Abstract
Choline kinase (CK) is reportedly overexpressed in various malignancies. Among its isoforms, CKα overexpression is presumably related to oncogenic change. Choline positron emission tomography (PET) is reportedly useful for detecting and evaluating therapy outcomes in malignancies. In this study, we investigated the correlation between CKα expression and 11C-choline accumulation in breast cancer cells. We also compared the CKα expression level with other pathological findings for investigating tumour activity. Fifty-six patients with breast cancer (mean age: 51 years) who underwent their first medical examination between May 2007 and December 2008 were enrolled. All the patients underwent 11C-choline PET/computed tomography imaging prior to surgery. The maximum standardised uptake value was recorded for evaluating 11C-choline accumulation. The intensity of CKα expression was classified using immunostaining. A significant correlation was observed between CKα expression and 11C-choline accumulation (P < 0.0001). A comparison of breast cancer mortality demonstrated that strong CKα expression was associated with a shorter survival time (P < 0.0001). 11C-choline accumulation was also negatively correlated with survival time (P < 0.0001). Tumours with strong CKα expression are reportedly highly active in breast cancer. A correlation was observed between CKα expression and 11C-choline accumulation, suggesting their role as prognostic indicators of breast cancer.
Subject terms: Breast cancer, Medical research
Introduction
Choline kinase (CK) is an enzyme that phosphorylates choline and generates phosphocholine via the Kennedy pathway. CK is activated by mitogenic stimulation or oncogenic transformations, and its product, phosphocholine, reportedly promotes DNA synthesis1. The final product of this pathway is phosphatidylcholine, the main component of the plasma membrane. Thus, CK plays an important role in mitosis.
CK overexpression is observed in various malignancies, such as breast2, lung, prostate, and colon3 cancer. Correlations between CK activity, CK overexpression, and high histological tumour grades have been reported in breast cancer4. Two isoforms are present in the CK family: CKα and CKβ. CKα has two splicing variants. Among these two isoforms, CKα overexpression is presumably associated with oncogenic change5. Without CKα, cells do not display proper microtubular structures, resulting in apoptosis6. Cancer cell survival presumably depends on the higher CKα levels compared with those of CKβ6. MN58b, a selective inhibitor of CKα, possesses antitumour activity against human breast cancer xenografts2, 5. CKα inhibitors also work against the survival of malignant B cells7. Therefore, CK is considered an important target for cancer therapy.
Increased choline levels have been reported in malignancies of several organs, such as the breast8, brain9, and prostate10, using magnetic resonance spectroscopy. 11C-choline positron emission tomography (PET), which is used for detecting and evaluating therapy in malignancies, has been reportedly used for brain11, prostate12, and breast13, 14 examinations. The sensitivity of 11C-choline PET/computed tomography (CT) is higher than that of magnetic resonance imaging for detecting lymph node metastasis in prostate cancer15. In breast cancer, 11C-choline PET has reliable reproducibility13, and its uptake is correlated with tumour aggressiveness14.
In a previous study, a correlation between mitosis and 11C-choline accumulation was reported. No similar relationship was observed between mitosis and 18F-FDG accumulation16. As mentioned above, CK, especially CKα, is considered to be an important factor in mitosis. We hypothesised that an association exists between the CKα level and 11C-choline uptake in breast cancer. In the present study, we investigated the correlation between CKα expression and 11C-choline accumulation in breast cancer cells. Long-term prognoses of the patients were evaluated, and the association between mortality and CKα expression and 11C-choline accumulation was investigated. We also compared CKα expression with other pathological findings to investigate tumour activity.
Materials and methods
Patients
In this study, 56 patients (mean age, 51 years; range 24–71 years) with breast cancer were enrolled. The patients underwent their first medical examinations between May 2007 and December 2008. All the patients underwent 11C-choline PET/CT. The diagnosis of breast cancer was confirmed by biopsy at least 1 month prior to the imaging studies. Patients with a performance status of 2 or more and those with multiple simultaneous malignancies were excluded. Hormone therapy was administered upon completion of all the imaging studies, and patients who had already received hormone therapy were excluded. Patients who underwent surgery after the imaging studies were included. Written informed consent was obtained from all the patients. This study was approved by the Institutional Review Board of the National Cancer Centre Hospital, Tokyo, Japan. This study complied with the guidelines of the Health Insurance Portability and Accountability Act.
