Full text
PDF
















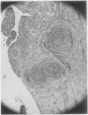
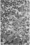
Images in this article
Selected References
These references are in PubMed. This may not be the complete list of references from this article.
- ADHIKARI P. K., BIANCHI F. A., BOUSHY S. F., SAKAMOTO A., LEWIS B. M. Pulmonary function in scleroderma. Its relation to changes in the chest roentgenogram and in the skin of the thorax. Am Rev Respir Dis. 1962 Dec;86:823–831. doi: 10.1164/arrd.1962.86.6.823. [DOI] [PubMed] [Google Scholar]
- ALBRIGHT F., CARROLL E. L., DEMPSEY E. F., HENNEMAN P. H. The cause of hypercalcuria in sarcoid and its treatment with cortisone and sodium phytate. J Clin Invest. 1956 Nov;35(11):1229–1242. doi: 10.1172/JCI103378. [DOI] [PMC free article] [PubMed] [Google Scholar]
- ANDERSON J., HARPER C., DENT C. E., PHILPOT G. R. Effect of cortisone on calcium metabolism in sarcoidosis with hypercalcaemia; possibly antagonistic actions of cortisone and vitamin D. Lancet. 1954 Oct 9;267(6841):720–724. doi: 10.1016/s0140-6736(54)90492-4. [DOI] [PubMed] [Google Scholar]
- ANDERSON R., JAMES D. G., PETERS P. M., THOMSON A. D. Local sarcoid-tissue reactions. Lancet. 1962 Jun 9;1(7241):1211–1213. doi: 10.1016/s0140-6736(62)92254-7. [DOI] [PubMed] [Google Scholar]
- CHAMOVITZ D. L., CULLEY A. W., CARLSON K. E. Cardiac sarcoidosis. Report of a case with paroxysmal ventricular tachycardia. JAMA. 1962 Nov 3;182:574–576. doi: 10.1001/jama.1962.03050440066021b. [DOI] [PubMed] [Google Scholar]
- DAVID N. J., VERNER J. V., ENGEL F. L. The diagnostic spectrum of hypercalcemia. Case reports and discussion. Am J Med. 1962 Jul;33:88–110. doi: 10.1016/0002-9343(62)90280-2. [DOI] [PubMed] [Google Scholar]
- DENT C. E., FLYNN F. V., NABARRO J. D. Hypercalcaemia and impairment of renal function in generalized sarcoidosis. Br Med J. 1953 Oct 10;2(4840):808–810. doi: 10.1136/bmj.2.4840.808. [DOI] [PMC free article] [PubMed] [Google Scholar]
- EDWARDS A. M., SPROULE B. J., MASON J. T. Bilateral hilaradenopathy syndrome: an early manifestation of pulmonary sarcoidosis? Can Med Assoc J. 1962 Jul 21;87:110–114. [PMC free article] [PubMed] [Google Scholar]
- FERGUSON R. H., PARIS J. Sarcoidosis; study of twenty-nine cases, with a review of splenic, hepatic, mucous-membrane; retinal, and joint manifestations. AMA Arch Intern Med. 1958 Jun;101(6):1065–1084. doi: 10.1001/archinte.1958.00260180055007. [DOI] [PubMed] [Google Scholar]
- GLECKLER W. J. Hypercalcemia and renal insufficiency due to sarcoidosis: treatment with cortisone. Ann Intern Med. 1956 Jan;44(1):174–179. doi: 10.7326/0003-4819-44-1-174. [DOI] [PubMed] [Google Scholar]
- GOETZ A. A. Effect of cortisone on hypercalcemia in sarcoidosis. Relief of gastrointestinal, dermatological, and renal symptoms with steroid therapy. JAMA. 1960 Sep 24;174:380–384. doi: 10.1001/jama.1960.03030040034009. [DOI] [PubMed] [Google Scholar]
- HIRSCH J. G., COHN Z. A., MORSE S. I., SCHAEDLER R. W., SILTZBACH L. E., ELLIS J. T., CHASE M. W. Evaluation of the Kveim reaction as a diagnostic test for sarcoidosis. N Engl J Med. 1961 Oct 26;265:827–830. doi: 10.1056/NEJM196110262651703. [DOI] [PubMed] [Google Scholar]
- HOYLE C. Prognosis of pulmonary sarcoidosis. Lancet. 1961 Sep 16;2(7203):611–615. doi: 10.1016/s0140-6736(61)90303-8. [DOI] [PubMed] [Google Scholar]
