognosis
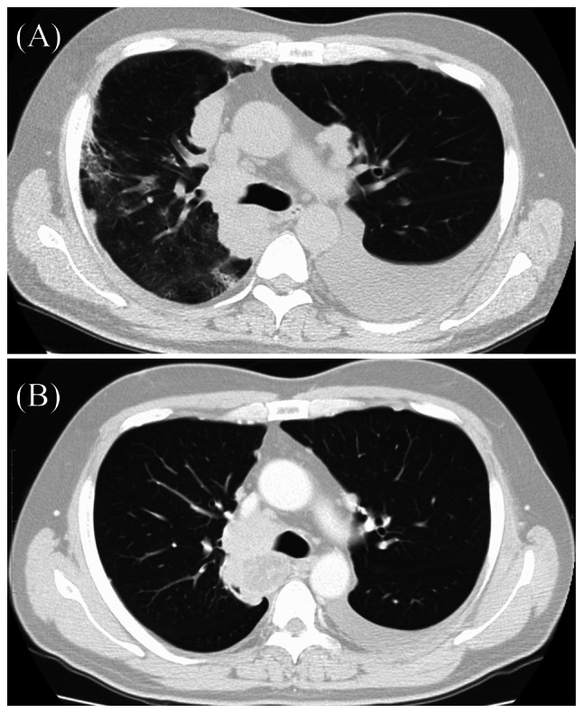
The present study determined the clinical types of DLI according to the findings on chest CT (Table V and Fig. 1). In Group C+P and Group C, DAD was observed in two patients each. The cancer treatment was discontinued in all four patients with pneumonia of DAD, and two of them succumbed to pneumonia. By contrast, the pattern of DLI in all the patients of Group P was OP. In regard to the prognosis in patients with DLI, chemotherapy was discontinued and best supportive care (BSC) initiated in 6 out of the 8 patients in Group C+P and all patients in Group P. However, the cancer therapy could be continued despite the development of DLI in ~50% of the patients of Group C. A case of DLI in the C+P group, classified as DAD, is shown in Fig. 2.
Table V.
Clinical types and outcomes of DLI.
| Clinical type and outcome | Group C+P n=8 | Group C n=8 | Group P n=4 |
|---|---|---|---|
| Clinical classification, DAD/NSIP/OP/HP | 2/2/4/0 | 2/0/5/1 | 0/0/4/0 |
| After occurrence of DLI | |||
| Continuation of the anticancer treatment | 0 (0%) | 4 (50%) | 0 (0%) |
| Best supportive care due to disease progression | 1 (12.5%) | 0 (0%) | 2 (50%) |
| Best supportive care due to the development of DLI | 5 (62.5%) | 3 (37.5%) | 2 (50%) |
| Start of new regimen | 2 (25%) | 1 (12.5%) | 0 (0%) |
Group C+P consisted of patients who received both cetuximab and a PD-1 inhibitor. Group C consisted of patients who received cetuximab, but not a PD-1 inhibitor. Group P consisted of patients who received a PD-1 inhibitor, but not cetuximab. DLI, drug-induced lung injury; DAD, diffuse alveolar damage; NSIP, non-specific interstitial pneumonia; OP, organizing pneumonia; HP, hypersensitivity pneumonitis.
Figure 1.

Number of patients with drug-induced lung injury and their clinical types. Group C+P consisted of patients who received both cetuximab and a PD-1 inhibitor. Group C consisted of patients who received cetuximab, but not a PD-1 inhibitor. Group P consisted of patients who received a PD-1 inhibitor, but not cetuximab. HP (dotted bar), hypersensitivity pneumonitis; OP (white bars), organizing pneumonia; NSIP (gray bars), non-specific interstitial pneumonia; DAD (black bars), diffuse alveolar damage.
Figure 2.

CT image in a patient with drug-induced lung injury. (A) Image at the onset of Pneumonitis. Pneumonitis with DAD pattern in a 58-year-old man demonstrated diffuse ground-glass and consolidation after receiving 8 doses of nivolumab and then 13 doses of cetuximab. Steroid treatment brought him lull, but further anticancer drug treatment could not be continued. (B) Image taken 4 months before the onset of pneumonitis showed no evidence of pneumonia. CT, compute tomography; DAD, diffuse alveolar damage.