Phantom study
Imaging was performed using a whole-body PET/CT scanner (Aquiduo PCA-7000B; Toshiba Medical Systems, Tochigi, Japan). Prior to the study, a phantom study was conducted at two facilities to ensure imaging quality17. A NEMA phantom (NU 2-2001) was used for the study. The background radioactivity concentration was set to 2.6 ± 0.2 kBq/mL, which is close to the imaging conditions for clinical use. The radioactivity concentration of the hot portion was set four times greater than that of the background. Data were collected for 2–5 and 30 min in the dynamic and static acquisition modes, respectively. The data were visually assessed and used to evaluate the phantom noise equivalent count (NECphantom), percentage contrast of the hot portion (QH10mm), and percentage background variability (N10 mm). The reference values for the physical indices were as follows: NECphantom > 10.4 (counts), N10mm < 6.2%, and QH10mm/N10mm > 1.9%. After the phantom study, the imaging conditions were set as follows: data acquisition, 180 s for one bed; field-of-view, 500 mm; iterations, 4; subsets, 14; matrix size, 128 × 128; filter, Gaussian 8 mm in full width at half maximum; and reconstruction, ordered subset expectation maximisation.
Data acquisition
The synthesis of 11C-choline was based on the study by Hara et al.18. The patients fasted for at least 6 h before the imaging examinations. After urination, the patients were placed in a supine position with both arms raised. First, plain CT imaging was performed from the top of the head to the mid-thigh under free-breathing, at 120 KVp using an autoexposure control system (beam pitch, 0.875 or 1; and 1.5 or 2 mm × 16-row mode). Within 5 min of the intravenous injection of 11C-choline (average, 475.5 MBq; range, 457–491 MBq), PET imaging was performed for the patient's head to the mid-thigh.
Image interpretation
CT, PET, and composite images were reviewed using proprietary software (Vox-base SP1000 workstation; J-MAC Systems, Sapporo, Japan). Two independent evaluators performed the visual and quantitative assessments. The findings were documented based on a consensus. The region of interest (ROI) was set as the contour area of increased uptake. If the uptake was heterogeneous, the ROI was set to cover the entire area. The standardised uptake value (SUV) was quantitatively recorded. The SUVmax was determined as the maximum accumulation within the ROI. Time-decay correction was not performed.
Pathologic analysis
All patients underwent surgery. Surgical materials were fixed in 10% formalin and embedded in paraffin. Slices of 4 μm were prepared perpendicular to the long axis of the breast. Histological and nuclear grades were evaluated using the Elston–Ellis scoring system19. Oestrogen and progesterone receptor (ER and PgR, respectively) expression was evaluated using the H-scoring system described by McCarty et al.20. Human epidermal growth factor-2 (HER-2) immunostaining was performed using a 4B5 primary antibody. CKα immunostaining was performed using ab235938 antibody (ATLRAS 1–100; Atlas Antibodies AB; Sweden), and its expression was evaluated based on three grades from 0 to 2 (0, low intensity; 1, moderate intensity; and 2, high intensity). The following items were compared with CK α expression of invasive component, lymphatic invasion, histologic grade, nuclear grade, nuclear atypia, mitosis, extensive intraductal components, fat invasion, cutaneous invasion, muscular invasion, HER-2/neu, ER, and PgR.
Statistical analysis
The patients’ medical records were evaluated until July 2022 to investigate their prognoses. Survival time was defined as the time from the date of the first medical examination to the last follow-up or death attributed to any cause. The correlations between CKα expression intensity and 11C-choline accumulation and other pathological findings were analysed using the chi-squared or Fisher's exact probability test. The correlation between CKα expression intensity, 11C-choline accumulation, and patient survival time was analysed using the log-rank test, and Kaplan–Meier curves were created. P-values were assessed using two-sided tests. A P-value of 0.05 or less was considered statistically significant.
Ethical approval
This study was approved by the Institutional Review Board of the National Cancer Centre Hospital, Tokyo, Japan. This study complied with the guidelines of the Health Insurance Portability and Accountability Act.
Consent to participate
Informed consent was obtained from all participants included in the study.
Results
Patients’ demographic data
The demographic data of all the patients are shown in Table 1. Between May 2007 and December 2008, 56 patients (mean age, 51 years; range 24–71 years) were enrolled. Tumours were located on the right and left sides in 29 (51%) and 27 (49%) patients, respectively. The mean tumour size was 28 mm (standard deviation [SD] ± 8.2; range 12–45). Among these tumours, 31 (55%), 8 (14%), 8 (14%), 5 (9%), and 4 (7%) were located in the lateral upper (C), medial upper (A), lateral lower (D), central (E), and medial lower (B) quadrants, respectively. A total of 48 patients (86%) had invasive tumours. Of these, 45 had no special type, 2 had micropapillary carcinoma, and 1 had mucinous carcinoma. Eight patients (14%) had non-invasive ductal carcinoma. We did not observe significant 11C-choline accumulation in lymph nodes. All patients were clinically free of lymph node metastases.
