Abstract
Background
To investigate the diagnostic sensitivity of Optos imaging for vision degrading myodesopsia (VDM).
Methods
A total of 420 eyes from 345 patients with VDM were collected in this cross-sectional study. All eyes were classified as having posterior vitreous detachment (PVD) or not having PVD. The sensitivity of Optos imaging for the visibility of vitreous floaters was evaluated. The associated factors with the visibility of vitreous floaters on Optos images were analyzed in univariate and multivariate logistic regression analyses.
Results
The mean age of all patients was 56.19 ± 13.89 years old, and 66.67% of patients were female. The vitreous floaters were visible on the ultrasound B scan in all eyes, but only in 47.62% of Optos images (55.29% in eyes with PVD and 15% in eyes without PVD). In the multiple binary logistic regression analysis, age (OR = 1.094, 95%CI = 1.063–1.125, P < 0.001), spherical equivalent (OR = 0.869, 95%CI = 0.791–0.955, P = 0.004) and the distance of the floaters from the retina (OR = 1.191, 95%CI = 1.059–1.339, P = 0.003) were significantly correlated with the visibility of vitreous floaters on Optos images. On Optos images, 25.71% of VDM eyes presented additional retinal abnormalities.
Conclusions
Optos imaging has a low sensitivity for vitreous floaters, particularly in eyes without PVD. On Optos imaging, floaters were more visible in older patients, eyes with greater myopia, and floaters that were further from the retina.
Keywords: Floaters, Optos, Vision degrading myodesopsia, Scanning laser ophthalmoscope
Introduction
Vision degrading myodesopsia (VDM) affects an increasing number of adults due to the global prevalence of myopia and the aging of the population [1]. As the eyes move, VDM may manifest as spots, cobwebs, shadows, and other diverse forms [2, 3]. While floaters are typically only a minor annoyance, some eyes develop numerous symptomatic vitreous opacities that significantly impede reading, driving, and other daily visual activities. VDM can be diagnosed with a dilated fundus exam and/or an ultrasound B scan. Although the ultrasound B scan is regarded as the gold standard for diagnosis and evaluation of VDM [4, 5], other imaging devices such as optical coherence tomography (OCT) and scanning laser ophthalmoscope are being used for VDM [6]. Optos, an ultra-widefield imaging system utilizing a scanning laser ophthalmoscope, is capable of obtaining fundus images with a horizontal field of view of approximately 200 degrees without pupillary dilation [7]. Because eyes with acute floaters are at risk for retinal tears and detachment [8], Optos imaging is commonly used to assess the condition of vitreous and retina in VDM eyes. However, the sensitivity of Optos imaging to detect vitreous floaters is unknown. In this study, we will explore the sensitivity of Optos imaging for monitoring vitreous floaters in VDM and define the factors associated with the visibility of floaters on Optos images.
Methods
Patient selection
The institutional ethics committee of the He Eye Specialist Hospital gave its approval to this cross-sectional study in accordance with the Helsinki Declaration’s guidelines. Following informed consent, 420 eyes from 345 patients with VDM were included in this study, which was conducted between January 2022 and August 2022, with the participants recruited from the outpatient clinics of He Eye Specialist Hospital. All patients complained of floater symptoms in either one or both eyes. Eyes with secondary vitreous floaters, such as vitreous inflammation or hemorrhage, were excluded. Eyes with images of poor quality were also excluded.
