Abstract
Abdominal contouring procedures are frequently performed following massive weight loss after a Roux-en-Y gastric bypass. This last procedure can be associated with late complications like the development of internal hernias (e.g., Petersen hernia). The purpose of this article is to present a case of Petersen hernia after complete abdominoplasty.
A 42-year-old female presented to the emergency department with acute abdominal pain three days after undergoing a complete abdominoplasty following massive weight loss post laparoscopic gastric bypass (Roux-en-Y). The patient was diagnosed with a mechanical small bowel obstruction, likely due to an internal hernia (Petersen hernia) and underwent surgical correction.
Gastric bypass surgery may be associated with small bowel obstruction from internal herniation. A sudden rise in abdominal pressure, as occurs with abdominoplasty with rectus plication and subsequent use of compression garments, may result in strangulation and intestinal ischemia. A high degree of suspicion of intra-abdominal complications after abdominoplasty is essential, particularly in the setting of post-bariatric surgery.
Keywords: roux-en-y gastric bypass, bariatric surgery, acute abdomen, petersen hernia, abdominoplasty
Introduction
Abdominoplasty is one of the most common aesthetic procedures performed worldwide [1]. Abdominal contouring procedures are frequently done after bariatric surgery and massive weight loss. The patients who underwent Roux-en-Y gastric bypass are more prone to develop small bowel obstruction from many causes [2]. We present a case report of a patient with a previous laparoscopic Roux-en-y gastric bypass who presented with acute abdominal pain following abdominoplasty. Surgical exploration showed a Petersen hernia - a type of internal hernia that occurs in the potential space posterior to a gastrojejunostomy. This hernia is caused by the herniation of intestinal loops through the defect between the small bowel limbs, the transverse mesocolon, and the retroperitoneum, after any type of gastrojejunostomy [3-5]. To the best of our knowledge, this is the first report of intestinal ischemia due to Petersen hernia in the early post-operative course of abdominoplasty in the literature.
The purpose of this article is to present a rare case of intra-abdominal complications after abdominoplasty related to previous laparoscopic gastric bypass (Roux-en-Y) - Petersen internal hernia. The symptoms and signs, management, and the possible etiology of this disorder are discussed.
Case presentation
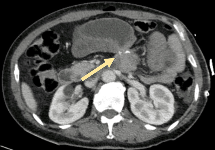
A 42-year-old female presented to the emergency department with intermittent diffuse abdominal pain with radiation to the left flank, nausea, and vomiting within one day of evolution. No genitourinary symptoms were reported. No bowel movements were reported in the previous four days. Three days before, the patient underwent an abdominoplasty with rectus plication and the procedure was uneventful. She has a history of laparoscopic gastric bypass (Roux-en-Y), 2,5 years before, after which the patient complained of chronic abdominal discomfort related to food intake. Blood tests showed normal hemoglobin, without leukocytosis, with mild elevation of C-reactive protein (2,7). CT Scan showed gastric, duodenum, and jejunal distension; with parietal thickening, wall heterogeneity, and mucosal hypercaptation in the proximal jejunal loop; a stop point in the proximal jejunum and rotation of mesenteric vessels, suggesting an internal hernia (Figure 1).
Figure 1. CT scan showing the abrupt stop sign in a proximal jejunal loop.
A diagnosis of mechanical small bowel obstruction, likely due to an internal hernia (Petersen hernia) was made. The patient underwent a median laparotomy. Lysis of adhesions and mobilization of the great epiploon was performed. Retrieval of the proximal intestinal loops from the Petersen space was accomplished. About 30 cm of necrotic proximal jejunum in the biliopancreatic limb was removed and a lateral-lateral jejunojejunal anastomosis was carried out. Subsequently, the Petersen space was closed with Vicryl 3/0 and the abdominal wall closed as usual. She underwent a course of antibiotherapy (ciprofloxacin and metronidazol) and was discharged five days later with a resolution of the symptoms. A subsequent CT scan showed no recurrence of the internal hernia.