Table 1.
Patient demographics.
| Age (years) | 51.0 ± 8.0 (24–71) |
| Tumour side | |
| Right | 29 (51) |
| Left | 27 (49) |
| Tumour size (mm) | 28 ± 8.2 (12–45) |
| Main location | |
| Medial upper quadrant (A) | 8 (14) |
| Medial lower quadrant (B) | 4 (7.1) |
| Lateral upper quadrant (C) | 31 (55) |
| Lateral lower quadrant (D) | 8 (14) |
| Central (E) | 5 (8.9) |
| Invasive tumour | 48 (86) |
| Micropapillary | 2 (4.2) |
| Mucinous | 1 (2.1) |
| NST | 45 (94) |
| Non-invasive tumour | 8 (14) |
Data are presented as mean ± standard deviation (range) or the number of cases. The data in parentheses are presented as percentages. NST No special type.
Correlation between CKα expression and 11C-choline accumulation using PET
All the primary tumours were evaluated using 11C-choline PET/CT (Fig. 1). The mean SUVmax of all the cases was 3.2 (SD ± 1.8; range 0.95–8.3). After immunostaining for CKα, 18 (32%), 16 (29%), and 22 (39%) tumours were categorised as grades 0, 1, and 2, respectively. The correlation between the strength of CKα expression and SUVmax of 11C-choline PET is shown in Tables 2 and 3. The box plots are shown in Fig. 2a and b. A significant correlation was observed between these two variables (P < 0.0001). The correlation persisted upon comparing the weak (CKα expression graded as 0 or 1) and strong expression (CKα expression graded as 2) groups.
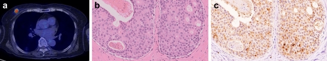
Figure 1.
Imaging and pathologic findings of a 50-year-old woman. (a) 11C-choline positron emission tomography/computed tomography image. A focal accumulation was observed in the primary tumour (maximum standardised uptake value [SUVmax] = 8.3). (b) Result of haematoxylin-eosin staining. A diagnosis of invasive ductal carcinoma was made. Both histological and nuclear grades were classified as 3. (c) Result of choline kinase alpha (CKα) immunostaining. High-intensity staining was observed.
Table 2.
Correlation between CKα expression and 11C-choline accumulation using PET.
| CKα expression | P-value | |||
|---|---|---|---|---|
| 0 | 1 | 2 | ||
| SUVmax | 1.5 ± 0.44 (0.95–2.2) | 2.6 ± 0.26 (2.2–3.1) | 4.9 ± 1.5 (2.5–8.3) | |
| SUVmax ≤ 3 | 18 (32) | 15 (27) | 2 (3.6) | < 0.0001 |
| SUVmax > 3 | 0 (0) | 1 (1.8) | 20 (36) | |
SUVma, Maximum standardized uptake value; PET Positron emission tomography; CKα Choline kinase alpha.
Table 3.
Correlation between CKα expression and 11C-choline accumulation using PET (CKα 0–1 vs. 2).
| CKα expression | P-value | ||
|---|---|---|---|
| 0–1 | 2 | ||
| SUVmax | 2.0 ± 0.66 (0.95–3.1) | 4.90 ± 1.5 (2.5–8.3) | |
| SUVmax ≤ 3 | 33 (59) | 2 (3.6) | < 0.0001 |
| SUVmax > 3 | 1 (1.8) | 20 (36) | |
Data are presented as mean ± standard deviation (range) or the number of cases. The data in parentheses are presented as percentages.
SUVmax Maximum standardized uptake value; PET Positron emission tomography; CKα Choline kinase alpha.
Figure 2.
Correlation between CKα expression and 11C-choline accumulation using positron emission tomography. CKα Choline kinase alpha.
Correlation between CKα expression and 11C-choline accumulation and mortality
The patients’ medical records were evaluated until July 2022. During this period, 19 deaths owing to breast cancer were confirmed. Among these 19 cases, the mean survival time was 101 months (SD ± 36; range 18.7–176). The correlation between the strength of CKα expression and breast cancer mortality is shown in Tables 4 and 5. The Kaplan–Meier curves are shown in Fig. 3a and b. A significant difference was observed in the survival time based on the expression intensity of CKα (P < 0.0001). Survival time also significantly differed between the high-SUV (SUVmax > 3) and low-SUV (SUVmax ≤ 3) groups (P < 0.0001) (Table 6 and Fig. 3c).
Table 4.
