Abstract
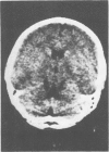
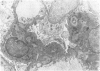
Three sibs born to consanguineous parents had congenital nephrotic syndrome, microcephaly, and psychomotor retardation. Pathology of the kidneys showed diffuse mesangial sclerosis with deposits of IgG and C3 in the mesangium and glomerular basement membranes. All three children died before the age of 3 years. Of 19 published cases of children with the association of congenital nephrotic syndrome and microcephaly, only four had histological evidence of diffuse mesangial sclerosis, and two of their sibs probably had the same disease. The association of nephrotic syndrome owing to congenital diffuse mesangial sclerosis, microcephaly, and mental retardation appears to be a distinct syndrome with an autosomal recessive mode of inheritance.
Full text
PDF




Images in this article
Selected References
These references are in PubMed. This may not be the complete list of references from this article.
- Cooperstone B. G., Friedman A., Kaplan B. S. Galloway-Mowat syndrome of abnormal gyral patterns and glomerulopathy. Am J Med Genet. 1993 Aug 15;47(2):250–254. doi: 10.1002/ajmg.1320470221. [DOI] [PubMed] [Google Scholar]
- Galloway W. H., Mowat A. P. Congenital microcephaly with hiatus hernia and nephrotic syndrome in two sibs. J Med Genet. 1968 Dec;5(4):319–321. doi: 10.1136/jmg.5.4.319. [DOI] [PMC free article] [PubMed] [Google Scholar]
- Gaudelus J., Leverger G., Rault G., Nathanson M., Giorno J. L., Boccon-Gibod L., Levy M., Broyer M. Association d'un syndrome néphrotique à début précoce et d'une microcéphalie. A propos de 4 observations dans deux familles. Arch Fr Pediatr. 1984 Jun-Jul;41(6):409–415. [PubMed] [Google Scholar]
- Glastre C., Cochat P., Bouvier R., Colon S., Cottin X., Giffon D., Wright C., Dijoud F., David L. Familial infantile nephrotic syndrome with ocular abnormalities. Pediatr Nephrol. 1990 Jul;4(4):340–342. doi: 10.1007/BF00862514. [DOI] [PubMed] [Google Scholar]
- Habib R., Bois E. Hétérogénéité des syndromes néphrotiques à début précoce du nourrisson (syndrome néphrotique "infantile"). Etude anatomo-clinique et génétique de 37 observations. Helv Paediatr Acta. 1973 May;28(2):91–107. [PubMed] [Google Scholar]
- Habib R., Loirat C., Gubler M. C., Niaudet P., Bensman A., Levy M., Broyer M. The nephropathy associated with male pseudohermaphroditism and Wilms' tumor (Drash syndrome): a distinctive glomerular lesion--report of 10 cases. Clin Nephrol. 1985 Dec;24(6):269–278. [PubMed] [Google Scholar]
- Hecht F., Kelly J. V. Little heads: inheritance and early detection. J Pediatr. 1979 Nov;95(5 Pt 1):731–732. doi: 10.1016/s0022-3476(79)80720-9. [DOI] [PubMed] [Google Scholar]
- Huttunen N. P. Congenital nephrotic syndrome of Finnish type. Study of 75 patients. Arch Dis Child. 1976 May;51(5):344–348. doi: 10.1136/adc.51.5.344. [DOI] [PMC free article] [PubMed] [Google Scholar]
- Kaplan B. S., Bureau M. A., Drummond K. N. The nephrotic syndrome in the first year of life: is a pathologic classification possible? J Pediatr. 1974 Nov;85(5):615–621. doi: 10.1016/s0022-3476(74)80502-0. [DOI] [PubMed] [Google Scholar]
- Koskimies O., Sariola H., Holmberg C., Rapola J. Clinical quiz. Congenital nephrotic syndrome, microcephaly, brain malformations and diaphragmatic abnormality associated with histological features of diffuse mesangial sclerosis. Pediatr Nephrol. 1991 Jul;5(4):433–435. doi: 10.1007/BF01453673. [DOI] [PubMed] [Google Scholar]
