Abstract
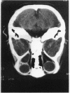
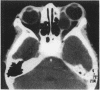
A surgical technique is described for cryoextraction of the inner germinal layer of orbital hydatid cysts. The technique was adopted in two cases. It is simple and effective and causes minimal postoperative reaction or complications. There were no recurrences over a period of 24 and 18 months respectively.
Full text
PDF


Images in this article
Selected References
These references are in PubMed. This may not be the complete list of references from this article.
- Baghdassarian S. A., Zakharia H. Report of three cases of hydatid cyst of the orbit. Am J Ophthalmol. 1971 May;71(5):1081–1084. doi: 10.1016/0002-9394(71)90579-4. [DOI] [PubMed] [Google Scholar]
- HANDOUSA A. B. Proptosis caused by hydatid disease. Br J Ophthalmol. 1951 Oct;35(10):607–613. doi: 10.1136/bjo.35.10.607. [DOI] [PMC free article] [PubMed] [Google Scholar]
- Holland H. HYDATID OF THE ORBIT. Br J Ophthalmol. 1948 Jul;32(7):395–396. doi: 10.1136/bjo.32.7.395. [DOI] [PMC free article] [PubMed] [Google Scholar]
- Talib H. Orbital hydatid disease in Iraq. Br J Surg. 1972 May;59(5):391–394. doi: 10.1002/bjs.1800590517. [DOI] [PubMed] [Google Scholar]