Ophthalmological examination
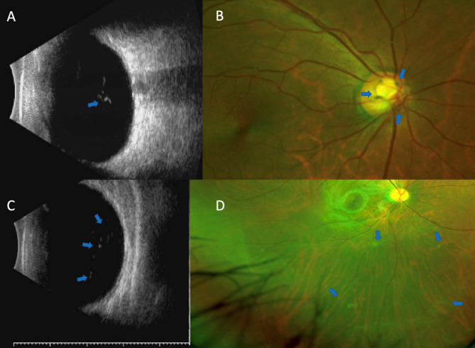
Slit-lamp, visual acuity, intraocular pressure, refractive errors, vitreous and fundus examinations through a dilated pupil, ultrasound B scan (MD-2400 S, MEDA Co., Ltd, Tianjin, China), and Optos (Optos® 200Tx, Optos®, Dunfermline, U.K.) examinations were performed on all eyes. In the ocular ultrasound B scan, the vitreous status was determined through the eyelid contact method with gel with a 10 MHz probe. The gain of the B scan was set at 90 db. The mobility of the posterior vitreous was examined during saccadic eye movements using both vertical and horizontal views. The definition of vitreous floaters is hyperechoic material that is only visible in the vitreous cavity of the eye. A posterior vitreous detachment (PVD) status was considered when the posterior vitreous cortex was well defined and completely separated from the retina (Fig. 1) [9].
Fig. 1.
PVD noted on Ultrasound B scan and Optos images. The hyperreflective ring (blue arrow) in the vitreous cavity on the ultrasound B scan is suggestive of a Weiss ring (A), with the visible Weiss ring (blue arrow) noted on the Optos images (B). The hyperreflective line (blue arrow) in the vitreous cavity on the ultrasound B scan is suggestive of a detached hyaloid membrane (C), with the visible detached membrane (blue arrow) appearing on the Optos images (D)
Data collection
The baseline demographic data were collected, including age, gender, laterality of the involved eye, spherical equivalent, and duration of floater symptoms. On ultrasound B scan images, the shortest distance of floaters from the retina would be measured, and the highest reflective spots in the vitreous cavity would be chosen to measure. This distance was measured by two investigators (CS and BW), and the average value was used. The visibility of floaters on Optos images was also independently assessed by two investigators (CS and BW), and for the inconsistencies, the senior investigator (TZL) made a final decision.
Statistical analysis
Continuous values were represented by the mean and standard deviation, whereas categorical variables were shown as percentages. Using the intraclass coefficient (ICC), the inter-rater agreement for the visibility of vitreous floaters on Optos images was determined. The agreement between reviewers was high: ICC = 0.971 (p < 0.001). Using univariate and multiple binary logistic regression analyses, risk factors associated with the visibility of vitreous floaters on Optos images were identified. For this study, the alpha level was set to 0.05, and the statistical power was established at 95%. All statistical analyses were performed with SPSS (SPSS Inc., USA), version 27.0.
Results
In total, 420 eyes from 345 VDM patients were collected for this study. The mean age of all patients was 56.19 ± 13.89 years old, with a distinct female predominance (66.67%). There were 84 (20%) eyes with emmetropia, 144 (34.29%) eyes with low and moderate myopia, 36 (8.57%) eyes with high myopia, and 156 (37.14%) eyes with hyperopia. The major type of floaters was PVD (80.95%). The vitreous floaters were visible on Optos images in only 47.62% of eyes (55.29% in eyes with PVD and 15% in eyes without PVD) (Table 1).
Table 1.
The demographic data of patients
| n (%) | |
|---|---|
| Age (yrs) | |
| <30 | 25(7.25) |
| 30–39 | 22(6.38) |
| 40–49 | 32(9.28) |
| 50–59 | 108(31.30) |
| 60–69 | 121(35.07) |
| ≥ 70 | 37(10.72) |
| Gender | |
| Male | 115(33.33) |
| Female | 230(66.67) |
| Refractive errors | |
| Myopia (≤-0.5D) | 180(42.86) |
| Emmetropia (-0.5D~-0.5D) | 84(20.00) |
| Hyperopia (≥ 0.5D) | 156(37.14) |
| SE(D) (mean ± SD) | -1.22 ± 3.37 |
| Duration of floater symptoms (days) (mean ± SD) | 258.19 ± 1022.19 |
| The distance of the floaters from the retina (mean ± SD) | 4.38 ± 2.22 |
| Types of floaters | |
| PVD | 340(80.95) |
| Non-PVD | 80(19.05) |
SE = Spherical equivalent, PVD = posterior vitreous detachment
In the univariate analysis, age (OR = 1.083, 95%CI = 1.061–1.104, P < 0.001), the distance of the floaters from the retina (OR = 1.181, 95%CI = 1.069–1.304, P = 0.001), and floaters of PVD type (OR = 7.009, 95%CI = 3.659–13.424, P < 0.001) were significantly correlated with the visibility of vitreous floaters on Optos images. In the multivariate binary logistic regression analysis, age (OR = 1.094, 95%CI = 1.063–1.125, P < 0.001) (Fig. 2), spherical equivalent (OR = 0.869, 95%CI = 0.791–0.955, P = 0.004) and the distance of the floaters from the retina (OR = 1.191, 95%CI = 1.059–1.339, P = 0.003) (Fig. 3) were significantly correlated with the visibility of vitreous floaters on Optos images (Table 2).
