Abstract
Primary esophageal melanoma remains a rare entity with less than 350 case reports noted in the current literature. This diagnosis is associated with a poor prognosis and early detection and management remains fundamental. In this report, we examine the case of an 80-year-old female who presented with a 1-year course of progressive dysphagia and weight loss. Investigations revealed a primary esophageal melanoma with no evidence of metastases. Pathology did not identify any targetable markers for systematic therapy and thus the patient successfully underwent a minimally invasive esophagectomy. Her postoperative course involved endoscopic esophageal dilatations due to an anastomotic stricture, as well as primary lung adenocarcinoma treated with radiotherapy but has otherwise remained without evidence of melanoma recurrence after 25 months from her surgery.
Keywords: cancer, esophagectomy, esophagus, malignancy, melanoma
Practice points.
Primary esophageal melanoma represents a rare entity that accounts for 0.1–0.2% of all esophageal malignancies.
The pathogenesis and risk factors for developing a primary esophageal melanoma remain poorly understood.
Given the rarity of these tumors, optimal management of patients with a diagnosis of primary esophageal melanoma is often difficult.
Most guidance for clinicians is limited with less than 350 case reports worldwide.
Primary esophogeal melanoma is associated with a poor prognosis with literature reporting a survival of 2.2% at 5 years and median survival of 10 months.
Early detection and an interdisciplinary approach remains fundamental for the diagnosis and management of primary esophageal melanoma.
An 80-year-old female was referred to our thoracic surgery service with a 1-year history of progressive dysphagia, decreased appetite, 10-pound weight loss and general malaise. Her medical history included chronic obstructive pulmonary disease, hypertension, hip and knee osteoarthritis and appendectomy. The patient endorsed a 40-pack-year smoking history and minimal alcohol consumption.
Case description
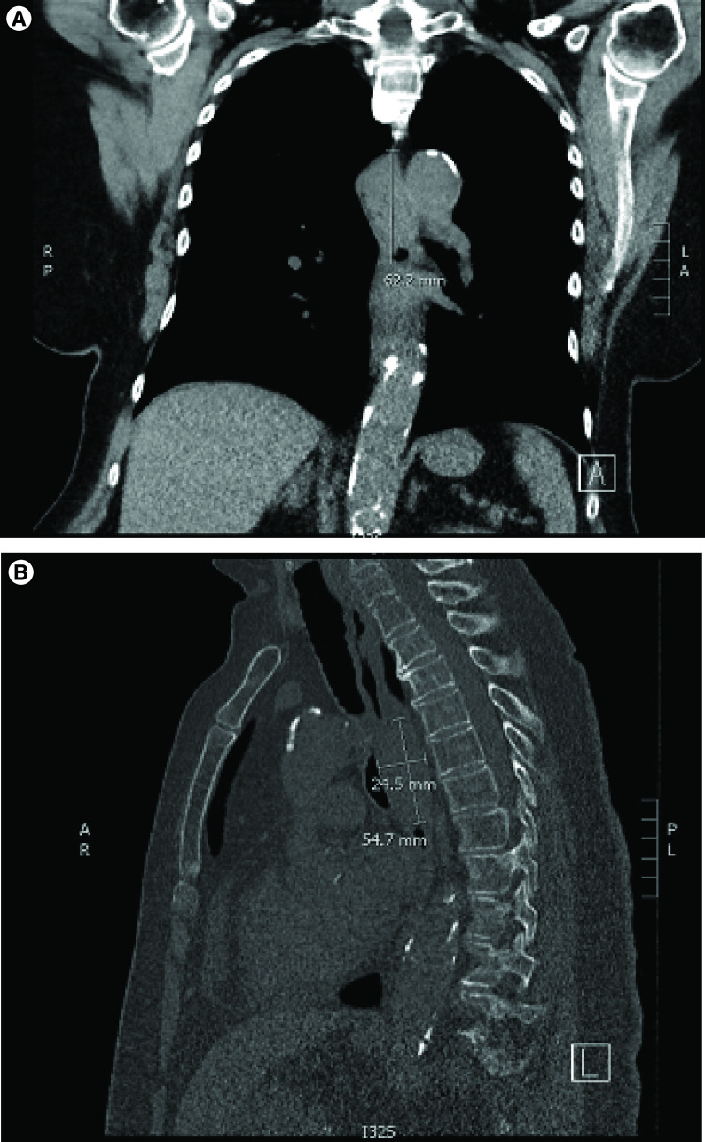
On initial investigation, a chest x-ray revealed a curvilinear density near the distal trachea and proximal right main stem bronchus. Subsequent low-dose computed topography (CT) imaging was obtained which noted a soft tissue mass, likely intraluminal, measuring 3.1 × 2.6 × 5.5 cm (Figure 1). The patient underwent an upper esophagogastroduodenoscopy (EGD) and bronchoscopy. The bronchoscopy revealed extrinsic compression, but no airway involvement. The EGD confirmed the presence of a large tumor spanning the proximal esophagus from 21 to 29 cm from the incisors (Figure 2).