Discussion
In patients with HNC, a high incidence of DLI was observed in patients who received sequential cetuximab and PD-1 inhibitor therapy. A expert opinion of European Society for Medical Oncology and a guideline of American Society of Clinical Oncology also comment that DLI due to ICI is rare but can be serious (13,14). DLI due to ICI should be widely known to clinicians administering ICIs. The clearly higher rate of DLI in patients receiving treatment with both an immune checkpoint inhibitor and cetuximab as compared with that in patients receiving cetuximab alone is a very important finding clinically. Symptoms of lung injury vary, but some typical symptoms include easy fatigability, shortness of breath, dry cough, chest pain, fever and skin rash. (15,16). In patients with DLI, it is not only important to investigate the symptoms in detail, but also to examine the factors associated with the development of the lung injury (e.g., history of radiation therapy and concomitant autoimmune disease) (17). Just as administration of osimertinib following ICI therapy has been reported as being problematic in patients with non-small cell lung cancer, the present study showed that it is important to be aware of the high risk of DLI associated with sequential anti-EGFR antibody and ICI treatment, regardless of the sequence in which the two drugs are administered, in patients with HNC. Attention must also be paid to the previous drug use history. There have been numerous reports of DLI in patients treated with cetuximab alone and a PD-1 inhibitor alone. Until now, evaluation of DLI has been conducted mostly in relation to the use of any drug used alone. In recent years, however, combinations of drugs with different mechanisms of action (cytotoxic anticancer drugs, molecular targeted therapies and immune checkpoint inhibitors) have come to be widely used, including as first-line therapies. Use of drug combinations, even as first-line therapy, has become rather common for patients HNC (8). Therefore, DLI caused by combined use of drugs also needs to be properly evaluated. As demonstrated in the present study, use of drug combinations even sequentially, rather than simultaneously, can increase the risk of lung injury, although this increase in risk was not shown to be statistically significant. The incidence of DLI in Group C+P (18.6%) appeared to be the result of occurrence of DLI with either a PD-1 inhibitor or cetuximab used alone (Group C, 7.9%; Group P, 11.4%). It was hypothesized that the additive number of the incidence of DLI in Group C and P might be observed in Group C+P. As shown in Table II, a significantly higher cumulative dose of each drug had been administered in cases of Group C+P that developed DLI. This may simply indicate that the probability of DLI increases as the number of doses administered of a drug increases. Although there was a significant difference in the mean number of doses, as shown in Table II, the number of cetuximab doses administered in the DLI group varied in the range of 9–78 (1–52 in the non-DLI group) and the number of PD-1 inhibitor doses administered varied in the range of 3–42 (2–54 in the non-DLI group). These ranges were so broad that it was difficult to determine a safe threshold for the number of doses for either drug. In the analyses to identify significant factors, the number of doses administered of either drug was not extracted as a significant factor, whereas sequential use of the two drugs was.
Therefore, in patients with HNC, it is important to pay closer attention to the risk of development of DLI as the number of doses administered of cetuximab or an ICI increase, especially in patients with a previous history of use of either drug. In the present study, pharynx as the primary site of the HNC was less frequent in patients who developed DLI. By contrast, in Group C, in which the incidence of DLI was low, pharyngeal cancer was so common that it accounted for 60% of all the cases. A possible reason for the low DLI in the pharyngeal cancer cases might be the high number of pharyngeal cancers in the Group C cases with low DLI. It is valuable to perform CT at defined intervals to assess patients for the development of pneumonia. However, the present study was a retrospective study and there was no fixed interval between the CT examinations. In the future, evaluation of DLI by CT performed at fixed intervals would be desirable.