Discussion
The Petersen internal hernia (Figure 2) used to be considered rare but is becoming more frequent with the exponential growth in laparoscopic gastric bypass for the treatment of obesity [6-13]. In laparotomy, the incidence has been reported to be 1%-5% [6] and slightly higher in laparoscopic surgery (3.1%-9.7%) [7,13,14] probably because the least invasive procedure results in less adhesions and more mobile intestinal loops [15-17].
Figure 2. Potential space for internal herniation following Roux-en-Y gastric bypass surgery - Petersen hernia, through the posterior aspect of the mesentery of the Roux limb.
Image Credits: Leonor Caixeiro
Patients with a history of gastric bypass surgery have a high incidence of small bowel obstruction from internal herniation, which is associated with non-specific upper abdominal pain, nausea, and anorexia [18]. The fact that our patient had recurrent abdominal discomfort related to food intake may suggest that there was herniation of the jejunum loops through the Petersen space previous to the abdominoplasty. It is well documented the rise of abdominal pressure after abdominoplasty (due to tight abdominal closure, plication, binders, etc.) [19]. When there is a sudden rise in abdominal pressure, these internal hernias may aggravate, resulting in strangulation and intestinal ischemia [20]. We suspect that the rise in abdominal pressure may have exacerbated the herniation of the intestinal loops.
Abdominal pain in the setting of an early post-operative course of abdominoplasty may have a broad differential diagnosis. The most evident cause may be the pain associated with abdominoplasty by itself. When it is associated with obstipation, a postoperative ileus may also be a frequent cause. If abdominal guarding, rigidity or rebound tenderness, intra-abdominal complications must be sought like a stitch through the bowel, internal hernias, adhesions, and volulus. Even common inflammatory causes of acute abdomen may be coincidently present like appendicitis or cholecystitis. An adequate evaluation by an experienced surgeon is essential to diagnose and treat these difficult cases.
Conclusions
Although a rare case is described in this report, a high degree of suspicion of possible intra-abdominal complications after abdominoplasty is essential, particularly in the setting of post-bariatric surgery. The plastic surgeon should be aware of this gastric bypass complication when performing body contouring procedures.
The authors have declared that no competing interests exist.
Human Ethics
Consent was obtained or waived by all participants in this study
References
- 1.Evidence-based medicine: abdominoplasty. Hurvitz KA, Olaya WA, Nguyen A, et al. Plast Reconstr Surg. 2014;133:1214–1221. doi: 10.1097/PRS.0000000000000088. [DOI] [PubMed] [Google Scholar]
- 2.Causes of small bowel obstruction after Roux-en-Y gastric bypass: a review of 2,395 cases at a single institution. Elms L, Moon RC, Varnadore S, Teixeira AF, Jawad MA. Surg Endosc. 2014;28:1624–1628. doi: 10.1007/s00464-013-3361-1. [DOI] [PubMed] [Google Scholar]
- 3.Über Darmverschlinung nach der Gastroenterostomie. Petersen W. Arch Klin Chir. 1900;62:94–114. [Google Scholar]
- 4.Internal hernia occurrence after gastrectomy for gastric cancer. Langenbecks Langenbecks. World J Surg. 1900;36:851–857. doi: 10.1007/s00268-012-1479-2. [DOI] [PubMed] [Google Scholar]
- 5.Petersen's space hernia: a rare but expanding diagnosis. Faria G, Preto J, Oliveira M, Pimenta T, Baptista M, Costa-Maia J. Int J Surg Case Rep. 2011;2:141–143. doi: 10.1016/j.ijscr.2011.03.004. [DOI] [PMC free article] [PubMed] [Google Scholar]