Correlation between CKα expression and mortality.
| CKα expression | P-value | |||
|---|---|---|---|---|
| 0 | 1 | 2 | ||
| Number of cases | 18 | 16 | 22 | |
| Number of death (%) | 1 (5.6) | 3 (19) | 15 (68) | |
| Mean survival time (month) | 180 ± 0.79 | 167 ± 6.5 | 104 ± 8.0 | < 0.0001 |
CKα Choline kinase alpha.
Table 5.
Correlation between CKα expression (CKα 0–1 vs. 2) and mortality.
| CKα expression | P-value | ||
|---|---|---|---|
| 0–1 | 2 | ||
| Number of cases | 34 | 22 | |
| Number of death (%) | 4 (12) | 15 (68) | |
| Mean survival time (month) | 175 ± 2.8 | 104 ± 8.0 | < 0.0001 |
CKα Choline kinase alpha.
Figure 3.
Correlation between CKα expression and 11C-choline accumulation and mortality. CKα Choline kinase alpha.
Table 6.
Correlation between 11C-choline accumulation and mortality.
| SUVmax | P-value | ||
|---|---|---|---|
| ≤ 3 | > 3 | ||
| Number of cases | 35 | 21 | |
| Number of death (%) | 3 (8.6) | 16 (76) | |
| Median survival time (month) | 104 ± 11 | ||
| Mean survival time (month) | 177 ± 2.5 | 105 ± 8.0 | < 0.0001 |
Data are presented as mean ± standard deviation or the number of cases. The data in parentheses are presented as percentages.
SUVmax Maximum standardized uptake value.
Correlation between the pathological findings and CKα expression
The correlations between the pathological findings and CKα expression strength are listed in Tables 7 and 8. Significant correlations were observed between CKα expression and the invasive components, mitosis, extensive intraductal components, fat invasion, ER, and PgR. Comparison of the weak and strong expression groups revealed significant differences in the invasive components, mitosis, extensive intraductal components, fat invasion, and PgR. No correlation was observed with ER.
Table 7.
Correlation between the pathological findings and CKα expression.
| CKα expression | P-value | |||
|---|---|---|---|---|
| 0 | 1 | 2 | ||
| Invasive component | ||||
| Present | 11 (20) | 15 (27) | 22 (39) | 0.001 |
| Absent | 7 (13) | 1 (1.8) | 0 (0) | |
| Lymphatic invasion | ||||
| Present | 13 (23) | 9 (16) | 12 (21) | 0.48 |
| Absent | 5 (8.9) | 7 (13) | 10 (18) | |
| Histologic grade | ||||
| 1 | 2 (3.6) | 1 (1.8) | 0 (0) | 0.60 |
| 2 | 8 (14) | 9 (16) | 12 (21) | |
| 3 | 8 (14) | 6 (11) | 10 (18) | |
| Nuclear grade | ||||
| 1 | 5 (8.9) | 6 (11) | 4 (7.1) | 0.78 |
| 2 | 5 (8.9) | 4 (7.1) | 7 (13) | |
| 3 | 8 (14) | 6 (11) | 11 (20) | |
| Nuclear atypia | ||||
| 1 | 1 (1.8) | 1 (1.8) | 0 (0) | 0.71 |
| 2 | 9 (16) | 9 (16) | 10 (18) | |
| 3 | 8 (14) | 6 (11) | 12 (21) | |
| Mitosis | ||||
| 1 | 8 (14) | 12 (21) | 10 (18) | < 0.0001 |
| 2 | 10 (18) | 1 (1.8) | 0 (0) | |
| 3 | 0 (0) | 3 (5.4) | 12 (21) | |
| Extensive intraductal components | ||||
| Present | 9 (16) | 3 (5.4) | 2 (3.6) | 0.01 |
| Absent | 9 (16) | 13 (23) | 20 (36) | |
| Necrosis | ||||
| Present | 8 (14) | 6 (11) | 10 (18) | 0.88 |
| Absent | 10 (18) | 10 (18) | 12 (21) | |
| Fat invasion | ||||
| Present | 7 (13) | 9 (16) | 17 (30) | 0.05 |
| Absent | 11 (20) | 7 (13) | 5 (8.9) | |
| Cutaneous invasion | ||||
| Present | 1 (1.8) | 2 (3.6) | 2 (3.6) | 0.78 |
| Absent | 17 (30) | 14 (25) | 20 (36) | |
| Muscular invasion | ||||
| Present | 1 (1.8) | 1 (1.8) | 0 (0) | 0.51 |
| Absent | 17 (30) | 15 (27) | 22 (39) | |
| HER-2 receptor | ||||
| 0 | 7 (13) | 6 (11) | 11 (20) | 0.12 |
| 1 | 10 (18) | 4 (7.1) | 7 (13) | |
| 3 | 1 (1.8) | 6 (11) | 4 (7.1) | |
| Oestrogen receptor | ||||
| Positive | 18 (32) | 10 (18) | 15 (27) | 0.02 |
| Negative | 0 (0) | 6 (11) | 7 (13) | |
| Progesterone receptor | ||||
| Positive | 18 (32) | 11 (20) | 11 (20) | 0.002 |
| Negative | 0 (0) | 5 (8.9) | 11 (20) | |
Data are presented as the number of cases. The data in parentheses are presented as percentages.