Of the patients included in the present study, there were 20 cases of DLI. In 50% of these cases (10 cases), the development of DLI necessitated discontinuation of the anticancer treatment and initiation of BSC. It is difficult to determine if the development of DLI might directly worsen the survival prognosis in patients with advanced cancer, because the survival prognosis is influenced by a variety of factors. In fact, the estimated mean survival durations from the date of completion of the latter of the PD-1 inhibitor and cetuximab treatment were 572±128 and 843±135 days in patients with and without DLI, respectively and this difference was not statistically significant (P=0.692, log-rank test). However, most cases of DLI required a change of treatment and >50% of the cases could receive only BSC with only a few patients able receive another new treatment (Table V). Therefore, the influence of the development of DLI on the survival prognosis and quality of life of patients with advanced cancer is undeniable. Next, the present study attempted to analyze the factors associated with the development of DLI in the patients, but unfortunately, it was unable to identify any significant factors associated with the risk of DLI. The number of HNC patients in Group C+P who received radiation therapy was significantly lower compared with that in the other two groups (28/43 vs. 122/136; P<0.01; χ2 test). Based on the foregoing, radiation to HNC and sequential chemotherapy with cetuximab and PD-1 inhibitor are likely to be confounding factors. It is also noteworthy that the prognosis of the patients differed according to the clinical pattern of DLI. A total of 20% of patients who received both cetuximab and a PD-1 inhibitor, as well as those who used cetuximab, developed the DAD pattern of DLI. It is possible that cetuximab use was strongly associated with DAD, but there have been no reports to date of cetuximab being profoundly associated with DAD. However, there have been reports of a poor association between ICI and DAD (18,19). It was hypothesized that this might be due to the weak association between ICI use alone and DAD, as previously reported, which is only an estimation and not supported by statistical analysis. DAD is considered as being associated with a poor prognosis. In fact, all four patients who developed DAD required treatment discontinuation and two of the patients succumbed as a direct result of DLI. Therefore, the risk of development of DLI should be clearly understood in HNC patients receiving therapy with both a PD-1 inhibitor and cetuximab. However, in the cases with the OP pattern of DLI, treatment discontinuation was necessitated in only 30.7% (4/13) of patients and in 46.2% (6/13) of patients, the treatment could be completed or the next line of treatment could be started. In all the four patients of Group C in whom discontinuation of the anticancer treatment was necessitated, the common terminology criteria for adverse events grade of DLI was 1, with no associated clinical symptoms. These findings are consistent with previous reports of the usefulness of clinical classification of DLI for determining a patients' prognosis and subsequent course of treatment (20,21).
Consistent with the findings of the present study, Matsuo et al (22) also reported a high incidence of DLI among patients who were treated with cetuximab and a PD-1 inhibitor. Especially, DLI occurred more frequently in patients who received PD-1 inhibitor monotherapy followed by cetuximab-containing chemotherapy than in patients who received other regimens. As mentioned earlier, in the case of sequential administration of osimertinib and an ICI, the sequence of administration was critical for determining the risk of development of drug-induced lung damage. The present study, on the other hand, found that the sequence in which the PD-1 inhibitor and cetuximab were administered had no influence on the frequency of DLI; this could be because the number of cases was too small.
The present study reviewed the CT images of all the cases retrospectively and found that in numerous cases of cetuximab use without a PD-1 inhibitor, the evidence of DLI visualized on the CT images was not considered as a clinically significant problem and treatment was continued, in some cases, without the CT findings of DLI having been detected at all. Therefore, it may be difficult to evaluate the exact frequency of occurrence and the influence of the sequence of administration of the culprit drugs by examining only those cases in which the treatment was interrupted or terminated due to the obvious development of lung injury.
It is not uncommon for dysphagia to occur during or following treatment in patients with cancer in the head and neck region (23,24). Dysphagia leads to undernutrition, weight loss and prolonged unnatural food intake (tube feeding) and is a major risk factor for aspiration. Therefore, it is very important to clearly distinguish between DLI and aspiration pneumonia in these patients in order to provide appropriate treatment.
