Abstract
Introduction
Aneurysm of the celiac artery is a rare type of visceral artery aneurysm with an incidence of 0.1 %2%, but it carries a definitive risk of rupture. Neurofibromatosis type 1 (NF-1) has a remarkable association with a spectrum of arterial diseases, including an occlusive or aneurismal disease. Less often it affects celiac arteries.
Presentation of case
Here we present a case of rupture of celiac artery aneurysm in a patient NF-1 who presented with sudden onset of acute severe epigastric pain with tenderness and guarding in the epigastric region. Computed tomography (CT) scan revealed celiac artery aneurysm with evidence of retroperitoneal hematoma. As the patient became unstable, we performed emergency laparotomy in the best interest of the patient in our setting, and we barely controlled the source of bleeding. Unfortunately, we could not save the patient as he developed disseminated intravascular coagulation due to a massive blood transfusion.
Discussion
Visceral artery aneurysm should be considered in patients present with an acute abdomen with anemia. As neurofibromatosis is associated with a spectrum of a vascular disease, vascular screening needs to be considered.
Conclusion
Even though celiac artery aneurysm is rare, it should be considered as one of the prompt differential diagnoses when patients present with an acute abdomen with anemia to prevent a fatal outcome.
Keywords: Acute abdomen, Celiac artery aneurysm
Highlights
-
•
Visceral artery aneurysm should be considered as one of the prompt differential diagnosis in patients with acute abdomen and anaemia.
-
•
As neurofibromatosis is associated with a spectrum of a vascular disease, vascular screening needs to be considered.
-
•
Celiac artery aneurysms are rare, presentation can mimic pancreatitis and gastric outlet obstruction.
1. Introduction
Visceral artery aneurysms (VAA) are defined as aneurysms in the celiac, superior, or inferior mesenteric arteries, and their branches. Aortic and renal artery aneurysms aren't included [1].
VAA is rare but can be threatening to life when it ruptures [2].
Even though aneurysms of the splenic artery are the most common (60 %), aneurysms of the celiac artery are one of the rarest types of visceral artery aneurysms (4 %) with an incidence of 0.1 %–2 % with a mean age of the presentation of 64 years [1,2]. VAA is also found to be associated with rare diseases such as von Recklinghausen disease (neurofibromatosis type 1), Ehlers–Danlos syndrome, polyarteritisnodosa, and Behçet disease [1].
Often, VAAs are not initially suspected in patients presenting with abdominal complaints, due to their rarity and non-specific clinical symptoms, which can lead to a delay in diagnosis [2].
Anyhow, VAA should be considered in the differential diagnosis when a patient presents with a sudden onset of abdominal pain with anemia [1].
Here, we share our experience of managing an acute abdomen due to a ruptured celiac artery aneurysm.
Method of work has been reported in line with the SCARE criteria.
2. Presentation of case
Male in his 60s, a known patient with neurofibromatosis type 1 presented with sudden onset of epigastric pain for 6 h and was transferred from local hospital for further specialized management to a vascular center as lack of CT scan and expertise at the periphery. The pain was a sudden onset and was a severe, continuous type of pain reduced by bending forward. He had never experienced similar types of pain in the past.
Upon examination, he had tenderness and guarding in the epigastric region. Murphy's sign was negative and hemodynamically, he was stable. Initial blood investigations are including inflammatory markers and cardiac enzymes were performed and were said to be within the normal range. There were no ischemic changes in the electrocardiogram. While he was awaiting an urgent CT scan, he developed cardiac arrest. He was given a cardiac massage, and he has got his rhythm back. As we did not have any diagnosis at this stage, we decided to perform an urgent CT scan.
