Abstract
Marine seaweeds are rich source of polysaccharides present in their cell wall and are cultivated and consumed in China, Japan, Korea, and South Asian countries. Brown seaweeds (Phaeophyta) are rich source of polysaccharides such as Laminarin and Fucoidan. In present study, both the laminarin and fucoidan were isolated was yielded higher in PP (Padina pavonica) (4.36%) and STM (Stoechospermum marginatum) (2.32%), respectively. The carbohydrate content in laminarin and fucoidan was 86.91% and 87.36%, whereas the sulphate content in fucoidan was 20.68%. Glucose and mannose were the major monosaccharide units in laminarin (PP), however, fucose, galactose, and xylose in fucoidan (STM). FT-IR down peaks represent the carbohydrate of laminarin and fucoidan except, for 1219 cm−1, and 843 cm−1, illustrating the sulphate groups of fucoidan. The molecular weight of laminarin was 3–5 kDa, and the same for fucoidan was 2–6 kDa, respectively. Both the Fucoidan and Laminarin showed null cytotoxicity on Vero cells. Contrastingly, the fucoidan possess cytotoxic activity on human liver cancer cells (HepG2) (IC50—24.4 ± 1.5 µg/mL). Simultaneously, laminarin also shown cytotoxicity on human colon cancer cells (HT-29) (IC50—57 ± 1.2 µg/mL). The AO/EB (Acriding Orange/Ethidium Bromide) assay significantly resulted in apoptosis and necrosis upon laminarin and fucoidan treatments, respectively. The DNA fragmentation results support necrotic cancer cell death. Therefore, laminarin and fucoidan from PP and STM were potential bioactive compounds for anticancer therapy.
Subject terms: Biotechnology, Cancer, Plant sciences
Introduction
Our Mother Earth serves us enumerable natural resources for our daily needs and it is composed of 70% of the ocean and scavenges 50% of carbon dioxide (CO2) from the atmospheric air and provides about half of the Earth’s Oxygen (O2). Marine is a major and gifted natural resource for a nation with sea borders. Biotic resources of the marine ecosystems include Phytoplanktons (Microalgae), Zooplanktons, Fishes (including mammals like Whales and Dolphins), Seaweeds, Sea Grass, Sea Anemones, Crabs, Corals, Sea Sponges, Sea Snails, Sea Urchin, Sea Turtles, Sea Cucumber, and Star Fish. Despite this, 95% of the Ocean is still unexplored.
With only 2–4% of the Globe’s land mass, India has 7–8% of the World’s species diversity including 45,000 species of plants and double the number of animals. Thus, India is described as the 12th Megadiverse nation in the world. India is bordered by the Bay of Bengal in the East, the Arabian Sea in the West, and the Indian Ocean in the South, and hence rich in vast Marine Resources. Seaweeds are eukaryotic and thallophytic macroalgae classified into Phaeophyceae (Brown Algae), Rhodophyceae (Red Algae), and Chlorophyceae (Green Algae). India is rich in 841 species of Seaweeds, including 434 species of Rhodophyceae, 191 species of Phaeophyceae, and 216 species of Chlorophyceae1. The Gulf of Kutch in Gujarat and the Gulf of Mannar in Tamil Nadu are seaweed diversity-rich regions in India2. About 80 species of seaweeds were reported from the Andaman and Nicobar Islands3. The Gulf of Kutch engulfs about 198 species of seaweeds including 109 species of Rhodophyceae, 54 species of Chlorophyceae, and 35 species of Phaeophyceae4. However, in the Gulf of Mannar, 282 species of seaweeds with 146 Rhodophyceae, 80 Chlorophyceae, and 56 Phaeophyceae were reported2.
Seaweeds are rich sources of cell wall polysaccharides commercially termed Phycocolloids, which are large molecular weight and non-crystalline substances. Three major Industrial Phycocolloids are Alginate, Agar, and Carrageenan. Alginate is derived from Brown seaweeds (Phaeophyceae), whereas, Agar and Carrageenan are extracted and purified from Red seaweeds (Rhodophyceae).
Laminarin is also a short-chain, non-sulphated, Glucan rich cell wall polysaccharide reported with Anticancer5–9, Antioxidant10, Anti-inflammatory11,12, and Antiviral activities13,14. The dietary β-glucan is reported with hypocholesterolemic effect and minimizing heart disease15, and prevents breast cancer in human16. Laminarin is a β-glucan from Brown seaweeds have a linear backbone linked by 1-3 β-glycosidic bonds and low molecular weight of approximately 5 kDa17. However, the structure and function of laminarin from different Brown seaweeds may vary in their bioactive potential, but it was reported to possess anticancer activities on wide range of cancer cell lines such as LoVo (Colorectal cancer)5,18, HT-29 (Melanoma)19, HCT 116, SK-MEL-5, MDA-MB-231 cell lines (Breast cancer)20.
Unlike laminarin, fucoidan are rich in sulphated fucans dispersed the cell walls of Brown seaweeds. Fucoidan is a long-chain, sulphated, fucose rich polysaccharide found in the cell walls of Phaeophyceae (Brown algae) reported with several bioactive properties such as Anticancer21,22, Antiviral23,24, Anti-inflammatory25, Immunomodulatory26, Prebiotic27, Wound healing28, Chronic anti-renal failure29, Anti-ulcer activities (Helicobacter pylori)30. Fucoidan from Fucus vesiculosus enhanced apoptotic activity in 4T1 breast cancer cells in vitro and in vivo31. However, in an interesting study, oral administration of seaweed powder (1.6 g kg−1 of body weight) from Brown seaweeds such as Sargassum ringgoldianum, Laminaria japonica, Scytosiphon lomentaria, and Lessonia nigrescens to in vivo mice model, significantly inhibits Ehrlich carcinoma by 46.5%, 57.6%, 69.8%, and 60%, respectively32. Simultaneously, fucoidan treatment on xenograft mouse models impressively suppressed tumor and metastasis effects33,34. Both laminarin and fucoidan extracted from Laminaria japonica were injected into mice and observed that the fucoidan showed strong activation of the immune system than laminarin and therefore, fucoidan enhanced the anticancer efficacy against Lewis lung carcinoma35. Fucoidan from Turbinaria conoides, had shown significant anticancer activity on MCF-7 (human breast cancer), and A549 (human lung cancer) cell lines, and no cytotoxic activity on L929 mouse fibroblast cell line36. Similarly, fucoidan from Sargassim cinereum inhibited the proliferation of CaCo-2 cell line (Colon cancer) on a dose-dependent manner37.
In the present study, four commonly available Brown seaweeds such as Padina pavonica, Spatoglossum asperum, Sargassum wightii, and Stoechospermum marginatum in the Mandapam coastal region were chosen for the study, and collected during the first week of March 2019 (Summer season) with a sea surface temperature ranges between 28 and 31 °C. However, July–January is the period of high yield for obtaining seaweed biomass and it is the optimal season for harvesting in the Gulf of Mannar coastal region38. There were so many reports on the anticancer activities of sulphated and non-sulphated polysaccharides from marine seaweeds. Hence, the novelty of the study is to assess the quantitative analysis of both laminarin (non-sulphated) and fucoidan (sulphated) from Brown seaweeds and their anticancer activity.
Materials and methods
Collection of marine macroalgae
Most commonly dispersed brown macroalgae including Padina pavonica (PP), Spatoglossum asperum (SPM), Sargassam wightii (SW), and Stoechospermum marginatum (STM) were collected from the Pudumadam, Mandapam Coastal region (East Coast) (9°16′21.67″ North, and 78°59′33.43″ East), Ramnad District, Tamil Nadu, India. The collected algal samples were morphologically identified by Dr. M. Balusami, former Professor, Department of Plant Biology and Plant Biotechnology, Madras Christian College (Autonomous), Chennai, Tamil Nadu, India. The collected macroalgae samples were washed thoroughly with tap water two or three times to remove epiphytes, salt, sand particles, shade dried, and grounded to fine powder for further extraction of crude polysaccharide.
Extraction of polysaccharide from macroalgae
To a 100 g of finely grounded macroalgae biomass (PP, SPM, SW, and STM), 500 mL of distilled water (dH2O) was added and allowed to extract the polysaccharide by hot-water extraction method at 80 °C for 120 min. The extract was filtered through a nylon mesh and again the extraction procedure was repeated with adding additional 500 mL of dH2O. Then the filtered extract was pooled and centrifuged at 10,000 rpm for 5 min. The supernatant was reacted with four volumes of absolute ethanol and kept undisturbed overnight at 4 °C. Then the precipitated crude polysaccharide was segregated by centrifugation at 10,000 rpm for 5 min. and dried. Then the obtained pellet was diluted to a final volume of 1 L with dH2O and added with 2% Calcium chloride (CaCl2) to precipitate out alginate. After overnight incubation, the alginate content was pelleted out by centrifugation at 8000 rpm for 10 min. Then to the supernatant, again four volumes of absolute ethanol was added to precipitate out crude polysaccharide. Then the content was centrifuged at 10,000 rpm for 5 min. to yield polysaccharide. The pelleted crude polysaccharide content was dried using hot air oven at 40°C23.
Purification of laminarin and fucoidan
Laminarin in a non-sulphated, charge less neutral polysaccharide, whereas, Fucoidan is a sulphated polysaccharide and it is negatively charged and thus, both the polysaccharides were purified by DEAE- cellulose by Anion-exchange chromatographic purification23. The obtained crude polysaccharide from PP, SPM, SW, and STM were dissolved in 10 mL of deionized water and kept ready for loading. Four 5 mL polypropylene syringes (1.2 mm diameter) were used as a column prepacked (1 cm gel bed) with DEAE-Cellulose (Sigma-Aldrich) for four different macroalgae samples PP, SPM, SW, and STM with a flow rate of 1.3 mL min−1. Further, the deionized water was used to wash the column and the elution were collected in separate tubes and dried to obtain purified Laminarin39. Then the total yield of laminarin was determined and compared among the four different macroalgae involved in this study.
After the segregation of laminarin, the negatively charged fucoidan bounded to the positively charged DEAE-Cellulose was released by using different gradient NaCl solutions ranging from 0 to 3.6 M concentrations with 0.4 M interval. The NaCl solutions were prepared in 50 mM sodium acetate buffer with pH of 5.0. Different molar NaCl elution were dialysed against deionized water using a membrane dialysis (Dialysis membrane-70, HI-MEDIA) for each macroalgae23. Then the different elution was subjected to drying and the obtained fucoidan were quantitatively determined by weighing and the total yield was compared among different macroalgae involved in this study23.
Estimation of carbohydrate and sulphate
The total carbohydrate content was determined for both the laminarin and fucoidan samples based on the method described by Dubois et al.40. About 500 µL of the sample (after purification, and before drying) was allowed to react with 5% phenol and 2.5 mL of concentrated sulphuric acid. The mixture was kept undisturbed under incubation for 15 to 20 min at room temperature. The Absorbance values were estimated optically at 490 nm by using UV–Visible spectrophotometer. The carbohydrate content of samples was estimated by comparing the values with known standard. The d-glucose was used as standard.