HER-2 Human epidermal growth factor-2; CKα Choline kinase alpha.
Table 8.
Correlation between the pathological findings and CKα expression (CKα 0–1 vs. 2).
| CKαexpression | P-value | ||
|---|---|---|---|
| 0–1 | 2 | ||
| Invasive component | |||
| Present | 26 (46) | 22 (39) | 0.01 |
| Absent | 8 (14) | 0 (0) | |
| Lymphatic invasion | |||
| Present | 22 (39) | 12 (21) | 0.45 |
| Absent | 12 (21) | 10 (18) | |
| Histologic grade | |||
| 1 | 3 (5.4) | 0 (0) | 0.36 |
| 2 | 17 (30) | 12 (21) | |
| 3 | 14 (25) | 10 (18) | |
| Nuclear grade | |||
| 1 | 11 (20) | 4 (7.1) | 0.51 |
| 2 | 9 (16) | 7 (13) | |
| 3 | 14 (25) | 11 (20) | |
| Nuclear atypia | |||
| 1 | 2 (3.6) | 0 (0) | 0.38 |
| 2 | 18 (32) | 10 (18) | |
| 3 | 14 (25) | 12 (21) | |
| Mitosis | |||
| 1 | 20 (36) | 10 (18) | < 0.0001 |
| 2 | 11 (20) | 0 (0) | |
| 3 | 3 (5.4) | 12 (21) | |
| Extensive intraductal components | |||
| Present | 12 (21) | 2 (3.6) | 0.03 |
| Absent | 22 (39) | 20 (36) | |
| Necrosis | |||
| Present | 14 (25) | 10 (18) | 0.75 |
| Absent | 20 (36) | 12 (21) | |
| Fat invasion | |||
| Present | 16 (29) | 17 (30) | 0.03 |
| Absent | 18 (32) | 5 (8.9) | |
| Cutaneous invasion | |||
| Present | 3 (5.4) | 2 (3.6) | 0.97 |
| Absent | 31 (55) | 20 (36) | |
| Muscular invasion | |||
| Present | 2 (3.6) | 0 (0) | 0.25 |
| Absent | 32 (57) | 22 (39) | |
| HER-2 | |||
| 0 | 13 (23) | 11 (20) | 0.68 |
| 1 | 14 (25) | 7 (13) | |
| 3 | 7 (13) | 4 (7.1) | |
| Oestrogen receptor | |||
| Positive | 28 (50) | 15 (27) | 0.22 |
| Negative | 6 (11) | 7 (13) | |
| Progesterone receptor | |||
| Positive | 29 (52) | 11 (20) | 0.004 |
| Negative | 5 (8.9) | 11 (20) | |
Data are presented as the number of cases. The data in parentheses are presented as percentages.
HER-2 Human epidermal growth factor-2; CKα Choline kinase alpha.
Discussion
There have been several reports regarding 11C-choline accumulation in breast cancer. However, the relationship between the mechanism of 11C-choline accumulation and the pathological background had never been investigated. The present study demonstrated a correlation between CKα expression and 11C-choline accumulation using PET. Associations between 18F-fludeoxyglucose (FDG) and 11C-choline accumulation and the histological findings in breast cancer were demonstrated in a previous study16. Thus, mitosis correlated with 11C-choline accumulation. No similar relationship was observed between mitosis and 18F-FDG accumulation. As previously mentioned, CK overexpression promotes mitogenic progression2. This can be explained from a biochemical perspective.
Similar to that in breast cancer, a strong correlation between 11C-choline accumulation and CKα expression has been reported in prostate cancer15. CKα was suggested to be involved in choline metabolism in these malignancies. However, in gliomas, 18F-choline accumulation reportedly did not correlate with CKα expression21. Increased expression of mRNA and protein of CK in lung cancer has been reported; however, no correlation was observed between 11C-choline accumulation and these factors22. The small number of cases is one of the limitations of both studies. However, CKβ or other synthetic pathways may be predominant according to the type of malignancy.