The present study had some limitations. It was a single-center study, which could have introduced bias in relation to the patient backgrounds. In particular, cetuximab is used more often in combination with radiotherapy. The combination of cetuximab and radiotherapy is now less commonly used because of its limited efficacy (25). Second, CT evaluations were not performed at defined intervals, but rather at the discretion of the attending physician, which may have resulted in asymptomatic lung damage having been overlooked. However, CT examinations are usually performed and evaluated once every ~6 months during follow-up after treatment and during treatment the intervals are even shorter, so that the lack of a defined interval between CT examinations may have had little impact on the detection rate of DLI. Third, the present study did not perform bronchoalveolar lavage fluid examination to diagnose DLI. Although it is known to be useful in differentiating aspiration pneumonia from bacterial pneumonia (26), it was difficult to aggressively perform these tests in advanced cancer patients who were not necessarily in a conducive physical condition. The present study showed a high prevalence of DLI associated with sequential use of anti-EGFR antibodies and ICIs, but it may have limited clinical impact, as this drug combination has so far been used only for a limited number of types of cancer. In view of future expansion of the indications of ICI therapy, it is suggested that the finding of the present study serves as potentially important information for the treatment of types of cancer of other organs in the future. In fact, both anti-EGFR antibodies and ICIs have already been used in micro satellite instability-high or tumor mutation burden-high cases of colorectal cancer. In addition, the mean age was statistically significantly lower in Group C+P (P<0.01; unpaired t-test) in Table I, although the reason was unclear. It was hypothesized that the C+P group would tend to be younger because it is a group of cases that can tolerate multiple treatments. That is, cases with good general health and few complications can tolerate multiple treatments. On the other hand, older patients are presumed to have more complications, making it difficult for them to progress to second- and third-line treatment, although there were no results that were accompanied by statistically significant differences. To prove this hypothesis, it is necessary to unify attending physician judgment in selecting regimens that include cetuximab and nivolumab. This is an important issue for future studies.
There are a number of reports on the occurrence of DLI with single agents (13,27). Furthermore, as multiple drugs are increasingly used in combination, there are more reports on the occurrence of DLI in such cases (28–30). However, DLI with anticancer drugs used at different times rather than simultaneously has not yet been adequately studied. A report of DLI with osimertinib and ICI (2), as noted, indicates that future attention should be paid to DLI with cetuximab and an ICI as well. Matsuo et al (22) reported similar results; in addition, the present study classified clinical types of DLI and showed its frequency of occurrence and the effect on prognosis or treatment strategy. This will be useful for patient management. Unfortunately, the present study was unable to find differences in the frequency of DLI occurrence due to differences in the order of drug administration. It is hoped that the accumulation of cases will clarify this issue. In conclusion, DLI is relatively more common in patients who receive sequential therapy with cetuximab and a PD-1 inhibitor. Furthermore, DLI in these patients often assumes a serious pattern (DAD). The sequence in which the two classes of drugs were administered seemed to have no influence on the risk of DLI according to the analysis in the present study. Further accumulation of cases is required.
Acknowledgements
Not applicable.
Glossary
Abbreviations
- PD-L1
programmed cell death ligand 1
- DLI
drug-induced lung injury
- EGFR
epidermal growth factor receptor
- CT
compute tomography
- DAD
diffuse alveolar damage
- NSIP
nonspecific interstitial pneumonia
- OP
organizing pneumonia
- HP
hypersensitivity pneumonitis
- HNC
head and neck cancer
- BSC
best supportive care
Funding Statement
Funding: No funding was received.
Availability of data and materials
The datasets used and/or analyzed during the current study are available from the corresponding author on reasonable request.
Authors' contributions
MaA, MiA and YT conceived and designed the study, and confirm the authenticity of all the raw data. MaA wrote the paper. SK and NS evaluated CT images. IO, KT, CI, HS, TS, KU, and TH analyzed the clinical data and diagnosed the relation between drug and diseases. YT critically revised the manuscript. All authors were involved in the interpretation of the data and preparation of the manuscript. All authors read and approved the final manuscript.
Ethics approval and consent to participate
The present retrospective study was approved by the Ethical Committee of the Graduate School of Medicine, Chiba University (approval no. 3839) and conducted in accordance with the ethical guidelines for medical research in humans in Japan.
The present study did not involve any invasion or intervention on the patient and used only information such as medical information. A number of the patients had either succumbed or had completed their hospital visits. The authors publicly announced the research plan and guaranteed the opportunity to refuse as much as possible. The ethical committee of the Graduate School of Medicine, Chiba University permitted this opt-out method.
Patient consent for publication
Not applicable.
Competing interests
The authors declare that they have no competing interests.