Figure 1. . Computed tomography images of esophageal mass.
( A) Coronal images of thorax. ( B) Sagittal images of thorax. Arrows indicate esophageal mass. Measure bars recorded in ml.
Figure 2. . Endoscopy images of esophageal mass.
( A) Esophageal mass spanning 8 cm in length from 21 to 29 cm from incisors. ( B) Area of distal esophagus demonstrating Barret’s esophagus. ( C) Normal cardia of stomach.
Multiple tissue biopsies were obtained during EGD, which demonstrated histological findings in keeping with melanoma. Pathology noted that this specimen may represent a primary esophageal malignant melanoma but could represent metastatic disease from skin or mucosal surfaces. As such, investigations to locate a primary source involved full skin surveillance exam, consultation with ophthalmology to rule out an ocular melanoma and a PET study.
Each of the aforementioned diagnostic management steps yielded normal results. The PET scan (Figure 3) revealed an uptake in the left cavernous sinus; however, subsequent MRI of brain revealed no concerning focal lesions. Unexpectedly, despite attempts to locate a primary melanoma source, no such source could be found, leaving primary esophageal melanoma as the diagnosis.
Figure 3. . PET scan revealing uptake in the left cavernous sinous.

( A) Coronal view ( B) Saggital view.
Medical oncology considered targetable tumour markers from the detailed pathology assessment, but the tumor lacked mutated BRAF expression. The case was discussed at the multidisciplinary tumor board. Systemic treatment options other than systemic immunotherapy in the adjuvant setting were not recommended. Radiation oncology indicated that their role would be limited to a palliative setting. Given the patient’s limited comorbidities, the consensus was that an esophagectomy would be the preferred treatment modality.
The patient was agreeable to surgical resection and underwent a minimally invasive 3-hole esophagectomy with gastric pull-up and pyloromyotomy. The procedure was uncomplicated and the specimen (Figure 4) along with station 7, 8 and 9R lymph nodes were sent for histological analysis.
Figure 4. . Surgical specimen.
Excised esophageal segment with proximal segment of fundus of stomach.
On pathology, the tumor was located entirely within the tubular esophagus, not involving the gastroesophageal junction and measured 7.2 × 6.5 × 2.0 cm. The maximal depth of invasion was 1.8 cm into the muscularis propria. No lymphovascular or perineural invasion was identified. All lymph nodes (0/8) and margins (closest margin radial <0.1 cm) were uninvolved.
On microscopic analysis, the specimen showed squamous esophageal mucosa with an underlying malignancy, which was high grade and composed of markedly pleomorphic epithelioid cells, some of which have a rhabdoid morphology. The lesional cells expressed SOX10, MART1 and MITF strongly and diffusely, weak patchy S100 and have focal dot-like expression of HMB45, monokeratin (AE1/AE3) and low molecular weight keratin (CK 8/18). There was no expression of high molecular weight keratin (CK 5/6), p40, p63, CK7, synaptophysin, chromogranin, LCA (CD45), CD68, SALL4, desmin, DOG1 or WT1. No intracellular mucin was seen on Alcian Blue and BRAF V600E immunostain was negative.
The patient’s postoperative course in hospital was complicated by a short 2 day intensive care unit stay where she required vasopressor support and supplemental oxygen. She was then transferred to the Thoracic Surgery ward. The remainder of her hospital stay was otherwise unremarkable with appropriate advancement of diet to an esophageal soft diet as per dietician recommendations. She was discharged home on postoperative day 10.
Beyond her initial discharge from hospital, she has required upper endoscopies every 1–2 months for dilations of an anastomotic stricture 16 cm from the incisors that caused her dysphasia. It was felt that this was an ischemic stricture related to a proximal anastomosis.
