Abstract
Background
The glucocerebrosidase (GBA) and leucine-rich repeat kinase 2 (LRRK2) genes are associated with the risk of sporadic Parkinson’s disease (PD). As an environmental factor, hypoxic insults may impair dopamine neurons in the substantia nigra and exacerbate PD symptoms. However, covariants of GBA and LRRK2 combined with hypoxic insults in clinical cases of Parkinsonism have not yet been reported.
Case presentation
A 69-year-old male patient with PD and his relatives were clinically characterized and sequenced using the whole-exome technique. A novel covariant, c.1448 T > C (p. L483P, rs421016) on GBA and c.691 T > C (p. S231P, rs201332859) on LRRK2 were identified in this patient who first developed bradykinesia and rigidity in the neck at one month after an acute hypoxic insult during mountaineering. The patient presented with a mask-like face, festinating gait, asymmetric bradykinesia, and moderate rigidity. These symptoms were treated with levodopa and pramipexole, resulting in a 65% improvement in the Unified Parkinson’s Disease Rating Scale (UPDRS) motor score. These parkinsonian symptoms persisted and developed with hallucinations, constipation, and rapid eye movement sleep behavior disorder. After 4 years, the patient exhibited a wearing-off phenomenon and died from pulmonary infection 8 years after disease onset. His parents, wife, and siblings were not diagnosed with PD, and his son carried p. L483P without Parkinsonism-like symptoms.
Conclusions
This is a case report of PD after hypoxic insult in a patient carrying a covariant of GBA and LRRK2. This study may help us understand the interaction between genetic and environmental factors in clinical PD.
Keywords: Parkinsonism, GBA, LRRK2, Hypoxic insult, Case report
Background
Genetic factors play an important role in the etiology of idiopathic Parkinson’s disease (PD). The glucocerebrosidase gene (GBA) encodes the lysosomal enzyme glucocerebrosidase, and its variant or dysfunction may increase the risk of Gaucher disease, Lewy body dementia, and PD [1]. Most GBA variant carriers in PD, such as p. L483P, showed earlier-onset, severe parkinsonian symptoms and an increased risk of dementia [1]. Another PD-related gene, leucine-rich repeat kinase 2 (LRRK2), encodes a protein that interacts with the C-terminus of the parkin protein [2]. The c.6055G > A (p. G2019S) variant in LRRK2 was identified to increase the risk of PD, Crohn’s disease, and leprosy [3, 4]. The PD patients with p. G2019S had asymmetric resting tremor, bradykinesia, and rigidity with a good response to levodopa [5]. Other variants in LRRK2 in PD, such as p. S231P, are not yet clear. Acute hypoxic insult, classified as an environmental factor, may trigger or aggravate neurodegenerative diseases, but some studies have suggested that mild intermittent hypoxia may have neuroprotection in PD [6]. Acute hypoxic insult followed by mountain sickness may induce clinical symptoms, including headache, nausea, malaise, dizziness, insomnia, and cognitive dysfunction, but its relationship with PD is not clear [7, 8]. Here, we describe a Chinese patient carrying a covariant including p. L483P on GBA and p. S231P on LRRK2 who showed Parkinsonism symptoms after an acute hypoxic insult for the first time.
