Abstract
Introduction
A novel hyperinflammatory syndrome has emerged in the paediatric population: paediatric inflammatory multisystem syndrome – temporally associated with SARS-CoV-2 (PIMS-TS). Up to 50% of patients develop shock with cardiac dysfunction but presentation with acute abdominal pain is common and difficult to distinguish from appendicitis.
Method
Prospective case series of PIMS-TS patients presenting to a single UK tertiary paediatric centre.
Results
As of 16 September 2020, 89 patients have presented with PIMS-TS to our institution; 19 (21.3%) were referred for surgical review. Pyrexia and acute abdominal pain were seen in all 19 patients. Diarrhoea was reported in 14 (73%) and vomiting in 12 (63%). On examination, eight (42%) had right abdominal tenderness, of which five had right iliac fossa (RIF) peritonism. C-reactive protein (CRP) was universally raised: median 176 (15–463)mg/l. Abdominal imaging was performed in 17 (89%), with 11 undergoing abdominal ultrasonography (65%) and 8 abdominal computed tomography (47%); two required both. Findings included nonspecific features of inflammation in the RIF. Eight patients (42%) had an abnormal echocardiogram at admission. Two (10%) patients, with classical signs and symptoms of appendicitis, underwent appendicectomy without radiological imaging and were subsequently diagnosed with PIMS-TS. During the same period, 18 patients underwent appendicectomy for histologically confirmed appendicitis. Serum CRP and ferritin levels were significantly higher in the PIMS-TS cohort compared with children with appendicitis.
Conclusions
PIMS-TS is a novel paediatric condition that may mimic appendicitis. It should be considered in patients presenting with abdominal pain to avoid unnecessary surgery in children at risk of cardiovascular instability.
Keywords: COVID-19, Hyperinflammatory syndrome, Acute appendicitis
Introduction
In April 2020, children began presenting in the UK with an unusual clinical picture of severe systemic inflammation. In the UK and Europe, this has been termed paediatric inflammatory multisystem syndrome – temporally associated with SARS-CoV-2 (PIMS-TS), and multisystem inflammatory syndrome in children (MIS-C) in North America. Although aetiology remains unclear, it appears to be a novel hyperinflammatory condition limited to the paediatric population.1 The most common phenotype is an atypical Kawasaki-like disease in association with marked gastrointestinal upset and, in up to 50% of patients, profound shock.2,3
A national alert was made to Public Health England in mid-April 2020 after a cluster of eight patients were admitted to a London-based paediatric intensive care unit (PICU).4 They were mostly of Afro-Caribbean descent, with weight >75 percentile for age, aged 4–14 years (median 8 years) and presented with shock, pyrexia and raised inflammatory markers; developing cardiorespiratory compromise as well as variable Kawasaki symptoms. The reported incidence of typical Kawasaki disease in the UK is 8.4/100,000 children under 5 years of age per annum, so not only is this new phenomenon presenting with atypical shock but also in high numbers and outwith the normal age range.5
Since the national alert was issued, over 100 cases have been reported in the UK with similar cohorts appearing internationally.3,6 A national alert was made in North America to the Centre for Disease Control and Prevention (CDC) on 14 May 2020, after a rapid influx of cases in New York City.6 On 15 May 2020, the European Centre for Disease Prevention and Control (ECDC) published a Rapid Risk Assessment reporting all published cases to date, with over 250 being identified.7
Of particular concern to surgeons is that a significant number of patients subsequently diagnosed with PIMS-TS initially presented with an acute abdomen and associated fever, diarrhoea and vomiting, prompting surgical review. Abdominal presentations associated with acute COVID-19 have been reported in eight patients at another UK institution.8
As patients with PIMS-TS have deteriorated with significant cardiopulmonary compromise, it is possible that misdiagnosis of acute appendicitis in these children could have disastrous consequences if subjected to general anaesthetic and abdominal surgery.
We present a case series of PIMS-TS patients, focussing on those presenting with an acute abdomen.
Methods
The World Health Organisation,9 Royal College of Paediatrics and Child Health1 and CDC10 have each published case definitions for PIMS-TS, which are summarised by Whittikar et al.11 In response to the emerging disease, a PIMS-TS multidisciplinary (MDT) working group was established in our institution. Patients included in this study were deemed to have PIMS-TS after assessment by the MDT group against the combined criteria.