References
- 1.Kubo K, Azuma A, Kanazawa M, Kameda H, Kusumoto M, Genma A, Saijo Y, Sakai F, Sugiyama Y, Tatsumi K, et al. Consensus statement for the diagnosis and treatment of drug-induced lung injuries. Respir Investig. 2013;51:260–277. doi: 10.1016/j.resinv.2013.09.001. [DOI] [PubMed] [Google Scholar]
- 2.Oxnard GR, Yang JC, Yu H, Kim SW, Saka H, Horn L, Goto K, Ohe Y, Mann H, Thress KS, et al. TATTON: A multi-arm, phase Ib trial of osimertinib combined with selumetinib, savolitinib, or durvalumab in EGFR-mutant lung cancer. Ann Oncol. 2020;31:507–516. doi: 10.1016/j.annonc.2020.01.013. [DOI] [PubMed] [Google Scholar]
- 3.Petrelli F, Signorelli D, Ghidini M, Ghidini A, Pizzutilo EG, Ruggieri L, Cabiddu M, Borgonovo K, Dognini G, Brighenti M, et al. Association of steroids use with survival in patients treated with immune checkpoint inhibitors: A systematic review and meta-analysis. Cancers (Basel) 2020;12:546. doi: 10.3390/cancers12030546. [DOI] [PMC free article] [PubMed] [Google Scholar]
- 4.Bradley B, Branley HM, Egan JJ, Greaves MS, Hansell DM, Harrison NK, Hirani N, Hubbard R, Lake F, Millar AB, et al. Interstitial lung disease guideline: The British thoracic society in collaboration with the thoracic society of Australia and New Zealand and the Irish thoracic society. Thorax. 2008;63((Suppl 5)):v1–v58. doi: 10.1136/thx.2008.101691. [DOI] [PubMed] [Google Scholar]
- 5.Bonner JA, Harari PM, Giralt J, Azarnia N, Shin DM, Cohen RB, Jones CU, Sur R, Raben D, Jassem J, et al. Radiotherapy plus cetuximab for squamous-cell carcinoma of the head and neck. N Engl J Med. 2006;354:567–578. doi: 10.1056/NEJMoa053422. [DOI] [PubMed] [Google Scholar]
- 6.Licitra L, Mesia R, Rivera F, Remenár É, Hitt R, Erfán J, Rottey S, Kawecki A, Zabolotnyy D, Benasso M, et al. Evaluation of EGFR gene copy number as a predictive biomarker for the efficacy of cetuximab in combination with chemotherapy in the first-line treatment of recurrent and/or metastatic squamous cell carcinoma of the head and neck: EXTREME study. Ann Oncol. 2011;22:1078–1087. doi: 10.1093/annonc/mdq588. [DOI] [PMC free article] [PubMed] [Google Scholar]
- 7.Harrington KJ, Ferris RL, Blumenschein G, Jr, Colevas AD, Fayette J, Licitra L, Kasper S, Even C, Vokes EE, Worden F, et al. Nivolumab versus standard, single-agent therapy of investigator's choice in recurrent or metastatic squamous cell carcinoma of the head and neck (CheckMate 141): Health-related quality-of-life results from a randomised, phase 3 trial. Lancet Oncol. 2017;18:1104–1115. doi: 10.1016/S1470-2045(17)30421-7. [DOI] [PMC free article] [PubMed] [Google Scholar]
- 8.Burtness B, Harrington KJ, Greil R, Soulières D, Tahara M, de Castro G, Jr, Psyrri A, Basté N, Neupane P, Bratland Å, et al. Pembrolizumab alone or with chemotherapy versus cetuximab with chemotherapy for recurrent or metastatic squamous cell carcinoma of the head and neck (KEYNOTE-048): A randomised, open-label, phase 3 study. Lancet. 2019;394:1915–1928. doi: 10.1016/S0140-6736(19)32591-7. [DOI] [PubMed] [Google Scholar]
- 9.Nishino M, Giobbie-Hurder A, Hatabu H, Ramaiya NH, Hodi FS. Incidence of programmed cell death 1 inhibitor-related pneumonitis in patients with advanced cancer: A systematic review and meta-analysis. JAMA Oncol. 2016;2:1607–1616. doi: 10.1001/jamaoncol.2016.2453. [DOI] [PubMed] [Google Scholar]