Fig. 2.
The sensitivity of Optos imaging for VDM with different age groups
Fig. 3.
The sensitivity of Optos imaging for VDM with different floater distances
Table 2.
Univariate and multivariate logistic regression analysis for the risk factors associated with the visibility of floaters on Optos images
| Variate | Univariate analysis | Multivariate analysis | ||
|---|---|---|---|---|
| OR (95%CI) | P | OR (95%CI) | P | |
| Male | 1.155(0.771–1.731) | 0.485 | 1.565(0.925–2.648) | 0.095 |
| Age | 1.083(1.061–1.104) | <0.001 | 1.094(1.063–1.125) | <0.001 |
| Duration of floater symptoms | 1.000(0.998–1.001) | 0.486 | 1.000(0.998–1.001) | 0.466 |
| SE | 1.009(0.953–1.068) | 0.756 | 0.869(0.791–0.955) | 0.004 |
| The distance of the floaters from the retina | 1.181(1.069–1.304) | 0.001 | 1.191(1.059–1.339) | 0.003 |
| PVD | 7.009(3.659–13.424) | <0.001 | 2.529(0.850–7.523) | 0.095 |
OR = odds ratio, CI = confidence interval, SE = Spherical equivalent, PVD = posterior vitreous detachment
The receiver operating characteristic (ROC) curve analysis of VDM patients with apparent floaters on Optos images revealed that the area under the curve of the distance of the floaters from the retina was 0.599 (Fig. 4). The optimum distance cut-off value for predicting floaters detected on Optos images was > 3.25 mm, which had a sensitivity of 71.04% and a specificity of 43.60%.
Fig. 4.
ROC analysis of the floater distance for the visibility on Optos images
On Optos images, 25.71% of VDM eyes had additional retinal problems, such as drusen, epiretinal membrane, macular hole, peripheral retinal degeneration, choroidal nevus, Fuchs spot, diabetic retinopathy, bone-spicule-like pigmentation, and myelinated nerve fibers (Table 3).
Table 3.
The other retinal abnormalities noted on Optos images
| Other retinal signs noted on Optos | n(%) |
|---|---|
| Drusen | 19(4.52) |
| ERM | 10(2.38) |
| MH | 1(0.24) |
| Peripheral retinal degeneration | 33(7.86) |
| Lattice | 4(0.95) |
| White without pressure | 15(3.57) |
| Frost like | 5(1.19) |
| Snail like | 1(0.24) |
| Tears | 8(1.90) |
| Choroidal nevus | 2(0.48) |
| Fuchs spot | 2(0.48) |
| DR | 3(0.71) |
| Bone-spicule like pigmentation | 1(0.24) |
| Myelinated nerve fiber | 4(0.95) |
ERM = epiretinal membrane, MH = macular hole, DR = diabetic retinopathy
Discussion
VDM appears to be more prevalent among women, as reported in previous studies [10–14], which is consistent with the results of this study. Changes in hormones during perimenopause may affect how glycosaminoglycans are made and broken down [15, 16]. This could affect the vitreous collagen or the interface between the vitreous and the retina.