A prospective record of patients presenting with PIMS-TS to our institution was kept, starting from 13 April 2020, when the first patient presented. From this cohort, patients with acute abdominal signs and symptoms were extracted. A contemporaneous prospective record of patients diagnosed with acute appendicitis was also maintained.
Clinical characteristics including presenting signs and symptoms, admission serology and radiological findings are described. Data analysis was performed in GraphPadPrism 8.4.3. A Mann–Whitney test was used to compare the PIMS-TS group with the appendicitis cohort, with a p value of <0.05 being significant. Data are presented as median (range).
Results
The database was accessed on 16 September 2020 and the last presentation of PIMS-TS at our institution was on 24 July 2020, in line with the overall national decline in COVID-19 cases.12 A total of 89 patients were diagnosed and treated for PIMS-TS between 13 April and 24 July 2020. Median age was 9 years (4 months – 17 years), and 59 (66.2%) were male; 19 (21.3%) were referred for surgical assessment, median age 10 (4-16) years, 16 (84.2%) males.
In the surgical cohort, weight was greater than 75th percentile for age in 11 (57.8%). Ethnic origin was: Afro-Caribbean 9 (47.3%), Middle-Eastern 5 (26.3%), Caucasian 4 (21.0%) and Chinese 1 (5.2%). One patient had underlying comorbidities: a 9-year-old boy with severe cerebral palsy and dystonia (Patient 15).
Four (21%) patients had a positive SARS-CoV-2 RT-PCR swab, three during admission and one positive only at postmortem, with negative swab results prior to this. SARS-COV-2 IgG antibody was positive in 12 patients (63.1%). Three patients had a negative SARS-CoV-2 IgG antibody test. Four patients had no antibody results.
Table 1 summarises the characteristics and results of patients requiring surgical review.
Table 1 .
Summary of characteristics and main findings in patients with PIMS-TS presenting with acute abdominal pain (n=19), patients numbered in order of date of admission.
| Pt. | Age (years) | M/F | Weight Centile (%) | Ethnicity | Abdo Pain | Vomiting | Bilious Vomiting | Diarrhoea | Fever | Abdominal Examination | Hb (g/l) | WCC (×109/l) | Neut (×109/l) | Lymph (×109/l) | CRP (mg/l) | Ferritin (μg/l) | Trop T (ng/l) | Fibrinogen (Clauss) (g/l) | D-Dimer (mg/l) | NT-proBNP (ng/l) | Image findingsUs=11, CT=8 | 
|---|---|---|---|---|---|---|---|---|---|---|---|---|---|---|---|---|---|---|---|---|---|
| 1 | 14 | M | 100 | Afro-Carribean | Y | N | N | Y | Y | General Tenderness | 77 | 14 | 12.3 | 1 | 463 | 2185 | 483 | 7 . 3 | 6 . 44 | 22,717 | CT: Fluid in RIF, marked caecal wall thickening, fat stranding, appendix not seen (Figure 2) | 
| 2 | 8 | M | 80 | Afro-Carribean | Y | N | N | Y | Y | General Tenderness | 89 | 10.7 | 8.6 | 1.7 | 248 | 277 | 7 | 6 | 3 . 7 | 26 | US: Enlarged Liver, no other abnormalities | 
| 3 | 4 | M | 75 | Middle-eastern | Y | Y | N | Y | Y | General Tenderness (+ distension) | 93 | 6.6 | 5.5 | 0.8 | 205 | 317 | 45 | 4 . 9 | 4 . 9 | 319 | US+CT: Moderate amount of ascites | 
| 4 | 9 | M | 70 | Middle-eastern | Y | Y | Y | Y | Y | Localised RIF peritonitis | 92 | 9.8 | 8.9 | 0.5 | 178 | 1,332 | 112 | 6 . 1 | 10 . 4 | 9,353 | US: Localised RIF enlarged reactive lymph nodes with associated inflammatory changes, appendix not seen (Figure 1) | 