The total sulphate content was determined based on the method described by Terho and Hartiala41. BaCl2 buffer solution was prepared by adding 10 mL of 2 M acetic acid with 2 mL of 0.005 M BaCl2, and 8 mL of 0.02 M NaHCO3, and made up the volume till 100 mL using absolute ethanol in a 100 mL standard flask. About 5 mg of Sodium rhodizonate was diluted in 20 mL of deionized water, and 100 mg of l-ascorbic acid was added and the volume was made up to 100 mL in a standard flask using absolute ethanol and the sodium rhodizonate solution was prepared 30 min prior to the assay. For standard graph, 2–12 µg of Na2SO4 was diluted in 0.5 mL of deionized water. To a 0.5 mL of standard, sample, Blank (0.5 mL of dH2O), 2 mL of absolute ethanol was added followed by the addition of 1 mL of BaCl2 buffer and 1.5 mL of sodium rhodizonate solution. All the tubes were mixed thoroughly and incubated in dark for 10 min at room temperature. Finally, the optical density was measured at 520 nm within 30 min. The quantity of sulphate content was determined by using the standard graph.
Monosaccharide composition of laminarin and fucoidan
The purified laminarin and fucoidan (10 mg) were subjected to hydrolysis in 0.5 mL of 2 M trifluoro acetic acid (TFA) under 121 °C for an hour. After hydrolysis, the samples were derivatized with PMP (1-phenyl-3methyl-5-pyrazolone) by mixed with the same volume with 0.6 M NaOH and 100 µL of 0.5 M PMP diluted in methanol was added, vortexed, and kept under incubation for 1 h at 70 °C in a water bath. Then the cooled mixture was neutralized with 120 µL of 0.3 M HCl and dissolved in 1 mL of dH2O. A 1 mL of chloroform was added, vortexed and the obtained organic phase was discarded. Then the derivatized aqueous phase was filtered through 0.45 µm membrane filter and eluted with thermo hypersil ODS-2 C18 HPLC columns (250 mm × 4.6 mm with a flow rate of 1 mL min−1) at 30 °C. The UV absorbance of 245 nm was involved to detect the monosaccharide composition of laminarin and fucoidan42.
Characterization of laminarin and fucoidan
Fourier transform infrared spectrometry (FT-IR) analysis
About 5 mg of laminarin and fucoidan samples were grounded separately with 100 mg of potassium bromide (KBr) each and compressed at 10,000 psi and the sample was ready for the FT-IR analysis. The FT-IR analysis (BRUKER MID-IR) was performed for the laminarin and fucoidan samples at a frequency ranging between 500 and 5000 cm−123.
Matrix assisted laser desorption/ionization time of flight (MALDI-TOF) analysis
The molecular weight of both the laminarin and fucoidan were determined by the mass by charge ratio (m/z) analysed between 1000 and 10,000 m/z by MALDI-TOF analysis using MALDI-7090™ (SHIMADZU)43.
In vitro cytotoxic activity of laminarin and fucoidan
For cytotoxic activity assay, Vero cell line (obtained from National Center for Cell Scienes (NCCS), Pune, India) monolayer culture was trypsinized and the cells were counted and adjusted to 1 × 105 cells mL−1 with the culture media having 10% FBS (Fetal Bovine Serum). Then 100 µL of suspended cells (1 × 104 cells well−1) were seeded on to each wells of the microplate and incubated for 24 h with 5% CO2 in an incubator. After incubation, a monolayer was formed, the medium was discarded and the monolayer was washed with culture medium and added with 100 µL of different concentration of the test samples and again incubated at 37 °C for 24 h with 5% CO2 in an incubator. Then the next day, the test solutions in all the wells were discarded and 20 µL of MTT (2 mg mL−1 of MTT in PBS (Phosphate buffered saline) buffer) was added to all the wells, and again incubated for 4 h in an incubator with the above said conditions. After incubation, the supernatant was discarded and 100 µL of DMSO was added to each of the wells and the absorbance values were measured at 570 nm. The percentage of cell viability was calculated and recorded using the formula given below44.
In vitro anticancer activity of laminarin and fucoidan
Two different cancer cell lines, such as Human Colon Cancer Cells (HT-29), and Human Liver Cancer Cells (HepG2) were chosen for Laminarin and Fucoidan, respectively to study their anticancer potential.
Both the Human Colon Cancer cell line (HT-29), and Human Liver Cancer cell line (HepG2) were obtained from the National Center for Cell Scienes (NCCS), Pune, India. The cell lines were separately sub-cultured and maintained in Dulbecco’s Modified Eagles Medium (DMEM) supplemented with Balanced Salt solution (BSS), and 2 mM l-glutamine along with 1.5 g L−1 of Na2CO3, 1 mM sodium pyruvate, 2 mM 1.5 g L−1 of glucose, 0.1 mM non-essential amino acids, 10% Fetal Bovine Serum (GIBCO, USA), and 10 mM HEPES buffer (4-(2-hydroxyethyl)-1-piperazineethane sulfonic acid). Finally, 1 mL L−1 of antibiotic (combination of Penicillin and Streptomycin (100 IU/100 µg)) was supplemented. Then both the HT-29 (Human Colon cancer cells), and HepG2 (Human Live cancer cells) were maintained at 37 °C using a humidified CO2 incubator supplemented with 5% CO245.
The MTT assay is a colorimetric assay which depends on the metabolic activity of living cells, in which, the MTT [3-(4,5-dimethylthiazol-2-yl)-2,5-diphenyltetrazolium bromide] tetrazolium dye reduced to purple coloured formazan crystals when reacts with NADPH dependent oxidoreductase enzymes46. The same chemical reaction does not happen when the cells are dead and MTT remains idle. Both the cancer cell lines HT-29, and HepG2 were cultured in 96-well microplates (1 × 104 cells well−1) for 48 h separately with modified DMEM. Then the medium was replaced with fresh medium consists of serially diluted test samples (1–100 µg mL−1 concentration with 20 mg mL−1 interval) (Laminarin for Human Colon cancer cells (HT-29) and Fucoidan for HepG2 (Human Liver cancer cells) and incubated for 24 h. Further, 100 µL of MTT (2 mg mL−1 of MTT in PBS buffer) was supplemented to each well and again incubated for 4 h at 37 °C in a CO2 incubator. About 50 µL of DMSO was added to each well and incubated for 10 min. to solubilize formazan crystals after removal of remaining medium from the wells. Finally, the optical density (OD) was measured at 570 nm using a microplate reader (Thermo Multiskan EX, USA). Percentage of viability was determined by the formula given below46.
Doxorubicin was used as a positive control and the inhibitory concentration (IC50) value was calculated and inferred. The in vitro studies were carried out in triplicates, and the SPSS version 17.0 was used for the statistical analysis. The p-value was found significant to < 0.05.
Acridine orange/ethidium bromide (AO/EB) staining assay
Acridine orange is a vital dye for staining and differentiate live and dead cells. And ethidium bromide binds only with the cells which lost membrane integrity and thus, live cells appear normally green in fluorescent microscope. Apoptotic dead cells incorporate acridine orange stain and looks orange in colour. Necrotic cells also stain in orange devoid of condensed chromatin, but resembles the nuclear morphology of living cells. In this present study, Both the control and test sample (laminarin and fucoidan) treated cancer cells (Human Colon cancer cells and Human Liver cancer cells) (3 × 104 cells well−1) incubated for 24 h in a CO2 incubator were fixed in a glass slide with methanol and glacial acetic acid (3:1 ratio) solution for 30 min. at room temperature and washed with PBS buffer and then stained with 1:1 ratio of Acridine Orange / Ethidium bromide solution. Again, washed with PBS buffer and viewed and photographed under fluorescence microscope at 40× magnification (ECLIPSE, Nikon, Japan)47.
DNA fragmentation assay
The DNA fragmentation assay in agarose gel differentiates live and apoptotic cells, in which, a single DNA band shows live cells, whereas, dragged DNA bands like ladder represents the cells undergone apoptosis. The fragmentation of DNA is due to the activation of caspase activated DNase (CAD) that leads to apoptotic cancer cell death. Both the Human Colon cancer cells (HT-29), and Human Liver cancer cells (HepG2) (106 cells well−1) treated with test samples Laminarin, and Fucoidan for 24 h were suspended in 10 mL of Tris–EDTA buffer (10 mM Tris HCl, and 10 mM EDTA) (pH 8.0). Then the cells were treated with proteinase K solution (2% SDS, and 20 mg mL−1 of Proteinase K in Tris–EDTA buffer) and kept for incubation at 37 °C for 3 h. Then the DNA segregated and extracted in alcohol solution constitutes Phenol, Chloroform, and Isoamyl alcohol (25:24:1 ratio). Then the extracted DNA was treated with DNase free RNase (20 mg mL−1) at 4 °C for 45 min. and precipitated with 1 mL of 2.5 M sodium acetate and washed twice with four volumes of absolute ethanol. The extracted DNA of control, and test sample treated cancer cells were electrophoresed in 2% agarose containing ethidium bromide (EtBr) and the gel was visualized in a Gel documentation system under UV trans-illumination and photographed48. This assay was outsourced and performed at the Greensmed Labs, Chennai, and received the results in March and April 2021. The gel images were sent as cropped and labelled with DNA bands. The complete gel image was not available or the file was expunged (Supplementary file).
Results
Collection of marine macroalgae
Four different seaweeds belong to Phaeophyceae including Padina pavonica (PP), Stoechospermum marginatum (STM), Spatoglossum asperum (SPM), and Sargassam wightii (SW) were collected from the Mandapam Coastal region of Ramnad District, Tamil Nadu during January 2021 (Fig. 1).
Figure 1.

Photographical images of four different Brown seaweeds involved in the study Padina pavonica (PP); Stoechospermum marginatum (STM); Spatoglossum asperum (SPM); Sargassum wightii (SW).
Extraction of laminarin and fucoidan from Brown seaweeds
Finely powdered seaweed biomasses were subjected to hot-water extraction at 70 °C for 2 h and 30 min. Alginate was removed by adding 2% calcium chloride solution by precipitation. Finally, crude laminarin and fucoidan were obtained by adding equal volumes of ethanol and centrifugation at 8000 rpm for 5 min. Laminarin is a neutral polysaccharide it was purified by using anion exchange chromatography. The percentage yield of laminarin obtained was 4.36% in PP, 1.86% in SPM, 0.60% in SW and 0.27% in STM (Table 1). Among different molar concentrations of NaCl, 0.8 M was found effective in eluting fucoidan in all the seaweed samples. Again, the elutions were dialysed against Milli-Q water and treated with equal volumes of ethanol to precipitate fucoidan and yielded by centrifugation at 10,000 rpm for 10 min. Among four different marine algae involved in our study, STM have yielded high amount of fucoidan with 2.32%, and SW ranked second with total fucoidan yield of 1.45%, but it was low in PP (0.68%) and SPM (0.53%) (Table 1).
Table 1.
