Abstract
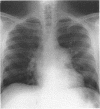
A 31 year old man presented with a left hilar mass. Thoracic tomography showed this mass to be the pulmonary artery, and subsequently idiopathic dilatation of the pulmonary artery was diagnosed. He remained well until 11 years later when he died suddenly. Postmortem examination confirmed idiopathic dilatation of the pulmonary artery with death due to pulmonary artery dissection and cardiac tamponade. It seems likely that idiopathic dilatation of the pulmonary artery predisposed to fatal pulmonary artery dissection.
Full text
PDF

Images in this article
Selected References
These references are in PubMed. This may not be the complete list of references from this article.
- Asayama J., Matsuura T., Endo N., Watanabe T., Matsukubo H., Furukawa K., Ijichi H. Echocardiographic findings of idiopathic dilatation of the pulmonary artery. Chest. 1977 May;71(5):671–673. doi: 10.1378/chest.71.5.671. [DOI] [PubMed] [Google Scholar]
- BALBONI F. A., LOPRESTI J. Congenital idiopathic dilatation of the pulmonary artery in children. A report of seven cases. Heart Cent Bull (Roslyn) 1961;17:1–21. [PubMed] [Google Scholar]
- DESHMUKH M., GUVENC S., BENTIVOGLIO L., GOLDBERG H. Idiopathic dilatation of the pulmonary artery. Circulation. 1960 May;21:710–716. doi: 10.1161/01.cir.21.5.710. [DOI] [PubMed] [Google Scholar]
- Gould L., Reddy C. V., Oh K. C., Kim S. G. Idiopathic dilatation of the pulmonary artery. Am Fam Physician. 1978 May;17(5):118–119. [PubMed] [Google Scholar]
- KAPLAN B. M., SCHLICHTER J. G., GRAHAM G., MILLER G. Idiopathic congenital dilatation of the pulmonary artery. J Lab Clin Med. 1953 May;41(5):697–707. [PubMed] [Google Scholar]
- LIMA A. B., LIU C. K. Enlargement of the pulmonary artery. Med Clin North Am. 1957 Jan;41(1):119–132. doi: 10.1016/s0025-7125(16)34470-4. [DOI] [PubMed] [Google Scholar]
- Ramsey H. W., De la Torre A., Linhart J. W., Krovetz L. J., Schiebler G. L., Green J. R., Jr Idiopathic dilatation of the pulmonary artery. Am J Cardiol. 1967 Sep;20(3):324–330. doi: 10.1016/0002-9149(67)90053-7. [DOI] [PubMed] [Google Scholar]
- Rosenson R. S., Sutton M. S. Dissecting aneurysm of the pulmonary trunk in mitral stenosis. Am J Cardiol. 1986 Nov 15;58(11):1140–1141. doi: 10.1016/0002-9149(86)90142-6. [DOI] [PubMed] [Google Scholar]
- Sardesai S. H., Marshall R. J., Farrow R., Mourant A. J. Dissecting aneurysm of the pulmonary artery in a case of unoperated patent ductus arteriosus. Eur Heart J. 1990 Jul;11(7):670–673. doi: 10.1093/oxfordjournals.eurheartj.a059775. [DOI] [PubMed] [Google Scholar]
- Teitelbaum J. E., Altman M. Idiopathic dilatation of peripheral pulmonary arteries. Chest. 1978 Feb;73(2):241–242. doi: 10.1378/chest.73.2.241. [DOI] [PubMed] [Google Scholar]
- Walley V. M., Virmani R., Silver M. D. Pulmonary arterial dissections and ruptures: to be considered in patients with pulmonary arterial hypertension presenting with cardiogenic shock or sudden death. Pathology. 1990 Jan;22(1):1–4. doi: 10.3109/00313029009061416. [DOI] [PubMed] [Google Scholar]