We investigated the correlation between the strength of CKα expression and the pathological findings of breast cancer. As shown above, significant correlations were observed between CKα expression and the invasive components, mitosis, extensive intraductal components, and fat invasion. These findings suggest a relationship between CKα and breast cancer activity. According to a previous study4, CK enzymatic activity and overexpression, as measured using western blotting, correlate with the histologic grade. In the current study, CKα expression was examined using immunostaining, and no correlation was observed with the histological grade. Differences in the measurement methods could be attributed to this finding. The same study also demonstrated correlations among CK activity, overexpression, and ER deficiency. Although no association with ER was observed in the current study, an association between CKα expression and PgR deficiency has been suggested. This difference in hormone receptor expression may also arise from different measurement methods. We suggest that breast cancers with strong CKα expression tend to be hormone receptor-negative.
There are few reports comparing CKα expression and pathological findings to examine tumour activity in other malignancies. In the report on gliomas mentioned above, only one sample was strongly positive for CKα, and no significant relationship with tumour grade was observed21. According to a previous report on hepatocellular carcinoma, there was no relationship between CKα expression and tumour grade. However, CKα expression correlated with the cancer stage23. It is unclear whether the correlation between CKα expression and tumour activity is common among malignancies. Thus, we need further research.
In our present study, we found a significant correlation between CKα expression and survival time in breast cancer, suggesting that strong CKα expression was associated with a bad prognosis. A similar relationship between CKα and short survival time has been reported in hepatocellular carcinoma and non-small-cell lung cancer23, 24. A correlation between survival time and the SUVmax of 11C-choline was also observed in the present study. 11C-choline accumulation has been suggested to correlate with tumour aggressiveness14, and our results are consistent with this report. Both CKα expression and 11C-choline accumulation could be potential prognostic factors for breast cancer.
18F-FDG is the most widely used among PET formulations. A previous study targeting breast cancer reported that 18F-FDG accumulation had a significant correlation with both recurrence and mortality25. According to a meta-analysis, patients with high SUVmax of 18F-FDG in the primary lesion had a shorter event-free survival time. However, 18F-FDG accumulation has no significant correlation with overall survival26. A previous study targeting patients with bone metastases also reported that high 18F-FDG accumulation was associated with skeletal-related events and progression, but not with overall survival27. 11C-choline, which we used in the present study, might be more reflective of the mortality rate of breast cancer patients. However, the use of 11C-choline is less common than that of 18F-FDG. This is the first study that examined the correlation between 11C-choline accumulation and long-term prognosis in breast cancer, and further case study is required.
Limitation
This study has some limitations. We analysed CKα expression in old surgical specimens. According to reports on the effects of slide ageing in breast cancer, the intensity of immunostaining for various proteins was lower in older specimens than in fresh ones28, 29. Despite this deterioration, associations between immunostaining results and other pathological parameters were maintained28. The intensity of immunostaining could have decreased owing to the ageing of the surgical materials. However, the association between CKα expression and the other findings should be maintained to some extent.
This study targeted primary tumours. Therefore, whether the associations between CKα expression, 11C-choline accumulation, and the other findings are maintained in recurrent or metastatic lesions is unclear. In addition, because this was an observational study, confounding factors were more likely to occur than in intervention studies. Although 11C-choline is a useful tracer for detecting malignant tumours, its short half-life makes it challenging in clinical practice.
Conclusion
We suggest that strong CKα expression is associated with high tumour activity in breast cancer. A significant correlation was observed between CKα expression and 11C-choline accumulation. Both these factors may be considered prognostic factors for breast cancer.
Acknowledgements
This study was supported in part by the National Cancer Centre Research and Development Fund (2020-J-3). This study was supported by the Ministry of Health, Labour and Welfare Grants and Japan Agency for Medical Research and Development Grants No. 22ck0106577h0003. We have also been given helpful suggestions by Timothy Hall, PhD, Chair and Steering Committee, Quantitative Imaging Biomarkers Alliance (QIBA), Radiological Society of North America (RSNA) and Shigeki Aoki, MD and Ukihide Tateishi, MD, Chair and Steering Committee, J-QIBA, JRS.
Author contributions
Study design, data collection and analysis were performed by U.T., J.T. and K.Y. Data collection was also performed by H.N. and R.K. The first draft of the manuscript was written by A.O. Revision of the manuscript was performed by M.I. All authors read and approved the final manuscript. The authors affirm that the participants provided informed consent for the publication of the images in Fig. 1a,b, and c.
Funding
The authors declare that no funds, grants, or other support were received during the preparation of this manuscript. The authors have no relevant financial or non-financial interests to disclose.
Data availability
The datasets generated and/or analysed during the current study are available from the corresponding author upon reasonable request.
Competing interests
The authors declare no competing interests.