The table illustrates the yield of laminarin and fucoidan, and carbohydrate content of laminarin and fucoidan, and sulphate content of fucoidan.
| Seaweed | Total laminarin yield (%) | Carbohydrate in Laminarin (mg/60 mg) | Total fucoidan yield (%) | Carbohydrate in Fucoidan (mg/60 mg) | Sulphate content in Fucoidan (%) |
|---|---|---|---|---|---|
| PP | 4.36 | 52.15 ± 0.26 (86.91%) | 0.68 | 31.9 ± 1.23 (53.16%) | 23.52 |
| SPM | 1.86 | 32.07 ± 2.24 (53.45%) | 0.53 | 28.74 ± 0.35 (47.9%) | 18.86 |
| SW | 0.60 | 41.39 ± 0.60 (68.9%) | 1.45 | 40.68 ± 1.07 (67.66%) | 17.93 |
| STM | 0.27 | 45.13 ± 1.49 (75.21%) | 2.32 | 52.42 ± 1.26 (87.36%) | 20.68 |
Estimation of carbohydrate and sulphate
Laminarin carbohydrate content was found higher in both the PP 52.15 ± 0.26 mg/60 mg (86.91%) and STM 45.13 ± 1.49 mg/60 mg (75.21%), and lower in SW (41.39 ± 0.060 mg/60 mg) (68.9%) and SPM (32.07 ± 2.24 mg/60 mg) (53.45%) (Table 1). However, the carbohydrate content in fucoidan was found greater in STM (52.42 ± 1.26 mg/60 mg) (87.36%) and SW (40.68 ± 1.07 mg/60 mg) (67.66%) and lesser in PP (31.9 ± 1.23 mg/60 mg) (53.16%) and SPM (28.74 ± 0.35 mg/60 mg) (47.9%) (Table 1). Among four different fucoidan samples, sulphate content was 23.52% in PP, 20.68% in STM, 17.93% in SW, and 18.86 in SPM (Table 1). The laminarin to fucoidan ratio was 85:15 and 76:24 in seaweeds PP and SPM, whereas, the same was 30:70, and 10:90 in SW and STM.
Monosaccharide composition of laminarin and fucoidan
The laminarin constitutes of greater percentage of glucose (79.4%), with least percentage of mannose (13.2%), ribose (1.4%), arabinose (2.5%), xylose (0.7%), and galactose (0.5%), whereas, fucoidan constitutes of 64.2% of fucose, followed by low percentage concentration of galactose (14.5%), xylose (12.9%), mannose (4.3%), and rhamnose (3.2%) (Table 2).
Table 2.
Monosaccharide composition of laminarin and fucoidan derived from PP and STM.
| Polysaccharide sample | Monosaccharide units | Percentage (%) |
|---|---|---|
| Laminarin | ||
| Glucose | 79.4 | |
| Mannose | 13.2 | |
| Ribose | 1.4 | |
| Arabinose | 2.5 | |
| Xylose | 0.7 | |
| Galactose | 0.5 | |
| Fucoidan | ||
| Fucose | 64.2 | |
| Galactose | 14.5 | |
| Xylose | 12.9 | |
| Mannose | 4.3 | |
| Rhamnose | 3.2 | |
Characterization ofl laminarin and fucoidan
Fourier transform infrared spectroscopy (FT-IR)
The down peak frequency wavelengths 3540 cm−1, 3385 cm−1, 1613 cm−1, 1398 cm−1, 1118 cm−1, 666 cm−1, and 600 cm−1 in laminarin and 3339 cm−1, 2921 cm−1, 1607 cm−1, 1406 cm−2, and 1029 cm−1 in fucoidan represents the hydroxyl groups, CH stretch, C–C (in-ring) stretches of the polysaccharides, whereas, 1219 cm−1, and 843 cm−1 obtained only from fucoidan represents the sulphate groups (Table 3 and Fig. 2).
Table 3.
Table shows the IR peaks at certain frequency represent the respective functional groups obtained from laminarin (PP) and fucoidan (STM).
| Laminarin (PP) Frequency (cm−1) |
Fucoidan (STM) Frequency (cm−1) |
Functional groups |
|---|---|---|
| 3540 | 3339 | OH Stretch, Hydroxyl group |
| 3385 | OH Stretch, Hydroxyl group | |
| 2921 | CH Stretch | |
| 1613 | 1607 | C–C Stretch (in-ring) |
| 1398 | 1406 | C–C Stretch (in-ring) |
| 1219 | R-SO3− Sulfonates | |
| 1118 | 1029 | C–H Wag (–CH2X) |
| 843 | CO-S Stretch of sulphate group | |
| 666 | C–H bend | |
| 600 | C–H bend |
Significant values in bold represents the sulphate groups of fucoidan.
Figure 2.
(A) FTIR chromatogram of laminarin; (B) fucoidan.
Matrix assisted laser desorption/ionization-time of flight (MALDI-TOF) analysis of laminarin from PP and fucoidan from STM
Based on the results obtained from MALDI-TOF, the m/z between 3000 and 5000 represents low molecular weight Laminarin ranging from 3 kDa daltons to 5 kDa daltons in Padina pavonica (PP) (Fig. 3). Similarly, peaks from 2000 to 6000 m/z represents low molecular weight fucoidan ranges between 2 and 6 kDa (Fig. 4).
Figure 3.
MALDI-TOF chromatogram of laminarin from PP.
Figure 4.
MALDI-TOF chromatogram of fucoidan from STM.
In vitro cytotoxic activity of laminarin and fucoidan
Both the laminarin and fucoidan showed no cytotoxic activity on Vero cells with IC50 values of 123.54 ± 0.8 µg mL−1 and 114.89 ± 1.3 µg mL−1, respectively (Fig. 5A).
Figure 5.

(A) MTT cytotoxicity assay of laminarin and fucoidan on Vero cell line; (B) MTT cytotoxicity assay of laminarin and fucoidan on HT-29 human colon cancer and Hep G2 human liver cancer cell lines, respectively.
In vitro anticancer activity of laminarin and fucoidan
MTT cell cytotoxicity assay
Based on MTT cell cytotoxicity assay, the laminarin purified from PP was found effective with potent anticancer activity. Figure 5B showing that the cell viability of colon cancer cells (HT-29) were found suppressed by increasing the concentration of laminarin in comparison with the positive control Doxorubicin. Finally, the IC50 (Inhibitory Concentration) value of laminarin was determined as 57 ± 1.2 µg mL−1, whereas, the IC50 value of standard was 31 ± 0.5 µg mL−1.
Similarly, the fucoidan extracted and purified from the marine brown alga STM possess effective anticancer activity showing anti-proliferative action on human liver cancer cells (Hep G2). It is clear that while increasing the concentration of the test compound (Fucoidan) percentage of cancer cell proliferation rate decreases consistently and found comparable with that of the standard Doxorubicin (Fig. 5B). The IC50 values determined were 24.4 ± 1.5 µg mL−1 and 5.4 ± 0.5 µg mL−1 for fucoidan and standard, respectively.
Acridine orange/ethidium bromide (AO/EB) staining assay
The treatment of test compounds Laminarin from PP and Fucoidan from STM at different concentrations (10 µg mL−1, 25 µg mL−1, 50 µg mL−1) with Human colon cancer (HT-29) and liver cancer (Hep G2) had resulted that the dead and live cancer cells were clearly discriminated by staining and observed under fluorescent microscopy (Fig. 6A and B). The orange and red fluorescensce in laminarin treatment on HT-29 cell line, and red fluorescence on fucoidan treatment against Hep G2 cell line clearly indicates the apoptoric and necrotic death phases, respectively.
Figure 6.

Acridine orange staining assay showing necrosis of test compound (A) Laminarin on Human colon cancer cells (HT-29); and (B) Fucoidan on Human liver cancer cells (Hep G2). (a) Negative control (no treatment), (b) 10 µg mL−1 of test sample, (c) 25 µg mL−1 of test sample, and (d) 50 µg mL−1 of test sample.
DNA fragmentation assay
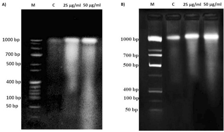
The DNA fragmentation assay clearly resulted the anticancer activity of the test compound laminarin from PP and fucoidan from STM. The different concentrations of laminarin and fucoidan (25 µg mL−1 and 50 µg mL−1) showed DNA smear by forming sheared DNA fragments of dead human colon cancer cells (HT-29) and liver cancer cells (Hep G2), respectively (Fig. 7). Thus, it is evidently clear that both the laminarin and fucoidan exhibits necrotic activity on cancer cells.
Figure 7.
DNA fragmentaion assay showing necrotic activity of the test compounds (A) Laminarin from PP on human colon cancer cells (HT-29) and (B) Fucoidan from STM on human liver cancer cells (Hep G2); Lane 1: DNA marker; Lane 2: Negative control; Lane 3: 25 µg mL−1 of test compound; and Lane 4: 50 µg mL−1 of test compound.
Discussion
For the past three decades, seaweeds contributed to many pharmaceutical applications on gall stones, renal disorders, cancer, heart disease, asthma, psoriasis, antibacterial, antifungal, antiviral, and arthritis with a wide range of metabolites like polysaccharides, phlorotannins, glycoproteins, terpenoids, alkaloids, lectins, pigments, and ketones49. Moreover, Fucoidan has a potent antiviral activity on SARS-CoV-2 (COVID-19) viral infection50–53. Simultaneously, laminarin also has potential antiviral activity on HIV13, reported to possess prebiotic activity on microbial gut health54,55, and antitumor activity56.
Padina pavonica, Stoechospermum marginatum, Spatoglossum asperum, and Sargassum wightii are the most frequently occurring Brown seaweeds in the Gulf of Mannar, Rameswaram, Tamil Nadu, India. In this present study, the four different seaweeds were collected from the Mandapam Coastal region, Rameswaram, Tamil Nadu, India followed by the extraction, purification, and evaluation of yield obtained for both Fucoidan and Laminarin. Both the polysaccharides were extracted using high polar solvent water and aqueous extraction by heat (Hot-water extraction method) was found cost-effective and the potential extraction method optimized. When treating crude extract with calcium ions (CaCl2), alginate gets precipitated and separated by centrifugation57. Hence, 2% CaCl2 was used in this study, alginate was separated and, finally, a crude extract containing fucoidan and laminarin was precipitated by adding equal amount of ethanol.
In present study, the obtained total laminarin and fucoidan yield was higher in Padina pavonica (4.36%) and Stoechospermum marginatum (2.32%), respectively, whereas, the fucoidan yield was 9.46% in P. tetrastromatica, 5.83% in Turbinaria ornata, 3.90% in Sargassum wightii58; 16% in Laminaria japonica. However, in another study, laminarin yield was 32% in diatoms Skeletonema costatum, 14% in Phaeodactylum tricornutum; 0.4% in Stephanodiscus meyerii and 15% in Odontella aurita59; 3–6% in seaweed Laminaria hyperborea and 4–5% in Ascophyllum nodosum17. The total laminarin content as storage carbohydrates in macroalgae was 1– 25% as dry weight60.
The estimated carbohydrate content in Laminarin was found higher in Padina pavonica with 52.15 ± 0.26 mg/60 mg (86.91%), whereas for fucoidan it was 52.42 ± 1.26 mg/60 mg (87.36%) in Stoechospermum marginatum. Similarly, sulphate content of fucoidan from Stoechospermum marginatum was 20.68%. Ohlsson et al.61 reported that the seaweed biomass is rich in 90% of carbohydrate, in which 60% of were laminarin from Laminaria digitata. The total carbohydrate yield was 10–11% from the seaweed biomass58. In another study the total fucoidan content obtained from Turbinaria decurrens and Dictyota bartayresiana were 3.89% and 8.67%, respectively23. Whereas, the range of suphate groups in fucoidan was between 5 and 40% in Sargassum swartzii62. However, fucoidan consists of 55% of carbohydrate and 40% of sulphate in its constituent63. Intriguingly, the carbohydrate content was greater during Summer60. Becker et al.64 resulted about 53% of carbohydrate from the biomass and among them, 42% were laminarin in diatom.
