Abstract
A case is reported in which recurrent episodes of visual loss occurred over a period of 26 years in a patient with bilateral optic disc drusen. Visual field loss was associated with episodes of ischaemic optic neuropathy. The possible mechanism is discussed.
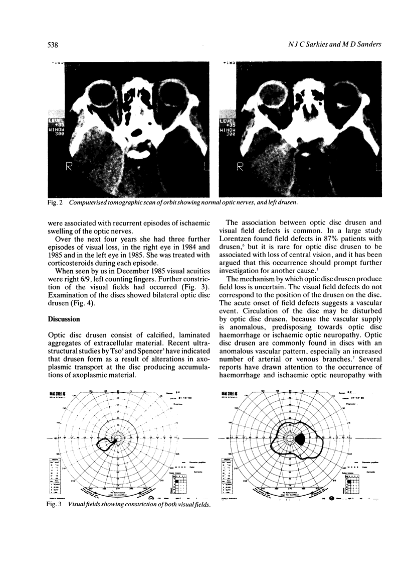
Full text
PDF


Images in this article
Selected References
These references are in PubMed. This may not be the complete list of references from this article.
- Beck R. W., Savino P. J., Repka M. X., Schatz N. J., Sergott R. C. Optic disc structure in anterior ischemic optic neuropathy. Ophthalmology. 1984 Nov;91(11):1334–1337. doi: 10.1016/s0161-6420(84)34146-x. [DOI] [PubMed] [Google Scholar]
- Cohen D. N. Drusen of the optic disc and the development of field defects. Arch Ophthalmol. 1971 Feb;85(2):224–226. doi: 10.1001/archopht.1971.00990050226018. [DOI] [PubMed] [Google Scholar]
- Erkkilä H. The central vascular pattern of the eyeground in children with drusen of the optic disk. Albrecht Von Graefes Arch Klin Exp Ophthalmol. 1976 Apr 1;199(1):1–10. doi: 10.1007/BF00660810. [DOI] [PubMed] [Google Scholar]
- Karel I., Otradovec J., Peleska M. Fluorescence angiography in circulatory disturbances in drusen of the optic disk. Ophthalmologica. 1972;164(6):449–462. doi: 10.1159/000306785. [DOI] [PubMed] [Google Scholar]
- Knight C. L., Hoyt W. F. Monocular blindness from drusen of the optic disk. Am J Ophthalmol. 1972 Jun;73(6):890–892. doi: 10.1016/0002-9394(72)90458-8. [DOI] [PubMed] [Google Scholar]
- Mullie M. A., Sanders M. D. Scleral canal size and optic nerve head drusen. Am J Ophthalmol. 1985 Mar 15;99(3):356–359. doi: 10.1016/0002-9394(85)90369-1. [DOI] [PubMed] [Google Scholar]
- Sanders T. E., Gay A. J., Newman M. Hemorrhagic complications of drusen of the optic disk. Am J Ophthalmol. 1971 Jan;71(1 Pt 2):204–217. doi: 10.1016/0002-9394(71)90391-6. [DOI] [PubMed] [Google Scholar]
- Shults W. T. Ischemic optic neuropathy. Still the ophthalmologist's dilemma. Ophthalmology. 1984 Nov;91(11):1338–1341. doi: 10.1016/s0161-6420(84)34145-8. [DOI] [PubMed] [Google Scholar]
- Spencer W. H. Drusen of the optic disk and aberrant axoplasmic transport. The XXXIV Edward Jackson memorial lecture. Am J Ophthalmol. 1978 Jan;85(1):1–12. doi: 10.1016/s0002-9394(14)76658-9. [DOI] [PubMed] [Google Scholar]
- Tso M. O. Pathology and pathogenesis of drusen of the optic nervehead. Ophthalmology. 1981 Oct;88(10):1066–1080. doi: 10.1016/s0161-6420(81)80038-3. [DOI] [PubMed] [Google Scholar]