Footnotes
Publisher's note
Springer Nature remains neutral with regard to jurisdictional claims in published maps and institutional affiliations.
References
- 1.Ishidate K. Choline/ethanolamine kinase from mammalian tissues. Biochim. Biophys. Acta. 1997;1348(1–2):70–78. doi: 10.1016/S0005-2760(97)00118-5. [DOI] [PubMed] [Google Scholar]
- 2.Ramírez de Molina A, et al. Choline kinase activation is a critical requirement for the proliferation of primary human mammary epithelial cells and breast tumor progression. Cancer Res. 2004;64(18):6732–6739. doi: 10.1158/0008-5472.CAN-04-0489. [DOI] [PubMed] [Google Scholar]
- 3.Ramirez de Molina A, et al. Overexpression of choline kinase is a frequent feature in human tumor-derived cell lines and in lung, prostate, and colorectal human cancers. Biochem. Biophys. Res. Commun. 2002;296(3):580–583. doi: 10.1016/S0006-291X(02)00920-8. [DOI] [PubMed] [Google Scholar]
- 4.Ramírez de Molina A, et al. Increased choline kinase activity in human breast carcinomas: clinical evidence for a potential novel antitumor strategy. Oncogene. 2002;21(27):4317–4322. doi: 10.1038/sj.onc.1205556. [DOI] [PubMed] [Google Scholar]
- 5.Gallego-Ortega D, et al. Differential role of human choline kinase alpha and beta enzymes in lipid metabolism: implications in cancer onset and treatment. PLoS One. 2009;4(11):e7819. doi: 10.1371/journal.pone.0007819. [DOI] [PMC free article] [PubMed] [Google Scholar]
- 6.Gruber J, et al. Balance of human choline kinase isoforms is critical for cell cycle regulation: Implications for the development of choline kinase-targeted cancer therapy. FEBS J. 2012;279(11):1915–1928. doi: 10.1111/j.1742-4658.2012.08573.x. [DOI] [PubMed] [Google Scholar]
- 7.Gokhale S, Xie P. ChoK-full of potential: Choline kinase in B cell and T cell malignancies. Pharmaceutics. 2021;13(6):911. doi: 10.3390/pharmaceutics13060911. [DOI] [PMC free article] [PubMed] [Google Scholar]
- 8.Katz-Brull R, Lavin PT, Lenkinski RE. Clinical utility of proton magnetic resonance spectroscopy in characterizing breast lesions. J. Natl. Cancer Inst. 2002;94(16):1197–1203. doi: 10.1093/jnci/94.16.1197. [DOI] [PubMed] [Google Scholar]
- 9.Nelson SJ. Analysis of volume MRI and MR spectroscopic imaging data for the evaluation of patients with brain tumors. Magn Reson Med. 2001;46(2):228–239. doi: 10.1002/mrm.1183. [DOI] [PubMed] [Google Scholar]
- 10.Sharma U, Jagannathan NR. Metabolism of prostate cancer by magnetic resonance spectroscopy (MRS) Biophys Rev. 2020;12(5):1163–1173. doi: 10.1007/s12551-020-00758-6. [DOI] [PMC free article] [PubMed] [Google Scholar]
- 11.Hara T, Kosaka N, Sinoura N, Kondo T. PET imaging of brain tumor with [methyl- 11C] choline. J. Nucl. Med. 1997;38(6):842–847. [PubMed] [Google Scholar]
- 12.Nitsch S, et al. Evaluation of prostate cancer with 11C- and 18F-choline PET/CT: Diagnosis and initial staging. J. Nucl. Med. 2016;57(Suppl 3):38S–42S. doi: 10.2967/jnumed.115.169748. [DOI] [PubMed] [Google Scholar]
- 13.Kenny LM, et al. Reproducibility of [11C]choline positron emission tomography and effect of trastuzumab. Clin. Cancer Res. 2010;16(16):4236–4245. doi: 10.1158/1078-0432.CCR-10-0468. [DOI] [PubMed] [Google Scholar]
- 14.Contractor KB, et al. [11C]choline positron emission tomography in estrogen receptor-positive breast cancer. Clin. Cancer Res. 2009;15:5503–5510. doi: 10.1158/1078-0432.CCR-09-0666. [DOI] [PubMed] [Google Scholar]
- 15.Contractor K, et al. Use of [11C]Choline PET-CT as a noninvasive method for detecting pelvic lymph node status from prostate cancer and relationship with choline kinase expression. Clin. Cancer Res. 2011;17(24):7673–7683. doi: 10.1158/1078-0432.CCR-11-2048. [DOI] [PubMed] [Google Scholar]
