Abstract
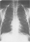
A form of thoracic and pelvic dysostosis is reported in a mother and her son. The short ribs caused respiratory distress in the baby and raised the possibility of asphyxiating thoracic dystrophy (ATD). The radiological features, however, distinguish this benign condition from ATD and other described skeletal dysplasias.
Full text
PDF



Images in this article
Selected References
These references are in PubMed. This may not be the complete list of references from this article.
- Barnes N. D., Hull D., Symons J. S. Thoracic dystrophy. Arch Dis Child. 1969 Feb;44(233):11–17. doi: 10.1136/adc.44.233.11. [DOI] [PMC free article] [PubMed] [Google Scholar]
- Cortina H., Beltran J., Olague R., Ceres L., Alonso A., Lanuza A. The wide spectrum of the asphyxiating thoracic dysplasia. Pediatr Radiol. 1979 Apr 19;8(2):93–99. doi: 10.1007/BF00973998. [DOI] [PubMed] [Google Scholar]
- Cremin B. J., Beighton P. Dwarfism in the newborn: the nomenclature, radiological features and genetic significance. Br J Radiol. 1974 Feb;47(554):77–93. doi: 10.1259/0007-1285-47-554-77. [DOI] [PubMed] [Google Scholar]
- Cremin B. J. Infantile thoracic dystrophy. Br J Radiol. 1970 Mar;43(507):199–204. doi: 10.1259/0007-1285-43-507-199. [DOI] [PubMed] [Google Scholar]
- Danks D. M., Haslam R., Mayne V., Kaufmann H. J., Holtzapple P. G. Metaphyseal chondrodysplasia, neutropenia, and pancreatic insufficiency presenting with respiratory distress in the neonatal period. Arch Dis Child. 1976 Sep;51(9):697–702. doi: 10.1136/adc.51.9.697. [DOI] [PMC free article] [PubMed] [Google Scholar]
- Finegold M. J., Katzew H., Genieser N. B., Becker M. H. Lung structure in thoracic dystrophy. Am J Dis Child. 1971 Aug;122(2):153–159. doi: 10.1001/archpedi.1971.02110020087013. [DOI] [PubMed] [Google Scholar]
- Friedman J. M., Kaplan H. G., Hall J. G. The Jeune syndrome (asphyxiating thoracic dystrophy) in an adult. Am J Med. 1975 Dec;59(6):857–862. doi: 10.1016/0002-9343(75)90472-6. [DOI] [PubMed] [Google Scholar]
- Hanissian A. S., Riggs W. W., Jr, Thomas D. A. Infantile thoracic dystrophy--a variant of Ellis-Van Creveld syndrome. J Pediatr. 1967 Dec;71(6):855–864. doi: 10.1016/s0022-3476(67)80011-8. [DOI] [PubMed] [Google Scholar]
- Herdman R. C., Langer L. O. The thoracic asphyxiant dystrophy and renal disease. Am J Dis Child. 1968 Aug;116(2):192–201. doi: 10.1001/archpedi.1968.02100020194014. [DOI] [PubMed] [Google Scholar]
- Karjoo M., Koop C. E., Cornfeld D., Holtzapple P. G. Pancreatic exocrine enzyme deficiency associated with asphyxiating thoracic dystrophy. Arch Dis Child. 1973 Feb;48(2):143–146. doi: 10.1136/adc.48.2.143. [DOI] [PMC free article] [PubMed] [Google Scholar]
- Kaufmann H. J., Kirkpatrick J. A., Jr Jeune thoracic dysplasia--a spectrum of disorders? Birth Defects Orig Artic Ser. 1974;10(9):101–116. [PubMed] [Google Scholar]
- Kozlowski K., Masel J. Asphyxiating thoracic dystrophy without respiratory disease: report of two cases of the latent form. Pediatr Radiol. 1976 Oct 26;5(1):30–33. doi: 10.1007/BF00988659. [DOI] [PubMed] [Google Scholar]
- Kozlowski K., Szmigiel C., Barylak A., Stopyrowa M. Difficulties in differentiation between chondroectodermal dysplasia (Ellis--van Creveld syndrome) and asphyxiating thoracic dystrophy. Australas Radiol. 1972 Dec;16(4):401–410. doi: 10.1111/j.1440-1673.1972.tb01390.x. [DOI] [PubMed] [Google Scholar]
- Oberklaid F., Danks D. M., Mayne V., Campbell P. Asphyxiating thoracic dysplasia. Clinical, radiological, and pathological information on 10 patients. Arch Dis Child. 1977 Oct;52(10):758–765. doi: 10.1136/adc.52.10.758. [DOI] [PMC free article] [PubMed] [Google Scholar]
- Phillips C. I., Stokoe N. L., Bartholomew R. S. Asphyxiating thoracic dystrophy (Jeune's disease) with retinal aplasia: a sibship of two. J Pediatr Ophthalmol Strabismus. 1979 Sep-Oct;16(5):279–283. doi: 10.3928/0191-3913-19790901-03. [DOI] [PubMed] [Google Scholar]
- Pirnar T., Neuhauser E. B. Asphyxiating thoracic dystrophy of the newborn. Am J Roentgenol Radium Ther Nucl Med. 1966 Oct;98(2):358–364. doi: 10.2214/ajr.98.2.358. [DOI] [PubMed] [Google Scholar]
- Rabushka S. E., Love L., Kadison H. I. Isolated thoracic dysostosis. Radiology. 1973 Jan;106(1):161–165. doi: 10.1148/106.1.161. [DOI] [PubMed] [Google Scholar]
- Shah K. J. Renal lesion in Jeune's syndrome. Br J Radiol. 1980 May;53(629):432–436. doi: 10.1259/0007-1285-53-629-432. [DOI] [PubMed] [Google Scholar]
- Sillence D. O., Rimoin D. L., Lachman R. Neonatal dwarfism. Pediatr Clin North Am. 1978 Aug;25(3):453–483. doi: 10.1016/s0031-3955(16)33600-8. [DOI] [PubMed] [Google Scholar]