| 5 | 12 | M | 80 | Afro-Carribean | Y | Y | N | Y | Y | Localised RIF peritonitis | 83 | 24 | 9.5 | 0.8 | 340 | 528 | 177 | 4 . 4 | 17 | 5,143 | CT (at local): Thick walled Gallbladder, free fluid in pelvis, thin walled appendix with appendicolith (Figure 3) | 
| 6 | 13 | M | 80 | Middle-eastern | Y | Y | N | Y | Y | Right sided tenderness | 126 | 10.6 | 9.1 | 1 | 131 | 1,042 | 72 | 4 . 7 | 3 . 6 | 1,941 | CT: Free fluid in pelvis, no signs of appendicitis | 
| 7 | 11 | F | 70 | Afro-Carribean | Y | Y | Y | Y | Y | Localised RIF peritonitis | 126 | 9.5 | 6.8 | 1.5 | 137 | 118 | 4 | 2.43 | 19 | No Imaging | |
| 8 | 6 | F | 30 | Chinese | Y | N | N | N | Y | General tenderness | 90 | 19 | 12.3 | 5.7 | 15 | 82 | 3 | 4 . 1 | 1 . 6 | 20 | US: Intermittent small bowel Intussusception | 
| 9 | 16 | M | 60 | Caucasian | Y | Y | N | N | Y | Left sided tenderness | 109 | 8.2 | 3.7 | 3.2 | 108 | 418 | 8 | 3 . 3 | 1 . 14 | 1,573 | CT (at local): Enlarged mesenteric lymph nodes and fat stranding in the RIF | 
| 10 | 14 | M | 100 | Afro-Carribean | Y | N | N | Y | Y | Right sided tenderness | 113 | 7.9 | 6.4 | 0.7 | 181 | 397 | 6 | 7 . 2 | 2 . 96 | 14 | CT (at local): Enlarged mesenteric lymph nodes | 
| 11 | 16 | M | 90 | Middle-Eastern | Y | Y | N | Y | Y | Localised RIF peritonitis | 136 | 9 | 7.1 | 1.2 | 287 | 3 | 7 . 1 | 2 . 2 | 40 | CT: Terminal ileitis, mesenteric lymph nodes, no free fluid, appendix not visualised | |
| 12 | 7 | M | 85 | Middle-Eastern | Y | Y | N | Y | Y | General Tenderness | 92 | 13 | 8.4 | 1.3 | 167 | 400 | 89 | 7 | 3.76 | 12,567 | US: Gallbladder distended, trace free fluid RIF, normal appendix | 
| 13 | 9 | M | 95 | Afro-Carribean | Y | Y | N | Y | Y | Right sided tenderness | 123 | 9.9 | 7.3 | 1.4 | 152 | 565 | 16 | 1 . 3 | 5 . 3 | 584 | US: Normal | 
| 14 | 12 | M | 100 | Afro-Carribean | Y | Y | N | N | Y | General Tenderness (+ distension) | 104 | 9.1 | 6.6 | 1.8 | 176 | 89 | 9 | 2 . 6 | 1 . 9 | 229 | US: Normal | 
| 15 | 9 | M | 20 | Caucasian | Y | N | N | Y | Y | General Tenderness (+ distension) | 116 | 14 | 11.2 | 2.2 | 45 | 65 | 6 | 4 . 9 | 0 . 41 | 106 | US: Normal | 
| 16 | 4 | M | 50 | Caucasian | Y | Y | N | Y | Y | General Tenderness | 108 | 10.5 | 8.9 | 1.1 | 216 | 172 | 3 | 6 . 8 | 10 . 6 | 482 | US: Normal | 
| 17 | 10 | M | 100 | Afro-Carribean | Y | N | N | Y | Y | Not Tender | 142 | 6.1 | 5.0 | 0.9 | 220 | 216 | 5 | 6 . 1 | 22 . 0 | 29 | US: Normal | 
| 18 | 5 | F | 65 | Caucasian | Y | Y | N | N | Y | Localised RIF peritonitis | 125 | 22.0 | 19.2 | 2.3 | 161 | 151 | 3 | 5 . 8 | 0 . 61 | 535 | No Imaging | 
| 19 | 12 | M | 50 | Afro-Carribean | Y | N | N | N | Y | General Tenderness | 113 | 5.5 | 4.2 | 0.6 | 119 | 118 | 4 | 5 . 6 | 2 . 37 | 158 | US+CT: Bowel wall thickening in keeping with colitis | 
M = Male, F = Female, Y = Yes, N = No Hb = Haemoglobin, WCC = White Cell Count, Neut = Neutrophils, Lymph = Lymphocytes, CRP = C-Reactive Protein, Trop T = Troponin T, NT-proBNP = N-Terminal Prohormone of Brain Natriuretic Peptide, PIMS-TS = Paediatric Inflammatory Multisystem Syndrome – Temporally Associated with SARS-CoV-2, RIF = Right Iliac Fossa, US = Ultrasound Scan.
