Abstract
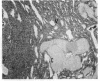
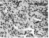
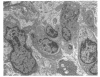
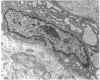
Proliferation of fibrous tissues to form a localised mass with infiltrating margins may occur anywhere in the body; involvement of the orbit is rare. Children and young adults are most commonly affected. The term 'juvenile fibromatosis' is one of several synonyms. Of the two main forms of this entity, the solitary form is the more common and the prognosis is good. The multicentric form has a poor prognosis. The patients described, a 2 1/2-year-old boy, had a solitary nodule of juvenile fibromatosis removed from the right orbit and was asymptomatic 2 3/4 years postoperatively.
Full text
PDF



Images in this article
Selected References
These references are in PubMed. This may not be the complete list of references from this article.
- Antine B. E., Brown F. M., Arisco M. J. Fibroma of the cornea. Report of a case associated with congenital generalized fibromatosis. Arch Ophthalmol. 1974 Apr;91(4):278–280. doi: 10.1001/archopht.1974.03900060288008. [DOI] [PubMed] [Google Scholar]
- BARTLETT R. C., OTIS R. D., LAAKSO A. O. Multiple congenital neoplasms of soft tissues. Report of 4 cases in 1 family. Cancer. 1961 Sep-Oct;14:913–920. doi: 10.1002/1097-0142(196109/10)14:5<913::aid-cncr2820140503>3.0.co;2-g. [DOI] [PubMed] [Google Scholar]
- Baer J. W., Radkowski M. A. Congenital multiple fibromatosis. A case report with review of the world literature. Am J Roentgenol Radium Ther Nucl Med. 1973 May;118(1):200–205. doi: 10.2214/ajr.118.1.200. [DOI] [PubMed] [Google Scholar]
- Baird P. A., Worth A. J. Congenital generalized fibromatosis: an autosomal recessive condition? Clin Genet. 1976 May;9(5):488–494. doi: 10.1111/j.1399-0004.1976.tb01602.x. [DOI] [PubMed] [Google Scholar]
- Benjamin S. P., Mercer R. D., Hawk W. A. Myofibroblastic contraction in spontaneous regression of multiple congenital mesenchymal hamartomas. Cancer. 1977 Nov;40(5):2343–2352. doi: 10.1002/1097-0142(197711)40:5<2343::aid-cncr2820400551>3.0.co;2-l. [DOI] [PubMed] [Google Scholar]
- Briselli M. F., Soule E. H., Gilchrist G. S. Congenital fibromatosis: report of 18 cases of solitary and 4 cases of multiple tumors. Mayo Clin Proc. 1980 Sep;55(9):554–562. [PubMed] [Google Scholar]
- Chung E. B., Enzinger F. M. Infantile fibrosarcoma. Cancer. 1976 Aug;38(2):729–739. doi: 10.1002/1097-0142(197608)38:2<729::aid-cncr2820380216>3.0.co;2-z. [DOI] [PubMed] [Google Scholar]
- Chung E. B., Enzinger F. M. Infantile myofibromatosis. Cancer. 1981 Oct 15;48(8):1807–1818. doi: 10.1002/1097-0142(19811015)48:8<1807::aid-cncr2820480818>3.0.co;2-g. [DOI] [PubMed] [Google Scholar]
- Conley J., Stout A. P., Healey W. V. Clinicopathologic analysis of eighty-four patients with an original diagnosis of fibrosarcoma of the head and neck. Am J Surg. 1967 Oct;114(4):564–569. doi: 10.1016/0002-9610(67)90018-9. [DOI] [PubMed] [Google Scholar]
- Hidayat A. A., Font R. L. Juvenile fibromatosis of the periorbital region and eyelid. A clinicopathologic study of six cases. Arch Ophthalmol. 1980 Feb;98(2):280–285. doi: 10.1001/archopht.1980.01020030276007. [DOI] [PubMed] [Google Scholar]
- KAUFFMAN S. L., STOUT A. P. CONGENITAL MESENCHYMAL TUMORS. Cancer. 1965 Apr;18:460–476. doi: 10.1002/1097-0142(196504)18:4<460::aid-cncr2820180410>3.0.co;2-b. [DOI] [PubMed] [Google Scholar]
- Kindblom L. G., Angervall L. Congenital solitary fibromatosis of the skeleton: case report of a variant of congenital generalized fibromatosis. Cancer. 1978 Feb;41(2):636–640. doi: 10.1002/1097-0142(197802)41:2<636::aid-cncr2820410229>3.0.co;2-6. [DOI] [PubMed] [Google Scholar]
- Kindblom L. G., Termén G., Säve-Söderbergh J., Angervall L. Congenital solitary fibromatosis of soft tissues, a variant of congenital generalized fibromatosis. 2 cases reports. Acta Pathol Microbiol Scand A. 1977 Sep;85(5):640–648. doi: 10.1111/j.1699-0463.1977.tb00454.x. [DOI] [PubMed] [Google Scholar]
- Morettin L. B., Mueller E., Schreiber M. Generalized hamartomatosis. (Copngenital generalized fibromatosis). Am J Roentgenol Radium Ther Nucl Med. 1972 Apr;114(4):722–734. doi: 10.2214/ajr.114.4.722. [DOI] [PubMed] [Google Scholar]
- Nasr A. M., Blodi F. C., Lindahl S., Jinkins J. Congenital generalized multicentric myofibromatosis with orbital involvement. Am J Ophthalmol. 1986 Dec 15;102(6):779–787. doi: 10.1016/0002-9394(86)90408-3. [DOI] [PubMed] [Google Scholar]
- RICHARDSON W. R., DEWAR J. P. PROBLEMS IN MANAGING FIBROUS TISSUE TUMORS IN INFANTS AND CHILDREN. Surgery. 1964 Aug;56:426–435. [PubMed] [Google Scholar]
- Reich R. H. Die lokalisierte kongenitale Fibromatose-ein Beitrag zur Differentialdiagnose maligner Tumoren im Kindesalter. Dtsch Zahnarztl Z. 1981 Nov;36(11):729–731. [PubMed] [Google Scholar]
- SHNITKA T. K., ASP D. M., HORNER R. H. Congenital generalized fibromatosis. Cancer. 1958 May-Jun;11(3):627–639. doi: 10.1002/1097-0142(195805/06)11:3<627::aid-cncr2820110326>3.0.co;2-k. [DOI] [PubMed] [Google Scholar]
- STOUT A. P. Fibrosarcoma in infants and children. Cancer. 1962 Sep-Oct;15:1028–1040. doi: 10.1002/1097-0142(196209/10)15:5<1028::aid-cncr2820150520>3.0.co;2-x. [DOI] [PubMed] [Google Scholar]
- STOUT A. P. Juvenile fibromatoses. Cancer. 1954 Sep;7(5):953–978. doi: 10.1002/1097-0142(195409)7:5<953::aid-cncr2820070520>3.0.co;2-w. [DOI] [PubMed] [Google Scholar]
- Schaffzin E. A., Chung S. M., Kaye R. Congenital generalized fibromatosis with complete spontaneous regression. A case report. J Bone Joint Surg Am. 1972 Apr;54(3):657–662. [PubMed] [Google Scholar]