Ultrasound would be able to locate condensations deeper within the vitreous, ascertain their relationship to the central visual axis, and determine their mobility. Measuring the acoustic echo of reflected sound waves as they reach tissues of varying densities is fundamental to ultrasonography. In this study, a 10 MHz probe was used, which has better sensitivity and can be used to look at low-intensity scatterers, like those in the vitreous humor, that are hard to find with a higher-frequency probe [17]. Interestingly, an ultrasound sound B scan showed high echo signals in the vitreous cavity of all VDM eyes in the present study. Obviously, not every eye with vitreous echodensity would display VDM symptoms. Nguyen et al. [18] used quantitative ultrasonography to assess the vitreous structure; they also found vitreous echodensity in the eyes without floater symptoms. Hence, just using an ultrasound sound B scan to diagnose VDM should be oversensitive.
The Optos ultra-widefield imaging system is a scanning laser ophthalmoscope that can acquire widefield images at 532 nm (green) or 632 nm (red) scanning laser wavelengths. The two images may be viewed independently or superimposed to produce a semi-realistic color image. Compared to conventional imaging systems, the use of two laser wavelengths is advantageous because the red laser wavelength penetrates deeper into the retina and choroid, and the green laser wavelength produces better images of the retinal surface layers and retinal arteries. Optos imaging was reported to evaluate vitreous floaters with a sensitivity of 81.82% for PVD-type floaters and 58.62% for non-PVD-type floaters in a previous study, but that sample size was pretty small [12]. Son et al. [6] used Optos and optical coherence tomography to evaluate vitreous floaters, and peripapillary vitreous opacity was found in 62.2% of patients (122 out of 196 eyes). That result is comparable to the current study (55.29%). On Optos images, only 15% of eyes with non-PVD floaters were visible in the current study. The most frequent cause of non-PVD floaters is fibrillar aggregation, which can interfere with photon transmission sufficiently to cause long-lasting and progressive floaters [19, 20]. These floaters typically appear as strands or tiny dots [19, 20]. Optos imaging has difficulty projecting the shadows of these floaters on occasion. In addition, numerous variables, such as the floater’s size, density, and distance from the retina, were found to be correlated with the projection of floater shadows [21]. In this study, vitreous floaters further from the retina were easier to image on Optos imaging. This may be due to the fact that floaters nearer the laser’s light source cast larger shadows [21]. However, based on ROC, sensitivity, and specificity, the accuracy of distance from the retina in predicting the presence of images on Optos images was not good. In the current study, vitreous floaters in greater myopic eyes were also more visible on Optos imaging. We hypothesized that the higher degree of myopia may be accompanied by more severe vitreous liquefaction, resulting in more severe vitreous opacity, thereby increasing the visibility of vitreous floaters on Optos imaging [5]. Previous studies have demonstrated that as one ages, vitreous liquefaction worsens and vitreous collagen changes [5]. The loss of type IX collagen causes more type II collagen fibers to assemble into larger fiber polymers, which may increase the visibility of vitreous floaters on Optos images. In contrast, as the population ages, PVD will account for a greater proportion. Larger floaters, like a Weiss ring or a detached hyaloid, are also simpler to find [5]. In the current study, PVD-type floaters also had a tendency to be evident on Optos images.
Moreover, because OCT provides superior imaging of the vitreoretinal interface, numerous studies have employed it to evaluate VDM. Son et al. [6] identified variable degrees of PVD in 94.3% of eyes with new-onset floaters on OCT. The average onset period of floaters in their study was less than 10 days [6], which may explain the high sensitivity. The newly formed WEISS ring or detached posterior vitreous membrane was typically located near the retina and within the imaging range of OCT detection, whereas floaters farther from the retina are typically difficult to observe on OCT. Unfortunately, OCT was not used in this study. Infrared confocal scanning laser ophthalmoscopy (IRcSLO) has been used in recent studies to measure and grade the severity of floaters with high sensitivity [22–25]. Patients’ symptoms were found to correlate positively with the IRcSLO grade of floaters [22, 23]. Ngo et al. [24] believed that IRcSLO imaged vitreous abnormalities related to how patients perceive their own floaters more effectively than B-scan ultrasonography. This may be due to the fact that IRcSLO and ultrasound B-scan have distinct imaging orientations and that IRcSLO images are more intuitive and patient-friendly than ultrasound B-scan images. As with the ultrasound B scan, IRcSLO imaging is oversensitive for VDM; asymptomatic vitreous opacities have also been identified on IRcSLO imaging [22].