The monosaccharide composition of laminarin constitutes of 46.93% of fucose, 12.12% of galactose, 8.61% of arabinose, 4.23% of glucose, and 3.27% of mannose12. However, glucose alone found reported in the laminarin65. Concurrently, in the present investigation, laminarin derived from Padina pavonica constitutes of 79.4% of glucose, 13.2% of mannose. 1.4% of ribose, 2.5% of arabinose, and 0.7% of xylose and 0.5% of galactose. Xia et al. reported that the laminarin isolated from a marine diatom Oduntella aurita consists of about 82.23% of glucose units66. In the case fucoidan, fucose constitutes 64.2%, galactose 14.5%, xylose 12.9%, mannose 4.3%, and rhamnose 3.2% in Stoechosermum marginatum (present study), whereas, fucoidan from Fucus vesiculosus constitutes of 59.2% of fucose, 12.6% of xylose, 2.7% of mannose, 10.4% of galactose, 1.4% of rhamnose, and 13.6% of glucose67. The monosaccharide units of fucoidan from Turbinaria decurrens were fucose (59.3%), galactose (12.6%), mannose (9.6%), and rhamnose (6.4%)68. Similarly, fucoidan from Fucus serratus reported 40.6% of fucose, 43.2% of glucose, 10.4% of xylose, 4.2% of galactose, and 2.7% of mannose67. About 96.1% of fucose, and 3.9% of galactose were reported from Fucus evascens, and 38.7% of fucose, 32% of xylose, 16.2% of galactose, 5.6% of mannose, 2.3% of rhamnose, and 5% of glucose from Dictyosiphon foeniculaceus67. Simultaneously, fucoidan purified from Laminaria digitata constitutes 67.1% of fucose, 13.7% of xylose, 14% of galactose, and 5.2% of mannose. However, fucoidan from Saccharima latissima reported with 83.8% of fucose, 7.5% of galactose, 6.7% of xylose, and 2.1% of rhamnose67. Therefore, it has been determined that the glucose, and fucose are the major backbone monosaccharide unit of laminarin and fucoidan, respectively.
The FT-IR analysis resulted that the functional groups represent the carbohydrate nature of laminarin (non-sulphated polysaccharide), and carbohydrate and sulphate nature of fucoidan (Sulphated polysaccharide) from Padina pavonica, and Stoechospermum marginatum respectivley. The presence of sulphate groups in Fucoidan was clearly seen at 1219 cm−1, and 843 cm−1 respectivley. Congruently, 843 cm−1, 842 cm−1, 842 cm−1, and 820 cm−1 representing sulphate groups of fucoidan were reported from the respective marine seaweeds, which are Padina tetrastromatica, Sargassum oligocystum, Laminaria Cichorioides, Fucus evanescens, and Laminaria japonica58,69. In another study, 1200 cm−1, and 1201 cm−1 represents sulphonate groups of Fucoidan23 and also in our study the same results were seen at 1219 cm−1. This similar kind of FT-IR peaks were not seen in the Laminarin of Padina pavonica and hence it is devoid of sulphate group. In laminarin, 3400 cm−1 represents the hydroxyl group (–OH)70, whereas, hydroxyl groups were seen at 3540 cm−1, and 3385 cm−1 in the laminarin from Padina pavonica. Similarly, pure laminarin exhibited anisomeric stretching at 1620 cm−171, in our present study the same was obtained at 1613 cm−1 in the laminarin. Carboxylic group of laminarin was obtained at 1398 cm−1 in laminarin of Padina pavonica, whereas it was reported in the laminarin at 1420 cm−1 from Laminaria japonica72. The presence of CC stretch (glycosidinc bonds) was determined at 1100 cm−1 in laminarin, and also the obtained result in this study as laminarin of Padina pavonica at 1118 cm−173. However, the fucoidan from Stoechospermum marginatum was hydrolyzed to retrieve Fucose and determined by RP-HPLC with a Standard Fucose (Sigma-Aldrich). Hence, it is confirmed that the extracted sulphated polysaccharide from Stoechospermum marginatum was Fucoidan.
The obtained mass of laminarin from Padina pavonica was 3000 to 5000 daltons, whereas, for fucoidan from Stoechospermum marginatum, it was between 2000 and 6000 daltons. About 2–7 kDa molecular mass of Laminarin was determined from Sargassum cichorioides, and Laminaria gurjanovae, respectively74. Graiff et al.43 also determined the molecular mass of laminarin ranges between 2 and 7 kDa from Lamanaria digitata. The average molecular mass of laminarin was approximately 5 kDa75–77. High molecular weight fucoidan was reported from Saragassum fusiforme at an average weight of 95 kDa78. Similarly, high molecular weight fucoidan was obtained from Sargassum siliquosum with 107.3 kDa. However, in this present study, the obtained fucoidan was low molecular weight with 2–6 kDa from Stoechospermum marginatum.
The laminarin conjugated gold nanoparticles does not inhibit the Vero cells at higher concentration of 100 µg mL−179. In another study, laminarin showed no cytotoxic effect on HDFa cell line (Normal primary dermal fibroblast) at 100 µg mL−1 concentration, and NHEK cell line (Primary normal human epidermal keratinocytes) at 500 µg mL−1 concentration80. Simultaneously, laminarin (100 µg mL−1) treated with human adipose stem cells and L929 cell line (Mouse fibroblast) exhibits no cytotoxic activity81. However, about 2 mg mL−1 concentration of laminarin for 24 h of treatment, selectively inhibited ovarian cancer (ES-2 and OV-90) and showed no cytotoxic effect on Zebrafish embryo xenograft model9. Moreover, the depolymerized low molecular weight laminarin enhanced the proliferation rate of normal fibroblasts, and eventually suppressed the melanomas by inducing TNF-α in a wound dressing study82. Relatively to the above studies, laminarin derived from Padina pavonica also showed no cytotoxic effects on Vero cells with an IC50 value of 123.54 ± 0.8 µg mL−1.
Fucoidan from Cladosiphon okamurans had no cytotoxic effect on Vero cells upto 2 mg mL−1 concentration, but inhibits Canine distemper virus (CDV) replication in Vero cells83. Concurrently, the same exhibit no cytotoxicity on Vero cells but inhibits the replication of Newcastle Disease Virus (NDV)44. In an intriguing study, fucoidan from Turbinaria conoides potentially inhibits cancer cells (A549—Human lung adenocarcinoma) by 25–75% in a dose dependent manner but doesn’t showed cytotoxicity on Vero cells84 and human skin keratinocytes (HaCaT cell line)85. This was again supported by another study, in which, fucoidan from Fucus evanescens possess no cytotoxic effect on Vero cells up to 2 mg mL−1 concentration86. Chantree et al.87 evidently reported that the fucoidan isolated from Fucus vesiculosus arrests cell cycle on Cholangiocarcinoma cells (CL-6) via apoptosis, whereas, the same fucoidan doesn’t exhibits any cytotoxic activity on OUMS cells (human embryonic fibroblast cell line). The present study also supports other studies by showing no cytotoxic effects on Vero cells.
Laminarin isolated from laminaria digitata enhances apoptosis in HT-29 colon cancer cells by inducing the sub-G1 and G2/M Phases8. Whereas, laminarin induces apoptosis through Fas and IGF-IR signaling pathways and ErbB (intrinsic apoptotic) pathways88. The four different seaweed extracts of Sargassum latifolium had shown IC50 values of 62.59 µg mL−1, 110.20 µg mL−1, 162.79 µg mL−1 and 51.15 µg mL−1 on HCT-116 Human colon cancer cells with promising anti-hypoxic activity89. However, laminarin from Sargassum thunbergii inhibited human lung adenocarcinoma (A549 cell line) with IC50 values of 2.70 mg mL−1 and 2.85 mg mL−1 for 12 and 24 h, respectively90. Intriguingly, different ranges of laminarin concentrations for 48 h significantly suppressed the cell viability and induces apoptosis in a dose-dependent manner on liver cancer cells (Bel-7404 and HepG2)91. In aggreement with Tian et al.91, our study resulted that the laminarin supplementation inhibits the cell viability of HT-29 Human colon cancer cells and which is proportional to the concentration of laminarin with an IC50 value of 57 ± 1.2 µg mL−1.
The fucoidan extract of Sargassum horneri22, Chnoospora minima92, Ecklonia cava93, Laminaria japonica, Fucus vesiculosus, and Undaria pinnatifida94, were found to suppress the proinflammatory cytokines such as IL-6, IL-1β, and TNF-α in vitro. Oral administration of fucoidan isolated from Laminaria japonica inhibits proinflammatory cytokines and enhanced antiinflammatory cytokines, respectively95 in vivo in cancer patients. Clinical trails on fucoidan from Fucus vesiculosus resulted that it downregulates the proinflammatory cytokines96. High molecular weight fucoidan from Fucus vesiculosus found to induce apoptosis by the activation of caspases in MCF-7 (human breast cancer) and HeLa (cervical cancer) in vitro97, and thus, fucoidan is a potential compound to treat melanoma including the health improvement of cancer patients in the stages of metastases98. The fucoidan extracted from Sargassum cinereum has an IC50 value of 250 µg mL−1 on Caco-2 human colorectal adenocarcinoma cells in vitro37. The IC50 values of Fucoidan isolated from the seaweed Fucus vesiculosus on DLBL (Diffuse Large B-cell Lymphoma) cell lines were 101.6 µg mL−1 on U2932 cell lines, 97.5 µg mL−1 on TMD8 cell lines, 93.7 µg mL−1 on NU-DUL-1 cell lines, 95.5 µg mL−1 on DB cell lines, 82.3 µg mL−1 on OCI-LY8 cell lines, and 80.0 µg mL−1 on SUDHL-4 cell lines99. Whereas, in this present study, the fucoidan extracted and purified from Stoechospermum marginatum has potential anticancer activity with an IC50 value of 24.4 ± 1.5 µg mL−1 on human liver cancer cells (Hep G2) in vitro. Simultaneously, fucoidan fraction derived from a brown seaweed Hizikia fusiforme was found inhibiting liver cancer cells (Hep3B) at a maximal inhibitory concentration of 33.53 ± µg mL−1100. Eventually, it has been resulted that, both the laminarin and fucoidan derived from PP and STM have no cytotoxic activity on Vero cells, but inhibited the proliferation cancer cells HT-29 (human colon cancer) and Hep G2 (human liver cancer).
Native laminarin induces apoptosis in LoVo (human metastatic colon carcinoma), whereas, enzyme-hydrolyzed laminarin also demonstrated potential anticancer activity over SK-MEL-28 (human melanoma), and DLD-1 (colon cancer) cell lines101. However, laminarin sulphate hampers heparanase activity in mouse melanoma cells (B16-BL6) and inhibits the metastasis of mammary adenocarcinoma102. Simultaneously, laminarin from Dictyota dichotoma inhibits matrix metalloproteinases MMP-2, MMP-9, and p-ERK1/2 signalling cascade and resulted in the suppression of progression and migration of human melanoma103. Increased concentration of cytoplasmic and mitochondrial calcium levels and induced apoptosis was seen in the ovarian cancer cells treated with the laminarin isolated from Laminaria digitata9. Similar kind of result was also reported in human colon cancer cells18.