Case presentation
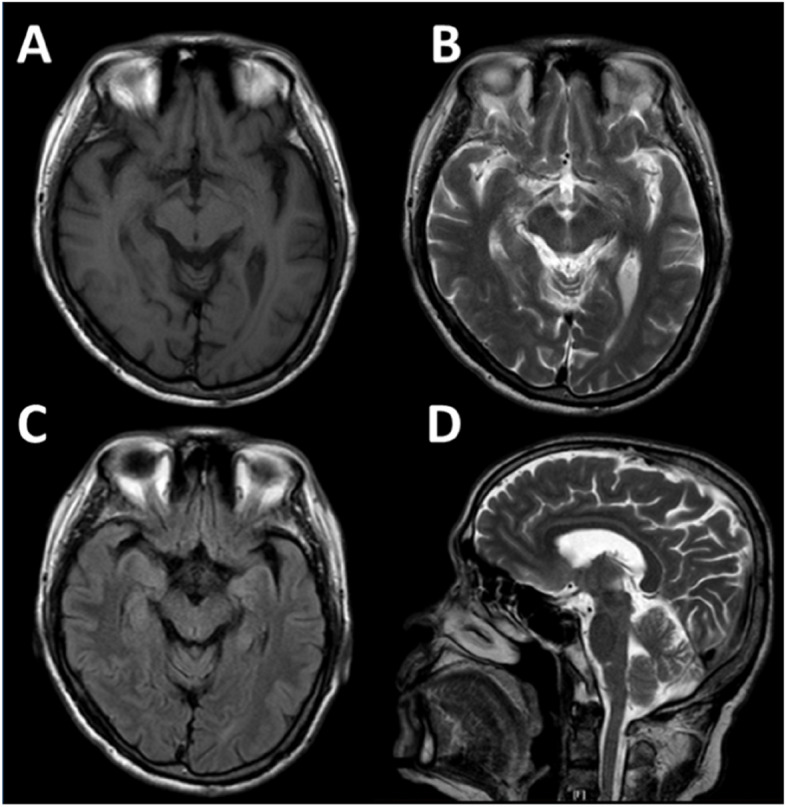
The male patient, who had always lived in Foshan city with an elevation of approximately 13 m in China, had never gone to the plateau region and had not previously complained of any neurologic symptoms. In 2013, he was 69, traveled to the Tibetan Plateau which has an elevation of approximately 4,000 m, and stayed for 3 days without a high-altitude reaction. When climbing Mt. Namjagbarwa Hill with an elevation of approximately 6,700 m, he suffered a headache, vomiting, and dizziness after a strong cold wind. He experienced paroxysmal vertigo, headache, malaise, and nausea, accompanied by bradykinesia and rigidity in the neck, which was diagnosed as an acute hypoxia reaction by a local doctor. These symptoms were partly relieved after oxygen inhalation therapy. One month after he returned to a low altitude of approximately 13 m, vertigo disappeared, but the acute bradykinesia and rigidity symptoms continued. He went to the hospital and was found to have a mask-like face and bilateral mild cogwheel rigidity but no action or resting tremor, and he denied any cognitive or psychiatric symptoms. He was diagnosed with PD for the first time and his UPDRS-III total score was 37. The laboratory tests and anal sphincter electromyogram were normal. Brain magnetic resonance imaging (MRI, Fig. 1) and magnetic resonance angiography (MRA) scans revealed mild multiple stenosis in the bilateral posterior cerebral arteries (PCAs). The patient started drug treatment with levodopa and pramipexole, and his bradykinesia and rigidity symptoms were significantly improved with the UPDRS motor score increasing by 65%.
Fig. 1.

Brain structure of PD patients with magnetic resonance imaging. The MRI imaging performed transverse scans of T1-weighted (A), T2-weighted (B), T2-weighted (C), and sagittal scans of T2-weighted (D) images in 2017. No severe morphological changes in the brain were reported
After 4 years in 2017, he developed wearing-off phenomena with occasional foot dystonia. The dosages of levodopa and pramipexole were adjusted, and amantadine was added to relieve the worsening symptoms. After the treatment, his motor function improved. On a physical examination, he showed hypomimia, mild symmetric bilateral bradykinesia, mild bradykinesia, and festination gait. He had normal postural reflexes and no action or rest tremor. The UPDRS-III total score was 15. Some nonmotor symptoms emerged, including hallucinations, constipation, and rapid eye movement sleep behavior disorder (RBD), but no urinary dysfunction, depression, or cognitive decline. The laboratory tests were normal. The brain MRI and MRA scans showed multiple stenoses of the PCA as before. The whole-exome sequencing approach was used to detect PD-related genes in his family. His only child was 43 years old and healthy. The sequencing results showed that the patient carried a covariant including p. L483P on GBA and p. S231P on LRRK2 (Fig. 2), and that his wife carried p. S231P and son carried p. L483P variants separately. His maternal and paternal families were of Southern Chinese ancestry, and his first-degree relatives had no family history of PD. After 8 years in 2021, he died from a pulmonary infection after aspiration.