Clinical symptoms
All 19 patients presented with persistent fever over 38 degrees Celsius and abdominal pain. Associated diarrhoea was seen in 14 (73.6%) patients and vomiting in 12 (63.1%), with 3 (15.7%) having documented bilious vomiting. Abdominal pain was the initial symptom in five (26.3%), with the majority reporting fever over 24h prior to the onset of gastrointestinal symptoms. Patients presented at a median of 3 (1–6) days into their illness. On examination of the abdomen, 18 patients were tender to palpation, with one patient having a normal abdominal examination. Nine (47.3%) patients had generalised tenderness; one had left abdominal tenderness; eight (42.1%) had right abdominal tenderness, of whom five (26.3%) had focal right iliac fossa (RIF) peritonism. Three (15.7%) had abdominal distension.
Eight (42.1%) patients required admission to PICU for inotropic support, with a median PICU length of stay of 5 (1–7) days.
Serological findings
On serological studies, CRP was raised at admission in all 19 patients (median 176 (15–463) mg/l (normal <1mg/l)). However, raised white cell count (WCC) was not universal (median 9.9 (5.5–24) 109/l (normal 4–11×109/l)). Lymphocytes were at the lower end of normal range (median 1.2 (0.5– 5.7)×109/l (normal 1.2–3.5×109/l)) and neutrophils were only slightly elevated (median 8.5 (3.7–19.2)×109/l[normal 1.5–7.0×109/l]).
Markers used in the diagnostic criteria for PIMS-TS but not generally associated with, or measured in, abdominal pathology, were frequently raised: ferritin (317 (65–2,185) µg/l, (normal 14–101µg/l)), D-dimer (3.6 (0.41–22.0) mg/l, (normal 0.00–0.05mg/l), troponin T (7 (3–483) ng/l (normal 0–13ng/l)) and N-terminal prohormone of brain natriuretic peptide (NTpro-BNP) (319 (14–22,717) ng/ml, (<400 normal, 400–2,000 could indicate heart failure, >2,000 concern for heart failure)).
Radiological findings
A total of 17 (89.4%) patients underwent imaging. Abdominal ultrasound scan (US) was performed in 11 (57.8%), with 2 children proceeding to computed tomography (CT) due to diagnostic doubt. Four (21%) patients had CT at their local hospital before transfer to our centre. A further two (10.5%) underwent primary abdominal CT at the tertiary centre due to their degree of haemodynamic compromise and diagnostic uncertainty.
US was abnormal in six patients, with evidence of RIF inflammatory changes seen; expanded echogenic mesenteric fat, lymphadenopathy and free fluid (Figure 1). One US showed an enlarged liver correlating with cardiac dysfunction. Another showed marked bowel wall thickening in keeping with colitis, confirmed on CT. A transient small-bowel intussusception was noted in one patient, which can be a normal finding.
Figure 1 .
High-frequency US in a 9-year-old male with sepsis, abdominal pain, vomiting and diarrhoea demonstrated numerous mildly enlarged lymph nodes (more than three nodes measuring >8mm in short-axis diameter) in the RIF (arrows) with increased echogenicity of the surrounding mesenteric fat (*) in keeping with inflammatory change. The appendix was not visualised. RIF = Right Iliac Fossa; US = Ultrasound Scan.
CT studies showed the presence of inflammatory changes in the RIF, with fat-stranding, enlarged mesenteric lymph nodes and free fluid. One patient had a markedly thickened caecum and adjacent terminal ileum, with extensive inflammatory change making it extremely difficult to delineate the appendix (Figure 2). Small-bowel intussusception was noted in one patient, associated with small bowel wall thickening. Two patients did not undergo imaging.
Figure 2 .
CT abdomen in a 14-year-old male with sepsis: marked caecal wall thickening (thin arrow) surrounded by mesenteric hazy fat-stranding (thick arrows). There was also a small amount of free fluid and local lymphadenopathy (not shown here). The appendix could not be identified due to the marked inflammatory change. CT = Computed Tomography.
Echocardiogram findings
A total of 14 (73.6%) patients had an echocardiogram at admission. Eight scans were abnormal, with a range of cardiac involvement seen, from trivial valve regurgitation to severe impairment of function and dilated coronary arteries. One patient had an initially normal echo but developed dilated coronary arteries within 48h of admission.