- 10.Khunger M, Rakshit S, Pasupuleti V, Hernandez AV, Mazzone P, Stevenson J, Pennell NA, Velcheti V. Incidence of pneumonitis with use of programmed death 1 and programmed death-ligand 1 inhibitors in non-small cell lung cancer: A systematic review and meta-analysis of trials. Chest. 2017;152:271–281. doi: 10.1016/j.chest.2017.04.177. [DOI] [PubMed] [Google Scholar]
- 11.Saito Y, Sasaki S, Oikado K, Tominaga J, Sata M, Sakai F, Kato T, Iwasawa T, Kenmotsu H, Kusumoto M, et al. Radiographic features and poor prognostic factors of interstitial lung disease with nivolumab for non-small cell lung cancer. Cancer Sci. 2021;112:1495–1505. doi: 10.1111/cas.14710. [DOI] [PMC free article] [PubMed] [Google Scholar]
- 12.Rochester CL, Vogiatzis I, Holland AE, Lareau SC, Marciniuk DD, Puhan MA, Spruit MA, Masefield S, Casaburi R, Clini EM, et al. An official American thoracic society/European respiratory society policy statement: Enhancing implementation, use, and delivery of pulmonary rehabilitation. Am J Respir Crit Care Med. 2016;192:1373–1386. doi: 10.1164/rccm.201510-1966ST. [DOI] [PubMed] [Google Scholar]
- 13.Conte P, Ascierto PA, Patelli G, Danesi R, Vanzulli A, Sandomenico F, Tarsia P, Cattelan A, Comes A, De Laurentiis M, et al. Drug-induced interstitial lung disease during cancer therapies: Expert opinion on diagnosis and treatment. ESMO Open. 2022;7:100404. doi: 10.1016/j.esmoop.2022.100404. [DOI] [PMC free article] [PubMed] [Google Scholar]
- 14.Brahmer JR, Lacchetti C, Schneider BJ, Atkins MB, Brassil KJ, Caterino JM, Chau I, Ernstoff MS, Gardner JM, Ginex P, et al. Management of immune-related adverse events in patients treated with immune checkpoint inhibitor therapy: American society of clinical oncology clinical practice guideline. J Clin Oncol. 2018;36:1714–1768. doi: 10.1200/JCO.2017.77.6385. [DOI] [PMC free article] [PubMed] [Google Scholar]
- 15.Rossi SE, Erasmus JJ, McAdams HP, Sporn TA, Goodman PC. Pulmonary drug toxicity: Radiologic and pathologic manifestations. Radiographics. 2000;20:1245–1259. doi: 10.1148/radiographics.20.5.g00se081245. [DOI] [PubMed] [Google Scholar]
- 16.Ohnishi H, Yokoyama A, Yasuhara Y, Watanabe A, Naka T, Hamada H, Abe M, Nishimura K, Higaki J, Ikezoe J, Kohno N. Circulating KL-6 levels in patients with drug induced pneumonitis. Thorax. 2003;58:872–875. doi: 10.1136/thorax.58.10.872. [DOI] [PMC free article] [PubMed] [Google Scholar]
- 17.Camus P, Fanton A, Bonniaud P, Camus C, Foucher P. Interstitial lung disease induced by drugs and radiation. Respiration. 2004;71:301–326. doi: 10.1159/000079633. [DOI] [PubMed] [Google Scholar]
- 18.Balaji A, Hsu M, Lin CT, Feliciano J, Marrone K, Brahmer JR, Forde PM, Hann C, Zheng L, Lee V, et al. Steroid-refractory PD-(L)1 pneumonitis: Incidence, clinical features, treatment, and outcomes. J Immunother Cancer. 2021;9:e001731. doi: 10.1136/jitc-2020-001731. [DOI] [PMC free article] [PubMed] [Google Scholar]
- 19.Chuzi S, Tavora F, Cruz M, Costa R, Chae YK, Carneiro BA, Giles FJ. Clinical features, diagnostic challenges, and management strategies in checkpoint inhibitor-related pneumonitis. Cancer Manag Res. 2017;9:207–213. doi: 10.2147/CMAR.S136818. [DOI] [PMC free article] [PubMed] [Google Scholar]