Regular oral administration of fucoidan isolated from Fucus evanescens significantly enhances the antitumor, and anti-metastasis activity in mice model induced with Lewis lung adenocarcinoma104. Yang et al.105 recorded that the hydrolysed fucoidan had greater anticancer activity (> 75%) than the native fucoidan (37%) derived from Undaria pinnatifida. Comparatively, over sulphation of high molecular weight fucoidan > 30 kDa from Undaria pinnatifida had shown enhanced inhibition of cancer proliferation from 35 to 56%, whereas, over sulphation of low molecular weight fucoidan 5–30 kDa was found to inhibit from 37 to 68%106. The molecular sulphation of fucoidan plays a vital role in the function of fucoidan, hence, a decrease in the degree of sulfation in fucoidan (< 20%) drastically minimized the anticoagulant and anticancer efficacy of fucoidan107. Whereas, a high degree of sulfation induces anti-angiogenic activity and suppresses the growth of tumor cells106,108. Moreover, the sulphate groups in fucoidan have higher affinity and binding with the cationic proteins in the cancer cells and inhibit cancer proliferation108,109. Therefore, sulphate moiety is the most important factor in the function of fucoidan. In accordance with the above, the IC50 value of fucoidan on Hep G2 was found better than the same of laminarin with HT-29 due to the presence of sulphate group in fucoidan, which is advantageous for fucoidan (from STM) over laminarin (from PP) on the anticancer potential. The polysaccharides from seaweeds were reported with many beneficial activities. Further, fucoidan is of considerable interest in functional food, pharmaceutical, and cosmeceutical use110.
Fucoidan from seaweeds showed anticancer activity by enhancing the chromatin condensation, Bax, cleaved Cas-9 and poly-ADP ribose polymerase, and suppressed Bcl-2, p-PI3K, p-P38, p-Akt, and p-ERK genes in a dose-dependent manner in vitro in DU-145 prostate cancer cells111. Similarly, fucoidan hampers PI3K, ERK, and MAPK pathway and thereby suppressing the cancer progression and also inhibits the expression of Bcl-2, Bax, and enhanced caspase-dependent apoptosis in LM3 (Murine mammary adenocarcinoma) and BEL-7402 (hepatocellular carcinoma) cell lines112. Fucoidan from H. fusiforme upregulated Bcl-2 associated X protein, caspase-3, and induced mitochondria mediated apoptosis in human liver cancer cells100. The natural killer (NK) cells followed by IL-2 and IFN-γ were induced in mice model fed with fucoidan orally in tumour induced mice than the control mice113–116. About 1 mg mL−1 concentration of fucoidan from Cladosiphon okamuranus to Huh7 liver cancer cells had increased the G0/G1 phase population, and decreased S-phase population and resulted that the fucoidan arrests cell cycle at G0/G1 phase117.
AO/EB assay is a simple and cost-effective assay to detect apoptosis47. When live cells are stained with acridine orange emits green fluorescence, whereas, dead cells emit orange-red by ethidium bromide due to the loss of cytoplasmic membrane of dead cells and interaction between ethidium bromide and the intercalating DNA118. Therefore, this method is effective in identifying even mild nucleic acid damages119. However, bright-green fluorescence illustrates early apoptotic phase when fragmented chromatin structures stained. Orange-red fluorescence resulted in the late apoptotic phase, when ethidium bromide stained with nuclei120. Concurrently, in the present investigation, both the cancer cell lines HT-29 (colon), and Hep G2 (liver) had undergone apoptotic and necrotic cell death phase and were evidently confirmed by AO/EB staining assay under fluorescent microscopy121,122. The fragmented DNA was visually seen as orange and red fluorescence in both the laminarin and fucoidan treated cancer cells.
Unlike programmed cell death (apoptosis), necroptosis is a passive cell death by the uncontrolled expression of inflammatory factors. Thus, necrosis deals with the immunological concept of cell cycle arrest and death123. Moreover, cancer cells progressively develop resistant to some cancer drugs by deletion in specific genes, genetic aberration, and overexpression of anti-apoptotic proteins which is a major defect in the apoptotic death machinery124–126. Therefore, programmed necrotic cell death is an alternate approach in anticancer treatment by inducing the immune system. However, in the current investigation, based the DNA fragmentation assay, it was evidently clear that the laminarin and fucoidan from PP and STM showed anticancer activity by forming DNA smear on both colon (HT-29) and liver (Hep G2) cancer cell lines, respectively by inducing the necrotic factors based on Zhivotosky and Orrenius127. Based on the present investigation, laminarin and fucoidan are the potential bioactive compounds for the treatment of cancer.
Conclusion
In the present study, both laminarin and fucoidan were isolated from Padina pavonica (PP), and Stoechospermum marginatum (STM). Laminarin constitutes glucose, and mannose, whereas, fucoidan is rich in fucose, galactose, and xylose with sulphate groups. However, the molecular weight was determined between 3 and 5 kDa for laminarin and 2 kDa, and 6 kDa for fucoidan. Both the polysaccharides showed no cytotoxicity on Vero cells, but laminarin inhibits the proliferation of human colon cancer cells (HT-29) in vitro with an IC50 value of 57 ± 1.2 µg mL−1. Simultaneously, fucoidan also suppresses the progression of human liver cancer cells (Hep G2) in vitro with an IC50 value of 24.4 ± 1.5 µg mL−1. The fucoidan activity was found relatively greater than laminarin may be due to the presence of sulphate groups in it. Moreover, necrosis based cancer cell death was determined by fragmented DNA smear in both the cases. Therefore, it has been concluded that both the laminarin from PP and fucoidan from STM have potential anticancer activity on human colon cancer and liver cancer cells. Additionally, molecular marker interventions are required for future investigations.
Supplementary Information
Author contributions
Arthi Arumugam and Madhumitha Sampath Kumar from Rajalakshmi Engineering College, and Nandhini Senthilkumar and Monisha Anbalagan from Jeppiar Engineering College carried out their B.Tech. Research Projects under the supervision of Prof. Elumalai Sanniyasi, in the Department of Biotechnology, University of Madras, Guindy Campus, Chennai. The overall research work was guided by Dr. Rajesh Kanna Gopal, and Dr. Rajesh Damodharan.
Data availability
All the data are available with Prof. Elumalai Sanniyasi (ananandal67@gmail.com).
Competing interests
The authors declare no competing interests.
Footnotes
Publisher's note
Springer Nature remains neutral with regard to jurisdictional claims in published maps and institutional affiliations.
Supplementary Information
The online version contains supplementary material available at 10.1038/s41598-023-41327-7.
References
- 1.Oza, R. & Zaidi, S. A Revised Checklist of Indian Marine Algae. (CSIR-CSMCRI, Bhavnagar, India, 2001).
- 2.Ganesan M, et al. Seaweed resources in India—current status of diversity and cultivation: Prospects and challenges. Bot. Mar. 2019;62:463–482. doi: 10.1515/bot-2018-0056. [DOI] [Google Scholar]
- 3.Muthuvelan B, Chennubhotla V, Nair K, Sampath V, Ravindran M. Standing crop biomass and comparative distribution of agarophytes, alginophytes and other algae in South Andaman. Indian Hydrobiol. 2001;4:130–138. [Google Scholar]
- 4.Jha B, Reddy CRK, Thakur MC, Rao MU. Seaweeds of India. Springer; 2009. [Google Scholar]
- 5.Ji C-F, Ji Y-B. Laminarin-induced apoptosis in human colon cancer LoVo cells. Oncol. Lett. 2014;7:1728–1732. doi: 10.3892/ol.2014.1952. [DOI] [PMC free article] [PubMed] [Google Scholar]
- 6.Ermakova S, et al. Water-soluble polysaccharides from the brown alga Eisenia bicyclis: Structural characteristics and antitumor activity. Algal Res. 2013;2:51–58. doi: 10.1016/j.algal.2012.10.002. [DOI] [Google Scholar]
- 7.Cui D, et al. Selenium nanoparticles fabricated in laminarin polysaccharides solutions exert their cytotoxicities in HepG2 cells by inhibiting autophagy and promoting apoptosis. Int. J. Biol. Macromol. 2019;137:829–835. doi: 10.1016/j.ijbiomac.2019.07.031. [DOI] [PubMed] [Google Scholar]
- 8.Park H-K, Kim I-H, Kim J, Nam T-J. Induction of apoptosis and the regulation of ErbB signaling by laminarin in HT-29 human colon cancer cells. Int. J. Mol. Med. 2013;32:291–295. doi: 10.3892/ijmm.2013.1409. [DOI] [PMC free article] [PubMed] [Google Scholar]
- 9.Bae H, et al. Laminarin-derived from brown algae suppresses the growth of ovarian cancer cells via mitochondrial dysfunction and ER stress. Mar. Drugs. 2020;18:152. doi: 10.3390/md18030152. [DOI] [PMC free article] [PubMed] [Google Scholar]
- 10.Liu X, et al. Laminarin protects against hydrogen peroxide-induced oxidative damage in MRC-5 cells possibly via regulating NRF2. PeerJ. 2017;5:e3642. doi: 10.7717/peerj.3642. [DOI] [PMC free article] [PubMed] [Google Scholar]
- 11.Smith AJ, et al. Immunoregulatory activity of the natural product laminarin varies widely as a result of its physical properties. J. Immunol. 2018;200:788–799. doi: 10.4049/jimmunol.1701258. [DOI] [PMC free article] [PubMed] [Google Scholar]
- 12.Cheng D, Liang B, Li M, Jin M. Influence of Laminarin polysaccahrides on oxidative damage. Int. J. Biol. Macromol. 2011;48:63–66. doi: 10.1016/j.ijbiomac.2010.09.011. [DOI] [PubMed] [Google Scholar]
- 13.Shi Q, et al. Overview on the antiviral activities and mechanisms of marine polysaccharides from seaweeds. Carbohyd. Res. 2017;453–454:1–9. doi: 10.1016/j.carres.2017.10.020. [DOI] [PubMed] [Google Scholar]
- 14.Cao Y, Hao Y, Li Z, Liu S, Wang L. Antiviral activity of polysaccharide extract from Laminaria japonica against respiratory syncytial virus. Biomed. Pharmacother. 2016;84:1705–1710. doi: 10.1016/j.biopha.2016.10.082. [DOI] [PubMed] [Google Scholar]
- 15.Food and Drug Administration, HHS. Food labeling: Health claims; soluble fiber from certain foods and risk of coronary heart disease. Final rule. Fed Regist.73, 23947–23953 (2008). [PubMed]
- 16.Teas J. The dietary intake of laminaria, a brown seaweed, and breast cancer prevention. Nutr. Cancer. 1982;4:217–222. doi: 10.1080/01635588209513760. [DOI] [PubMed] [Google Scholar]
- 17.Kadam S, et al. Laminarin from Irish Brown Seaweeds Ascophyllum nodosum and Laminaria hyperborea: Ultrasound assisted extraction, characterization and bioactivity. Mar. Drugs. 2015;13:4270–4280. doi: 10.3390/md13074270. [DOI] [PMC free article] [PubMed] [Google Scholar]
- 18.Ji YB, Ji CF, Zhang H. Laminarin induces apoptosis of human colon cancer LOVO cells through a mitochondrial pathway. Molecules. 2012;17:9947–9960. doi: 10.3390/molecules17089947. [DOI] [PMC free article] [PubMed] [Google Scholar]
- 19.Usoltseva (Menshova) RV, Anastyuk SD, Shevchenko NM, Zvyagintseva TN, Ermakova SP. The comparison of structure and anticancer activity in vitro of polysaccharides from brown algae Alaria marginata and A. angusta. Carbohydr. Polym. 2016;153:258–265. doi: 10.1016/j.carbpol.2016.07.103. [DOI] [PubMed] [Google Scholar]
- 20.Malyarenko OS, et al. In vitro anticancer activity of the laminarans from Far Eastern Brown seaweeds and their sulfated derivatives. J. Appl. Phycol. 2017;29:543–553. doi: 10.1007/s10811-016-0915-3. [DOI] [Google Scholar]
- 21.Van Weelden G, et al. Fucoidan structure and activity in relation to anti-cancer mechanisms. Mar. Drugs. 2019;17:32. doi: 10.3390/md17010032. [DOI] [PMC free article] [PubMed] [Google Scholar]
- 22.Sanjeewa KKA, Lee J-S, Kim W-S, Jeon Y-J. The potential of brown-algae polysaccharides for the development of anticancer agents: An update on anticancer effects reported for fucoidan and laminaran. Carbohyd. Polym. 2017;177:451–459. doi: 10.1016/j.carbpol.2017.09.005. [DOI] [PubMed] [Google Scholar]
- 23.Sanniyasi E, Venkatasubramanian G, Anbalagan MM, Raj PP, Gopal RK. In vitro anti-HIV-1 activity of the bioactive compound extracted and purified from two different marine macroalgae (seaweeds) (Dictyota bartayesiana J.V. Lamouroux and Turbinaria decurrens Bory) Sci. Rep. 2019;9:12185. doi: 10.1038/s41598-019-47917-8. [DOI] [PMC free article] [PubMed] [Google Scholar]
- 24.Negishi H, Mori M, Mori H, Yamori Y. Supplementation of elderly japanese men and women with fucoidan from seaweed increases immune responses to seasonal influenza vaccination. J. Nutr. 2013;143:1794–1798. doi: 10.3945/jn.113.179036. [DOI] [PMC free article] [PubMed] [Google Scholar]
- 25.Fitton J, Stringer D, Karpiniec S. Therapies from fucoidan: An update. Mar. Drugs. 2015;13:5920–5946. doi: 10.3390/md13095920. [DOI] [PMC free article] [PubMed] [Google Scholar]
- 26.Apostolova E, et al. Immunomodulatory and anti-inflammatory effects of fucoidan: A review. Polymers. 2020;12:2338. doi: 10.3390/polym12102338. [DOI] [PMC free article] [PubMed] [Google Scholar]
- 27.Ricós-Muñoz, N., Maicas, S. & Pina-Pérez, M. C. Probiotic Lactobacillus reuteri growth improved under fucoidan exposure. In The 1st International Electronic Conference on Food Science and Functional Foods 106 (MDPI, 2020). 10.3390/foods_2020-07724.