About 18 months after surgery, the patient developed worsening headaches. This prompted a CT head which was negative. A CT chest/abdomen/pelvis was also completed to assess for recurrence and an irregularly shaped subsolid nodule in the right upper lobe measuring 16 × 11 × 15 mm was found. Mild uptake of this lesion was seen on PET scan. Core biopsy of the lesion revealed moderately differentiated adenocarcinoma, KRAS positive and PD-L1 negative. She was treated with 3400 cGy in a single fraction by the Radiation Oncology team. She is now 25 months from surgery without evidence of melanoma recurrence.
Discussion
Primary esophageal melanoma represents a rare tumor type that accounts for 0.1–0.2% of all esophageal malignancies [1]. Given the rarity of these tumors, optimal management of patients with a diagnosis of primary esophageal melanoma is often difficult and prognosis usually poor [1]. Guidance for clinicians is limited to 347 cases reported worldwide in the literature [1]. Five select recent studies outlining the diagnosis, management and outcomes of primary esophogeal cancer are highlighted in Table 1 [2–6]. Approximately 4–8% of the population has esophageal melanocytes present [7]. Despite the confirmation of esophageal melanocytes in this small percentage of the population, the pathogenesis and risk factors for developing a primary esophageal melanoma remain poorly understood.
Table 1. . Select recent publications outlining primary esophogeal melanoma diagnosis, treatment and outcomes.
| Authors | Age (years) | Study design | Patients (n) | Treatment (patients) | Survival | Ref. |
|---|---|---|---|---|---|---|
| Kim et al. | Median: 60 | Single-center retrospective review | 17 | Surgery: 10 Chemotherapy or palliative care: 5 No treatment or lost to follow-up: 2 |
Median survival: 10 months (95% CI: 6–14 months) | [2] |
| Stepien et al. | Mean: 64.3 | Two-center retrospective review | 4 | Surgery: 4 | Alive: 2 Died two days post-operatively due to postoperative complications: 1 Died at 6 months from systemic dissemination: 1 |
[3] |
| Dai et al. | <60 years: 40 patients >60 years: 30 patients |
10-center retrospective review | 70 | Surgery: 70 | Median survival: 13.5 months 1-year overall survival: 53.1% 3-year overall survival: 19.0% |
[4] |
| Weiner et al. | Median: 74 | Retrospective review of national database | 56 | Surgery: 21 Surgery and chemotherapy: 3 Radiation: 13 Chemotherapy: 10 Immunotherapy: 4 No treatment: 5 |
Median survival T1–4Nx–0M0 disease: 19.2 months N+ disease: 9.9 months M1 disease: 3.7 months |
[5] |
| Harada et al. | Median: 63 | Single-center retrospective review | 10 | Surgery: 10 | Median survival: 34.5 months | [6] |
The patient presented in this report demonstrated a nearly circumferential, 8 cm long intraluminal amelanotic mass with similar colour to background esophagus on endoscopy. The pathology report of initial tumour biopsies obtained provided the differential diagnosis of primary esophageal melanoma versus metastatic melanoma. Next Generation sequencing of genes associated with melanoma including BRAF, V600E, V600K (exon 15), GNA11 (exon 5), GNAQ (exon 5), KIT (exons 8–11, 13, 14, 17 and 18) and NRAS (exons 2–4), were negative.
The margins of the specimen were clear. The most common differential diagnosis for primary esophageal melanoma is clear cell sarcoma, which can be differentiated by testing for EWSR1 rearrangements [8]. A sample was analyzed for EWSR1 rearrangements to rule out the possible diagnosis which was negative and thus confirmed the diagnoses of primary melanoma. Despite having a confirmed tissue diagnosis, the clinical staging of this patient’s tumor remained challenging given the rarity of primary esophageal melanoma. Given the tested regional lymph nodes were negative and PET, CT chest/abdo/pelvis demonstrated no distant metastases, AJCC staging for an esophageal carcinoma would qualify this tumour as a pT2N0, while the depth of invasion of 1.8 cm for nonesophageal melanoma would qualify this tumor as pT4bN0.
A common theme noted from various case reports suggest that early diagnosis is fundamental. Literature reports survival of 2.2% at 5 years, median survival of 10 months [9,10]. Despite requiring frequent dilations and treatment of a primary adenocarcinoma of the lung, this patient has remained without evidence of melanoma recurrence endoscopically and on PET/CT.