Fig. 2.
Genotype of PD by whole-exome sequencing. The whole-exome sequencing results showed that the Parkinsonism patient had covariants, including c.1448 T > C (p. L483P, rs421016) on GBA (A) and c.691 T > C (p. S231P, rs201332859) on LRRK2 (B). The arrow points to the polymorphism variant site
Various computational methods were used to predict the pathogenicity of the p. L483P and p. S231P variants in PD, and showed that both of them were classified as variants of uncertain significance by ACMGG rules. The frequencies of variants were identified in 320 people with p. L483P out of 244,916 samples (1.31‰) and 10 people with p. S231P out of 245,502 samples (0.04‰) in the Gnomad database (http://gnomad.broadinstitute.org). The evaluation of p. L483P and p. S231P was performed on MutPred (score: probably damaging with 0.926 in p. L483P; benign with 0.229 in p. S231P; http://mutpred.mutdb.org/), SNPs&GO (score: disease with 0.844 in p. L483P; neutral with 0.127 in p. S231P; http://snps.biofold.org/), PROVEAN (score: deleterious with -4.995 in p. L483P; neutral with 0.004 in p. S231P; http://provean.jcvi.org/), PolyPhen-2 (score: 0.938 and 0.856, probably_damaging in p. L483P; 0.003 and 0.004, benign in p. S231P; http://genetics.bwh.harvard.edu/pph2/), Mutation taster (score: disease causing in p. L483P; polymorphism in p. S231P; http://www.mutationtaster.org/), and SIFT (deleterious in p. L483P; tolerated in p. S231P).
Discussion and conclusions
Here, we report a case of a PD patient with variants of p. L483P on the GBA and p. S231P on the LRRK2 genes after hypoxic insults. In China, people with the GBA variant (p. L483P) have been reported to have increased susceptibility to PD [9]. The c.691 T > C variant can induce p. S231P in the lrrk2 protein, but the pathogenicity of the S231P variant is not yet clear [9]. Little is known about the covariants of GBA and LRR2 in sporadic PD combined with hypoxic insults. In this report, we describe a patient carrying (p. L483P) GBA and (p. S231P) LRRK2 variants who suffered from a hypoxic insult and showed Parkinsonism symptoms with festinating gait, asymmetric bradykinesia, and moderate rigidity. This report suggested that interaction between covariants of GBA and LRRK2 and hypoxic insults may have a relationship with PD risk.
GBA variants are common risk factors for PD. The OR (odds ratio) for any GBA variant is approximately 5.4 in PD [10]. PD patients carrying pathogenic GBA variants have approximately 5 years earlier onset, more advanced Hoehn and Yahr (H&Y) stage, and higher probability of suffering postural instability gait difficulty, but a similar response to levodopa treatment [10]. In the Chinese Han population, p. L483P is the most common GBA variant that increases the risk of early-onset PD with similar symptomology [11]. GBA is known to regulate the lysosomal-autophagy pathway and formation of Lewy bodies in PD pathogenesis [12]. The p. L483P variant may affect the function of GBA protein in PD according to pathogenicity prediction software [11]. In our report, we describe a PD patient with a covariant containing p. L483P on GBA and p. S231P on LRRK2. His initial symptoms were bradykinesia and rigidity, which were partly relieved by levodopa. Combined with the results of in-silico analyses, the p. L483P variant was suggested to increase the risk of PD. More studies are still needed to confirm the function of p. L483P.