Specific cases
Several cases presented significant diagnostic uncertainty in the first 24h of their admission.
Patient 4 was a 9-year-old boy presenting with a 5-day history of fever (up to 40 degrees Celsius), diarrhoea, vomiting and abdominal pain. He was haemodynamically unstable, with persistent hypotension and required admission to PICU for inotropic support. On examination he had localised peritonitis in the RIF. Serological markers included raised CRP 178mg/l and WCC 9.8×109/l. US showed mildly enlarged lymph nodes in the RIF with increased echogenicity in the surrounding mesenteric fat (Figure 1). Clinically his presentation was consistent with a perforated appendicitis; however, his degree of shock and CRP level was out of keeping with the relatively equivocal US findings and so PIMS-TS was suspected. He was subsequently found to have systolic dysfunction on echocardiogram and was treated for PIMS-TS. He was discharged from the PICU after 5 days with an overall length of hospital stay of 9 days. At discharge he had resolution of his abdominal symptoms but persistent dilatation of his coronary arteries. This subsequently resolved on follow-up echocardiogram.
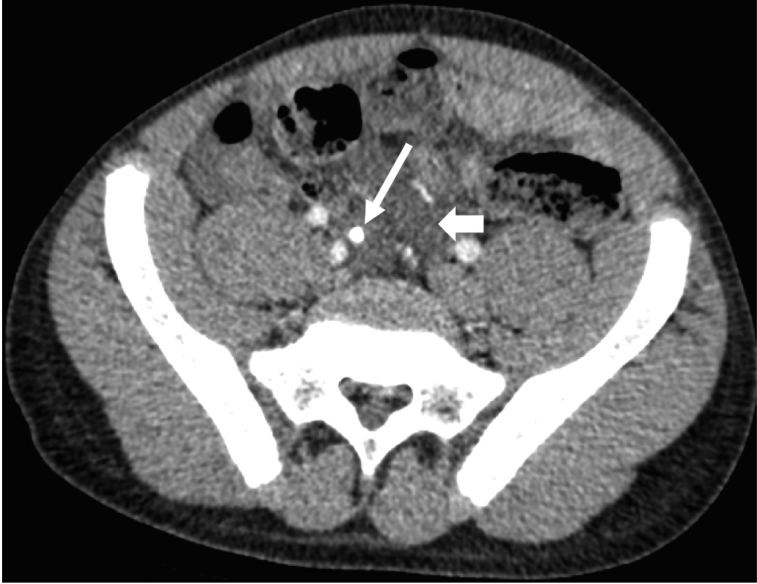
Patient 5 was a 12-year-old boy who presented with a 4-day history of headache, fever, abdominal pain, loose stool and vomiting. On examination he had abdominal distension, localised RIF peritonism and bilious nasogastric aspirates. Serological markers included CRP 340mg/l and WCC 24×109/l. He required resuscitation and admission to PICU for inotropic support. CT abdomen showed a moderate amount of free fluid with an appendicolith seen in a thin-walled appendix (Figure 3). An appendicectomy was contemplated given the clinical findings but not undertaken due to the atypical history of a severe headache and initial fever with the abdominal symptoms presenting only on day 3. He was subsequently found to have significantly raised ferritin (528µg/l), troponin T (177ng/l), D-dimer (17mg/l) and NT-Pro BNP (5,143ng/l). He was treated for PIMS-TS and improved clinically with no surgical intervention.
Figure 3 .
CT abdomen in a 12-year-old male with fever, abdominal pain, raised WCC and CRP shows a small amount of free fluid (thick arrow) in the RIF and pelvis. An appendicolith was noted (thin arrow); however, the appendix appeared normal and there was no surrounding inflammatory change. CRP = C-Reactive Protein; CT = Computed Tomography; RIF = Right Iliac Fossa; WCC = White Cell Count.
Patient 7 was an 11-year-old girl presenting with fever and central abdominal pain, later localising to the RIF. She subsequently developed loose stool and vomiting. CRP was raised at 137mg/l with WCC 9.4×109/l. Examination demonstrated RIF pain, guarding and rebound tenderness in keeping with acute appendicitis. No imaging was performed preoperatively. At open appendicectomy a normal appendix was found (confirmed on histology) with no evidence of small bowel or ovarian pathology. She was haemodynamically stable during anaesthesia and postoperatively. She was discharged home on day 3 postappendicectomy but readmitted 24h later with persisting pain and fever. Serology on readmission included CRP 68mg/l, ESR 111mm/h and D-Dimer 2.37mg/l. She was treated for PIMS-TS, following which she improved and was discharged. She had a normal echocardiogram during admission and at follow-up.
