Abstract
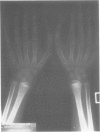
This report describes a family with bilateral non-opposable triphalangeal thumb, bringing to two the number of families with this autosomal dominant disorder.
Full text
PDF


Images in this article
Selected References
These references are in PubMed. This may not be the complete list of references from this article.
- Carnevale A., Hernández M., del Castillo V., Torres P. A new syndrome of triphalangeal thumbs and brachy-ectrodactyly. Clin Genet. 1980 Oct;18(4):244–252. doi: 10.1111/j.1399-0004.1980.tb00881.x. [DOI] [PubMed] [Google Scholar]
- Say B., Feild E., Coldwell J. G., Warnberg L., Atasu M. Polydactyly with triphalangeal thumbs, brachydactyly, camptodactyly, congenital dislocation of the patellas, short stature and borderline intelligence. Birth Defects Orig Artic Ser. 1976;12(5):279–286. [PubMed] [Google Scholar]


