Estimado Director:
Presentamos el caso de una mujer de 65 años de edad, sin hábitos tóxicos, con antecedentes personales de dislipemia, asma y cáncer de mama, que requirió tratamiento quirúrgico mediante tumorectomía derecha y radioterapia hace cinco años, actualmente en remisión completa.
Acudió a urgencias, por dolor en región costal derecha de tres meses de evolución, que fue aumentando progresivamente, sin mejoría a pesar de tratamiento con analgesia convencional, y sin presentar en ningún momento neuropatía asociada. La paciente no presentó disnea, ni fiebre, así como tampoco, síndrome constitucional. En la exploración física, presentó dolor a la palpación en la pared torácica derecha, sin signos de tumefacción y con una auscultación cardiopulmonar normal.
Se solicitó una radiografía de tórax que evidenció una lesión nodular de características extrapulmonares en hemitórax derecho (fig. 1 A), analítica sanguínea y pruebas funcionales respiratorias con los siguientes parámetros: FVC: 2,83 L (91%); FEV1: 2,94 L (85%); FEV1/FVC: 82%. Test de difusión: DLCO: 117% y KCO: 122%; sin alteraciones significativas.
Figura 1.
Radiografía simple (A), lesión de características extrapulmonares en la base del hemitórax derecho (flecha). Cortes axial (B) y coronal (C) de TC de tórax, lesión sólida (cabezas de flechas) heterogénea de 45 x 30 extraparenquimatosa, afectando al espacio intercostal entre el 7° y 8° arcos costales derechos. Asocia destrucción ósea parcial con reacción esclerótica y expansiva del séptimo arco costal.
Se procedió a ampliar el estudio con una tomografía computarizada (TC) de tórax, en la que se apreció una lesión sólida de partes blandas en la región intercostal lateral del hemitórax derecho, de características extraparenquimatosas, afectando al espacio intercostal entre el 7° y 8° arcos costales derechos, produciendo destrucción ósea parcial con reacción esclerótica y expansiva del séptimo arco costal (fig. 1 B y C).
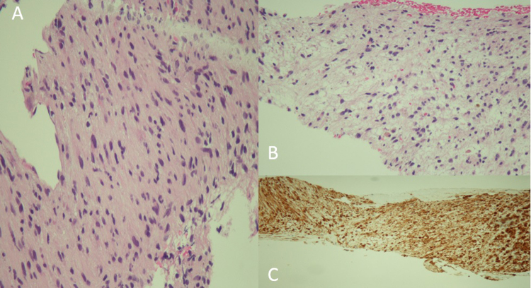
Se realizó una biopsia con aguja gruesa guiada por ecografía (BAG) de la lesión de partes blandas, con resultado anatomopatológico de tumor de vaina nerviosa periférica benigno compatible con schwannoma intercostal derecho (fig. 2 A, B, C).
Figura 2.
Anatomía patológica de biopsia con aguja gruesa guiada por ecografía (BAG) de la lesión de partes blandas localizada en la región intercostal lateral del hemitórax derecho.
A: Descripción microscópica: Proliferación estromal fusocelular, moderadamente celular, no atípica (zona Antoni A). HE x 100.
B: Descripción microscópica: Proliferación estromal fusocelular, hipocelular, no atípica con datos de sangrado (zona Antoni B). HE x 100.
C: Estudio inmunohistoquímico: Positividad intensa y difusa para S100. IHQ x 100.
Tras confirmar el diagnóstico, se derivó al servicio de Cirugía Torácica, en el que se realizó resección quirúrgica de la lesión y costectomía de los 7° y 8° arcos costales derechos, sin complicaciones en el postoperatorio y con mejoría del dolor costal.
Los schwannomas o neurilemomas son tumores que se originan en las células de Schwann de la vaina nerviosa1. Su localización más frecuente es en cráneo y extremidades, con menor frecuencia en el mediastino y retroperitoneo. En el tórax, la localización más común de los tumores neurogénicos es en el mediastino posterior, menos frecuente en el mediastino anterior (6%), el parénquima pulmonar (2%) y la pared torácica lateral (5%)2, 3.
Generalmente, se trata de tumores benignos y de crecimiento lento, aunque, se ha descrito su asociación, hasta en un 20%, a la enfermedad de von Recklinghausen, en cuyo caso suelen ser de localización atípica y de naturaleza maligna4, 5.
Estos tumores suelen detectarse entre la tercera y quinta década de la vida, con igual incidencia en hombres y en mujeres.
Desde el punto de vista clínico, los schwannomas, en la mayoría de las ocasiones, son asintomáticos y se suelen detectar de manera incidental en un estudio radiológico. En caso de presentar síntomas, como dolor, tos, disnea y disfagia, éstos vienen determinados por la compresión de estructuras vecinas6. En el caso que exponemos, la paciente sí refiere sintomatología, presentando un dolor intenso en la región costal refractario a tratamiento analgésico convencional.
Las técnicas de imagen aportan datos relevantes como la localización, tamaño y compromiso de estructuras vecinas. La importancia radica en la posibilidad de confusión con tumores extrapulmonares y de la pared torácica metastásicos o primarios, dado los antecedentes previos de nuestra paciente.
En la radiografía simple de tórax, los schwannomas de menor tamaño, tienden a ser redondeados, firmes y bien delimitados, mientras que los de mayor tamaño son ovoides o lobulados. Además, la erosión ósea en ocasiones puede visualizarse, como en nuestro caso, aunque es rara7, 8.