- 20.Travis WD, Matsui K, Moss J, Ferrans VJ. Idiopathic nonspecific interstitial pneumonia: Prognostic significance of cellular and fibrosing patterns: Survival comparison with usual interstitial pneumonia and desquamative interstitial pneumonia. Am J Surg Pathol. 2000;24:19–33. doi: 10.1097/00000478-200001000-00003. [DOI] [PubMed] [Google Scholar]
- 21.Kambouchner M, Levy P, Nicholson AG, Schubel K, Magois E, Feuillet S, Valeyre D, Bernaudin JF, Nunes H. Prognostic relevance of histological variants in nonspecific interstitial pneumonia. Histopathology. 2014;65:549–560. doi: 10.1111/his.12415. [DOI] [PubMed] [Google Scholar]
- 22.Matsuo M, Yasumatsu R, Masuda M, Toh S, Wakasaki T, Hashimoto K, Uchi R, Jiromaru R, Sato K, Manako T, Nakagawa T. Drug-induced interstitial lung disease in recurrent and/or metastatic head and neck cancer patients treated with cetuximab and/or nivolumab. Oral Oncol. 2021;113:105129. doi: 10.1016/j.oraloncology.2020.105129. [DOI] [PubMed] [Google Scholar]
- 23.McConnel FM, O'Connor A. Dysphagia secondary to head and neck cancer surgery. Acta Otorhinolaryngol Belg. 1994;48:165–170. [PubMed] [Google Scholar]
- 24.Platteaux N, Dirix P, Dejaeger E, Nuyts S. Dysphagia in head and neck cancer patients treated with chemoradiotherapy. Dysphagia. 2010;25:139–152. doi: 10.1007/s00455-009-9247-7. [DOI] [PubMed] [Google Scholar]
- 25.Korpics MC, Turchan WT, Koshy M, Spiotto MT. Decreased overall survival in patients with locally advanced head and neck cancer receiving definitive radiotherapy and concurrent cetuximab: National cancer database analysis. Head Neck. 2022;44:1528–1544. doi: 10.1002/hed.27050. [DOI] [PMC free article] [PubMed] [Google Scholar]
- 26.Raghu G, Remy-Jardin M, Myers JL, Richeldi L, Ryerson CJ, Lederer DJ, Behr J, Cottin V, Danoff SK, Morell F, et al. Diagnosis of idiopathic pulmonary fibrosis. An official ATS/ERS/JRS/ALAT clinical practice guideline. Am J Respir Crit Care Med. 2018;198:e44–e68. doi: 10.1164/rccm.201807-1255ST. [DOI] [PubMed] [Google Scholar]
- 27.Skeoch S, Weatherley N, Swift AJ, Oldroyd A, Johns C, Hayton C, Giollo A, Wild JM, Waterton JC, Buch M, et al. Drug-induced interstitial lung disease: A systematic review. J Clin Med. 2018;7:356. doi: 10.3390/jcm7100356. [DOI] [PMC free article] [PubMed] [Google Scholar]
- 28.Spagnolo P, Bonniaud P, Rossi G, Sverzellati N, Cottin V. Drug-induced interstitial lung disease. Eur Respir J. 2022;60:2102776. doi: 10.1183/13993003.02776-2021. [DOI] [PubMed] [Google Scholar]
- 29.Baumhäkel M, Kasel D, Rao-Schymanski RA, Böcker R, Beckurts KT, Zaigler M, Barthold D, Fuhr U. Screening for inhibitory effects of antineoplastic agents on CYP3A4 in human liver microsomes. Int J Clin Pharmacol Ther. 2001;39:517–528. doi: 10.5414/CPP39517. [DOI] [PubMed] [Google Scholar]
- 30.Gilbert CJ, Petros WP, Vredenburgh J, Hussein A, Ross M, Rubin P, Fehdrau R, Cavanaugh C, Berry D, McKinstry C, Peters WP. Pharmacokinetic interaction between ondansetron and cyclophosphamide during high-dose chemotherapy for breast cancer. Cancer Chemother Pharmacol. 1998;42:497–503. doi: 10.1007/s002800050851. [DOI] [PubMed] [Google Scholar]
Associated Data
This section collects any data citations, data availability statements, or supplementary materials included in this article.
Data Availability Statement
The datasets used and/or analyzed during the current study are available from the corresponding author on reasonable request.
