Abstract
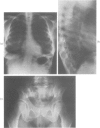
We review a family in which a mother and two of her three children suffered a distinct syndrome of thoracic dystrophy with small chest volume, laryngeal stenosis, normal stature with variable asymmetry, asthenic build, and a small pelvis. In addition to the different inheritance pattern, this syndrome is distinguished from the better known Jeune syndrome by the differing thoracic and pelvic configuration.
Full text
PDF




Images in this article
Selected References
These references are in PubMed. This may not be the complete list of references from this article.
- Bankier A., Danks D. M. Thoracic-pelvic dysostosis: a 'new' autosomal dominant form. J Med Genet. 1983 Aug;20(4):276–279. doi: 10.1136/jmg.20.4.276. [DOI] [PMC free article] [PubMed] [Google Scholar]
- Barnes N. D., Hull D., Milner A. D., Waterston D. J. Chest reconstruction in thoracic dystrophy. Arch Dis Child. 1971 Dec;46(250):833–837. doi: 10.1136/adc.46.250.833. [DOI] [PMC free article] [PubMed] [Google Scholar]
- JEUNE M., BERAUD C., CARRON R. Dystrophie thoracique asphyxiante de caractère familial. Arch Fr Pediatr. 1955;12(8):886–891. [PubMed] [Google Scholar]