The LRRK2 gene encodes a serine/threonine kinase with GTPase activity, and its pathogenic variant is considered a risk factor for familial PD [2]. LRRK2 is a multidomain protein kinase that includes an armadillo repeat domain from residue 150 to residue 510 and a serine/threonine protein kinase domain from residue 1879 to residue 2138 [2]. p. G2019S is a common pathogenic variant in the kinase domain, and may increase the kinase activity of LRRK2, which contributes to the progression of PD [5]. In this report, we found a rare heterozygous variant, p. S231P, which produces a serine to proline amino acid substitution at residue 231. In an epidemiological investigation, the carrier rate of p. S231P was 0.041‰ in 245,502 healthy samples from different countries [13]. A recent study based on an Asian population showed that one case carried the p. S231P variant in 1137 MSA patients and none in 619 healthy controls [13]. In the present report, we showed for the first time that a Chinese PD patient carried the p. S231P variant. The in-silico analyses suggested that the p. S231P variant had a weak association with disease. Based on the limited clinical data, more evidence is needed to explore the relationship between p. S231P and PD.
Acute mountain sickness is an illness related to acute hypoxic insult and always occurs after climbing to an altitude above 2,500 m without prior acclimatization [7]. The recoverable symptoms of acute mountain sickness include headache, malaise, nausea, dizziness, and insomnia [7]. LRRK2 and GBA both contribute to regulating the oxidative stress-related signaling pathway [14, 15]. However, their relationship with environmental factors is unclear. Here, we showed that a PD patient carrying the p. L483P and p. S231P variants had a different clinical profile with unrecoverable symptoms after an acute hypoxic insult. The symptoms were partly relieved by levodopa and pramipexole. Combined with no cognitive and psychiatric symptoms at disease onset, these performances supported the diagnosis of PD but not Lewy body dementia [16].
In conclusion, we hypothesized that the covariants of p. L483P and p. S231P may impair the function of the oxidative stress-related signaling pathway, which makes acute hypoxic insult more serious. The underlying mechanism may help explain the interaction between genetic and environmental factors in PD and help to improve clinical treatments.
Acknowledgements
We would like to thank the patient for his participation in this study.
Abbreviations
- GBA
Glucocerebrosidase
- LRRK2
Leucine-rich repeat kinase 2
- PD
Parkinson’s disease
- MRI
Brain magnetic resonance imaging
- MRA
Magnetic resonance angiography
- RBD
Rapid eye movement sleep behavior disorder
- PCA
Bilateral posterior cerebral arteries
- UPDRS
Unified Parkinson’s Disease Rating Scale
- OR
Odds ratio
- H&Y stage
Hoehn and Yahr stage
Authors’ contributions
XPY and MMS analyzed the case and wrote the manuscript. TYT, WLJ, WZH and MMS contributed to the diagnosis, treatment and data collection. WZH and MMS analyzed the data and provided guidance to the rest of the authors. All authors read and approved the final manuscript.
Funding
This work was supported by the National Natural Science Foundation of China (82171240), General Project of Basic and Applied Basic Research of Guangzhou Bureau of Science and Technology (202201020418), Yang-cheng Scholar Project of Guangzhou Municipal Bureau of Education (202032790), General Project of Natural Science Foundation of Guangdong Province (2021A1515011043), and Guangzhou Medical Key Discipline Project (2021–2023).
The funders had no role in the design of the study and collection, analysis, and interpretation of data and in writing the manuscript.
Availability of data and materials
The data and images used in this case report are available from the corresponding author on reasonable request.
Declarations
Ethics approval and consent to participate
Not applicable.
Consent for publication
The patient gave written consent for their personal or clinical details along with any identifying images to be published in this study. A copy of the written consent is available for review by the Editor of this journal.
Competing interests
The authors declare no competing interests.
Footnotes
The original online version of this article was revised: the funding number of General Project of Basic and Applied Basic Research of Guangzhou Bureau of Science and Technology was corrected.
Publisher’s Note
Springer Nature remains neutral with regard to jurisdictional claims in published maps and institutional affiliations.
Change history
10/14/2024
The funding number of General Project of Basic and Applied Basic Research of Guangzhou Bureau of Science and Technology was corrected.