- Kozlowski P. B., Sher J. H., Nicastri A. D., Rudelli R. D. Brain morphology in the Galloway syndrome. Clin Neuropathol. 1989 Mar-Apr;8(2):85–91. [PubMed] [Google Scholar]
- Kristal H., Lichtig C. Infantile nephrotic syndrome. Clinicopathological study of 11 cases. Isr J Med Sci. 1983 Jul;19(7):626–630. [PubMed] [Google Scholar]
- Lewy P. R., Jao W. Nephrotic syndrome in association with renal vein thrombosis in infancy. J Pediatr. 1974 Sep;85(3):359–365. doi: 10.1016/s0022-3476(74)80116-2. [DOI] [PubMed] [Google Scholar]
- Mahan J. D., Mauer S. M., Sibley R. K., Vernier R. L. Congenital nephrotic syndrome: evolution of medical management and results of renal transplantation. J Pediatr. 1984 Oct;105(4):549–557. doi: 10.1016/s0022-3476(84)80418-7. [DOI] [PubMed] [Google Scholar]
- Martul E. V., Cuesta M. G., Churg I. Histopathologic variability of the congenital nephrotic syndrome. Clin Nephrol. 1987 Oct;28(4):161–168. [PubMed] [Google Scholar]
- McDonald R., Wiggelinkhuizen J., Kaschula R. O. The nephrotic syndrome in very young infants. Am J Dis Child. 1971 Dec;122(6):507–512. doi: 10.1001/archpedi.1971.02110060077013. [DOI] [PubMed] [Google Scholar]
- Merlob P., Steier D., Reisner S. H. Autosomal dominant isolated ('uncomplicated') microcephaly. J Med Genet. 1988 Nov;25(11):750–753. doi: 10.1136/jmg.25.11.750. [DOI] [PMC free article] [PubMed] [Google Scholar]
- Metzke H., Brömme W. Kongenitale Mikrozephalie mit Muskelhypotonie und nephrotischem Syndrom. Padiatr Grenzgeb. 1982;21(1):39–41. [PubMed] [Google Scholar]
- Palm L., Hägerstrand I., Kristoffersson U., Blennow G., Brun A., Jörgensen C. Nephrosis and disturbances of neuronal migration in male siblings--a new hereditary disorder? Arch Dis Child. 1986 Jun;61(6):545–548. doi: 10.1136/adc.61.6.545. [DOI] [PMC free article] [PubMed] [Google Scholar]
- Ramírez M. L., Rivas F., Cantú J. M. Silent microcephaly: a distinct autosomal dominant trait. Clin Genet. 1983 Apr;23(4):281–286. doi: 10.1111/j.1399-0004.1983.tb01877.x. [DOI] [PubMed] [Google Scholar]
- Robain O., Deonna T. Pachygyria and congenital nephrosis disorder of migration and neuronal orientation. Acta Neuropathol. 1983;60(1-2):137–141. doi: 10.1007/BF00685358. [DOI] [PubMed] [Google Scholar]
- Robain O., Lyon G. Les micrencéphalies familiales par malformation cérébrale. Etude anatomoclinique. Acta Neuropathol. 1972;20(2):96–109. doi: 10.1007/BF00691127. [DOI] [PubMed] [Google Scholar]
- Roos R. A., Maaswinkel-Mooy P. D., vd Loo E. M., Kanhai H. H. Congenital microcephaly, infantile spasms, psychomotor retardation, and nephrotic syndrome in two sibs. Eur J Pediatr. 1987 Sep;146(5):532–536. doi: 10.1007/BF00441612. [DOI] [PubMed] [Google Scholar]
- Shahin B., Papadopoulou Z. L., Jenis E. H. Congenital nephrotic syndrome associated with congenital toxoplasmosis. J Pediatr. 1974 Sep;85(3):366–370. doi: 10.1016/s0022-3476(74)80117-4. [DOI] [PubMed] [Google Scholar]
- Shapiro L. R., Duncan P. A., Farnsworth P. B., Lefkowitz M. Congenital microcephaly, hiatus hernia and nephrotic syndrome: an autosomal recessive syndrome. Birth Defects Orig Artic Ser. 1976;12(5):275–278. [PubMed] [Google Scholar]
- WILSON V. K., THOMSON M. L., HOLZEL A. Mercury nephrosis in young children, with special reference to teething powders containing mercury. Br Med J. 1952 Feb 16;1(4754):358–360. doi: 10.1136/bmj.1.4754.358. [DOI] [PMC free article] [PubMed] [Google Scholar]