Patient 18 was a 5-year-old girl presenting with a 3-day history of fever and abdominal pain. The pain was central, subsequently localising to the RIF with an associated rise in inflammatory markers; CRP 119mg/l, WCC 5.5×109/l. The options of imaging versus a diagnostic laparoscopy were discussed with the family and it was decided to proceed to theatre without US. She was haemodynamically stable prior to theatre and remained stable peri- and postoperatively. The appendix was found not to be inflamed but pinworms were visible on transection of the appendix, for which she was treated with Mebendazole. Histology was normal. Postoperatively, her fever and abdominal pain persisted and she was diagnosed and treated for PIMS-TS. She subsequently improved and was discharged home. Echocardiogram scans during admission and at follow-up were normal.
Patient outcomes
Median length of stay was 7 (1–18) days, with two patients requiring readmission due to persisting symptoms of PIMS-TS (fever and abdominal pain) and one patient readmitted for a separate reason (complex child with gastrostomy complications). All patients are under ongoing follow up with the PIMS-TS and cardiac teams. Of the eight patients with abnormal echocardiograms, three returned to normal cardiac structure and function on follow-up imaging. Four have persisting abnormalities: two have moderate ventricular dysfunction, one dilated coronary arteries and one a giant coronary aneurysm. One patient died on day 7 of admission from a large cerebral infarct after being placed on extracorporeal life support for refractory cardiovascular shock (Patient 1).
Comparison with patients presenting with acute appendicitis
Between 13 April and 24 July 2020, 18 appendicectomies were performed for histologically proven appendicitis. Median age was 5 (2–12) years and 9 (50%) were male. No patient had a positive SARS-CoV-2 RT-PCR swab.
Due to the evolving phenomenon of PIMS-TS, 12 patients had a hyperinflammatory screen at presentation. A comparison can be seen in Figure 4. CRP was significantly higher in the PIMS-TS group; median 176 vs 83mg/l (p=0.0179), as was ferritin 317 vs 171μg/l (p=0.0435). There was no statistically significant difference in the levels of other markers between the two groups.
Figure 4 .
Comparison between serological markers in PIMS-TS patients compared with those with acute appendicitis. Data presented as median (IQR). *Clinically significant p value (<0.05). IQR = Interquartile Range; PIMS-TS = Paediatric Inflammatory Multisystem Syndrome – Temporally Associated with SARS-CoV-2.
In the appendicitis cohort, two patients had markedly raised hyperinflammatory serum markers. One patient had a D-dimer of 80mg/l but had no symptoms or signs of thrombosis and recovered well after appendicectomy. The second was a 6-month-old child who deteriorated with shock and evolving abdominal tenderness. NT-proBNP measured 1636ng/l on admission, rising to 4,512ng/l. US showed inflammatory changes of the ascending colon and surrounding mesenteric fat. A diagnosis of appendicitis was made after an MDT discussion and abdominal CT. At open appendicectomy, a complex appendix mass with subhepatic abscess was mobilised and washed out. Echocardiogram demonstrated prominent coronary arteries on admission but was subsequently normal. The patient recovered well.
Four (22%) patients with appendicitis received PICU care. None required inotropic support. Median length of stay was 2 (1–2) days.
Discussion
PIMS-TS is a novel multiorgan hyperinflammatory syndrome presenting in the paediatric population. In this early cohort of patients, a significant proportion presented with an acute abdomen mimicking appendicitis clinically, serologically and radiologically. Almost half of these patients had a degree of cardiac dysfunction, and in these patients misdiagnosis and surgical intervention could have disastrous consequences.
Relation to other studies
Due to the novel nature of PIMS-TS, our understanding of the condition is evolving week by week. A small number of the patients we present have also been reported elsewhere; firstly as part of the initial cohort which presented in April 2020,4 and more recently as a subset of the cohort reported in a London-wide collaboration by Whittikar et al.11 Whereas others have reported abdominal symptomatology in acute COVID-19 paediatric patients,8 this is the first report to attempt to define the abdominal presentations of PIMS-TS and differentiate from children with acute appendicitis.