- ISRAEL H. L., SONES M. Sarcoidosis; clinical observation on one hundred sixty cases. AMA Arch Intern Med. 1958 Nov;102(5):766–776. doi: 10.1001/archinte.1958.00260220082008. [DOI] [PubMed] [Google Scholar]
- JAMES D. G. Diagnosis and treatment of sarcoidosis. Br Med J. 1956 Oct 20;2(4998):900–904. doi: 10.1136/bmj.2.4998.900. [DOI] [PMC free article] [PubMed] [Google Scholar]
- JAMES D. G., THOMSON A. D. The course of sarcoidosis and its modification by treatment. Lancet. 1959 May 23;1(7082):1057–1061. doi: 10.1016/s0140-6736(59)90648-8. [DOI] [PubMed] [Google Scholar]
- KAPLAN H. Sarcoid arthritis with a response to colchicine: report of two cases. N Engl J Med. 1960 Oct 20;263:778–781. doi: 10.1056/NEJM196010202631603. [DOI] [PubMed] [Google Scholar]
- KUNKEL H. G., SIMON H. J., FUDENBERG H. Observations concerning positive serologic reactions for rheumatoid factor in certain patients with sarcoidosis and other hyperglobulinemic states. Arthritis Rheum. 1958 Aug;1(4):289–296. doi: 10.1002/art.1780010402. [DOI] [PubMed] [Google Scholar]
- LEES A. W. Tuberculin-negative tuberculosis presenting as sarcoidosis. Lancet. 1956 Sep 29;271(6944):656–658. doi: 10.1016/s0140-6736(56)92341-8. [DOI] [PubMed] [Google Scholar]
- LOFGREN S. Primary pulmonary sarcoidosis. II. Clinical course and prognosis. Acta Med Scand. 1953;145(6):465–474. [PubMed] [Google Scholar]
- LOVELOCK F. J., STONE D. J. Cortisone therapy of Boeck's sarcoid. J Am Med Assoc. 1951 Nov 3;147(10):930–932. doi: 10.1001/jama.1951.03670270020008. [DOI] [PubMed] [Google Scholar]
- MATHER G. Calcium metabolism and bone changes in sarcoidosis. Br Med J. 1957 Feb 2;1(5013):248–253. doi: 10.1136/bmj.1.5013.248. [DOI] [PMC free article] [PubMed] [Google Scholar]
- MCSWINEY R. R., MILLS I. H. Hypercalcaemia due to sarcoidosis; treatment with cortisone. Lancet. 1956 Oct 27;271(6948):862–866. doi: 10.1016/s0140-6736(56)91039-x. [DOI] [PubMed] [Google Scholar]
- MYERS G. B., GOTTLIEB A. M., MATTMAN P. E., ECKLEY G. M., CHASON J. L. Joint and skeletal muscle manifestations in sarcoidosis. Am J Med. 1952 Feb;12(2):161–169. doi: 10.1016/0002-9343(52)90209-x. [DOI] [PubMed] [Google Scholar]
- PORTER G. H. Sarcoid heart disease. N Engl J Med. 1960 Dec 29;263:1350–1357. doi: 10.1056/NEJM196012292632608. [DOI] [PubMed] [Google Scholar]
- SHULMAN L. E., SCHOENRICH E. H., HARVEY A. M. The effects of adrenocorticotropic hormone (ACTH) and cortisone on sarcoidosis. Bull Johns Hopkins Hosp. 1952 Nov;91(5):371–415. [PubMed] [Google Scholar]
- SNAPPER I., YARVIS J. J., FREUND H. R., GOLDBERG A. F. Hyperparathyroidism in identical twins, one of whom suffered concomitantly of Boeck's sarcoidosis. Metabolism. 1958 Nov;7(6):671–680. [PubMed] [Google Scholar]
- SOKOLOFF L., BUNIM J. J. Clinical and pathological studies of joint involvement in sarcoidosis. N Engl J Med. 1959 Apr 23;260(17):841–847. doi: 10.1056/NEJM195904232601701. [DOI] [PubMed] [Google Scholar]
- TEIRSTEIN A. S., WOLF B. S., SILTZBACH L. E. Sarcoidosis of the skull. N Engl J Med. 1961 Jul 13;265:65–68. doi: 10.1056/NEJM196107132650204. [DOI] [PubMed] [Google Scholar]
- WALLACE S. L., LATTES R., MALIA J. P., RAGAN C. Muscle involvement in Boeck's sarcoid. Ann Intern Med. 1958 Mar;48(3):497–511. doi: 10.7326/0003-4819-48-3-497. [DOI] [PubMed] [Google Scholar]
- WILLIAMS M. J. Sarcoidosis presenting with polyarthritis. Ann Rheum Dis. 1961 Jun;20:138–143. doi: 10.1136/ard.20.2.138. [DOI] [PMC free article] [PubMed] [Google Scholar]
