En la TC de tórax sin contraste, el schwannoma típicamente se muestra como una masa homogénea, circunscrita con una densidad ligeramente menor o igual a la del músculo7, 8. Los schwannomas pueden presentar áreas de menor densidad en relación con zonas de grasa o degeneración quística. En la TC con contraste, los schwannomas pequeños suelen captar contraste de manera homogénea y los más grandes presentan una captación más heterogénea9.
Con respecto a la anatomía patológica del schwannoma, microscópicamente, se pueden reconocer dos patrones de tejido diferentes, denominados Antoni A y Antoni B. El tejido Antoni A es más típico de los schwannomas, ya que está compuesto por células fusiformes dispuestas en empalizada o formando los cuerpos de Verocay. En cambio, Antoni B es un tejido mixomatoso y degenerativo, que contiene pocas células y una matriz abundante que las separa de las fibras tumorales, formando espacios quísticos10.
La inmunohistoquímica utilizando la proteína S-100 es otro recurso utilizado para identificar schwannomas y caracterizar su malignidad o benignidad, ya que, en tejidos blandos fuera del sistema nervioso central, se encuentra sólo en células de Schwann y melanocitos, no detectándose en schwannomas malignos11.
Tras el diagnóstico definitivo, el tratamiento de elección es la cirugía con escisión del nódulo tumoral, conservando o no el nervio de origen tumoral, según su importancia. La recurrencia tumoral es baja, con una asociación significativa con el grado de recuento mitótico12.
En conclusión, los schwannomas suelen ser asintomáticos, y en caso de presentar síntomas, como el de nuestra paciente, es importante descartar neoplasia, de ahí la importancia del estudio anatomopatológico y la determinación inmunohistoquímica.
Consentimiento informado
Los autores confirman que se obtuvo el consentimiento informado por parte del paciente para la publicación de sus datos clínicos y el uso de las imágenes diagnósticas.
Conflicto de intereses
Los autores declaran no tener ningún conflicto de intereses.
Bibliografía
- 1.Albert P., Patel J., Badawy K., Weissinger W., Brenner M., Bourhill I., et al. Peripheral Nerve Schwannoma: A review of varying clinical presentations and imaging findings. J Foot ankle Surg. 2017;56(3):632–637. doi: 10.1053/j.jfas.2016.12.003. [DOI] [PubMed] [Google Scholar]
- 2.Harjula A., Mttila S., Luosto R., Kostiainen S., Mattila I. Tumores neurogénicos mediastinales. Scand J Thorac Cardiovasc Surg. 1986;20:115–118. doi: 10.3109/14017438609106486. [DOI] [PubMed] [Google Scholar]
- 3.Murray R.J., Criner G.J., Siegel E. Schwannomas múltiples que se presentan como una masa de la pared lateral del tórax. AJR. 1988;151(1):250–251. [Google Scholar]
- 4.Cabarcos A., Huarte J.M., Osa M.I., Rejas G., Damiano A. Malignant schwannoma associated with Von Recklinghausen's disease. Review of the literature and report of a case. Rev Clin Esp. 1980;156(5):349–351. [PubMed] [Google Scholar]
- 5.Rothenburger M., Semik M., Schmidt C., Hoffmeier A., August C. Scheld H. Primary pigmented malignant Schwannoma in the posterior mediastinum. Thorac Cardiovasc Surg. 2001;49(5):306–308. doi: 10.1055/s-2001-17794. [DOI] [PubMed] [Google Scholar]
- 6.Hernandez Fustes O.J., Rodriguez C.A., Hernandez Fustes O.J. Pain in Schwannoma of the Intercostal Nerve. Ann Thorac Surg. 2021;111(6):2084. doi: 10.1016/j.athoracsur.2020.08.098. [DOI] [PubMed] [Google Scholar]
- 7.Tateishi U., Gladish G.W., Kusumoto M., Hasegawa T., Yokoyama R., Tsuchiya R., et al. Chest Wall Tumors: Radiologic findings and pathologic correlation. Part 1. Benign tumors. Radiographics. 2003;23(6):1477–1490. doi: 10.1148/rg.236015526. [DOI] [PubMed] [Google Scholar]
- 8.Fraser R., Colman N., Müller N., Paré P. 3ª edición. Editorial Masson; 2006. Fundamentos de las enfermedades del tórax. [Google Scholar]
- 9.Sim H.Y., Yang I., Hong H.-S., Woo J.Y., Hwang J.-Y., Moon J.H., et al. MRI Findings of Intercostal Schwannoma: A Case Report. J Korean Soc Radiol. 2018;79:63–67. [Google Scholar]
- 10.Skovronsky D.M., Oberholtzer J.C. Pathologic classification of peripheral nerve tumors. Neurosurg Clin N Am. 2004;15(2):157–166. doi: 10.1016/j.nec.2004.02.005. [DOI] [PubMed] [Google Scholar]
- 11.Nascimento G., Albuquerque Pires Rocha D., Galvão H., Lisboa Lopes Costa A., Souza L. A 38-year review of oral schwannomas and neurofibromas in a Brazilian population: clinical, histopathological and immunohistochemical study. Clin Oral Invest. 2011;15(3):329–335. doi: 10.1007/s00784-010-0389-7. [DOI] [PubMed] [Google Scholar]
- 12.Woodruff J.M., Godwin T.A., Erlandson R.A., Susin M., Martini N. Schwannoma celular: una variedad de schwannoma que a veces se confunde con un tumor maligno. Am J Surg Pathol. 1981;5:733–744. [PubMed] [Google Scholar]


