Abstract
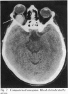
A 57-year-old housewife, with controlled hypertension, presented with acute right proptosis and visual loss with external ophthalmoplegia due to spontaneous orbital haemorrhage. Vision and ocular motility were returned to normal by the rapid surgical evacuation of the blood. Acute orbital haemorrhage is an ocular emergency requiring urgent treatment to prevent the usual previously reported outcome of permanent visual loss.
Full text
PDF


Images in this article
Selected References
These references are in PubMed. This may not be the complete list of references from this article.
- Buncic J. R. Neuroophthalmic signs of vascular disease. Int Ophthalmol Clin. 1978 Spring;18(1):123–149. [PubMed] [Google Scholar]
- Flanagan J. C. Vascular problems of the orbit. Ophthalmology. 1979 May;86(5):896–913. doi: 10.1016/s0161-6420(79)35442-2. [DOI] [PubMed] [Google Scholar]
- Hood C. I. Cavernous hemangioma of the orbit. A consideration of pathogenesis with an illustrative case. Arch Ophthalmol. 1970 Jan;83(1):49–53. doi: 10.1001/archopht.1970.00990030051009. [DOI] [PubMed] [Google Scholar]
- KUBIK J. SPONT'ANNE KRV'ACANIE DO ORBITY PRI HYPERT'ONII. Cesk Oftalmol. 1963 Jul;19:267–269. [PubMed] [Google Scholar]
- Krohel G. B., Wright J. E. Orbital hemorrhage. Am J Ophthalmol. 1979 Aug;88(2):254–258. doi: 10.1016/0002-9394(79)90474-4. [DOI] [PubMed] [Google Scholar]
- Law F. W. Spontaneous orbital haemorrhage. Br J Ophthalmol. 1971 Aug;55(8):556–558. doi: 10.1136/bjo.55.8.556. [DOI] [PMC free article] [PubMed] [Google Scholar]
- Mortada A. Origin of orbital blood cysts. Br J Ophthalmol. 1969 Jun;53(6):398–402. doi: 10.1136/bjo.53.6.398. [DOI] [PMC free article] [PubMed] [Google Scholar]
- Petrelli R. L., Petrelli E. A., Allen W. E., 3rd Orbital hemorrhage with loss of vision. Am J Ophthalmol. 1980 Apr;89(4):593–597. doi: 10.1016/0002-9394(80)90072-0. [DOI] [PubMed] [Google Scholar]
- ROBERTS W. Hematoma of the orbit; report of two cases. Am J Ophthalmol. 1955 Aug;40(2):215–219. doi: 10.1016/0002-9394(55)91629-9. [DOI] [PubMed] [Google Scholar]
- WHITWELL J. Spontaneous haematoma of the orbit. Br J Ophthalmol. 1956 Apr;40(4):250–251. doi: 10.1136/bjo.40.4.250. [DOI] [PMC free article] [PubMed] [Google Scholar]
- ZIMMERMAN A., MERIGAN T. C. Retrobulbar hemorrhage in a hemophiliac with irreversible loss of vision. Arch Ophthalmol. 1960 Dec;64:949–950. doi: 10.1001/archopht.1960.01840010951020. [DOI] [PubMed] [Google Scholar]


