Abstract
Trichloroethylene inhalation is a common industrial hazard that involves a risk of addiction. In the present case there was evidence of indulgence of addiction at work but not at home. The medical history suggested permanent paresis of the olfactory nerves in addition to intermittent gastric disturbance. Sudden death, not preceded by severe physical exertion, occurred some 17 hours after the last known exposure to the vapour.
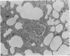
There was fatty degeneration of the liver and old and recent lung haemorrhages. Trichloroethylene was isolated from the tissues. The urine contained a large amount of trichloroacetic acid.
Full text
PDF


Images in this article
Selected References
These references are in PubMed. This may not be the complete list of references from this article.
- GRANDJEAN E., MUNCHINGER R., TURRIAN V., HASS P. A., KNOEPFEL H. K., ROSENMUND H. Investigations into the effects of exposure to trichlorethylene in mechanical engineering. Br J Ind Med. 1955 Apr;12(2):131–142. doi: 10.1136/oem.12.2.131. [DOI] [PMC free article] [PubMed] [Google Scholar]
- KLEINFELD M., TABERSHAW I. R. Trichloroethylene toxicity; report of five fatal cases. AMA Arch Ind Hyg Occup Med. 1954 Aug;10(2):134–141. [PubMed] [Google Scholar]
- LOGAN C. J., STENTIFORD H. B. Trichloroethylene poisoning. Lancet. 1956 Sep 29;271(6944):659–660. doi: 10.1016/s0140-6736(56)92343-1. [DOI] [PubMed] [Google Scholar]
- NORRIS W., STUART P. Cardiac arrest during trichlorethylene anaesthesia. Br Med J. 1957 Apr 13;1(5023):860–863. doi: 10.1136/bmj.1.5023.860. [DOI] [PMC free article] [PubMed] [Google Scholar]
- NOWILL W. K., STEPHEN C. R., SEARLES P. W. Evaluation of trichloroethylene as an anesthetic and analgesic agent. AMA Arch Surg. 1953 Jan;66(1):35–47. doi: 10.1001/archsurg.1953.01260030046004. [DOI] [PubMed] [Google Scholar]
- Stephens J. A. Poisoning by Accidental Drinking of Trichlorethylene. Br Med J. 1945 Aug 18;2(4415):218–219. doi: 10.1136/bmj.2.4415.218-a. [DOI] [PMC free article] [PubMed] [Google Scholar]
- TEARE D. A case of poisoning by ethylene trichloride. Br Med J. 1948 Sep 18;2(4576):559–559. doi: 10.1136/bmj.2.4576.559-a. [DOI] [PMC free article] [PubMed] [Google Scholar]