This study has a number of limitations. Although we hypothesized that the size and density of floaters would also affect how they appear on Optos imaging, there is currently no credible way to measure them accurately [26]. Total vitreous opacity may also affect the imaging of floaters on Optos, and quantitative ultrasound may be used to assess the total vitreous opacity in the future [4]. However, so far as we know, this is the largest study that shows how well Optos imaging can find vitreous floaters in VDM.
In summary, the sensitivity of Optos imaging for vitreous floaters is low, especially in non-PVD eyes, but it is a useful adjunct because it can detect numerous other retinal abnormalities that could otherwise be missed.
Acknowledgements
Not applicable.
Abbreviations
- VDM
Vision degrading myodesopsia
- PVD
Posterior vitreous detachment
- OR
Odds ratio
- ICC
Intraclass coefficient
- ROC
Receiver operating characteristic
- IRcSLO
Infrared confocal scanning laser ophthalmoscopy
- SE
Spherical equivalent
- DR
Diabetic retinopathy
- MH
Macular hole
- ERM
Epiretinal membrane
Authors’ contributions
LJS, TZL - research design, interpretation of data, critical revision of the manuscript, and final approval of the version to be published. CS, BW - data acquisition and analysis, drafting the manuscript. EEP - critical revision of the manuscript, data analysis.All authors reviewed the manuscript.
Funding
Shenyang Young and Middle-aged Science and Technology Innovation Talent Support Program (RC210267). The funding organization had no role in the design or conduct of this research.
Data Availability
The datasets used and/or analysed during the current study are available from the corresponding author on reasonable request.
Declarations
Ethics approval and consent to participate
All procedures performed in studies involving human participants were in accordance with the ethical standards of the institutional research committee (He Eye Specialist Hospital review board – (IRB (2021) K016.01) and with the 1964 Helsinki declaration and its later amendments or comparable ethical standards.” Informed consent was obtained from participants to participate in the study.
Consent for publication
Not applicable.
Competing interests
The authors declare no competing interests.
Footnotes
Publisher’s Note
Springer Nature remains neutral with regard to jurisdictional claims in published maps and institutional affiliations.
References
- 1.Webb BF, Webb JR, Schroeder MC, North CS. Prevalence of vitreous floaters in a community sample of smartphone users. Int J Ophthalmol. 2013;6:402–5. doi: 10.3980/j.issn.2222-3959.2013.03.27. [DOI] [PMC free article] [PubMed] [Google Scholar]
- 2.Milston R, Madigan MC, Sebag J. Vitreous floaters: etiology, diagnostics, and management. Surv Ophthalmol. 2016;61:211–27. doi: 10.1016/j.survophthal.2015.11.008. [DOI] [PubMed] [Google Scholar]
- 3.Broadhead GK, Hong T, Chang AA. To treat or not to treat: Management options for symptomatic vitreous floaters. Asia Pac J Ophthalmol (Phila) 2020;9:96–103. doi: 10.1097/APO.0000000000000276. [DOI] [PubMed] [Google Scholar]