- 28.Park J-H, et al. Promoting wound healing using low molecular weight fucoidan in a full-thickness dermal excision rat model. Mar. Drugs. 2017;15:112. doi: 10.3390/md15040112. [DOI] [PMC free article] [PubMed] [Google Scholar]
- 29.Wang, J., Geng, L., Yue, Y. & Zhang, Q. Use of fucoidan to treat renal diseases: A review of 15 years of clinic studies. In Progress in Molecular Biology and Translational Science vol. 163 95–111 (Elsevier, 2019). [DOI] [PubMed]
- 30.Chua E-G, Verbrugghe P, Perkins TT, Tay C-Y. Fucoidans disrupt Adherence of Helicobacter pylori to AGS cells in vitro. Evid.-Based Complement. Altern. Med. 2015;2015:1–6. doi: 10.1155/2015/120981. [DOI] [PMC free article] [PubMed] [Google Scholar]
- 31.Xue M, et al. Anticancer properties and mechanisms of fucoidan on mouse breast cancer in vitro and in vivo. PLoS ONE. 2012;7:e43483. doi: 10.1371/journal.pone.0043483. [DOI] [PMC free article] [PubMed] [Google Scholar]
- 32.Noda H, Amano H, Arashima K, Nisizawa K. Antitumor activity of marine algae. Hydrobiologia. 1990;204–205:577–584. doi: 10.1007/BF00040290. [DOI] [Google Scholar]
- 33.Yamamoto I, Takahashi M, Suzuki T, Seino H, Mori H. Antitumor effect of seaweeds. IV. Enhancement of antitumor activity by sulfation of a crude fucoidan fraction from Sargassum kjellmanianum. Jpn. J. Exp. Med. 1984;54:143–151. [PubMed] [Google Scholar]
- 34.Coombe DR, Parish CR, Ramshaw IA, Snowden JM. Analysis of the inhibition of tumour metastasis by sulphated polysaccharides. Int. J. Cancer. 1987;39:82–88. doi: 10.1002/ijc.2910390115. [DOI] [PubMed] [Google Scholar]
- 35.An E-K, et al. Comparison of the immune activation capacities of fucoidan and laminarin extracted from Laminaria japonica. Int. J. Biol. Macromol. 2022;208:230–242. doi: 10.1016/j.ijbiomac.2022.03.122. [DOI] [PubMed] [Google Scholar]
- 36.Santhanam RC, Yacoob SAM, Venkatraman A. In vitro cytotoxicity assay of Fucoidan extracted from Turbinaria conoides against cancer cell lines MCF7, A549, and normal cell line L929. Braz. J. Pharm. Sci. 2022;58:e19542. doi: 10.1590/s2175-97902022e19542. [DOI] [Google Scholar]
- 37.Narayani SS, Saravanan S, Ravindran J, Ramasamy MS, Chitra J. In vitro anticancer activity of fucoidan extracted from Sargassum cinereum against Caco-2 cells. Int. J. Biol. Macromol. 2019;138:618–628. doi: 10.1016/j.ijbiomac.2019.07.127. [DOI] [PubMed] [Google Scholar]
- 38.Radhika R, Gayathri S. Women enterprising in seaweed farming with special references fisherwomen widows in Kanyakumari District Tamilnadu India. J. Coast. Dev. 2014;17:1–5. [Google Scholar]
- 39.Garcia-Vaquero M, Rajauria G, O’Doherty JV, Sweeney T. Polysaccharides from macroalgae: Recent advances, innovative technologies and challenges in extraction and purification. Food Res. Int. 2017;99:1011–1020. doi: 10.1016/j.foodres.2016.11.016. [DOI] [PubMed] [Google Scholar]
- 40.DuBois M, Gilles KA, Hamilton JK, Rebers PA, Smith F. Colorimetric method for determination of sugars and related substances. Anal. Chem. 1956;28:350–356. doi: 10.1021/ac60111a017. [DOI] [Google Scholar]
- 41.Terho TT, Hartiala K. Method for determination of the sulfate content of glycosaminoglycans. Anal. Biochem. 1971;41:471–476. doi: 10.1016/0003-2697(71)90167-9. [DOI] [PubMed] [Google Scholar]
- 42.Zhang J, Zhang Q, Wang J, Shi X, Zhang Z. Analysis of the monosaccharide composition of fucoidan by precolumn derivation HPLC. Chin. J. Ocean. Limnol. 2009;27:578–582. doi: 10.1007/s00343-009-9205-0. [DOI] [Google Scholar]
- 43.Graiff A, Ruth W, Kragl U, Karsten U. Chemical characterization and quantification of the brown algal storage compound laminarin—a new methodological approach. J. Appl. Phycol. 2016;28:533–543. doi: 10.1007/s10811-015-0563-z. [DOI] [Google Scholar]
- 44.Elizondo-Gonzalez R, et al. In vitro characterization of the antiviral activity of fucoidan from Cladosiphon okamuranus against Newcastle Disease Virus. Virol J. 2012;9:307. doi: 10.1186/1743-422X-9-307. [DOI] [PMC free article] [PubMed] [Google Scholar]
- 45.Sanniyasi E, Patrick APR, Rajagopalan K, Gopal RK, Damodharan R. Characterization and in vitro anticancer potential of exopolysaccharide extracted from a freshwater diatom Nitzschia palea (Kütz.) W. Sm. 1856. Sci. Rep. 2022;12:22114. doi: 10.1038/s41598-022-24662-z. [DOI] [PMC free article] [PubMed] [Google Scholar]
- 46.Mosmann T. Rapid colorimetric assay for cellular growth and survival: Application to proliferation and cytotoxicity assays. J. Immunol. Methods. 1983;65:55–63. doi: 10.1016/0022-1759(83)90303-4. [DOI] [PubMed] [Google Scholar]
- 47.Liu K, Liu P, Liu R, Wu X. Dual AO/EB staining to detect apoptosis in osteosarcoma cells compared with flow cytometry. Med. Sci. Monit. Basic Res. 2015;21:15–20. doi: 10.12659/MSMBR.893327. [DOI] [PMC free article] [PubMed] [Google Scholar]
- 48.Madar, I., Sultan, G., Chelliah, R. & Oh, D.-H. Screening for anticancer activity: DNA fragmentation assay. In Methods in Actinobacteriology (ed. Dharumadurai, D.) 439–442 (Springer US, 2022). 10.1007/978-1-0716-1728-1_58.
- 49.Abdelwahab, R. Therapeutic and pharmaceutic applications of seaweeds. In Chapter 5 Biotechnological Applications of Seaweeds ed. Nabti Elhafid 85–116 (Nova Science Publishers Inc, 2017).
