Abstract
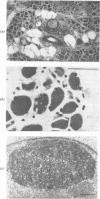
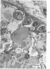
Patients with inclusion body myositis demonstrate characteristic histological and electronmicroscopical abnormalities in muscle and are generally considered refractory to treatment. A patient with inclusion body myositis is described with evidence of associated autoimmune disease, who responded to steroids.
Full text
PDF



Images in this article
Selected References
These references are in PubMed. This may not be the complete list of references from this article.
- Carpenter S., Karpati G., Heller I., Eisen A. Inclusion body myositis: a distinct variety of idiopathic inflammatory myopathy. Neurology. 1978 Jan;28(1):8–17. doi: 10.1212/wnl.28.1.8. [DOI] [PubMed] [Google Scholar]
- Chad D., Good P., Adelman L., Bradley W. G., Mills J. Inclusion body myositis associated with Sjögren's syndrome. Arch Neurol. 1982 Mar;39(3):186–188. doi: 10.1001/archneur.1982.00510150056014. [DOI] [PubMed] [Google Scholar]
- Chou S. M. Myxovirus-like structures and accompanying nuclear changes in chronic polymyositis. Arch Pathol. 1968 Dec;86(6):649–658. [PubMed] [Google Scholar]
- Danon M. J., Reyes M. G., Perurena O. H., Masdeu J. C., Manaligod J. R. Inclusion body myositis. A corticosteroid-resistant idiopathic inflammatory myopathy. Arch Neurol. 1982 Dec;39(12):760–764. doi: 10.1001/archneur.1982.00510240022006. [DOI] [PubMed] [Google Scholar]
- Eisen A., Berry K., Gibson G. Inclusion body myositis (IBM): myopathy or neuropathy? Neurology. 1983 Sep;33(9):1109–1114. doi: 10.1212/wnl.33.9.1109. [DOI] [PubMed] [Google Scholar]
- Hughes J. T., Esiri M. M. Ultrastructural studies in human polymyositis. J Neurol Sci. 1975 Jul;25(3):347–360. doi: 10.1016/0022-510x(75)90156-2. [DOI] [PubMed] [Google Scholar]
- Julien J., Vital C., Vallat J. M., Lagueny A., Sapina D. Inclusion body myositis. Clinical, biological and ultrastructural study. J Neurol Sci. 1982 Jul;55(1):15–24. doi: 10.1016/0022-510x(82)90166-6. [DOI] [PubMed] [Google Scholar]