- 6.Internal hernia after laparoscopic gastric bypass surgery: a case report and literature review. Morgan H, Chastanet R, Lucha PA Jr. Postgrad Med. 2008;120:0–5. doi: 10.3810/pgm.2008.07.1787. [DOI] [PubMed] [Google Scholar]
- 7.Internal hernia after laparoscopic Roux-en-Y gastric bypass for morbid obesity: a continuous challenge in bariatric surgery. Paroz A, Calmes JM, Giusti V, Suter M. Obes Surg. 2006;16:1482–1487. doi: 10.1381/096089206778870102. [DOI] [PubMed] [Google Scholar]
- 8.Frequency and management of internal hernias after laparoscopic antecolic antegastric Roux-en-Y gastric bypass without division of the small bowel mesentery or closure of mesenteric defects: review of 1400 consecutive cases. Cho M, Pinto D, Carrodeguas L, et al. Surg Obes Relat Dis. 2006;2:87–91. doi: 10.1016/j.soard.2005.11.004. [DOI] [PubMed] [Google Scholar]
- 9.Symptomatic internal hernias after laparoscopic bariatric surgery. Comeau E, Gagner M, Inabnet WB, Herron DM, Quinn TM, Pomp A. Surg Endosc. 2005;19:34–39. doi: 10.1007/s00464-003-8515-0. [DOI] [PubMed] [Google Scholar]
- 10.Internal hernia after laparoscopic Roux-en-Y gastric bypass. Carmody B, DeMaria EJ, Jamal M, Johnson J, Carbonell A, Kellum J, Maher J. Surg Obes Relat Dis. 2005;1:543–548. doi: 10.1016/j.soard.2005.08.005. [DOI] [PubMed] [Google Scholar]
- 11.Small bowel obstruction and internal hernias after laparoscopic Roux-en-Y gastric bypass. Champion JK, Williams M. Obes Surg. 2003;13:596–600. doi: 10.1381/096089203322190808. [DOI] [PubMed] [Google Scholar]
- 12.Internal hernias after laparoscopic Roux-en-Y gastric bypass. Garza E Jr, Kuhn J, Arnold D, Nicholson W, Reddy S, McCarty T. Am J Surg. 2004;188:796–800. doi: 10.1016/j.amjsurg.2004.08.049. [DOI] [PubMed] [Google Scholar]
- 13.Internal hernias after laparoscopic Roux-en-Y gastric bypass: incidence, treatment and prevention. Higa KD, Ho T, Boone KB. Obes Surg. 2003;13:350–354. doi: 10.1381/096089203765887642. [DOI] [PubMed] [Google Scholar]
- 14.Bowel obstruction after open and laparoscopic gastric bypass surgery for morbid obesity. Capella RF, Iannace VA, Capella JF. J Am Coll Surg. 2006;203:328–335. doi: 10.1016/j.jamcollsurg.2006.05.301. [DOI] [PubMed] [Google Scholar]
- 15.Petersen's hernia after laparoscopic distal gastrectomy with Roux-en-Y reconstruction for gastric cancer. Kojima K, Inokuchi M, Kato K, Motoyama K, Sugihara K. Gastric Cancer. 2014;17:146–151. doi: 10.1007/s10120-013-0256-8. [DOI] [PubMed] [Google Scholar]
- 16.Internal hernia after gastric bypass: sensitivity and specificity of seven CT signs with surgical correlation and controls. Lockhart ME, Tessler FN, Canon CL, et al. AJR Am J Roentgenol. 2007;188:745–750. doi: 10.2214/AJR.06.0541. [DOI] [PubMed] [Google Scholar]
- 17.Recent trend of internal hernia occurrence after gastrectomy for gastric cancer. Miyagaki H, Takiguchi S, Kurokawa Y, et al. World J Surg. 2012;36:851–857. doi: 10.1007/s00268-012-1479-2. [DOI] [PubMed] [Google Scholar]
- 18.Early and late complications of bariatric operation. Lim R, Beekley A, Johnson DC, Davis KA. Trauma Surg Acute Care Open. 2018;3:0. doi: 10.1136/tsaco-2018-000219. [DOI] [PMC free article] [PubMed] [Google Scholar]
- 19.Measuring alterations in intra-abdominal pressure during abdominoplasty as a predictive value for possible postoperative complications. Talisman R, Kaplan B, Haik J, Aronov S, Shraga A, Orenstein A. Aesthetic Plast Surg. 2002;26:189–192. doi: 10.1007/s00266-001-1469-5. [DOI] [PubMed] [Google Scholar]
- 20.Lesmes IB, Antigüedad CG, Moreno CS. Nutrition and Bariatric Surgery. Cambridge, MA: Academic Press; 2020. Special nutritional requirements in specific situations in women: pregnancy, lactancy, and postmenopausal status. [Google Scholar]


