Abstract
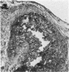
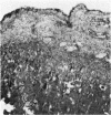
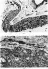
Tissue removed from nine new cases from 18 hours to 20 weeks after injury by a golf ball contained crystalline and other foreign material to which there was a mild inflammatory reaction followed by macrophagic activity and fibrosis. Optical and electron probe analysis showed that the crystalline material was crushed barytes containing small quantities of muscovite as is typical in natural deposits. The centres of several golf balls were shown to contain essentially identical material. By contrast with previous reports, no zinc sulphide was found. The form and frequent location of the deposits in the conjunctiva as compared with cornea and eyelid is related to the structure of these tissues.
Full text
PDF







Images in this article
Selected References
These references are in PubMed. This may not be the complete list of references from this article.
- Johnson F. B., Zimmerman L. E. Barium sulfate and zinc sulfide deposits resulting from golf-ball injury to the conjunctiva and eyelid. Am J Clin Pathol. 1965 Nov;44(5):533–538. doi: 10.1093/ajcp/44.5.533. [DOI] [PubMed] [Google Scholar]
 - Nelson C. Eye injury from exploding golf balls. Br J Ophthalmol. 1970 Oct;54(10):670–671. doi: 10.1136/bjo.54.10.670. [DOI] [PMC free article] [PubMed] [Google Scholar]
 - Penner R. The liquid center golf ball: a potential ocular hazard. Arch Ophthalmol. 1966 Jan;75(1):68–71. doi: 10.1001/archopht.1966.00970050070013. [DOI] [PubMed] [Google Scholar]
 - Slusher M. M., Jaegers K. R., Annesley W. H., Jr Liquid-center golf balls and ocular injury. Am J Ophthalmol. 1967 Oct;64(4):736–740. doi: 10.1016/0002-9394(67)92858-9. [DOI] [PubMed] [Google Scholar]
 