- 16.Tateishi U, et al. Comparative study of the value of dual tracer PET/CT in evaluating breast cancer. Cancer Sci. 2012;103(9):1701–1707. doi: 10.1111/j.1349-7006.2012.02348.x. [DOI] [PMC free article] [PubMed] [Google Scholar]
- 17.Fukukita H, et al. Japanese guideline for the oncology FDG-PET/CT data acquisition protocol: Synopsis of version 1.0. Ann. Nucl. Med. 2010;24(4):325–334. doi: 10.1007/s12149-010-0377-7. [DOI] [PubMed] [Google Scholar]
- 18.Hara T, Yuasa M. Automated synthesis of [11C]choline, a positron-emitting tracer for tumor imaging. Appl. Radiat. Isot. 1999;50(3):531–533. doi: 10.1016/S0969-8043(98)00097-9. [DOI] [PubMed] [Google Scholar]
- 19.Elston CW, Ellis IO. Pathological prognostic factors in breast cancer. I. The value of histological grade in breast cancer: Experience from a large study with long-term follow-up. Histopathology. 1991;19(5):403–410. doi: 10.1111/j.1365-2559.1991.tb00229.x. [DOI] [PubMed] [Google Scholar]
- 20.McCarty KS, et al. Use of a monoclonal anti-estrogen receptor antibody in the immunohistochemical evaluation of human tumors. Cancer Res. 1986;146(8 Suppl):4244s–4248s. [PubMed] [Google Scholar]
- 21.Grech-Sollars M, et al. Imaging and tissue biomarkers of choline metabolism in diffuse adult glioma: 18F-fluoromethylcholine PET/CT, magnetic resonance spectroscopy, and choline kinase α. Cancers (Basel) 2019;11(12):1969. doi: 10.3390/cancers11121969. [DOI] [PMC free article] [PubMed] [Google Scholar]
- 22.Huang Z, Rui J, Li X, Meng X, Liu Q. Use of 11C-choline positron emission tomography/computed tomography to investigate the mechanism of choline metabolism in lung cancer. Mol. Med. Rep. 2015;11(5):3285–3290. doi: 10.3892/mmr.2015.3200. [DOI] [PMC free article] [PubMed] [Google Scholar]
- 23.Kwee SA, Hernandez B, Chan O, Wong L. Choline kinase alpha and hexokinase-2 protein expression in hepatocellular carcinoma: Association with survival. PLoS One. 2012;7(10):e46591. doi: 10.1371/journal.pone.0046591. [DOI] [PMC free article] [PubMed] [Google Scholar]
- 24.Ramírez de Molina A, et al. Expression of choline kinase alpha to predict outcome in patients with early-stage non-small-cell lung cancer: A retrospective study. Lancet Oncol. 2007;8(10):889–897. doi: 10.1016/S1470-2045(07)70279-6. [DOI] [PubMed] [Google Scholar]
- 25.Kitajima K, et al. Prognostic value of 18F-FDG PET/CT prior to breast cancer treatment. Comparison with magnetic resonance spectroscopy and diffusion weighted imaging. Hell. J. Nucl. Med. 2019;22(1):25–35. doi: 10.1967/s002449910956. [DOI] [PubMed] [Google Scholar]
- 26.Diao W, Tian F, Jia Z. The prognostic value of SUVmax measuring on primary lesion and ALN by 18F-FDG PET or PET/CT in patients with breast cancer. Eur. J. Radiol. 2018;105:1–7. doi: 10.1016/j.ejrad.2018.05.014. [DOI] [PubMed] [Google Scholar]
- 27.Peterson LM, et al. Prospective study of serial 18F-FDG PET and 18F-Fluoride PET to predict time to skeletal-related events, time to progression, and survival in patients with bone-dominant metastatic breast cancer. J. Nucl. Med. 2018;59(12):1823–1830. doi: 10.2967/jnumed.118.211102. [DOI] [PMC free article] [PubMed] [Google Scholar]
- 28.Mirlacher M, et al. Influence of slide aging on results of translational research studies using immunohistochemistry. Mod. Pathol. 2004;17(11):1414–1420. doi: 10.1038/modpathol.3800208. [DOI] [PubMed] [Google Scholar]
- 29.Fergenbaum JH, et al. Loss of antigenicity in stored sections of breast cancer tissue microarrays. Cancer Epidemiol. Biomark. Prev. 2004;13(4):667–672. doi: 10.1158/1055-9965.667.13.4. [DOI] [PubMed] [Google Scholar]
Associated Data
This section collects any data citations, data availability statements, or supplementary materials included in this article.
Data Availability Statement
The datasets generated and/or analysed during the current study are available from the corresponding author upon reasonable request.



