Abstract
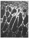
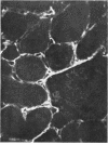
Argyrophilic perivascular and intervascular fibres in the mammalian retina are shown by specific antireticulin immunofluorescence to consist of reticulin. The possible significance of these findings is briefly discussed.
Full text
PDF





Images in this article
Selected References
These references are in PubMed. This may not be the complete list of references from this article.
- Ashton N., Tripathi R. Perivascular and intervascular reticular fibers of the retina. Am J Ophthalmol. 1975 Sep;80(3 Pt 1):337–359. doi: 10.1016/0002-9394(75)90519-x. [DOI] [PubMed] [Google Scholar]
- Boyd R. L., Ward H. A., Muller H. K. Antiserum specific for reticulin of the bursa of fabricius. Int Arch Allergy Appl Immunol. 1976;50(1):129–132. doi: 10.1159/000231489. [DOI] [PubMed] [Google Scholar]
- Cervos-Navarro, Matakas F. The ulstratructure of reticulin. Acta Neuropathol Suppl. 1975;Suppl 6:173–176. [PubMed] [Google Scholar]
- Daicker B. Die adventitiellen und intervasculären Reticulinfasern der meschlichen Netzhaut. Albrecht Von Graefes Arch Klin Exp Ophthalmol. 1971;181(3):179–191. doi: 10.1007/BF02390249. [DOI] [PubMed] [Google Scholar]
- Daicker B. Hyperplasie der adventitiellen und muralen Reticulinfasern bei Vasopathia diabetica retinae. Albrecht Von Graefes Arch Klin Exp Ophthalmol. 1971;181(3):192–206. doi: 10.1007/BF02390250. [DOI] [PubMed] [Google Scholar]
- Matakas F., Cervós-Navarro J., Risch W. Die Ultrastruktur des Retikulins. Virchows Arch B Cell Pathol. 1972;10(1):67–82. [PubMed] [Google Scholar]
- Pras M., Glynn L. E. Isolation of a non-collagenous reticulin component and its primary characterization. Br J Exp Pathol. 1973 Aug;54(4):449–456. [PMC free article] [PubMed] [Google Scholar]
- Rahi A. H., Holborow E. J., Perkins E. S., Gungen Y. Y., Dinning W. J. Immunological investigations in uveitis. Trans Ophthalmol Soc U K. 1976 Apr;96(1):113–122. [PubMed] [Google Scholar]
- Rizzetto M., Doniach D. Types of 'reticulin' antibodies detected in human sera by immunofluorescence. J Clin Pathol. 1973 Nov;26(11):841–851. doi: 10.1136/jcp.26.11.841. [DOI] [PMC free article] [PubMed] [Google Scholar]
- Rojkind M., Martinez-Palomo A. Increase in type I and type III collagens in human alcoholic liver cirrhosis. Proc Natl Acad Sci U S A. 1976 Feb;73(2):539–543. doi: 10.1073/pnas.73.2.539. [DOI] [PMC free article] [PubMed] [Google Scholar]
- Seah P. P., Fry L., Hoffbrand A. V., Holborow E. J. Tissue antibodies in dermatitis herpetiformis and adult coeliac disease. Lancet. 1971 Apr 24;1(7704):834–836. doi: 10.1016/s0140-6736(71)91499-1. [DOI] [PubMed] [Google Scholar]
- Vizioli M. R., Valdrighi L., Bozzo L. The appearing and evolution of reticulin: observations on the repair of post-extraction marmoset sockets. Ann Histochim. 1974 Jan-Mar;19(1):65–72. [PubMed] [Google Scholar]
- Williamson N., Asquith P., Stokes L., Jowett W., Cooke W. T. Anticonnective tissue and other antitissue 'antibodies' in the sera of patients with coeliac disease compared with the findings in a mixed hospital population. J Clin Pathol. 1976 Jun;29(6):484–494. doi: 10.1136/jcp.29.6.484. [DOI] [PMC free article] [PubMed] [Google Scholar]