2.1. Investigations if relevant
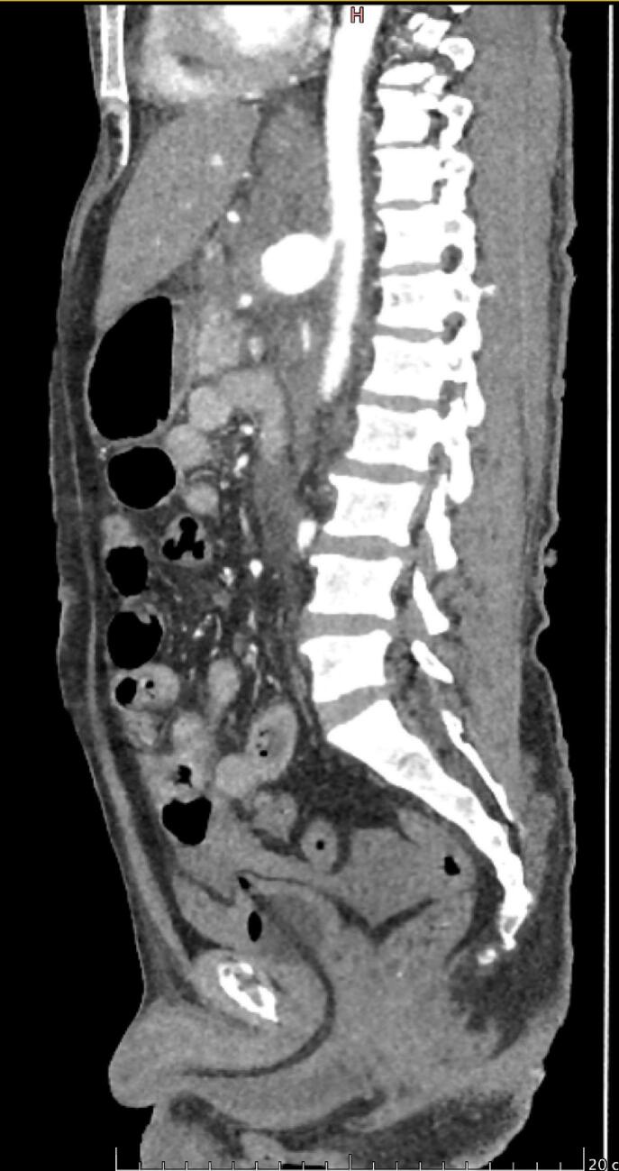
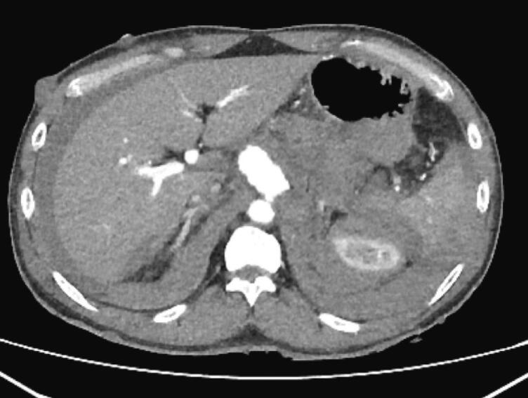
Contrast-enhanced CT abdomen revealed a celiac artery aneurysm without any active contrast leakage, but there was a retroperitoneal hematoma (Fig. 1 and Fig. 2).
Fig. 1.
Sagittal view of CECT abdomen shows celiac artery aneurysm at T12 LEVEL.
Fig. 2.
Axial view of CECT abdomen shows celiac artery aneurysm.
2.2. Differential diagnosis if relevant
The above clinical symptoms and signs initially acute pancreatitis was suspected but, blood investigations weren't suggestive of it. As we didn't have any diagnosis at this stage, we decided to perform an urgent CT scan and revealed a celiac artery aneurysm.
2.3. Treatment if relevant
An emergency laparotomy was performed as he became hemodynamically unstable. He was found to have a hematoma around the celiac trunk and his celiac artery was legated. He had a significant amount of bleeding during the operation and needed a massive blood transfusion. Fortunately, there was no evidence of visceral ischemia during the operation. Surgery lasted around 2 hours. During post operative period, he was monitored at the surgical intensive care unit, for the evidence of end organ ischemia and to consider aorta celiac bypass in case.
2.4. Outcome and follow-up
Unfortunately, the patient died as he developed disseminated intravascular coagulation due to the massive blood transfusion 10 hours after the operation.