- 50.Fitton JH, Park AY, Karpiniec SS, Stringer DN. Fucoidan and lung function: Value in viral infection. Mar. Drugs. 2020;19:4. doi: 10.3390/md19010004. [DOI] [PMC free article] [PubMed] [Google Scholar]
- 51.Song S, et al. Inhibitory activities of marine sulfated polysaccharides against SARS-CoV-2. Food Funct. 2020;11:7415–7420. doi: 10.1039/D0FO02017F. [DOI] [PubMed] [Google Scholar]
- 52.Kwon PS, et al. Sulfated polysaccharides effectively inhibit SARS-CoV-2 in vitro. Cell Discov. 2020;6:50. doi: 10.1038/s41421-020-00192-8. [DOI] [PMC free article] [PubMed] [Google Scholar]
- 53.Yim S-K, et al. Antiviral activity of two marine carotenoids against SARS-CoV-2 virus entry in silico and in vitro. IJMS. 2021;22:6481. doi: 10.3390/ijms22126481. [DOI] [PMC free article] [PubMed] [Google Scholar]
- 54.Smith AG, et al. The effects of laminarin derived from Laminaria digitata on measurements of gut health: Selected bacterial populations, intestinal fermentation, mucin gene expression and cytokine gene expression in the pig. Br. J. Nutr. 2011;105:669–677. doi: 10.1017/S0007114510004277. [DOI] [PubMed] [Google Scholar]
- 55.Moroney NC, O’Grady MN, O’Doherty JV, Kerry JP. Effect of a brown seaweed (Laminaria digitata) extract containing laminarin and fucoidan on the quality and shelf-life of fresh and cooked minced pork patties. Meat Sci. 2013;94:304–311. doi: 10.1016/j.meatsci.2013.02.010. [DOI] [PubMed] [Google Scholar]
- 56.Ji C-F, Ji Y-B, Meng D-Y. Sulfated modification and anti-tumor activity of laminarin. Exp. Ther. Med. 2013;6:1259–1264. doi: 10.3892/etm.2013.1277. [DOI] [PMC free article] [PubMed] [Google Scholar]
- 57.Dobrinčić A, et al. Advanced technologies for the extraction of marine brown algal polysaccharides. Mar. Drugs. 2020;18:168. doi: 10.3390/md18030168. [DOI] [PMC free article] [PubMed] [Google Scholar]
- 58.Rani V, Jawahar P, Shakila R, Srinivasan A. Antibacterial activity of some Brown seaweeds of Gulf of Mannar, South East Coast of India. J. Pharmaceut. BioSci. 2017;4:14–21. [Google Scholar]
- 59.Chen J, et al. Laminarin, a major polysaccharide in stramenopiles. Mar. Drugs. 2021;19:576. doi: 10.3390/md19100576. [DOI] [PMC free article] [PubMed] [Google Scholar]
- 60.Adams JMM, et al. Seasonal variation in the chemical composition of the bioenergy feedstock Laminaria digitata for thermochemical conversion. Bioresour. Technol. 2011;102:226–234. doi: 10.1016/j.biortech.2010.06.152. [DOI] [PubMed] [Google Scholar]
- 61.Ohlsson L-O, Karlsson S, Rupar-Gadd K, Albers E, Welander U. Evaluation of Laminaria digitata and Phragmites australis for biogas production and nutrient recycling. Biomass Bioenerg. 2020;140:105670. doi: 10.1016/j.biombioe.2020.105670. [DOI] [Google Scholar]
- 62.Bilan MI, et al. Structure of a fucoidan from the brown seaweed Fucus evanescens C.Ag. Carbohydr. Res. 2002;337:719–730. doi: 10.1016/S0008-6215(02)00053-8. [DOI] [PubMed] [Google Scholar]
- 63.Ly B, Buu N, Nhut N, Thinh P, Van T. Studies on fucoidan and its production from Vietnamese Brown seaweeds. AJSTD. 2005;22:371–380. [Google Scholar]
- 64.Becker S, et al. Laminarin is a major molecule in the marine carbon cycle. Proc. Natl. Acad. Sci. U.S.A. 2020;117:6599–6607. doi: 10.1073/pnas.1917001117. [DOI] [PMC free article] [PubMed] [Google Scholar]
- 65.Fernandes-Negreiros MM, et al. Gallic acid-laminarin conjugate is a better antioxidant than sulfated or carboxylated laminarin. Antioxidants. 2020;9:1192. doi: 10.3390/antiox9121192. [DOI] [PMC free article] [PubMed] [Google Scholar]
- 66.Xia S, et al. Preliminary characterization, antioxidant properties and production of chrysolaminarin from marine diatom Odontella aurita. Mar. Drugs. 2014;12:4883–4897. doi: 10.3390/md12094883. [DOI] [PMC free article] [PubMed] [Google Scholar]
- 67.Bittkau KS, Neupane S, Alban S. Initial evaluation of six different brown algae species as source for crude bioactive fucoidans. Algal Res. 2020;45:101759. doi: 10.1016/j.algal.2019.101759. [DOI] [Google Scholar]
- 68.Manikandan R, et al. Studies on isolation, characterization of fucoidan from brown algae Turbinaria decurrens and evaluation of it’s in vivo and in vitro anti-inflammatory activities. Int. J. Biol. Macromol. 2020;160:1263–1276. doi: 10.1016/j.ijbiomac.2020.05.152. [DOI] [PubMed] [Google Scholar]
- 69.Zvyagintseva TN, et al. Water-soluble polysaccharides of some far-eastern Brown seaweeds. Distribution, structure, and their dependence on the developmental conditions. J. Exp. Mar. Biol. Ecol. 2003;294:1–13. doi: 10.1016/S0022-0981(03)00244-2. [DOI] [Google Scholar]
- 70.Rajauria G, et al. Molecular characteristics and antioxidant activity of laminarin extracted from the seaweed species Laminaria hyperborea, using hydrothermal-assisted extraction and a multi-step purification procedure. Food Hydrocolloids. 2021;112:106332. doi: 10.1016/j.foodhyd.2020.106332. [DOI] [Google Scholar]
- 71.Xu X-X, Zhong X, Yi H-Y, Yu X-Q. Manduca sexta gloverin binds microbial components and is active against bacteria and fungi. Dev. Comp. Immunol. 2012;38:275–284. doi: 10.1016/j.dci.2012.06.012. [DOI] [PMC free article] [PubMed] [Google Scholar]
- 72.Zha X-Q, et al. Polysaccharides in Laminaria japonica (LP): Extraction, physicochemical properties and their hypolipidemic activities in diet-induced mouse model of atherosclerosis. Food Chem. 2012;134:244–252. doi: 10.1016/j.foodchem.2012.02.129. [DOI] [Google Scholar]
- 73.Zhang D, Beer S, Li H, Gao K. Photosystems I and II in Ulva lactuca are well protected from high incident sunlight. Algal Res. 2020;52:102094. doi: 10.1016/j.algal.2020.102094. [DOI] [Google Scholar]
- 74.Shevchenko NM, et al. Polysaccharide and lipid composition of the brown seaweed Laminaria gurjanovae. Russ. J. Bioorg. Chem. 2007;33:88–98. doi: 10.1134/S1068162007010116. [DOI] [PubMed] [Google Scholar]
- 75.Alderkamp A-C, Van Rijssel M, Bolhuis H. Characterization of marine bacteria and the activity of their enzyme systems involved in degradation of the algal storage glucan laminarin: Degradation of the algal glucan laminarin by marine bacteria. FEMS Microbiol. Ecol. 2007;59:108–117. doi: 10.1111/j.1574-6941.2006.00219.x. [DOI] [PubMed] [Google Scholar]
- 76.Zvyagintseva TN, et al. Water-soluble polysaccharides of some brown algae of the Russian Far-East. Structure and biological action of low-molecular mass polyuronans. J. Exp. Mar. Biol. Ecol. 2005;320:123–131. doi: 10.1016/j.jembe.2004.12.027. [DOI] [Google Scholar]
- 77.Rioux L-E, Turgeon SL, Beaulieu M. Structural characterization of laminaran and galactofucan extracted from the brown seaweed Saccharina longicruris. Phytochemistry. 2010;71:1586–1595. doi: 10.1016/j.phytochem.2010.05.021. [DOI] [PubMed] [Google Scholar]
- 78.Holtkamp AD, Kelly S, Ulber R, Lang S. Fucoidans and fucoidanases—focus on techniques for molecular structure elucidation and modification of marine polysaccharides. Appl. Microbiol. Biotechnol. 2009;82:1–11. doi: 10.1007/s00253-008-1790-x. [DOI] [PubMed] [Google Scholar]
- 79.Vijayakumar S, et al. Antibacterial and antibiofilm activities of marine polysaccharide laminarin formulated gold nanoparticles: An ecotoxicity and cytotoxicity assessment. J. Environ. Chem. Eng. 2021;9:105514. doi: 10.1016/j.jece.2021.105514. [DOI] [Google Scholar]
- 80.Ozanne H, et al. Laminarin effects, a β-(1,3)-glucan, on skin cell inflammation and oxidation. Cosmetics. 2020;7:66. doi: 10.3390/cosmetics7030066. [DOI] [Google Scholar]
- 81.Castanheira EJ, Correia TR, Rodrigues JMM, Mano JF. Novel biodegradable laminarin microparticles for biomedical applications. BCSJ. 2020;93:713–719. doi: 10.1246/bcsj.20200034. [DOI] [Google Scholar]
- 82.Kim Y-E, Kim Y-J. Effects of nanofibrous membranes containing low molecular weight β-glucan on normal and cancer cells. J. Nanosci. Nanotechnol. 2017;17:3597–3605. doi: 10.1166/jnn.2017.12924. [DOI] [Google Scholar]
- 83.Trejo-Avila LM, et al. In vitro anti-canine distemper virus activity of fucoidan extracted from the brown alga Cladosiphon okamuranus. VirusDis. 2014;25:474–480. doi: 10.1007/s13337-014-0228-6. [DOI] [PMC free article] [PubMed] [Google Scholar]
- 84.Marudhupandi T, Ajith-Kumar TT, Lakshmanasenthil S, Suja G, Vinothkumar T. In vitro anticancer activity of fucoidan from Turbinaria conoides against A549 cell lines. Int. J. Biol. Macromol. 2015;72:919–923. doi: 10.1016/j.ijbiomac.2014.10.005. [DOI] [PubMed] [Google Scholar]
- 85.Alwarsamy M, Gooneratne R, Ravichandran R. Effect of fucoidan from Turbinaria conoides on human lung adenocarcinoma epithelial (A549) cells. Carbohyd. Polym. 2016;152:207–213. doi: 10.1016/j.carbpol.2016.06.112. [DOI] [PubMed] [Google Scholar]
- 86.Krylova NV, et al. In vitro anti-orthohantavirus activity of the high-and low-molecular-weight fractions of fucoidan from the brown alga Fucus evanescens. Mar. Drugs. 2021;19:577. doi: 10.3390/md19100577. [DOI] [PMC free article] [PubMed] [Google Scholar]
- 87.Chantree P, Na-Bangchang K, Martviset P. Anticancer activity of fucoidan via apoptosis and cell cycle arrest on cholangiocarcinoma cell. Asian Pac. J. Cancer Prev. 2021;22:209–217. doi: 10.31557/APJCP.2021.22.1.209. [DOI] [PMC free article] [PubMed] [Google Scholar]
- 88.Jeong S-Y, Seol D-W. The role of mitochondria in apoptosis. BMB Rep. 2008;41:11–22. doi: 10.5483/BMBRep.2008.41.1.011. [DOI] [PubMed] [Google Scholar]
- 89.Gamal-Eldeen AM, Ahmed EF, Abo-Zeid MA. In vitro cancer chemopreventive properties of polysaccharide extract from the brown alga, Sargassum latifolium. Food Chem. Toxicol. 2009;47:1378–1384. doi: 10.1016/j.fct.2009.03.016. [DOI] [PubMed] [Google Scholar]
