Abstract
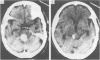
The clinical and computerised tomographic findings in 40 patients with primary pontine haemorrhage were reviewed. Twenty-nine patients were hypertensive. Four patients had angiographic or necropsy evidence of vascular malformations. In 33 cases, there was rapid deterioration to maximal neurological deficit; whereas in seven cases, there was sudden onset but subsequent progression to maximal deficit 24 hours to 5 days following the initial ictus. Seven patients had clinical features considered atypical for pontine haemorrhage. Five patients survived and four of these were capable of performing activities of daily living within 3 months of the haemorrhage. In all cases CT showed a hyperdense non-enhancing brain stem haematoma. There was evidence of ventricular extension in 27 cases. There was CT evidence of subarachnoid blood in only two patients who also had vascular malformations. In 26 cases, there was CT evidence that the haematoma extended to the midbrain and in four cases to the thalamic region. In six cases CT was repeated 6 to 21 days after the initial scan and it showed resolution of the haematoma in size and density; none of the haematomas showed post-contrast enhancement on initial or follow-up CT.
Full text
PDF






Images in this article
Selected References
These references are in PubMed. This may not be the complete list of references from this article.
- Bryan R., Weisberg L. Prolonged survival with good functional recovery in 3 patients with computed tomographic evidence of brain stem hemorrhage. Comput Radiol. 1982 Jan-Feb;6(1):43–48. doi: 10.1016/0730-4862(82)90180-9. [DOI] [PubMed] [Google Scholar]
- Burns J., Lisak R., Schut L., Silberberg D. Recovery following brainstem hemorrhage. Ann Neurol. 1980 Feb;7(2):183–184. doi: 10.1002/ana.410070215. [DOI] [PubMed] [Google Scholar]
- Caplan L. R., Goodwin J. A. Lateral tegmental brainstem hemorrhages. Neurology. 1982 Mar;32(3):252–260. doi: 10.1212/wnl.32.3.252. [DOI] [PubMed] [Google Scholar]
- DINSDALE H. B. SPONTANEOUS HEMORRHAGE IN THE POSTERIOR FOSSA.A STUDY OF PRIMARY CEREBELLAR AND PONTINE HEMORRHAGES WITH OBSERVATIONS ON THEIR PATHOGENESIS. Arch Neurol. 1964 Feb;10:200–217. doi: 10.1001/archneur.1964.00460140086011. [DOI] [PubMed] [Google Scholar]
- Freytag E. Fatal hypertensive intracerebral haematomas: a survey of the pathological anatomy of 393 cases. J Neurol Neurosurg Psychiatry. 1968 Dec;31(6):616–620. doi: 10.1136/jnnp.31.6.616. [DOI] [PMC free article] [PubMed] [Google Scholar]
- Gobernado J. M., Fernández de Molina A. R., Gimeno A. Pure motor hemiplegia due to hemorrhage in the lower pons. Arch Neurol. 1980 Jun;37(6):393–393. doi: 10.1001/archneur.1980.00500550095022. [DOI] [PubMed] [Google Scholar]
- Goto N., Kaneko M., Hosaka Y., Koga H. Primary pontine hemorrhage: clinicopathological correlations. Stroke. 1980 Jan-Feb;11(1):84–90. doi: 10.1161/01.str.11.1.84. [DOI] [PubMed] [Google Scholar]
- Kase C. S., Maulsby G. O., Mohr J. P. Partial pontine hematomas. Neurology. 1980 Jun;30(6):652–655. doi: 10.1212/wnl.30.6.652. [DOI] [PubMed] [Google Scholar]
- Müller H. R., Wüthrich R., Wiggli U., Hünig R., Elke M. The contribution of computerized axial tomography to the diagnosis of cerebellar and pontine hematomas. Stroke. 1975 Sep-Oct;6(5):467–475. doi: 10.1161/01.str.6.5.467. [DOI] [PubMed] [Google Scholar]
- Payne H. A., Maravilla K. R., Levinstone A., Heuter J., Tindall R. S. Recovery from primary pontine hemorrhage. Ann Neurol. 1978 Dec;4(6):557–558. doi: 10.1002/ana.410040615. [DOI] [PubMed] [Google Scholar]
- Silverstein A. Primary pontile hemorrhage. A review of 50 cases. Confin Neurol. 1967;29(1):33–46. [PubMed] [Google Scholar]
- Vaquero J., Areitio E., Leunda G., Bravo G. Hematomas of the pons. Surg Neurol. 1980 Aug;14(2):115–118. [PubMed] [Google Scholar]
- Viale G. L., Pau A., Viale E. S. Surgical treatment of arteriovenous malformations of the posterior fossa. Surg Neurol. 1979 Nov;12(5):379–384. [PubMed] [Google Scholar]
- Zeller R. S., Chutorian A. M. Vascular malformations of the pons in children. Neurology. 1975 Aug;25(8):776–780. doi: 10.1212/wnl.25.8.776. [DOI] [PubMed] [Google Scholar]