- 4.Mamou J, Wa CA, Yee KM, Silverman RH, Ketterling JA, Sadun AA, Sebag J. Ultrasound-based quantification of vitreous floaters correlates with contrast sensitivity and quality of life. Invest Ophthalmol Vis Sci. 2015;56:1611–7. doi: 10.1167/iovs.14-15414. [DOI] [PMC free article] [PubMed] [Google Scholar]
- 5.Sebag J. Vitreous and Vision Degrading Myodesopsia. Prog Retin Eye Res. 2020;79:100847. doi: 10.1016/j.preteyeres.2020.100847. [DOI] [PubMed] [Google Scholar]
- 6.Son G, Sohn J, Kong M. Acute symptomatic vitreous floaters assessed with ultra-wide field scanning laser ophthalmoscopy and spectral domain optical coherence tomography. Sci Rep. 2021;11:8930. doi: 10.1038/s41598-021-88371-9. [DOI] [PMC free article] [PubMed] [Google Scholar]
- 7.Kumar V, Surve A, Kumawat D, Takkar B, Azad S, Chawla R, Shroff D, Arora A, Singh R, Venkatesh P. Ultra-wide field retinal imaging: a wider clinical perspective. Indian J Ophthalmol. 2021;69(4):824–35. doi: 10.4103/ijo.IJO_1403_20. [DOI] [PMC free article] [PubMed] [Google Scholar]
- 8.Hollands H, Johnson D, Brox AC, lmeida D, Simel DL. Sharma. Acute-onset floaters and flashes: is this patient at risk for retinal detachment? JAMA. 2009;302(20):2243–9. doi: 10.1001/jama.2009.1714. [DOI] [PubMed] [Google Scholar]
- 9.Wang MD, Truong C, Mammo Z, Hussnain SA, Chen RWS. Swept source Optical Coherence Tomography compared to Ultrasound and Biomicroscopy for diagnosis of posterior vitreous detachment. Clin Ophthalmol. 2021;15:507–12. doi: 10.2147/OPTH.S297307. [DOI] [PMC free article] [PubMed] [Google Scholar]
- 10.Shah CP, Heier JS. YAG Laser vitreolysis vs Sham YAG Vitreolysis for symptomatic vitreous floaters: a Randomized Clinical Trial. JAMA Ophthalmol. 2017;135:918–23. doi: 10.1001/jamaophthalmol.2017.2388. [DOI] [PMC free article] [PubMed] [Google Scholar]
- 11.Ludwig GD, Gemelli H, Nunes GM, Serracarbassa PD, Zanotele M. Efficacy and safety of nd:YAG laser vitreolysis for symptomatic vitreous floaters: a randomized controlled trial. Eur J Ophthalmol. 2021;31:909–14. doi: 10.1177/1120672120968762. [DOI] [PubMed] [Google Scholar]
- 12.Lin T, Li T, Zhang X, Hui Y, Moutari S, Pazo EE, Dai G, Shen L. The efficacy and safety of YAG Laser Vitreolysis for symptomatic vitreous floaters of complete PVD or Non-PVD. Ophthalmol Ther. 2022;11:201–14. doi: 10.1007/s40123-021-00422-6. [DOI] [PMC free article] [PubMed] [Google Scholar]
- 13.Souza CE, Lima LH, Nascimento H, Zett C, Belfort R., Jr Objective assessment of YAG laser vitreolysis in patients with symptomatic vitreous floaters. Int J Retina Vitreous. 2020;6:1. doi: 10.1186/s40942-019-0205-8. [DOI] [PMC free article] [PubMed] [Google Scholar]
- 14.Yang X, Shi C, Liu Q, Pazo EE, Lin T. Spontaneous remission of vision degrading myodesopsia of posterior vitreous detachment type. Graefes Arch Clin Exp Ophthalmol. 2023;261(6):1571–7. doi: 10.1007/s00417-022-05948-4. [DOI] [PubMed] [Google Scholar]
- 15.Smith TJ. Dexamethasone regulation of glycosaminoglycan synthesis in cultured human skin fibroblasts. Similar effects of glucocorticoid and thyroid hormones. J Clin Invest. 1984;74:2157–63. doi: 10.1172/JCI111642. [DOI] [PMC free article] [PubMed] [Google Scholar]
