Abstract
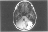
Gorlin syndrome is an autosomal dominant multisystem disorder characterised by multiple basal cell naevi, cysts of the jaw, pits of the palms and soles, skeletal anomalies, and various other defects. Patients with Gorlin syndrome have a predisposition to basal cell carcinomas and other neoplasms. This is the first report to describe the coexistence of Gorlin syndrome and a nasal dermoid cyst. A 4 year old girl was diagnosed with medulloblastoma and treated with surgery and radiation therapy. A genetic evaluation was sought because of the brain tumour, multiple small naevi localised mostly on the upper torso, and rib abnormalities. Biopsies of several naevi showed naevoid basal cell carcinoma. Past medical history was significant for a midline nasal punctum noted at birth. The significance of this finding was unrecognised until the dermoid cyst enlarged, just before the diagnosis of her brain tumour. A common tissue of origin exists between basal cell naevi, cysts of the jaw, and dermoid cysts. We propose that the association of these two rare conditions in one patient is not a chance occurrence.
Full text
PDF


Images in this article
Selected References
These references are in PubMed. This may not be the complete list of references from this article.
- CLENDENNING W. E., HERD T., Jr, BLOCK J. B. OVARIAN FIBROMAS AND MESENTERIC CYSTS: THEIR ASSOCIATION WITH HEREDITARY BASAL CELL CANCER OF THE SKIN. Am J Obstet Gynecol. 1963 Dec 15;87:1008–1012. doi: 10.1016/0002-9378(63)90094-2. [DOI] [PubMed] [Google Scholar]
- Evans D. G., Ladusans E. J., Rimmer S., Burnell L. D., Thakker N., Farndon P. A. Complications of the naevoid basal cell carcinoma syndrome: results of a population based study. J Med Genet. 1993 Jun;30(6):460–464. doi: 10.1136/jmg.30.6.460. [DOI] [PMC free article] [PubMed] [Google Scholar]
- Gorlin R. J. Nevoid basal cell carcinoma syndrome. Dermatol Clin. 1995 Jan;13(1):113–125. [PubMed] [Google Scholar]
- Gorlin R. J. Nevoid basal-cell carcinoma syndrome. Medicine (Baltimore) 1987 Mar;66(2):98–113. doi: 10.1097/00005792-198703000-00002. [DOI] [PubMed] [Google Scholar]
- Lacombe D., Chateil J. F., Fontan D., Battin J. Medulloblastoma in the nevoid basal-cell carcinoma syndrome: case reports and review of the literature. Genet Couns. 1990;1(3-4):273–277. [PubMed] [Google Scholar]
- Levanat S., Gorlin R. J., Fallet S., Johnson D. R., Fantasia J. E., Bale A. E. A two-hit model for developmental defects in Gorlin syndrome. Nat Genet. 1996 Jan;12(1):85–87. doi: 10.1038/ng0196-85. [DOI] [PubMed] [Google Scholar]
- Levine D. J., Robertson D. B., Varma V. A. Familial subconjunctival epithelial cysts associated with the nevoid basal cell carcinoma syndrome. Arch Dermatol. 1987 Jan;123(1):23–24. [PubMed] [Google Scholar]
- Miller J. B. Myoblast diversity in skeletal myogenesis: how much and to what end? Cell. 1992 Apr 3;69(1):1–3. doi: 10.1016/0092-8674(92)90111-o. [DOI] [PubMed] [Google Scholar]
- Worthington J. P., Sinclair J. H. Median dermoid cyst. N Z Dent J. 1992 Jan;88(391):17–19. [PubMed] [Google Scholar]