3. Discussion
Neurofibromatosis type 1 or Von Recklinghausen disease is an autosomal dominant, multisystem genetic disorder caused by the mutation of a gene on chromosome 17 and characterized by growth impairment of the neural crest cells. Clinical manifestations are multiple neural tumors, cutaneous pigmentation, and Lisch nodules [3]. Neurofibromatosis type 1 has a remarkable association with a spectrum of arterial diseases, that may be occlusive or aneurysmal, affecting predominantly the renal arteries and less often the abdominal aorta (middle aortic syndrome), mesenteric and peripheral arteries [4,5]. Reported causes of rupture of an aneurysm in neurofibromatosis are either due to the direct infiltration of neurofibromas into tunica media and smooth muscle proliferation in the tunica media or vasavasorum of the large artery compressed by NF that leads to the weakness of the blood vessel wall [5].
Celiac artery aneurysms are asymptomatic and most of the time incidentally identified on imaging. Two-thirds of celiac artery aneurysms are often associated with other aneurysms, such as aortic (18 %), renal, popliteal, and femoral. Even though celiac artery aneurysm is rare, it carries a definitive risk of rupture and is associated with high (at least 50 %) mortality when it ruptures. Symptoms of celiac artery aneurysm are epigastric and back pain, which can mimic pancreatitis due to the anatomical location of the artery [1,5]. They can also present with jaundice or symptoms of gastric outlet obstruction [6]. As vascular diseases in neurofibromatosis are well known, vascular tree screening should be considered in clinically suspicious patients to prevent fatal aneurysmal complications [7].
CT angiography, magnetic resonance angiography, and abdominal ultrasound scan are useful for identifying the morphology and features of the aneurysm. Angiography is the gold standard for diagnosis [6]. Although it is more invasive and requires more time than the non-invasive imaging modalities, it provides accurate details of the blood vessels and facilitates further appropriate management [1].
In this case as patient is previously asymptomatic and due to limited available resources in our setting, patient didn't undergo evaluation for VAA.
VAAs were treated with laparoscopic ligation or open surgery methods such as aneurysmectomy, ligation, or bypass with a venous graft/prosthetic vascular graft or endovascular therapy either by embolization and endograft or a combination of this (hybrid method) [1] The selection of treatment strategies depends on anatomical location, size of the aneurysm, presentation and patient factors such as associated co-morbidities and additional risk factors such as inflammation, vasculitis, connective tissue disorder and portal hypertension [1]. Indications to treat VAA in NF patients are the same criteria as in patients without NF [3]. The ideal approach to the management of asymptomatic patients remains unclear. Anyhow, treatment is considered as asymptomatic when a celiac artery aneurysm is larger than 2.5 cm in diameter [8].
The endovascular approach is the first-line treatment as it is safe and effective even in hemodynamically unstable patients of all ages because it has lower cardiovascular complications as well as a short duration of hospital stay [3].
Open repair has a high mortality, supra celiac aorta to hepatic artery bypass can be used for managing celiac artery aneurysms in patients who are not candidates for endovascular repair where an aneurysm involves the origin of the celiac artery as there is no seal zone for stent or graft. Anyhow, vascular reconstruction is an important option to preserve organ blood flow and when an endovascular approach fails [1,9]. Though endovascular approach is first line treatment, ligation without reconstruction performed in emergency situation as in our case. It has been reported cases of celiac artery ligation without any reconstruction [11,12]. Utilization of the existing collaterals of superior mesenteric artery with celiac artery will avoid complex reconstructive procedures.
In this study, we performed an emergency laparotomy in the best interest of the patient. He had a significant amount of bleeding during the operation, which required a massive transfusion. As he was unstable, he was not a candidate for any bypass procedures. We performed celiac artery ligation as a damage control procedure. After the operation, he was managed in the critical care unit. Unfortunately, we couldn't save the patient as he developed disseminated intravascular coagulation due to a massive blood transfusion.
Even though celiac artery aneurysm is rare, it should be considered as one of the prompt differential diagnoses when patients present with an acute abdomen with anemia to prevent a fatal outcome.
Funding
This research did not receive any specific grant from funding agencies in the public, commercial, or not-for-profit sectors.
Declaration of competing interest
Authors declare there is no conflict of interest.