- 90.Jin W, et al. Structural analysis of a glucoglucuronan derived from laminarin and the mechanisms of its anti-lung cancer activity. Int. J. Biol. Macromol. 2020;163:776–787. doi: 10.1016/j.ijbiomac.2020.07.069. [DOI] [PubMed] [Google Scholar]
- 91.Tian L, et al. Laminarin from Seaweed (Laminaria japonica) inhibits hepatocellular carcinoma through upregulating senescence marker protein-30. Cancer Biother. Radiopharm. 2020;35:277–283. doi: 10.1089/cbr.2019.3179. [DOI] [PMC free article] [PubMed] [Google Scholar]
- 92.Fernando IPS, et al. A fucoidan fraction purified from Chnoospora minima; a potential inhibitor of LPS-induced inflammatory responses. Int. J. Biol. Macromol. 2017;104:1185–1193. doi: 10.1016/j.ijbiomac.2017.07.031. [DOI] [PubMed] [Google Scholar]
- 93.Lee S-H, et al. Anti-inflammatory effect of fucoidan extracted from Ecklonia cava in zebrafish model. Carbohyd. Polym. 2013;92:84–89. doi: 10.1016/j.carbpol.2012.09.066. [DOI] [PubMed] [Google Scholar]
- 94.Ni L, et al. In vitro and in vivo anti-inflammatory activities of a fucose-rich fucoidan isolated from Saccharina japonica. Int. J. Biol. Macromol. 2020;156:717–729. doi: 10.1016/j.ijbiomac.2020.04.012. [DOI] [PubMed] [Google Scholar]
- 95.Aleissa MS, et al. Fucoidan ameliorates oxidative stress, inflammation, DNA damage, and hepatorenal injuries in diabetic rats intoxicated with aflatoxin B 1. Oxid. Med. Cell. Longev. 2020;2020:1–10. doi: 10.1155/2020/9316751. [DOI] [PMC free article] [PubMed] [Google Scholar]
- 96.Takahashi F, et al. A small peptide modulates stomatal control via abscisic acid in long-distance signalling. Nature. 2018;556:235–238. doi: 10.1038/s41586-018-0009-2. [DOI] [PubMed] [Google Scholar]
- 97.Zayed A, et al. Phenomenological investigation of the cytotoxic activity of fucoidan isolated from Fucus vesiculosus. Process Biochem. 2019;81:182–187. doi: 10.1016/j.procbio.2019.03.026. [DOI] [Google Scholar]
- 98.Zayed A, El-Aasr M, Ibrahim A-RS, Ulber R. Fucoidan characterization: Determination of purity and physicochemical and chemical properties. Mar. Drugs. 2020;18:571. doi: 10.3390/md18110571. [DOI] [PMC free article] [PubMed] [Google Scholar]
- 99.Yang G, et al. Antitumor activity of fucoidan against diffuse large B cell lymphoma in vitro and in vivo. ABBS. 2015;47:925–931. doi: 10.1093/abbs/gmv094. [DOI] [PubMed] [Google Scholar]
- 100.Dai Y-L, Jiang Y-F, Lee HG, Jeon Y-J, Kang M-C. Characterization and screening of anti-tumor activity of fucoidan from acid-processed hijiki (Hizikia fusiforme) Int. J. Biol. Macromol. 2019;139:170–180. doi: 10.1016/j.ijbiomac.2019.07.119. [DOI] [PubMed] [Google Scholar]
- 101.Menshova RV, et al. Structure, enzymatic transformation and anticancer activity of branched high molecular weight laminaran from brown alga Eisenia bicyclis. Carbohyd. Polym. 2014;99:101–109. doi: 10.1016/j.carbpol.2013.08.037. [DOI] [PubMed] [Google Scholar]
- 102.Miao HQ, et al. Inhibition of heparanase activity and tumor metastasis by laminarin sulfate and synthetic phosphorothioate oligodeoxynucleotides. Int. J. Cancer. 1999;83:424–431. doi: 10.1002/(SICI)1097-0215(19991029)83:3<424::AID-IJC20>3.0.CO;2-L. [DOI] [PubMed] [Google Scholar]
- 103.Malyarenko OS, Usoltseva RV, Zvyagintseva TN, Ermakova SP. Laminaran from brown alga Dictyota dichotoma and its sulfated derivative as radioprotectors and radiosensitizers in melanoma therapy. Carbohyd. Polym. 2019;206:539–547. doi: 10.1016/j.carbpol.2018.11.008. [DOI] [PubMed] [Google Scholar]
- 104.Alekseyenko TV, et al. Antitumor and antimetastatic activity of fucoidan, a sulfated polysaccharide isolated from the Okhotsk sea Fucus evanescens brown alga. Bull. Exp. Biol. Med. 2007;143:730–732. doi: 10.1007/s10517-007-0226-4. [DOI] [PubMed] [Google Scholar]
- 105.Yang C, et al. Effects of molecular weight and hydrolysis conditions on anticancer activity of fucoidans from sporophyll of Undaria pinnatifida. Int. J. Biol. Macromol. 2008;43:433–437. doi: 10.1016/j.ijbiomac.2008.08.006. [DOI] [PubMed] [Google Scholar]
- 106.Cho ML, Lee B-Y, You SG. Relationship between oversulfation and conformation of low and high molecular weight fucoidans and evaluation of their in vitro anticancer activity. Molecules. 2010;16:291–297. doi: 10.3390/molecules16010291. [DOI] [PMC free article] [PubMed] [Google Scholar]
- 107.Haroun-Bouhedja F, Ellouali M, Sinquin C, Boisson-Vidal C. Relationship between sulfate groups and biological activities of fucans. Thromb. Res. 2000;100:453–459. doi: 10.1016/S0049-3848(00)00338-8. [DOI] [PubMed] [Google Scholar]
- 108.Koyanagi S, Tanigawa N, Nakagawa H, Soeda S, Shimeno H. Oversulfation of fucoidan enhances its anti-angiogenic and antitumor activities. Biochem. Pharmacol. 2003;65:173–179. doi: 10.1016/S0006-2952(02)01478-8. [DOI] [PubMed] [Google Scholar]
- 109.You S, Yang C, Lee H, Lee B-Y. Molecular characteristics of partially hydrolyzed fucoidans from sporophyll of Undaria Pinnatifida and their in vitro anticancer activity. Food Chem. 2010;119:554–559. doi: 10.1016/j.foodchem.2009.06.054. [DOI] [Google Scholar]
- 110.Wang M, Veeraperumal S, Zhong S, Cheong K-L. Fucoidan-derived functional oligosaccharides: Recent developments, preparation, and potential applications. Foods. 2023;12:878. doi: 10.3390/foods12040878. [DOI] [PMC free article] [PubMed] [Google Scholar]
- 111.Choo G-S, Lee H-N, Shin S-A, Kim H-J, Jung J-Y. Anticancer effect of fucoidan on DU-145 prostate cancer cells through inhibition of PI3K/Akt and MAPK pathway expression. Mar. Drugs. 2016;14:126. doi: 10.3390/md14070126. [DOI] [PMC free article] [PubMed] [Google Scholar]
- 112.Duan Y, et al. Fucoidan induces apoptosis and inhibits proliferation of hepatocellular carcinoma via the p38 MAPK/ERK and PI3K/Akt signal pathways. CMAR. 2020;12:1713–1723. doi: 10.2147/CMAR.S243495. [DOI] [PMC free article] [PubMed] [Google Scholar]
- 113.Ale MT, Maruyama H, Tamauchi H, Mikkelsen JD, Meyer AS. Fucoidan from Sargassum sp. and Fucus vesiculosus reduces cell viability of lung carcinoma and melanoma cells in vitro and activates natural killer cells in mice in vivo. Int. J. Biol. Macromol. 2011;49:331–336. doi: 10.1016/j.ijbiomac.2011.05.009. [DOI] [PubMed] [Google Scholar]
- 114.Maruyama H, Tamauchi H, Iizuka M, Nakano T. The role of NK cells in antitumor activity of dietary fucoidan from Undaria pinnatifida sporophylls (Mekabu) Planta Med. 2006;72:1415–1417. doi: 10.1055/s-2006-951703. [DOI] [PubMed] [Google Scholar]
- 115.Maruyama H, Tamauchi H, Hashimoto M, Nakano T. Antitumor activity and immune response of Mekabu fucoidan extracted from Sporophyll of Undaria pinnatifida. In Vivo. 2003;17:245–249. [PubMed] [Google Scholar]
- 116.Azuma K, et al. Effects of oral administration of fucoidan extracted from cladosiphon okamuranus on tumor growth and survival time in a tumor-bearing mouse model. Mar. Drugs. 2012;10:2337–2348. doi: 10.3390/md10102337. [DOI] [PMC free article] [PubMed] [Google Scholar]
- 117.Liu S, Yang J, Peng X, Li J, Zhu C. The natural product fucoidan inhibits proliferation and induces apoptosis of human ovarian cancer cells: Focus on the PI3K/Akt signaling pathway. CMAR. 2020;12:6195–6207. doi: 10.2147/CMAR.S254784. [DOI] [PMC free article] [PubMed] [Google Scholar]
- 118.Ribble D, Goldstein NB, Norris DA, Shellman YG. A simple technique for quantifying apoptosis in 96-well plates. BMC Biotechnol. 2005;5:12. doi: 10.1186/1472-6750-5-12. [DOI] [PMC free article] [PubMed] [Google Scholar]
- 119.Gherghi IC. Study of interactions between DNA-ethidium bromide (EB) and DNA-acridine orange (AO), in solution, using hanging mercury drop electrode (HMDE) Talanta. 2003;61:103–112. doi: 10.1016/S0039-9140(03)00238-8. [DOI] [PubMed] [Google Scholar]
- 120.Byczkowska A, Kunikowska A, Kaźmierczak A. Determination of ACC-induced cell-programmed death in roots of Vicia faba ssp. minor seedlings by acridine orange and ethidium bromide staining. Protoplasma. 2013;250:121–128. doi: 10.1007/s00709-012-0383-9. [DOI] [PMC free article] [PubMed] [Google Scholar]
- 121.Zhang QL, et al. Bax gene silencing: A potential intervention in aluminum-induced neural cell death. J. Biol. Regul. Homeost. Agents. 2010;24:7–17. [PubMed] [Google Scholar]
- 122.Lei P, Liao C, Chen J, Zhou M. In vitro and in vivo growth inhibition of human leukemia cells by Nodakenetin are mediated via mitochondrial apoptosis, cell cycle arrest and inhibition of cell migration and invasion. JBUON. 2019;24:1219–1224. [PubMed] [Google Scholar]
- 123.Cho YS, Park SY. Harnessing of programmed necrosis for fighting against cancers. Biomol. Therapeut. 2014;22:167–175. doi: 10.4062/biomolther.2014.046. [DOI] [PMC free article] [PubMed] [Google Scholar]
- 124.Lowe SW, Lin AW. Apoptosis in cancer. Carcinogenesis. 2000;21:485–495. doi: 10.1093/carcin/21.3.485. [DOI] [PubMed] [Google Scholar]
- 125.Nelson SM, Ferguson LR, Denny WA. DNA and the chromosome—varied targets for chemotherapy. Cell Chromosome. 2004;3:2. doi: 10.1186/1475-9268-3-2. [DOI] [PMC free article] [PubMed] [Google Scholar]
- 126.Basu A. The relationship between BcI2, Bax and p53: Consequences for cell cycle progression and cell death. Mol. Hum. Reprod. 1998;4:1099–1109. doi: 10.1093/molehr/4.12.1099. [DOI] [PubMed] [Google Scholar]
- 127.Zhivotosky B, Orrenius S. Assessment of apoptosis and necrosis by DNA fragmentation and morphological criteria. Curr. Protoc. Cell Biol. 2001;12:1. doi: 10.1002/0471143030.cb1803s12. [DOI] [PubMed] [Google Scholar]
Associated Data
This section collects any data citations, data availability statements, or supplementary materials included in this article.
Supplementary Materials
Data Availability Statement
All the data are available with Prof. Elumalai Sanniyasi (ananandal67@gmail.com).




