Full text
PDF








Images in this article
Selected References
These references are in PubMed. This may not be the complete list of references from this article.
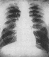
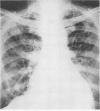
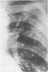
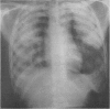
- LYNCH K. M., McIVER F. A. Pneumoconiosis from exposure to kaolin dust kaolinosis. Am J Pathol. 1954 Nov-Dec;30(6):1117–1127. [PMC free article] [PubMed] [Google Scholar]
- POLICARD A., COLLET A. Etude expérimentale des effets pathologiques du kaolin. Schweiz Z Pathol Bakteriol. 1954;17(3):320–325. [PubMed] [Google Scholar]














