Abstract
Bladder augmentation can be a valuable life-changing operation for patients with bladder dysfunction, however, are associated with several complications that require long-term management. One of the most common complications seen in these patients are bladder calculi. If bladder stones are left untreated, they can become extremely large and cause pain, urinary tract infections, or difficulty emptying the bladder. We present the case of a patient with an augmented bladder who had numerous large bladder stones and his management.
Keywords: Augmented bladder, Bladder stones, Cystolithotomy, Urinary stones, Spina bifida
1. Introduction
Bladder augmentation is a valuable procedure for increasing bladder capacity, decreasing intravesical storage pressures and improving upper urinary tract drainage in patients with bladder dysfunction.1 First described in the 1970s, it is often used in patients with neurogenic bladders or congenital disorders causing bladder dysfunction, such as spina bifida.2 While it offers a solution to manage these patients’ bladders, it is associated with several complications.
Bladder calculi are one of the most common complications seen in patients with an augmented bladder with up to 50% of patients developing bladder stones.1,2 It is also the most common reason for patients to require urological surgery after bladder augmentation.2,3 Other complications include recurrent urinary tract infections (UTIs), renal calculi, metabolic abnormalities, bladder perforation, secondary malignancy, and bowel complications.1,2,4
We present a case of a patient with an augmented bladder with numerous large bladder stones and his management.
2. Case presentation
The patient is a 42-year-old male with spina bifida. His bladder was augmented by ileocystoplasty with cutaneous diversion by Mitrofanoff channel in 1996, with urethral access closed as a child. His past medical history includes a ventriculoperitoneal (VP) shunt and cholecystectomy.
He was admitted with an infected VP shunt and required insertion of an external ventricular device (EVD). On serial plain film x-rays to assess his shunt, large dense objects in keeping with massive bladder calculi were visible extending towards his left flank (Fig. 1). He was referred to our service and was recommended to undergo open cystolithotomy.
Fig. 1.
Plain film x-ray demonstrating enlarged bladder stones within augmented bladder.
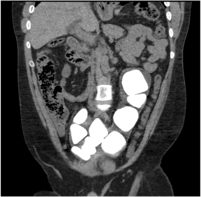
Unfortunately, the patient did not return for his operation and was unable to be contacted for follow-up. Five years later, his General Practitioner (GP) referred him back to our service with recurrent UTIs. His urine cultures showed mixed bacterial growth. A computed tomography (CT) scan showed enlarging bladder stones (Fig. 2) and he was booked again for an open cystolithotomy. After several further delays due to other commitments, he underwent the operation seven years after his initial x-ray.
Fig. 2.
Coronal slice from CT KUB demonstrating enlarged bladder stones in augmented bladder.
His operation was successful in removing all bladder calculi (Fig. 3). A total of 13 large bladder stones and several smaller stones were removed (total weight approximately 850 g). A suprapubic catheter (SPC) was left in situ to prevent distension of the bladder whilst healing. Stone analysis revealed major components of both calcium phosphate and magnesium ammonium phosphate, with stone microscopy and culture growing mixed aerobic and anaerobic organisms.
Fig. 3.
Bladder stones removed during the operation.
His post-operative course was complicated by a wound infection and dehiscence requiring a vacuum-assisted closure (VAC) device and prolonged course of intravenous antibiotics for a Pseudomonas aeruginosa infection resistant to oral antibiotics.
A cystogram six weeks after discharge demonstrated no urinary leak from his bladder and his suprapubic catheter was removed. He has recovered well and is having ongoing outpatient follow-up.