Conclusion
In summary, we present the case of a patient with a 1-year history of progressive dysphagia, that after multidisciplinary investigation, revealed the diagnosis of confirmed to be a due to primary esophageal melanoma. On presentation, this patient had no evidence of metastasis and her cancer was deemed amenable to surgical excision. Given the early-stage diagnosis and lack of targetable systemic treatments, the patient underwent surgery alone with no adjuvant chemotherapy. The patient has since required postoperative anastomotic stricture dilations and new primary lung cancer treatment with radiation therapy. Otherwise, she has had no evidence of melanoma recurrence after 25 months from surgery.
Future perspective
This case highlights the great difficulty and ongoing research required for the diagnosis of mucosal melanoma and the importance of an early and multidisciplinary approach to diagnosis and management.
Footnotes
Financial disclosure
The authors have no relevant affiliations or financial involvement with any organization or entity with a financial interest in or financial conflict with the subject matter or materials discussed in the manuscript. This includes employment, consultancies, honoraria, stock ownership or options, expert testimony, grants or patents received or pending, or royalties.
No writing assistance was utilized in the production of this manuscript.
Conflict of interest disclosure
The authors declare no conflicts of interest
Informed consent disclosure
The authors state that they have obtained verbal and written informed consent from the patient/patients for the inclusion of their medical and treatment history within this case report.
Open access
This work is licensed under the Attribution-NonCommercial-NoDerivatives 4.0 Unported License. To view a copy of this license, visit http://creativecommons.org/licenses/by-nc-nd/4.0/
References
Papers of special note have been highlighted as: • of interest
- 1.Cazzato G, Cascardi E, Colagrande A et al. The thousand faces of malignant melanoma: a systematic review of the primary malignant melanoma of the esophagus. Cancers (Basel) 14(15), 3725 (2022). [DOI] [PMC free article] [PubMed] [Google Scholar]; • A summary of primary esophogeal melanoma cases found in the literature spanning from 1906 to 2022.
- 2.Kim TS, Min BH, Min YW et al. Clinical characteristics and treatment outcomes of primary malignant melanoma of esophagus: a single center experience. BMC Gastroenterol. 22(1), 157 (2022). [DOI] [PMC free article] [PubMed] [Google Scholar]
- 3.Stepien K, Skorek P, Włodarczyk J et al. Various clinical scenarios of primary melanoma of the esophagus: a retrospective 20-year analysis from two university thoracic surgery centers. Adv. Clin. Exp. Med. 31(3), 337–344 (2022). [DOI] [PubMed] [Google Scholar]
- 4.Dai L, Wang ZM, Xue ZQ et al. Chinese Cooperative Primary Malignant Melanoma of the Esophagus Group (CCPMMEG). Results of surgical treatment for primary malignant melanoma of the esophagus: a multicenter retrospective study. J. Thorac. Cardiovasc. Surg. 161(1), 294–302 (2020). [DOI] [PubMed] [Google Scholar]
- 5.Weiner JP, Shao M, Schwartz D et al. Patterns of care and survival outcomes in the treatment of esophageal melanoma. Dis. Esophagus 30(2), 1–6 (2017). [DOI] [PubMed] [Google Scholar]
- 6.Harada K, Mine S, Yamada K et al. Long-term outcome of esophagectomy for primary malignant melanoma of the esophagus: a single-institute retrospective analysis. Dis. Esophagus 29(4), 314–319 (2016). [DOI] [PubMed] [Google Scholar]
- 7.Yokoyama A, Omori T, Yokoyama T et al. Esophageal melanosis, an endoscopic finding associated with squamous cell neoplasms of the upper aerodigestive tract, and inactive aldehyde dehydrogenase-2 in alcoholic Japanese men. J. Gastroenterol. 40(7), 676–684 (2005). [DOI] [PubMed] [Google Scholar]
- 8.Yang L, Chen Y, Cui T et al. Identification of biomarkers to distinguish clear cell sarcoma from malignant melanoma. Hum. Pathol. 43(9), 1463–1470 (2012). [DOI] [PubMed] [Google Scholar]
- 9.Sun H, Gong L, Zhao G et al. Clinicopathological characteristics, staging classification, and survival outcomes of primary malignant melanoma of the esophagus. J. Surg. Oncol. 117(4), 588–596 (2018). [DOI] [PubMed] [Google Scholar]
- 10.Wang X, Kong Y, Chi Z et al. Primary malignant melanoma of the esophagus: a retrospective analysis of clinical features, management, and survival of 76 patients. Thorac. Cancer. 10(4), 950–956 (2019). [DOI] [PMC free article] [PubMed] [Google Scholar]



