Abstract
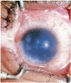
One hundred and thirty Tanzanian children with corneal ulceration were clinically examined to determine the cause of the ulceration. 37% of the ulcers were associated with recent measles infection and 38% of the children had bilateral ulceration. Herpes simplex virus infection was the commonest cause of ulceration in the series, but vitamin A deficiency was the major cause of bilateral ulceration, subsequent blindness, and mortality in this series. Other significant causes of childhood corneal ulceration were the use of traditional eye medicines, confluent measles keratitis, and ophthalmia neonatorum. We discuss the various mechanisms by which measles causes corneal ulceration, and the priorities in prevention and management of corneal ulceration in African children.
Full text
PDF












Images in this article
Selected References
These references are in PubMed. This may not be the complete list of references from this article.
- Awdry P. N., Cobb B., Adams P. C. Blindness in the Luapula valley. Cent Afr J Med. 1967 Sep;13(9):197–201. [PubMed] [Google Scholar]
- Chirambo M. C., Benezra D. Causes of blindness among students in blind school institutions in a developing country. Br J Ophthalmol. 1976 Sep;60(9):665–668. doi: 10.1136/bjo.60.9.665. [DOI] [PMC free article] [PubMed] [Google Scholar]
- Cobb B., Awdry P. N. Xerophthalmia. Trans Ophthalmol Soc U K. 1969;88:579–585. [PubMed] [Google Scholar]
- Dossetor J. F., Whittle H. C. Protein-losing enteropathy and malabsorption in acute measles enteritis. Br Med J. 1975 Jun 14;2(5971):592–593. doi: 10.1136/bmj.2.5971.592. [DOI] [PMC free article] [PubMed] [Google Scholar]
- Franken S. Measles and xerophthalmia in East Africa. Trop Geogr Med. 1974 Mar;26(1):39–44. [PubMed] [Google Scholar]
- Gupta B. M., Singh M. Mortality and morbidity pattern in measles in Tanga District, Tanzania. Trop Geogr Med. 1975 Dec;27(4):383–386. [PubMed] [Google Scholar]
- Kipps A., Kaschula R. O. Virus peneumonia following measles: a virological and histological study of autopsy material. S Afr Med J. 1976 Jul 3;50(28):1083–1088. [PubMed] [Google Scholar]
- Kuming B. S., Politzer W. M. Xerophthalmia and protein malnutrition in Bantu children. Br J Ophthalmol. 1967 Oct;51(10):649–666. doi: 10.1136/bjo.51.10.649. [DOI] [PMC free article] [PubMed] [Google Scholar]
- Leary P. M. The pattern of measles among Africans in a Bantu Reserve. S Afr Med J. 1966 Apr 9;40(13):293–295. [PubMed] [Google Scholar]
- MacManus E. P. Xerophthalmia in Matabeleland. Cent Afr J Med. 1968 Aug;14(8):166–170. [PubMed] [Google Scholar]
- Morley D. C. Measles and measles vaccine in pre-industrial countries. Mod Trends Med Virol. 1967;1(0):141–161. [PubMed] [Google Scholar]
- Morley D. Severe measles in the tropics. I. Br Med J. 1969 Feb 1;1(5639):297–contd. doi: 10.1136/bmj.1.5639.297. [DOI] [PMC free article] [PubMed] [Google Scholar]
- Oomen J. M. Xerophthalmia in northern Nigeria. Trop Geogr Med. 1971 Sep;23(3):246–249. [PubMed] [Google Scholar]
- PHILLIPS C. M. Blindness in Africans in Northern Rhodesia. Cent Afr J Med. 1961 May;7:153–158. [PubMed] [Google Scholar]
- Reddy V. Vitamin A deficiency and blindness in Indian children. Indian J Med Res. 1978 Oct;68 (Suppl):26–37. [PubMed] [Google Scholar]
- Sachs U., Marcus M. Bilateral herpetic keratitis during measles. Am J Ophthalmol. 1981 Jun;91(6):796–797. doi: 10.1016/0002-9394(81)90016-7. [DOI] [PubMed] [Google Scholar]
- Sandford-Smith J. H., Whittle H. C. Corneal ulceration following measles in Nigerian children. Br J Ophthalmol. 1979 Nov;63(11):720–724. doi: 10.1136/bjo.63.11.720. [DOI] [PMC free article] [PubMed] [Google Scholar]
- Sommer A. Conjunctival appearance in corneal xerophthalmia. Arch Ophthalmol. 1982 Jun;100(6):951–952. doi: 10.1001/archopht.1982.01030030959013. [DOI] [PubMed] [Google Scholar]
- Sommer A. Nutritional factors in corneal xerophthalmia and keratomalacia. Arch Ophthalmol. 1982 Mar;100(3):399–403. doi: 10.1001/archopht.1982.01030030401002. [DOI] [PubMed] [Google Scholar]
- Templeton A. C. Generalized herpes simplex in malnourished children. J Clin Pathol. 1970 Feb;23(1):24–30. doi: 10.1136/jcp.23.1.24. [DOI] [PMC free article] [PubMed] [Google Scholar]
- Whittle H. C., Smith J. S., Kogbe O. I., Dossetor J., Duggan M. Severe ulcerative herpes of mouth and eye following measles. Trans R Soc Trop Med Hyg. 1979;73(1):66–69. doi: 10.1016/0035-9203(79)90132-9. [DOI] [PubMed] [Google Scholar]
- Wilhelmus K. R., Falcon M. G., Jones B. R. Bilateral herpetic keratitis. Br J Ophthalmol. 1981 Jun;65(6):385–387. doi: 10.1136/bjo.65.6.385. [DOI] [PMC free article] [PubMed] [Google Scholar]