3. Discussion
Bladder calculi are associated with multiple urological conditions, including bladder outlet obstruction, chronic bacteriuria, neurogenic bladder dysfunction, and long-term catheterisation.1 In patients with augmented bladders, the incidence of bladder calculi formation is almost 50%.1,2
Bladder calculi that develop in augmented bladders are theorised to form due to several possibilities – mucous retention in the bladder serves as a nidus for stone infection; chronic bacterial colonization leads to struvite calculi; or metabolic abnormalities arising from loss of bowel from the normal gastrointestinal tract and/or its’ incorporation into the urinary system.2 Risk factors shown to increase formation of bladder calculi in augmented bladders include excess mucous production, incomplete bladder emptying, chronic bacteriuria or UTIs, foreign bodies, drainage by vesico-entero-cystostomy and voiding by clean self-intermittent catheterisation (CISC).1,2 Patients who undergo gastrocystoplasty have a lower rate of bladder stone formation compared to ileal or colonic segment cystoplasty.1
Bladder calculi in patients with augmented bladders were thought to be infectious, however a series by Szymanski et al. showed that although majority were infectious, a large proportion of stones were also calcium phosphate, with a smaller proportion of calcium oxalate and uric acid stones.5 Having infectious or non-infectious stones did not change rate of recurrence or predict the type of stone at recurrence.5
Several techniques are used to remove bladder stones including endoscopic, percutaneous, or open cystolitholopaxy. In patients with a continent vesico-entero-cystotomy, percutaneous or open approaches are preferred to prevent damage to the continence apparatus.1 Both approaches have been shown to be safe and effective at stone removal, with no difference in recurrence rates.1 An open approach is associated with longer length of stay in hospital and increased analgesia requirements.1
Patients who have formed bladder stones are at high risk of recurring stones, with rates up to 50%.1,2 Preventing stone formation is extremely important, given that most of these patients develop stones in childhood and will continue to have stones throughout the rest of their lives. Irrigation (daily or three times a week) with 240mL of normal saline has been shown to reduce the risk of stone recurrence and symptomatic UTIs.1,2,4 Mucolytic agents and irrigation with solutions such as gentamicin and hemiacidrin has limited evidence in prevention of stone formation.2 Regular surveillance using ultrasound and/or CT is recommended in this patient cohort, with early intervention if new stones develop.2,4
Our case demonstrates important learning points. Firstly, patients with augmented bladders and their carers should be counselled about the long-term complications and preventative strategies that could be employed to prevent these complications from occurring. Secondly, the importance of regular follow-up should be stressed, as these patients require life-long follow-up of their urinary system. Lastly, the aim of removal of these stones is to do so in a safe manner whilst preserving the patients’ continence apparatus.
4. Conclusion
Patients with augmented bladders are at high risk of bladder stones. Patients with bladder stones should undertake techniques to prevent recurrence to reduce the morbidity of dealing with recurrent stone formation. These patients should be kept under regular surveillance to ensure early management if stone formation occurs.
Funding
This research did not receive any specific grant from funding agencies in the public, commercial or not-for-profit sectors.
Declaration of competing interest
None.
References
- 1.Skolarikos A, Jung H, Neisius A, et al. EAU Guidelines on Urolithiasis presented at the EAU Congress Milan 2023. ISBN 978-94-92671-19-6, EAU Guidelines Office, Arnhem, The Netherlands. Available from: https://www.uroweb.org/guidelines/compilations-of-all-guidelines/.
- 2.Cheng P., Myers J. Augmentation cystoplasty in the patient with neurogenic bladder. World J Urol. 2020;38:3035–3046. doi: 10.1007/s00345-019-02919-z. [DOI] [PubMed] [Google Scholar]
- 3.Szymanski K., Misseri R., Whittam B., et al. Additional surgeries after bladder augmentation in patients with spina bifida in the 21st century. J Urol. 2020;203:1207–1213. doi: 10.1097/JU.0000000000000751. [DOI] [PubMed] [Google Scholar]
- 4.Husmann D. Lessons learned from the management of adults who have undergone augmentation for spina bifida and bladder exstrophy: incidence and management of the non-lethal complications of bladder augmentation. Int J Urol. 2018;25:94–101. doi: 10.1111/iju.13417. [DOI] [PubMed] [Google Scholar]
- 5.Szymanski K., Misseri R., Whittam B., et al. Bladder stones after bladder augmentation are not what they seem. J Pediatr Urol. 2015;12:98e1–98e6. doi: 10.1016/j.jpurol.2015.06.021. [DOI] [PubMed] [Google Scholar]