In this series of abdominal presentations of PIMS-TS, persistent high fevers (over 38 degrees Celsius) are the predominant initial symptom in the majority of cases (74%), with the onset of diarrhoea, vomiting and abdominal pain usually occurring later. This may help differentiate between appendicitis and PIMS-TS. Serological markers such as a raised CRP and WCC are often used to aid the diagnosis of appendicitis, with WCC being the most specific marker.13,14 In our cohort of PIMS-TS patients, the rise in CRP was higher than would be expected in appendicitis, with the WCC conversely being lower. Where hyperinflammatory serum markers were performed in our appendicitis patients, we found CRP and ferritin were significantly higher in the PIMS-TS patients compared with those with appendicitis; CRP 176 vs 83g/l (p=0.0179) and ferritin 317 vs 171µg/l (p=0.0435). Other serological markers measured appear to be raised to a similar level and may not be helpful in differentiating the two presentations.
Imaging is vital in managing these children. Abnormal scans showed inflammatory changes in the RIF, including expanded echogenic mesenteric fat (US), fat-stranding (CT), numerous enlarged mesenteric lymph nodes and free fluid in the pelvis. Although these findings can be seen in acute appendicitis, in the absence of visualisation of an abnormal appendix, they are nonspecific and can also be present in a variety of other pathologies, including mesenteric lymphadenitis and inflammatory bowel disease.15,16 Equivocal imaging features in the presence of massively raised inflammatory markers is unusual in appendicitis; with such a marked inflammatory response, more definitive imaging findings would be expected. Tullie et al suggested that abdominal CT should be the favoured imaging modality in these patients, as they advise the appendix should be seen prior to deciding on surgery.8 In our case series we have not seen a significant advantage of CT over US scanning by an expert paediatric radiologist and suggest that overall clinical assessment, considering clinical presentation, examination and serological findings, is more important.
The reasons for PIMS-TS causing abdominal pain remains unclear but there are a variety of possibilities. A generalised inflammatory response with mesenteric lymphadenitis and enlargement of lymphatic tissue in the bowel wall could cause abdominal pain and would be consistent with the imaging findings.17 Alternatively, the abdominal pain may be due to a generalised serositis, which may account for the peritonism on examination and free fluid on imaging. A final explanation may be intestinal hypoperfusion, especially if there are signs of shock or impaired cardiac function; this may account for the terminal ileal changes seen on US and CT, the terminal ileum being the bowel segment with the blood supply most distant from the abdominal aorta.
During the period studied, we operated upon two patients with PIMS-TS who fortunately remained haemodynamically stable under anaesthesia and postoperatively. Given some of the other patients’ degree of shock and clinical course we would be concerned that there is a substantial anaesthetic risk in these children and therefore, where possible, surgery should be avoided.
Strengths and weakness
The understanding of PIMS-TS is continually evolving. Our prospective case series is the largest to date of patients presenting with abdominal symptomatology. However, we present only a single centre cases series and numbers of patients remain small. Serological markers are now well established as part of the diagnostic criteria for PIMS-TS but as yet we do not have a baseline for comparison in other acute abdominal pathology in children.
Future research
Ongoing collaborative multicentre work is needed to further characterise PIMS-TS and its abdominal presentations. A case–control study comparing appendicitis and PIMS-TS will help define the differences in presentation, serum investigations and radiological findings, but fluctuating rates of community COVID-19 infection make this a challenging prospect. National and international reporting of the condition will be vital in this work.
Conclusions
A significant proportion of patients subsequently diagnosed with PIMS-TS are presenting with signs and symptoms mimicking acute appendicitis. Surgical intervention could potentially have devastating consequences due to cardiovascular instability. PIMS-TS should be considered as a differential diagnosis by all practitioners managing paediatric abdominal pain, especially if the history is atypical. A low threshold for additional investigations, abdominal imaging and referral to a tertiary paediatric centre is recommended.
Acknowledgements
We would like to acknowledge the PIMS-TS MDT working group and in particular Julia Kenny and Michael Carter who assisted with data collection.
