Abstract
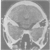
A patient with pontocerebellitis associated with infectious mononucleosis is described. The clinical picture with transitory limb and truncal ataxia was compatible with previous reports of cerebellitis. CT showed wide pontocerebellar cisterns and a hypodense area in the pons.
Full text
PDF

Images in this article
Selected References
These references are in PubMed. This may not be the complete list of references from this article.
- BERGIN J. D. Fatal encephalopathy in glandular fever. J Neurol Neurosurg Psychiatry. 1960 Feb;23:69–73. doi: 10.1136/jnnp.23.1.69. [DOI] [PMC free article] [PubMed] [Google Scholar]
- BERNSTEIN T. C., WOLFF H. G. Involvement of the nervous system in infectious mononucleosis. Ann Intern Med. 1950 Nov;33(5):1120–1138. doi: 10.7326/0003-4819-33-5-1120. [DOI] [PubMed] [Google Scholar]
- Bajada S. Cerebellitis in glandular fever. Med J Aust. 1976 Feb 7;1(6):153–156. doi: 10.5694/j.1326-5377.1976.tb109315.x. [DOI] [PubMed] [Google Scholar]
- Bergen D., Grossman H. Letter: Acute cerebellar ataxia of childhood associated with infectious mononucleosis. J Pediatr. 1975 Nov;87(5):832–833. doi: 10.1016/s0022-3476(75)80322-2. [DOI] [PubMed] [Google Scholar]
- Dandelot J. B., Samson M., Augustin P., Mihout B., Parain D. La cérébellite mononucléosique. Une observation. Nouv Presse Med. 1979 Feb 10;8(7):505–508. [PubMed] [Google Scholar]
- Gilbert J. W., Culebras A. Cerebellitis in infectious mononucleosis. JAMA. 1972 May 1;220(5):727–727. [PubMed] [Google Scholar]
- Grose C., Henle W., Henle G., Feorino P. M. Primary Epstein-Barr-virus infections in acute neurologic diseases. N Engl J Med. 1975 Feb 20;292(8):392–395. doi: 10.1056/NEJM197502202920804. [DOI] [PubMed] [Google Scholar]
- Lascelles R. G., Longson M., Johnson P. J., Chiang A. Infectious mononucleosis presenting as acute cerebellar syndrome. Lancet. 1973 Sep 29;2(7831):707–709. doi: 10.1016/s0140-6736(73)92540-3. [DOI] [PubMed] [Google Scholar]
- Schraeder L., Henke T., Peters H., Messert B. Cerebellar syndrome associated with infectious mononucleosis. Wis Med J. 1975 Feb;74(2):S25–S28. [PubMed] [Google Scholar]
- Silverstein A., Steinberg G., Nathanson M. Nervous system involvement in infectious mononucleosis. The heralding and-or major manifestation. Arch Neurol. 1972 Apr;26(4):353–358. doi: 10.1001/archneur.1972.00490100083009. [DOI] [PubMed] [Google Scholar]