Change history
10/18/2024
A Correction to this paper has been published: 10.1186/s12883-024-03916-5
References
- 1.Smith L, Schapira AH. GBA Variants and Parkinson disease: mechanisms and treatments. Cells. 2022;11(8):1261. [DOI] [PMC free article] [PubMed] [Google Scholar]
- 2.Tolosa E, et al. LRRK2 in Parkinson disease: challenges of clinical trials. Nat Rev Neurol. 2020;16(2):97–107. [DOI] [PubMed] [Google Scholar]
- 3.Inzelberg R, et al. The LRRK2 G2019S mutation is associated with Parkinson disease and concomitant non-skin cancers. Neurology. 2012;78(11):781–6. [DOI] [PubMed] [Google Scholar]
- 4.Wallings RL, Tansey MG. LRRK2 regulation of immune-pathways and inflammatory disease. Biochem Soc Trans. 2019;47(6):1581–95. [DOI] [PMC free article] [PubMed] [Google Scholar]
- 5.Iwaki H, et al. Penetrance of Parkinson’s disease in LRRK2 p. G2019S carriers is modified by a polygenic risk score. Mov Disord. 2020;35(5):774–80. [DOI] [PMC free article] [PubMed] [Google Scholar]
- 6.Burtscher J, Millet GP. Hypoxia, acidification and inflammation: partners in crime in Parkinson’s disease pathogenesis? Immuno. 2021;1(2):78–90. [Google Scholar]
- 7.Macholz F, Sareban M, Berger MM. Diagnosing acute mountain sickness. JAMA. 2018;319(14):1509–1509. [DOI] [PubMed] [Google Scholar]
- 8.Liu J, et al. Neuroprotective effects and mechanisms of ischemic/hypoxic preconditioning on neurological diseases. CNS Neurosci Ther. 2021;27(8):869–82. [DOI] [PMC free article] [PubMed] [Google Scholar]
- 9.Pakarulrazy NFM et al. Glucocerebrosidase genetic variants in Malays with early and late-onset Parkinson’s disease. Neurol Asia. 2020;25(1):39–46.
- 10.Lim JL, et al. Glucocerebrosidase (GBA) gene variants in a multi-ethnic Asian cohort with Parkinson’s disease: mutational spectrum and clinical features. J Neural Transm. 2022;129(1):37–48. [DOI] [PubMed] [Google Scholar]
- 11.Wang Y, et al. Glucocerebrosidase L444P mutation confers genetic risk for Parkinson’s disease in central China. Behav Brain Funct. 2012;8(1):1–5. [DOI] [PMC free article] [PubMed] [Google Scholar]
- 12.Gámez-Valero A, et al. GBA mutations are associated with earlier onset and male sex in dementia with Lewy bodies. Mov Disord. 2016;31(7):1066–70. [DOI] [PubMed] [Google Scholar]
- 13.Yuan XQ, et al. An association analysis of the R1628P and G2385R polymorphisms of the LRRK2 gene in multiple system atrophy in a Chinese population. Parkinsonism Relat Disord. 2015;21(2):147–9. [DOI] [PubMed] [Google Scholar]
- 14.Zancan I, et al. Glucocerebrosidase deficiency in zebrafish affects primary bone ossification through increased oxidative stress and reduced Wnt/β-catenin signaling. Hum Mol Genet. 2015;24(5):1280–94. [DOI] [PubMed] [Google Scholar]
- 15.Chi GW, et al. LRRK2 maintains mitochondrial homeostasis and regulates innate immune responses to Mycobacterium tuberculosis. eLife. 2020;9:e51071. [DOI] [PMC free article] [PubMed] [Google Scholar]
- 16.Ortega RA, et al. Association of dual LRRK2 G2019S and GBA variations with Parkinson disease progression. JAMA Netw Open. 2021;4(4):e215845. [DOI] [PMC free article] [PubMed] [Google Scholar]
Associated Data
This section collects any data citations, data availability statements, or supplementary materials included in this article.
Data Availability Statement
The data and images used in this case report are available from the corresponding author on reasonable request.