- 16.Smith TJ, Murata Y, Horwitz AL, Philipson L, Refetoff S. Regulation of glycosaminoglycan synthesis by thyroid hormone in vitro. J Clin Invest. 1982;70:1066–73. doi: 10.1172/JCI110694. [DOI] [PMC free article] [PubMed] [Google Scholar]
- 17.Hewick SA, Fairhead AC, Culy JC, Atta HR. A comparison of 10 MHz and 20 MHz ultrasound probes in imaging the eye and orbit. Br J Ophthalmol. 2004;88:551–5. doi: 10.1136/bjo.2003.028126. [DOI] [PMC free article] [PubMed] [Google Scholar]
- 18.Nguyen JH, Nguyen-Cuu J, Yu F, Yee KM, Mamou J, Silverman RH, Ketterling J, Sebag J. Assessment of Vitreous structure and visual function after Neodymium:Yttrium-Aluminum-Garnet Laser Vitreolysis. Ophthalmology. 2019;126:1517–26. doi: 10.1016/j.ophtha.2019.06.021. [DOI] [PMC free article] [PubMed] [Google Scholar]
- 19.Sendrowski DP, Bronstein MA. Current treatment for vitreous floaters. Optometry. 2010;81:157–61. doi: 10.1016/j.optm.2009.09.018. [DOI] [PubMed] [Google Scholar]
- 20.Sebag J. Floaters and the quality of life. Am J Ophthalmol. 2011;152:3–4e1. doi: 10.1016/j.ajo.2011.02.015. [DOI] [PubMed] [Google Scholar]
- 21.Serpetopoulos CN, Korakitis RA. An optical explanation of the entoptic phenomenon of ‘clouds’ in posterior vitreous detachment. Ophthalmic Physiol Opt. 1998;18:446–51. doi: 10.1046/j.1475-1313.1998.00387.x. [DOI] [PubMed] [Google Scholar]
- 22.Marquez MA, Nadelson A, Magraner M, Haddock LJ, Fortun JA. Dynamic infrared imaging of vitreous floaters. Clin Ophthalmol. 2023;17:1169–77. doi: 10.2147/OPTH.S399684. [DOI] [PMC free article] [PubMed] [Google Scholar]
- 23.Garcia-Aguirre G, Henaine-Berra A, Salcedo-Villanueva G. Visualization and grading of vitreous floaters using dynamic Ultra-widefield Infrared Confocal scanning laser ophthalmoscopy: a pilot study. J Clin Med. 2022;11(19):5502. doi: 10.3390/jcm11195502. [DOI] [PMC free article] [PubMed] [Google Scholar]
- 24.Ngo WK, Keshet Y, Salcedo-Ledesma A, Walia J, Ledesma-Gil G, Spaide RF. THE WAY PATIENTS SEE FLOATERS: Widefield Dynamic scanning laser Ophthalmoscopy Imaging of vitreous abnormalities. Retina. 2023;43(8):1240–5. doi: 10.1097/IAE.0000000000003786. [DOI] [PubMed] [Google Scholar]
- 25.Stanga PE, Valentin Bravo FJ, Reinstein UI, Stanga SFE, Marshall J, Archer TJ, Reinstein DZ. New Terminology and Methodology for the Assessment of the vitreous, its floaters and opacities, and their effect on vision: standardized and kinetic anatomical and functional testing of vitreous floaters and opacities (SK VFO Test) Ophthalmic Surg Lasers Imaging Retina. 2023;54(5):306–15. doi: 10.3928/23258160-20230412-02. [DOI] [PubMed] [Google Scholar]
- 26.de Smet MD, Gad Elkareem AM, Zwinderman AH. The vitreous, the retinal interface in ocular health and Disease. Ophthalmologica. 2013;230:165–78. doi: 10.1159/000353447. [DOI] [PubMed] [Google Scholar]
Associated Data
This section collects any data citations, data availability statements, or supplementary materials included in this article.
Data Availability Statement
The datasets used and/or analysed during the current study are available from the corresponding author on reasonable request.