References
- 1.Royal College of Paediatrics and Child Health. RCPCH Guidance: Paediatric multisystem inflammatory syndrome temporally associated with COVID-19. https://www.rcpch.ac.uk/sites/default/files/2020-05/COVID-19-Paediatric-multisystem-%20inflammatory%20syndrome-20200501.pdf [DOI] [PubMed]
 - 2.Verdoni L, Mazza A, Gervasoni Aet al. An outbreak of severe Kawasaki like disease at the Italian epicentre of the SARS-CoV-2 epidemic: an observational cohort study. Lancet 2020; 395: 1771–1778. 10.1016/S0140-6736(20)31103-X [DOI] [PMC free article] [PubMed] [Google Scholar]
 - 3.Viner R, Whittaker E. Kawasaki-like disease: emerging complication during the COVID-19 pandemic. Lancet 2020; 395: 1741–1743. 10.1016/S0140-6736(20)31129-6 [DOI] [PMC free article] [PubMed] [Google Scholar]
 - 4.Riphagen S, Gomez X, Gonzalez-Martinez Cet al. Hyperinflammatory shock in children during the COVID-19 pandemic. Lancet 2020; 395: 1607–1608. 10.1016/S0140-6736(20)31094-1 [DOI] [PMC free article] [PubMed] [Google Scholar]
 - 5.Agarwal S, Agrawal D. Kawasaki disease: etiopathogenesis and novel treatment strategies. Expert Rev Clin Immunol 2017; 13: 247–258. 10.1080/1744666X.2017.1232165 [DOI] [PMC free article] [PubMed] [Google Scholar]
 - 6.New York State Government. Amid Ongoing COVID-19 Pandemic, Governor Cuomo Announces New York is Notifying 49 Other States of COVID-Related Illness in Children 2020 [11/05/2020]. https://www.governor.ny.gov/news/amid-ongoing-covid-19-pandemic-governor-cuomo-announces-new-yorknotifying-49-other-states
 - 7.European Centre for Disease Prevention and Control. Paediatric Inflammatory Multisystem Syndrome and SARS-CoV-2 Infection in Children – 15 May 2020. Stockholm: ECDC, 2020. [Google Scholar]
 - 8.Tullie L, Ford K, Bisharat Met al. Gastrointestinal features in children with COVID-19: an observation of varied presentation in eight children. Lancet Child Adolesc Health 2020; 4: e19–e20. 10.1016/S2352-4642(20)30165-6 [DOI] [PMC free article] [PubMed] [Google Scholar]
 - 9.World Health Organisation. Multisystem inflammatory syndrome in children and adolescents with COVID-19.. https://www.who.int/publications-detail/multisystem-inflammatorysyndrome-in-children-and-adolescents-withcovid-19
 - 10.Centers for Disease Control and Prevention. Emergency preparedness and response: health alert network. https://emergency.cdc.gov/han/2020/han00432.asp
 - 11.Whittaker E, Bamford A, Kenny Jet al. Clinical characteristics of 58 children with a paediatric inflammatory syndrome temporally associated with SARS-CoV-2. JAMA 2020; 324: 259–269. 10.1001/jama.2020.10369 [DOI] [PMC free article] [PubMed] [Google Scholar]
 - 12.UK Government. Coronavirus (COVID-19) in the UK. https://coronavirus.data.gov.uk/ (cited September 2020).
 - 13.Yokoyama S, Takifuji K, Hotta Tet al. C-Reactive protein is an independent surgical indication marker for appendicitis: a retrospective study. World J Emerg Surg 2009; 4: 36. 10.1186/1749-7922-4-36 [DOI] [PMC free article] [PubMed] [Google Scholar]
 - 14.Yu C, Juan L, Wu Met al. Systematic review and meta-analysis of the diagnostic accuracy of procalcitonin, C-reactive protein and white blood cell count for suspected acute appendicitis. Br J Surg 2013; 100: 322–329. 10.1002/bjs.9008 [DOI] [PubMed] [Google Scholar]
 - 15.Manson D. Contemporary imaging of the child with abdominal pain or distress. Paediatr Child Health 2004; 9: 93–97. 10.1093/pch/9.2.93 [DOI] [PMC free article] [PubMed] [Google Scholar]
 - 16.Sivit C. Imaging the child with right lower quadrant pain and suspected appendicitis: current concepts. Paediatr Radiol 2004; 34: 447–453. 10.1007/s00247-004-1179-7 [DOI] [PubMed] [Google Scholar]
 - 17.Applegate K. Intussusception in children: evidence-based diagnosis and treatment. Pediatr Radiol 2009; 39: 140–143. 10.1007/s00247-009-1178-9 [DOI] [PubMed] [Google Scholar]
 




