Full text
PDF















Images in this article
Selected References
These references are in PubMed. This may not be the complete list of references from this article.
- DE WARDENER H. E. Intrarenal pressure in experimental tubular necrosis. Lancet. 1955 Mar 19;268(6864):580–584. doi: 10.1016/s0140-6736(55)91633-0. [DOI] [PubMed] [Google Scholar]
- Erb I. H., Morgan E. M., Farmer A. W. THE PATHOLOGY OF BURNS: THE PATHOLOGIC PICTURE AS REVEALED AT AUTOPSY IN A SERIES OF 61 FATAL CASES TREATED AT THE HOSPITAL FOR SICK CHILDREN, TORONTO, CANADA. Ann Surg. 1943 Feb;117(2):234–255. doi: 10.1097/00000658-194302000-00010. [DOI] [PMC free article] [PubMed] [Google Scholar]
- MONSAINGEON A., TANRET P., DAUSSY M. La circulation intra-rénale des brûlés; étude expérimentale. Presse Med. 1949 Dec 25;57(81):1221–1224. [PubMed] [Google Scholar]
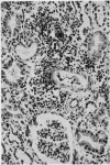
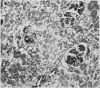
- OLIVER J. Correlations of structure and function and mechanisms of recovery in acute tubular necrosis. Am J Med. 1953 Oct;15(4):535–557. doi: 10.1016/0002-9343(53)90143-0. [DOI] [PubMed] [Google Scholar]
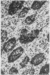
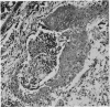
- SEVITT S. Distal tubular necrosis with little or no oliguria. J Clin Pathol. 1956 Feb;9(1):12–30. doi: 10.1136/jcp.9.1.12. [DOI] [PMC free article] [PubMed] [Google Scholar]
- TESCHAN P. E., POST R. S., SMITH L. H., Jr, ABERNATHY R. S., DAVIS J. H., GRAY D. M., HOWARD J. M., JOHNSON K. E., KLOPP E., MUNDY R. L. Post-traumatic renal insufficiency in military casualties. I. Clinical characteristics. Am J Med. 1955 Feb;18(2):172–186. doi: 10.1016/0002-9343(55)90233-3. [DOI] [PubMed] [Google Scholar]