References
- 1.Obara H., Kentaro M., Inoue M., Kitagawa Y. Current management strategies for visceral artery aneurysms: an overview. Surg Today. 2020 Jan;50(1):38–49. doi: 10.1007/s00595-019-01898-3. Epub 2019 Oct 16. Surg. Today. 2020;50(3):320. doi: 10.1007/s00595-019-01898-3. Erratum in: Mar. PMID: 31620866; PMCID: PMC6949316. [DOI] [PMC free article] [PubMed] [Google Scholar]
- 2.Vecchia J.D., Blazar E. A missed celiac artery aneurysm leading to rupture: a case report. Clin. Pract. Cases Emerg. Med. 2020;4(3):440–442. doi: 10.5811/cpcem.2020.6.46513. Aug. PMID: 32926707; PMCID: PMC7434271.Page 4 of 8 Updated April 2022. [DOI] [PMC free article] [PubMed] [Google Scholar]
- 3.Delis K.T., Gloviczki P. Neurofibromatosis type 1: from presentation and diagnosis to vascular and endovascular therapy. Perspect. Vasc. Surg. Endovasc. Ther. 2006;18(3):226–237. doi: 10.1177/1531003506296488. https://www.jvascsurg.org/article/S0741-5214(07)00722-7/fulltext Sep. PMID: 17172538. Sep. PMID: 17172538. [DOI] [PubMed] [Google Scholar]
- 4.Fukushima N., Aoki H., Takenaga S., et al. Ruptured visceral artery aneurysms in a.patient of neurofibromatosis type 1 (NF-1) successfully treated by endovascular treatment. Surg. Case Rep. 2020;6:18. doi: 10.1186/s40792-020-0791-6. [DOI] [PMC free article] [PubMed] [Google Scholar]
- 5.Johal M, Kalaravy M, Ali F, Barve R, Ahmed A, Francis CT, Harky A. Evolving diagnostic and therapeutic options for visceral artery aneurysms. Ann. Vasc. Surg. 2021 Oct;76:488–499. doi: 10.1016/j.avsg.2021.03.012. (Epub 2021 Apr 3. PMID: 338232). [DOI] [PubMed]
- 6.Gehlen J.M., Heeren P.A., Verhagen P.F., Peppelenbosch A.G. Visceral artery aneurysms. Vasc. Endovasc. Surg. 2011;45(8):681–687. doi: 10.1177/1538574411418129. Nov. (PMID: 22262112) [DOI] [PubMed] [Google Scholar]
- 7.Bargiela D., Verkerk M.M., Wee I., Welman K., Ng E., Choong A.M.T.L. The endovascular management of neurofibromatosis-associated aneurysms: a systematic review. Eur. J. Radiol. 2018;100:66–75. doi: 10.1016/j.ejrad.2017.12.014. Mar. Epub 2017 Dec 23. PMID: 29496081. [DOI] [PubMed] [Google Scholar]
- 8.Becquemin J.P. Management of the diseases of mesenteric arteries and veins: clinical practice guidelines of the European Society for Vascular Surgery (ESVS) [corrected]. Eur J VascEndovasc Surg. 2017 Apr;53(4):455–457. doi: 10.1016/j.ejvs.2017.03.009. Eur. J. Vasc. Endovasc. Surg. 2018;56(6):920. doi: 10.1016/j.ejvs.2017.03.009. Erratum in: Dec. (PMID: 28359439) [DOI] [PubMed] [Google Scholar]
- 9.Etkin Yana, Talathi Sonia, Wang Bo, Landis Gregg. Open repair of celiac artery aneurysm. J. Vasc. Surg. 2019;70(2):e33–e34. doi: 10.1016/j.jvs.2019.06.039. [DOI] [Google Scholar]
- 11.Varma D., Chatuparambil B., Upadhya S., Devaraju S., Krishnan D.K. Ligation of symptomatic celiac artery aneurysm without vascular reconstruction: utilizing the natural colateral circulation of the celiac axis: a case report. Int. J. Surg. Case Rep. 2021;78:187–191. doi: 10.1016/j.ijscr.2020.12.017. Jan 1. [DOI] [PMC free article] [PubMed] [Google Scholar]
- 12.Stone W.M., Abbas M.A., Gloviczki P., Fowl R.J., Cher y KJ. Celiac arterial aneurysms: a critical reappraisal of a rare entity. Arch. Surg. 2002;137(6):67. doi: 10.1001/archsurg.137.6.670. Jun 1. [DOI] [PubMed] [Google Scholar]


